AOTRAUMA.ORG Центр Илизарова  

Ортопедия и травматология Общие вопросы/General questions Help Информационные технологии в медицине
 вверх
 отправить
 поиск
 админ
 главная


Ургентная консультация
Ортопедия и травматология Отправлено Anton Vladzymyrskyy 28 Июль 2004, 23:18
Коллеги! Кто сейчас в сети - пожалуйста, отзовитесь в течение 40-60 минут. Женщина, 35 лет. Падение с высоты около 2 метров. Травма голеностопоного сустава, перелом таранной кости со смещением
(рентгенограммы вприложении, прошу прощения за низкое качество). Какова тактика лечения?Особенности хирургического вмешательства? Мнения, предложения? Заранее благодарю! С уважением,А.В.ВладзимирскийДонецкий НИИ травматологии и ортопедииДонецк, Украина

<  |  >

 

  • Сообщения о Ортопедия и травматология
  • Также Anton Vladzymyrskyy
  • Связаться с автором
  • Файл-вложение
  • Кликните для загрузки файла xray2.jpg
    24KB (24927 bytes)

  • Ответить

    Re: Ургентная консультация
    George Golubev 28 Июль 2004, 23:32
    Уважаемый Антон,
    Кратко:
    1. Если перелом открытый
    а) дебридмент;
    б) при уверенности к качественной обработке и возможности проведения ДО- и ИНТРА- операционной инфузии
    надежных антибиотиков - остеосинтез винтами;
    в) наложение аппарата внешней фиксации. Если аппарат Илизарова, то база на голени (уровни 1 и 8), "подкова" на стопу или даже полукольцо на пяточную кость. Режим дистракции.
    2. Если перелом закрытый или невыполним пункт 1б, выполнить пункт 1в.
    3. Если у Вас массовое потупление и нет возможности заниматься именно этой больной из-за тяжести других поступивших - блокада места перелома, а лучше - проводниковая анестезия, наложение скелетного вытяжения, ручная коррекция положения фрагмментов кости через 20-30 минут, контроль за состоянием кровообращения. Дальнейшие решения принимать в спокойной обстановке.
    С уважением,
    Г.Ш. Голубев

    [ Ответить ]

    Re: Ургентная консультация
    Alexander Chelnokov 28 Июль 2004, 23:35

    Привет, Антон

    >Кто сейчас в сети - пожалуйста, отзовитесь в течение 40-60 минут.
    >
    >Женщина, 35 лет. Падение с высоты около 2 метров. Травма голеностопоного
    >сустава, перелом таранной кости со смещением (рентгенограммы в
    >приложении, прошу прощения за низкое качество). Какова тактика лечения?

    Мне кажется, лучше начать с дистракционного аппарата "голень-стопа", самой простой компоновки. Если поступает много народу, то и вытяжение за пятку сгодится.

    >Особенности хирургического вмешательства? Мнения, предложения?

    Картинки так себе. Если фрагменты крупные, то планировать открытую репозицию и внутреннюю фиксацию. Если блок сильно разрушен - у нас хорошие впечатления от астрагалэктомии с формированием берцово-пяточного синостоза и билокальным удлинением голени.

    [ Ответить ]

    • Re: Ургентная консультация
      Отправитель: Djoldas Kuldjanov 29 Июль 2004, 09:16
      Alex,
      I could not see images, neither written Cyrillic fonds, if this about case, presenting on your site, I was able to open talar bone urgent case.
      I am agree with you, acute fractures of talar bone, pylon and tibial plateau required spanning temporary ExFix. After 4-5 days depending how big is swelling to perform surgical intervention. After spanning ExFix, new X-ray and CT scan for a better visualization of fragments.
      I thing in his setting just to do two ring Ilizarov fixator.
      Djoldas Kuldjanov

