AOTRAUMA.ORG Центр Илизарова  

Ортопедия и травматология Общие вопросы/General questions Help Информационные технологии в медицине
 ВХОД ДЛЯ ПАЦИЕНТОВ
 вверх
 поиск
 админ
 главная
 исходное
 последующие


Re: Acetabular fracture
послал Djoldas Kuldjanov, M.D. 09 Сентябрь 2004, 00:42
















Уважаемые коллеги, Евгений

>Инлет проекция и Кт таза были выполнены. Вот в отношении Judet views
>в остром периоде как то не очень лежит душа поворачивать больного

-Понимаю:., но с Judet views легче классифицировать перелом. При разработке классификации перелома ацетабулум Emil Letournel имел только три основные рентгеногафические позиции, впоследствии названные им в честь своего босса Judet (братья R&J. Judet), с которым он проработал всю жизнь. Для классификации перелома ацетабулум КТ стали применять чуть позже.

> Вопрос, который возник у меня- по поводу оптимальной тактики
> хирургии: вся фиксация в один этап из расширенного доступа или
> последовательно сначала бедро и позже реконструкция впадины,
> комбинированный доступ к впадине отдельно к передней и задней
> колоннам или из расширенного илеофеморального одного доступа.

-С идеей extended iliofemoral approach согласен, хотя он очень травматичный, если Вы выбрали данный доступ, то пластина должна сидеть снаружи на супра ацтабулярной поверхности?

Осторожно с гетеротопической оссификацией, доступ дает наибольшее процент осложнении.

Что вы делаете для профилактики НО и профилактики тромбоза (DVT), все-таки политравма и каков режим для мобилизации? Мой режим: при отсутствии других противопоказаний, ставить на костыли без нагрузки на конечность на 12 недель и назначение профилактической дозы Lovenox 40 mg ежедневно до активизации больного и с ежемесячным рентген контролем.

Для профилактики НО одноразовая 600-1000 рад. облучение или аспирин, хотя разные мнения по поводу облучения, но при extended iliofemoral approach я бы провел одноразовую облучение.

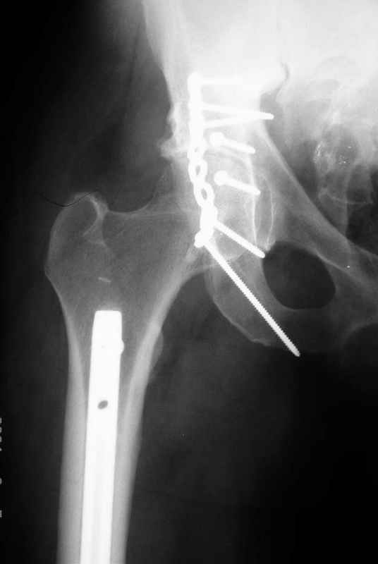
>Все-таки решил остановиться на одноэтапном подходе и спустя 5 дней
>(как раз и наборы привезли) из расширенного илеофеморального доступа
>сначала фиксировал реконструктивным штифтом Smith&Nephews бедро и
>шейку (благо перелом шейки 2 типа -относительно стабильный) затем
>фрагмент крыла подвздошной кости
>Lag screw, далее пластина на заднюю колонну и винты в переднюю колонну.

Пластина на обе колонны и Lag screw с передней к задней, тактика правильная.

>(с размерами и направлением винтов ошибка вышла:-((, но
>интраоперационно у меня была полная уверенность , что винты *ушли* в
>лонную кость).

с кем не бывает: интраоперационно порою бывает сложно оценить трехмерно, опыт и оснащение: intraoperative C-arm image and radiolucent operative table (Jackson type) and possible Judet table.

>> Что фиксировать первым в Ipsilateral Femoral and Neck fractures,
>> это часто задаваемый вопрос на экзамене в American Board of
>> Orthopedic Surgery и правильный ответ: фиксация шейки затем бедро.

>Вопрос интересный, но практически закрытая репозиция нестабильного
>перелома шейки бедра при нефиксированном диафизарном переломе
>представляется мне сложным делом, ведь необходимая дистракция и
>ротационный маневр, прежде всего прикладываются к диафизарному
>перелому. С открытой техникой это проще, но каков принципиальный
>момент в подходе, требуемом американским бордом?

Согласен, при открытой технике любой метод подойдет, в зависимости от оснащения, как говорят "dealer choice", кому Cadillac, кому Запорожец.
При закрытом ипсилатерал переломе бедра и шейки, сперва фиксация перелома шейки, затем бедра, такой ответ удовлетворит американ борд.
Ответь правильно на экзамене, а в жизни делай, как тебе нравится.

