AOTRAUMA.ORG Центр Илизарова  

Ортопедия и травматология Общие вопросы/General questions Help Информационные технологии в медицине
 ВХОД ДЛЯ ПАЦИЕНТОВ
 вверх
 поиск
 админ
 главная


вывих головки эндопротеза
Ортопедия и травматология Прислано Alexander Artemiev 08 Июль 2004, 15:35
из
Дорогие коллеги. Мой хороший товарищ, сам травматолог-ортопед, прооперирован 1,5 мес назад. Естественно, начались проблемы. Хотелось бы узнать ваше мнение и, главное,что делать дальше...
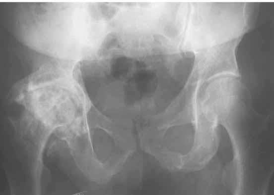
Итак: Мужчина 50 лет. Д-з: Посттравматический деф.артроз правого тазобедренного сустава с выраженным болевым синдромом, стойкой комбинированной контрактурой и укорочением 3 см. Анамнез: 10 лет назад - сочетанная травма головы, груди, конечностей, таза... перелом заднего края вертлужной впадины и вывих бедра справа. Лечился консервативно. 25.05.94 - операция тотальное эндопротезирование правого тазобедренного сустава бесцементным эндопротезом (чашка Споторно 52, ножка Вагнера 225/21, головка L), дополнительная фиксация в кокситной гипсовой повязке в течение 3 нед. Спустя месяц после операции при поворачивании на бок в кровати произошел вывих головки эндопротеза. Под наркозом вывих вправили. Вот 10 дней лежит в постели. Что необходимо делать? Рентгенограммы до операции и после. Рентгенограммы в положении вивиха у меня отсутствуют. Ну наверное они и не столь важны, ведь вывих-то вправили. Учреждение и фамилию пациента, нашего коллеги, называть не буду. Он попросил меня собрать мнения - как ему жить дальше. Заранее благодарен. С уважением Александр Артемьев

Послать ответ

Имя
Email
Уведомление Сообщить мне по e-mail об ответах на это сообщение
Название
Комментарий
(Проверьте URL! Не забудьте написать http://!)
Кодировка
Если не знаете, что выбрать, выберите "Просто текст"!
Приложение
Можно приложить к сообщению файл c изображением, который затем будет доступен увидевшим сообщение.
Подготовка иллюстраций:
  • Рентгенограммы: черно-белые полутоновые изображения в формате JPEG (8 bit, greyscale) с разрешением от 300х200 до 1024х768 пикселов;
  • Клинические фотографии: полноцветные изображения в формате JPEG (24 bit, truecolor) с разрешением от 300х200 до 1024х768 пикселов;
  • Схемы и рисунки: черно-белые (2 bit) штриховые (line-art) изображения в формате GIF или compressed TIFF
  • Подберите степень сжатия файла JPEG и размер изображения таким образом, чтобы необходимые детали были различимы, но размер файла не превышал 75 кб.
  • Учтите, что текущая версия программного обеспечения Форума позволяет приложить к одному сообщению лишь один файл-вложение. Поэтому, если необходимо отправить несколько изображений, можно либо послать каждое как отдельное сообщение, либо в графическом редакторе объединить изображения в одно (сделать коллаж).
  • Если при подготовке изображений встречаются трудности, не стесняйтесь обратиться к координатору Форума.

  • Введите видимые символы в обратном порядке. Enter the above characters in reverse order (*Обязательно)
    В тексте сообщения можно использовать теги HTML <B> <I> <P> <A> <LI> <OL> <UL> <EM> <BR> <TT> <HR> <STRONG> <BLOCKQUOTE> <DIV .*> <DIV> <P .*>
  • Обратите внимание: Поля с жирными названиями обязательны.
  • Старайтесь отвечать в рамках обсуждаемой темы, а не начинать новые обсуждения.
  • Указывайте адекватную тему сообщения, чтобы было ясно, о чем оно.
  • Не послайте сообщений не по теме (оффтопик), раздраженных, грубых или обидных комментариев. Здесь это неуместно.
  • Powered by Zope  Squishdot Powered MedLink
    Посетитель: 0324795
      "По форме правильно, а по существу - издевательство" В.И.Ленин
    ©2001-2019Orthoforum Coordinator.
    [ Главная | Отправить сообщение | Поиск | Админ ]