      [ Ответить ]
      • Re: Ургентная консультация
        Отправитель: Jacob Odessky 31 Июль 2004, 01:10
        Здравствуйте, уважаемые коллеги! Позвольте мне несогласиться с мнением, высказаным коллегой по поводу сроков лечения внутрисуставных переломов голени. Мой опыт раннего дефинитивного лечения таких переломов, показывает, что такой подход снижает число осложнений, уменьшает сроки заживления и реабилитаци, улучшает результат лечения. Если по отношению к переломам тибиального плофона и плато( я имею в виду самые тяжёлые случаи), стандартом является провизорная фиксация аппаратом внешней фиксаци до улучшения состояния мягких тканей с последующей минимальной внутреней фиксацией и наружной, то по отношению переломов шейки тараной кости, подобно обсуждаемому, рекомендаци однозначные - ранeе дефинитивное лечение, продиктованое высоким процентом некроза тарана.

        Диагноз: закрытый переломо-вывих таранной кости, двухлодыжечный перелом, подтаранный вывих стопы, асептические некрозы.
        Перелом был закрытый, но были некрозы из-за давления отломков (см.фото).
        Я ранее послал классификацию Хавкина, попробуйте указать в диагнозе к какому типу относится данный перелом
        Оценка проведенного лечения?

        Какие причины, что Вы не фиксировали перелом. На мой взгляд 2 шурупа позволили Вам начать движения в голеностопном суставе. Кроме того Вы пишите, что у больной двухлодыжечный перелом. Судя по снимкам эти переломы так-же не зафиксированы. По сути дела Вы применили аппарат Илизарова вместо гипса как средство иммобилизации, не использовав возможности метода Илизарова.
        Рекомендованную медикаментозную терапию получает. Баротерапия. По поводу повторной операции – пока нет особых мнений.
        Полностью согласен с баротерапией – улучшает оксигенацию тканей, особенно ишемических, способствует профилактике аваскулярного некроза кости, стимулирует заживление переломов

        С уважением. Д-р Одеский Я. А.

        Hello, dear colleagues! Let me disagree with opinion, spoken by a colleague concerning timing of surgery of the intraarticular fractures of the tibia. My experience of early definitive treatment of these cases, shows, that such approach reduces number of complications, reduces healing and rehabilitation time improves result of treatment. If in relation to fractures of the tibial plafond and plateau (I mean complicated cases), the golden standard of treatment is provisional bridging of joint by the external device for soft tissue improvement with the subsequent minimal internal fixation and Ex. Fix., under the attitude of fractures of talar neck, similarly to discussed, recommendations are unequivocal –early definitive treatment, because of high risk of AVN of talus.


        Yours faithfully. Dr. Odessky J

        [ Ответить ]
    Re: Ургентная консультация
    Evgueny Tchekashkine 28 Июль 2004, 23:38
    Уважаемый Антон !

    Не особенно видно по Рг граммам насколько фрагментирован перелом тела таранной кости.
    Подход основан на основном принципе лечения внутрисуставных переломов - реконструкция суставной поверхности.
    Межфрагментарная фиксация винтами фрагментов тела тарана и переднего отростка. если сложности репозиции из переднего доступа, то вполне приличный обзор и возможность реконструкции доступом косой остеотомии внутренней лодыжки, которую после окончанания фиксации тарана рефиксируют либо винтами, либо по Веберу. Не думаю, что закрытая репозиция в аппарате или на вытяжении позволят воссоздать суставную поверхность тарана, а временной фактор в данной ситуации весьма критичен -риск аваскулярного некроза прямопропорционален времени отсрочки.

    Всех благ ,
    Евгений Чекашкин

    [ Ответить ]

    Re: Ургентная консультация
    jacob odesky 29 Июль 2004, 00:17
















    Уважаемый коллега! Не знаю вложился ли я в отведенные Вами минуты, да и снимки не совсем удачные . На мой взгляд у Вашей пациентки перелом шейки таранной кости со смещением. Выше приложена классификация Хавкина.

    Так, что Вы сможете ею воспользоваться. Если Вы имеете возможность сделать Компьютерную томографию- это Вам поможет.

    Лечение оперативное. Доступ передне-медиальный или передне-латеральный в зависимости от смещения в подтаранном суставе. Применение наружного фиксатора может помочь открытой редукции. Внутренняя фиксация с помощию шурупов. Желаю удачи.