>Ведь очевидно, что фиксация ипсилатеральных переломов осуществляется
>в один этап и второй момент в том, что все разнообразие
>реконструктивных штифтов предназначенных для фиксации ипсилатеральных
>переломов основано на фиксации диафиза и потом через направитель
>проводится винт в шейку и не наоборот?
>Хотя если рассматривать поэтапный подход, то безусловно шейка
>фиксируется в первую очередь(если состяние больного не позволяет
>выполнить все одномоментно.)

При закрытом рекон найл, да - бедро, затем шейка, я имел виду, если больной уж очень, очень тучный (если ваших краях такие больные редкость, то у меня выращенных на технологии Макдональдс уйма)
ретроградное введение бедра штифта легче, чем антеградное.
Обычно я временно стабилизирую шейку спицами, затем ретроградно бедро, здесь и рычаг и ротация, а потом возвращаюсь к шейке и фиксирую окончательно.
При рекон наил, мои особенные почтения:
(Recon Type of Nail 75% femoral Neck nonunion, Ipsilateral Neck/Shaft Fx. Complications And Their Treatment, Watson JT, Moed BR:CLIN ORTHOP 399; 78-86 2002 ) нет проблем, можно применить Рекон наил легко и быстро, только необходим обьяснить больному о возможности повторной операции на шейке.W%W

>> Сакро-илиак разрыв рекомендуется фиксация cannulated screws, или
>> если разрыв небольшой
>Учитывая, что только передний связочный комплекс был поврежден( по
>данным КТ),поэтому от фиксации винтами я воздержался.

Правильно, согласен..

>И первое и второе, пока в стадии равзития (свой тазовый набор
>госпиталь не покупает, предпочитая каждый раз заказывать из Joburga),
>опыт тоже постепенно появляется.

Для неопытного неплохая работа, желаю в следующий раз чтобы у тебя "сэрдце не затрепетало" от увиденного после операци рентгенограммы, удачи тебе.

А опыт конечно нужен, который набирается со временем, будешь в наших краях, зайди потолкуем. Что такое Joburga, это Казахстан?



Послать ответ

Имя
Email
Уведомление Сообщить мне по e-mail об ответах на это сообщение
Название
Комментарий
(Проверьте URL! Не забудьте написать http://!)
Кодировка
Если не знаете, что выбрать, выберите "Просто текст"!
Приложение
Можно приложить к сообщению файл c изображением, который затем будет доступен увидевшим сообщение.
Подготовка иллюстраций:
  • Рентгенограммы: черно-белые полутоновые изображения в формате JPEG (8 bit, greyscale) с разрешением от 300х200 до 1024х768 пикселов;
  • Клинические фотографии: полноцветные изображения в формате JPEG (24 bit, truecolor) с разрешением от 300х200 до 1024х768 пикселов;
  • Схемы и рисунки: черно-белые (2 bit) штриховые (line-art) изображения в формате GIF или compressed TIFF
  • Подберите степень сжатия файла JPEG и размер изображения таким образом, чтобы необходимые детали были различимы, но размер файла не превышал 75 кб.
  • Учтите, что текущая версия программного обеспечения Форума позволяет приложить к одному сообщению лишь один файл-вложение. Поэтому, если необходимо отправить несколько изображений, можно либо послать каждое как отдельное сообщение, либо в графическом редакторе объединить изображения в одно (сделать коллаж).
  • Если при подготовке изображений встречаются трудности, не стесняйтесь обратиться к координатору Форума.

  • Введите видимые символы в обратном порядке. Enter the above characters in reverse order (*Обязательно)
    В тексте сообщения можно использовать теги HTML <B> <I> <P> <A> <LI> <OL> <UL> <EM> <BR> <TT> <HR> <STRONG> <BLOCKQUOTE> <DIV .*> <DIV> <P .*>
  • Обратите внимание: Поля с жирными названиями обязательны.
  • Старайтесь отвечать в рамках обсуждаемой темы, а не начинать новые обсуждения.
  • Указывайте адекватную тему сообщения, чтобы было ясно, о чем оно.
  • Не послайте сообщений не по теме (оффтопик), раздраженных, грубых или обидных комментариев. Здесь это неуместно.
  • Powered by Zope  Squishdot Powered MedLink
    Посетитель: 0000006
      "По форме правильно, а по существу - издевательство" В.И.Ленин
    ©2001-2019Orthoforum Coordinator.
    [ Главная | Отправить сообщение | Поиск | Админ ]