    [ Ответить ]

    Re: Ургентная консультация
    Alexander Artemiev 29 Июль 2004, 00:36
    Здравствуйте, дорогие коллеги.
    Я в данном случае абсолютный сторонник открытой репозиции и наружной фиксации. В этом плане подписываюсь под мнением Георгия Голубева, хотя
    реально возможности заочной консультации очень ограничены.
    Хочу обратить внимание на другое.
    Почти наверняка здесь будут острые сосудистые расстройства с
    образование т.н. фликтен, очагов некрозов и пр.
    На эту тему:
    1. Отнеситесь серьезно к общему лечению, в первую очередь направленному на улучшение реологии, включая инфузионную терапию на
    протяжении нескольких дней, антикоагулянты и пр.
    2. Если есть раны или они образуются в результате открытой репозиции, ни в коем случае не зашивайте их плотно (с образованием валика, как это делают общие хирурги на животе). Максимум - наводящие,пусть даже рана зияет.

    Ну и удачи...
    Александр Артемьев

    [ Ответить ]

    Re: Ургентная консультация
    Djoldas Kuldjanov 29 Июль 2004, 17:57
    Uvazhaemyi Anton,

    Perelom tarannyi kosti otkryityi (obyichno 15-20%)ili zakryityi.
    1. Esli otkryityi perelom neobkhodim idti v operacionnoi sdelat khirurgicheskuiu obrabotku Irrigation&Debridment.
    Predvaritelno nalozhit Spanning ExFix, dva 5mm Steinman pin za piatku i verkhnii metaphis tibia. Esli net ExFix obyishnyi apparat Ilizarova iz dvukh kolets

    2. distraction v sustave, bolnoi bolee menee nezavisim, t.e. dazhe na neskolko dnei mozhno vyipisat domoi. Posle sniatia oteka mozhno povtorno gospitalizirovat na okonchatelnuiu
    operacii,

    3. Ex-Fix vo vremia operacii pomozhet s distraction, chto vam net neobkhodimosti nalozhit femoral distractor,

    4. Posle operacii konechnost raspolozhit vyshe, khotia byi na "Shinu Boler", nabliudenie za spadaniem oteka, test spadenia oteka proveriaiut takim obrazom: esli pri sblizhenia okolo golenostopnogo sustava kozhu dvumia paltsami obrazuetsia “morschina” znachit gotov k
    operacii.


    5. Nikogda ne delat razres v svezhem sluchae, osobenno na golenostopnom sustave pri nalichii oteka, esli ecshe bolnoi “kuriacshii” (Nikotin kill’s healing process ) ochen opasno!!. Luchshe podozhdat i sdelat operaciu cherez neskolko dnei. Inache kak “ esli sosisku polozhit v mikrovolnovoi pechi i poderzhat...”, fenomon takoi zhe, nevozhmozhno zakryit ranu.

    6. Drugoe nabliudenie sdelano moimi partnerami: Oxigenation posle travmyi osebenno v nizhnem otdela konechnosti rezko ukhudshaetsia, blagopriatnoe okno pervyie dva chasa, zatem idet k rezkomu padenii oxigenation, vosstanovlenie cherez 6 dnei, issledovanie provodili v Detroit Henry Ford Hospital.


    7. Posle I&D vziat na Aneorobic i Aerobic culturu na chuvstvitelnost i na ranu nalozhit poviazku mnozhestva razryikhlennoi marli, otkryit ranu cherez dva dnia v operacionnoi, dlia povtornoi I&D, pri nalichii negativnoi culture na chuvstvitelnost, mozhno zakryit ranu.

    8. Okonchatelno operaciiu vybrat uchityivaia ot vashego opyita, nevozmozhno davat recomendasii dazhe ne vidia drugikh snimkov i CT scan (recomenduetsia AP mortice and lateral, chtobyi uvidet lateralnyi poverkhnost talar bone i
    Canale vid dlia opredelenia povrezhdenii v medialnoi poverkhnosti talar bone), kotoryi nado sdelat posle nalozhenia ExFix, raspolozhenie otlomkov podskazhet vashu taktiku, s kakoi storonyi idti k perelomu t.e vash dostup.
    CT neobkhodim takzhe dlia opredelenia vozmozhnyikh
    oslozhnenii, pri perelome tarannoi kosti oslozhnenii predostatochno. Est mnozhestv vidov fiksacii, minimal open with cannulated screw ili otkryityi anterior-posterior screw fixation 4.5mm ochen redko 6.5mm. Dostupyi: medialnyi, malleolar osteotomy, anteriolateral, posterior i combinirovannyie.

    Glavnoe ne speshit, net urgentnosti pervyie 40-50 minut, osobenno v nochnoe dezhurstvo “NE VREDI” na kholodnuiu golovu luchshe dumaetsia.

    It's Better not to screw up.. if you don't have to!!

    V. Mooney.. Parkland Hospital 1987

    S uvazheniem,
    Djoldas Kuldjanov, M.D
    [ Ответить ]

    Re: Ургентная консультация
    Djoldas Kuldjanov, M.D. 29 Июль 2004, 18:45
    Anton i uchastniki foruma,

    Izvinite za zapozdalyie snimki.
    Zdes snimki: otkryityi perelom tarannoi kosti

    #1 X-Ray talar s defectom talusa, v snimke vidnyi "busyi iz cementa"
    #2-3 ExFix kozhnyim defectom, Posli I&D, nalozhenie antibioticheskikh "beads" "Busyi iz cementa i antibitika=Tobramycin 1.2gr+ Vancomycin 1.0gr"
    #4 Kozhnaia plastika
    #5 zakryitie kozhnoi plastiki
    #6 Wound Vac application (sponge srezaetsia, zatem zakryivaiut ranu, germetichno nakryivaiut,postiannyi vacuum otsos)
    #7 Do vacuuma
    # 8 Posle vacuuma v operacionnoi

    Kstati v Emergency Room 6:00 AM drugoi bolnoi s perelomom tarannoi kosti, tolko chto posmotrel snimki, dal komandu vziat v operacionnoi, dlia nalozhenia ExFix. Posle operacii budut snimki.

    S uvazheniem
    Djoldas Kuldjanov, M.D.
    Кликните для загрузки файла wound vac final8.jpg
    113KB (116081 bytes)

    [ Ответить ]

    Re: Ургентная консультация
    владимир 30 Июль 2004, 10:56
    ув. антон. судя по снимку(боковая прекция) у пострадавшей в/суставной перелом голеностопного сустава. открытый? на мой взгляд самым оптималным решением будет наложение аппарата из 3колец, база бугристость б/берцевой и пяточная кость с промежуточным кольцом в надлодыжечной области.
    с ув. старостенко.в.г харьковская область.
    [ Ответить ]

    Re: Ургентная консультация
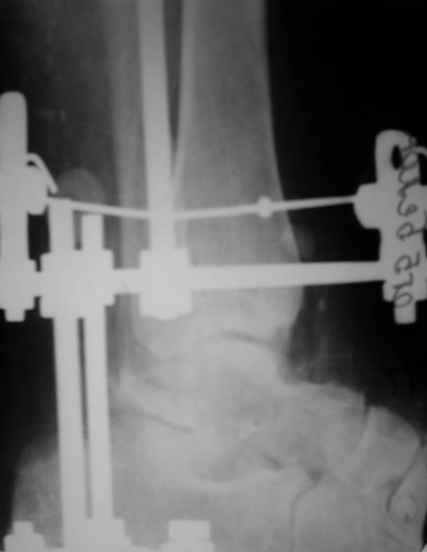
    Anton Vladzimirskyy 30 Июль 2004, 23:12
















    Уважаемые коллеги!

    Огромное спасибо за быстрые и обстоятельные ответы!

    Диагноз: закрытый переломо-вывих таранной кости, двухлодыжечный перелом, подтаранный вывих стопы, асептические некрозы. Перелом был закрытый, но были некрозы из-за давления отломков (см.фото).
    Что сделали. Под наркозом попытка закрытой ручной репозиции - безуспешно. Латеральный доступ, открытая репозиция таранной кости. Наложение АВФ (2 кольца, 2 полукольца на пятке и переднем отделе стопы). Устранение подтаранного вывиха стопы. Послеоперационные снимки в приложении.
    Рекомендованную медикаментозную терапию получает. Баротерапия. По поводу повторной операции - пока нет особых мнений.

    Оценка проведенного лечения?

    Еще раз всем большое спасибо!


    С уважением,
    А.В.Владзимирский
    [ Ответить ]

    • Re: Ургентная консультация
      Отправитель: Alexander Arttemiev 30 Июль 2004, 23:50
      Уважаемый Антон.
      Рентгенологическая картина гораздо более благоприятная, нежели
      прогноз.
      Почти наверняка бедет махровый артроз.
      Поэтому если Вас в какой-то мере смущают неустраненные градусы
      и миллиметры, не стоит за ними гоняться.
      Не могли бы Вы рассказать, коково будет состояние мягких
      тканей через недельку?
      Удачи.
      Александр Артемьев

      [ Ответить ]
    • Re: Ургентная консультация
      Отправитель: Alexander Chelnokov 30 Июль 2004, 23:52
      AV> Диагноз: закрытый переломо-вывих таранной кости, двухлодыжечный перелом,
      AV> подтаранный вывих стопы, асептические некрозы.

      Что за "асептические некрозы"?

      AV> Перелом был закрытый, но были некрозы из-за давления отломков (см.фото).

      Ну, это мелочи.

      AV> Что сделали.
      AV> Под наркозом попытка закрытой ручной репозиции - безуспешно.
      AV> Латеральный доступ, открытая репозиция таранной кости.

      А нет фото интраоперационно? Ни по исходным, ни по итоговым снимкам как-то не очень ясно, что за повреждение таранной кости было. Нельза ли на схеме нарисовать характер перелома?

      AV> Наложение АВФ (2 кольца, 2 полукольца на пятке и переднем отделе
      AV> стопы). Устранение подтаранного вывиха стопы. Послеоперационные
      AV> снимки в приложении.

      Фото послеоперационых снимков немного не в фокусе еще к тому же.

      AV> Рекомендованную медикаментозную терапию получает. Баротерапия.

      Интересно, кто, когда и как доказал пользу от этой медикаментозной терапии и тем более барокамеры? В чем проявляется их эффект?
      Представляется, что аппаратная фиксация и без этих дополнений является достаточным условием для быстрейшего восстановления трофики в зоне повреждения.


      AV> По поводу повторной операции - пока нет особых мнений.

      Да, сейчас вроде все грубые смещения устранены, но таран какой-то деформированный, а за счет нерезкости снимка не очень понятно, за счет чего. Оценивайте симптом Hawkins через 6-8 недель - если остеопороз блока появится к этому сроку, то он живой...

      AV> Оценка проведенного лечения?

      При переломах тарана аппарат хорош для временной фиксации, а окончательная предпочтительнее в виде минимальной внутренней, например, компрессирующими винтами, введенными через проколы. И сразу после заживления ран аппарат можно снять, и заниматься
      движениями, не опасаясь, что фрагменты таранной кости разъедутся. Если отломки тарана фиксировать спицами с упорами в аппарате, чем мы раньше увлекались, то это создает трудности с разработкой.

      [ Ответить ]
    Re: Ургентная консультация
    Одесский Я. А. 31 Июль 2004, 00:56
    Здравствуйте, уважаемые коллеги! Позвольте мне несогласиться с мнением, высказаным коллегой по поводу сроков лечения внутрисуставных переломов голени. Мой опыт раннего дефинитивного лечения таких переломов, показывает, что такой подход снижает число осложнений, уменьшает сроки заживления и реабилитаци, улучшает результат лечения. Если по отношению к переломам тибиального плофона и плато( я имею в виду самые тяжёлые случаи), стандартом является провизорная фиксация аппаратом внешней фиксаци до улучшения состояния мягких тканей с последующей минимальной внутреней фиксацией и наружной, то по отношению переломов шейки тараной кости, подобно обсуждаемому, рекомендаци однозначные - ранeе дефинитивное лечение, продиктованое высоким процентом некроза тарана.

    Диагноз: закрытый переломо-вывих таранной кости, двухлодыжечный перелом, подтаранный вывих стопы, асептические некрозы.
    Перелом был закрытый, но были некрозы из-за давления отломков (см.фото).
    Я ранее послал классификацию Хавкина, попробуйте указать в диагнозе к какому типу относится данный перелом
    Оценка проведенного лечения?

    Какие причины, что Вы не фиксировали перелом. На мой взгляд 2 шурупа позволили Вам начать движения в голеностопном суставе. Кроме того Вы пишите, что у больной двухлодыжечный перелом. Судя по снимкам эти переломы так-же не зафиксированы. По сути дела Вы применили аппарат Илизарова вместо гипса как средство иммобилизации, не использовав возможности метода Илизарова.
    Рекомендованную медикаментозную терапию получает. Баротерапия. По поводу повторной операции - пока нет особых мнений.
    Полностью согласен с баротерапией - улучшает оксигенацию тканей, особенно ишемических, способствует профилактике аваскулярного некроза кости, стимулирует заживление переломов

    С уважением. Д-р Одеский Я. А.

    Hello, dear colleagues! Let me disagree with opinion, spoken by a colleague concerning timing of surgery of the intraarticular fractures of the tibia. My experience of early definitive treatment of these cases, shows, that such approach reduces number of complications, reduces healing and rehabilitation time improves result of treatment. If in relation to fractures of the tibial plafond and plateau (I mean complicated cases), the golden standard of treatment is provisional bridging of joint by the external device for soft tissue improvement with the subsequent minimal internal fixation and Ex. Fix., under the attitude of fractures of talar neck, similarly to discussed, recommendations are unequivocal -early definitive treatment, because of high risk of AVN of talus.


    Yours faithfully. Dr. Odessky J
    [ Ответить ]

    • Re: Ургентная консультация
      Отправитель: Alexander Chelnokov 01 Август 2004, 12:09
      jo> тараной кости, подобно обсуждаемому, рекомендаци однозначные -
      jo> ранeе дефинитивное лечение, продиктованое высоким процентом
      jo> некроза тарана.

      Нсчет раннего лечения - по здравому смыслу доджно бы быть так, однако вот фраза из работы Prognostic factors for avascular necrosis following talar fractures (Schulze W et al. 2002)

      ========================================
      Neither a short interval between accident and operation, the age at the time of the accident, nor the ipsilateral fracture of the medial malleolus showed a necrosis preventive influence.
      =========================================

      jo> Я ранее послал классификацию Хавкина, попробуйте указать в

      Мне казалось, Hawkins произносится Хокинс ;-))

      jo> Какие причины, что Вы не фиксировали перелом. На мой взгляд
      jo> 2 шурупа позволили Вам начать движения в голеностопном суставе.

      Может, планируют позже окончательно зафиксировать?

      jo> по снимкам эти переломы так-же не зафиксированы. По сути дела Вы
      jo> применили аппарат Илизарова вместо гипса как средство
      jo> иммобилизации,

      Точно подмечено.

      jo> не использовав возможности метода Илизарова.

      Но здесь все же представляется предпочтительнее не ограничиваться возможностями только метода Илизарова, а использовать их сочетание с минимальной внутренней фиксацией.

      jo> Полностью согласен с баротерапией – улучшает оксигенацию
      jo> тканей, особенно ишемических, способствует профилактике
      jo> аваскулярного некроза кости, стимулирует заживление переломов

      Опять же, это по умозрительном здравому смыслу. А есть ли данные randomized trials, которые доказывали бы улучшение клинически значимых исходов в результате применения ГБО? Мне найти не удалось. В medline есть единичные работы по некрозу головки бедра, но они и не RCT, и к травме отношения не имеют...

      [ Ответить ]
      • Re: Ургентная консультация
        Отправитель: Яков Одесский 01 Август 2004, 12:14
        Уважаемый Александр!

        Вы написали: "Мне казалось, Hawkins произносится Хокинс"

        Я не большой знаток английского, но в источнике, которым я воспользовался написано: " Hawkin's classification" а не Hawkins classification, следовательно фамилия человека не Хокинс, а Хоукин или по русски – Хавкин, а классификация Хавкина.


        Вы написали: "Но здесь все же представляется предпочтительнее не ограничиваться

        возможностями только метода Илизарова, а использовать их сочетание с минимальной внутренней фиксацией."


        Я полностью разделяю Ваше мнение – смотрите выше мой постинг с классификацией.

        По поводу баротерапии – по травме работ я не встречал тоже.

        С уважением Одесский Я.А

        [ Ответить ]
        • Re: Ургентная консультация
          Отправитель: Alexander Chelnokov 01 Август 2004, 12:18






          Saturday, July 31, 2004, 2:13:09 AM, you wrote:

          jo> воспользовался написано: " Hawkin's classification" а не Hawkins
          jo> classification , следовательно фамилия человека не Хокинс, Хоукин
          jo> или по русски - Хавкин, а классификация Хавкина.

          Видимо, это была опечатка, первоисточник вот: Hawkins LG. Fractures of the neck of the talus. J Bone Joint Surg 1970;52A:991-1002.
          В приложении - симпатичная анимированная иллюстрация этой классификации.

          jo> минимальной внутренней фиксацией."
          jo> Я полностью разделяю Ваше мнение - смотрите выше мой постинг с
          jo> классификацией.

          К сожалению, усилитель рентгеновского изображения и канюлированные винты до сих пор доступны не повсеместно в xUSSR, так что традиция ограничиваться аппаратной фиксацией еще сильна...

          jo> По поводу баротерапии - по травме работ я не встречал тоже.

          В xUSSR этот метод особенно гипертрофирован. Хотя трезвое отношение уже появилось - http://medgazeta.rusmedserv.com/2000/12/article_821.html

          [ Ответить ]
      • Re: Ургентная консультация
        Отправитель: Evgueny Tschekashkin 01 Август 2004, 12:24
        Уважаемый Александр !

        Согласен с твоим мнением, коль скоро закрытая репозиция была безуспешна и пришлось открывать сустав для вправления подтаранного вывиха нужно было репонировать и фиксировать спицами мелкие фрагменты и винтами более крупные, внешний фиксатор в данной ситуации выполняет скорее стабилизирующую и нейтрализующую функцию поврежденного сегмента, признаться необходимости в дистракции при репонированном и фиксированном перелома тарана я не вижу. не очень убедительно звучит и тема про асептический некроз, если говорить о кровоснабжении тела тарана, которое однозначно страдает при подобном переломе, то правильнее было бы говорить об аваскулярном некрозе, но в данных временных рамках подобный прогноз выглядит не очень определенно,вероятность есть, а как будет развиваться процесс дальше - жизнь покажет, чем раньше перелом репонирован и фиксирован - меньше риск аваскулярного некроза, поэтому в идеальных условиях, хирургия должна быть выполнена в первые часы после травмы, пока не успел развиться отек мягких тканей.
        Эффективность барокамеры для профилактики некроза мягких тканей и АВН тарана мне кажется, мягко говоря, несколько преувеличена. Зато имеется четкая корреляция между уровнем перфузии тканей и качеством репозиции смещенных отломков, временем мобилизации.

        С наилучшими пожеланиями,
        Евгений Чекашкин
        Саша , спасибо за разъяснения по поводу классификации *Хавкина*, а то картинки знакомые, а вот имя новое, а ларчик открывался очень просто, как оказалось:-))

        [ Ответить ]

     

    ( Ответить )

    Powered by Zope  Squishdot Powered MedLink
    Посетитель: 0197438
      "По форме правильно, а по существу - издевательство" В.И.Ленин
    ©2001-2019Orthoforum Coordinator.
    [ Главная | Отправить сообщение | Поиск | Админ ]