AOTRAUMA.ORG Центр Илизарова  

Ортопедия и травматология Общие вопросы/General questions Help Информационные технологии в медицине
 вверх
 отправить
 поиск
 админ
 главная
 Предыдущее


Re: ANKLE FRACTURE
Evgueny Tschekashkin 12 Сентябрь 2004, 15:08
Dear Andrea,

I would suggest to fix the fibular fracture at the very beginning and under fluoroscopical control and axial traction try to restore articular surface stabilizing percutanously by K wires and cannulated screws, type of external fixation to be used is up to your preference.

Good luck,
Regards,
Evgueny I. Tchekashkine MD( Moscow)
orth. dept, WCH, Windhoek, Namibia
  • Сообщения о Ортопедия и травматология
  • Также Evgueny Tschekashkin
  • Связаться с автором
  • Ответить

    Re: ANKLE FRACTURE
    Alexander Chelnokov 12 Сентябрь 2004, 15:11
















    Я вот все в толк не возьму смысл отдельной фиксации малоберцовой кости пластинкой, если все равно будет аппарат с фиксацией стопы, т.е. возможностью провести спицы в пятку, таран, наружную лодыжку и еще черт-те куда. Остеосинтез пластинкой выглядит логичным в случае, когда наружная фиксация планируется как временная. Но тут-то аппарат будет окончательным фиксатором.

    Еще, кстати, о фиксации лодыжки, если уж непременно хочется ее отдельно стабилизировать - при таком характере перелома замечательно должен сработать предложенный проф. Лазаревым с соратниками способ фиксации напряженной V-образной спицей. Опять же, открытая репозиция не нужна, мы делаем непрямую репозицию именно аппаратом. В приложении пример, там перелом малоберцовой куда менее поперечный, чем в данном случае, но все равно получилось закрыто без пластинки.

    I can't realize why plate fibula separately if anyway external fixator including the foot is planned, i.e. one may insert wires to the talus, calcaneus, lateral malleolus and anywhere else. Plating looks reasonable if only temporary ex-fix is planned, but in the case it will be definitive.

    A propos fibular fixation if one is eager to stabilize it separately. In the fracture pattern a way of closed fixation by V-shaped stressed wire (advanced by colleagues from Moscow, prof. Lazarev A.F. et al.) must be excellent. We use indirect closed reduction by the external fixator. Example attached, that fibular fracture is even more suitable for plating but the wire did the job.
    [ Ответить ]

    • Re: ANKLE FRACTURE
      Отправитель: Enes M. Kanlic 13 Сентябрь 2004, 00:39
      Alex,
      As I mentioned before (down), in Dr. Salvi's case, I am for temporary fixation, sparing even the talus (not to get wire as possible vehicle for contamination) and than early fusion.

      Fixing the fibula, will provide some stability to the ankle and through the incision relatively far from the major zone of injury (antero-medial), and if we do want to restore the anatomy (if feasible), that is the first step - as T. Rüedi told us a long time ago.

      Your (or Dr. Lazarev) case is nice but a quite different. The stability is obviously provided by very well placed nail, and "soft and bent" wire does provide just some weak reinforcement to the construct - I would prefer the plate if tissues are good, or "real" nail, like Rush - non locked,
      percutaneous large cannulated screw, or even locked (Biomet SST fibular nail)... (examples some other time, I have work to do...)

      There are different ways to skin the cat, but I guess, we agreed that is good to fix the fibula in distal nailed tibia fractures, aren't we!?

      Enes M. Kanlic, MD, PhD
      Associate Professor
      Department of Orthopaedics
      TTUHSC in El Paso, Texas

      [ Ответить ]
      • Re: ANKLE FRACTURE
        Отправитель: Alexander Chelnokov 13 Сентябрь 2004, 01:56
        KEMMD> fixation, sparing even the talus (not to get wire as possible vehicle for
        KEMMD> contamination)

        If the foot is fixed by a wire in the metatarsus, any motions are excluded, and risk of contamination anywhere around the ankle is
        extremely low.

        KEMMD> and than early fusion.

        I have no experience of so early fusion in such comminuted case. So many avascular fragments... The talus would contact with nothing, and a graft will "hang in the air". I would still try closed reconstruction of the distal tibia at least to provide more host for the fusion and postpone it for few months.

        If plan to do something early - maybe perform shaft corticotomy and bone transport to the talus? I bet it would take less time than wait for the fusion after open surgery in 2-3 weeks.
        Or maybe perform a closed tibia-talar nailing as is? Then control the healing and add grafts from time to time.
        Or maybe combine these? Corticotomy, transport of the peice of the tube down to the talus, then small incision for talar cartilage removal, and after docking perform conversion to nailing.

        KEMMD> Fixing the fibula, will provide some stability to the ankle and through the
        KEMMD> incision relatively far from the major zone of injury (antero-medial), and

        What instability of the ankle we are talking about if the tibia and the foot are fixed by the fixator? No forces are applied to the fibula in the environment.

        KEMMD> provide just some weak reinforcement to the construct

        I didn't perform stress tests, at least it prevents fibula against secondary displacement. Stressed 2 mm double wire is not so weak.
        I used it only in two fibular cases recently. Colleagues from Moscow use the wires mostly for proximal humerus and even femoral neck.

        KEMMD> - I would prefer the plate if tissues are good, or "real"
        KEMMD> nail, like Rush - non locked, percutaneous large cannulated
        KEMMD> screw, or even locked (Biomet SST fibular nail)... (examples

        I realize what you mean. I also have seen a very attractive small nail which is locked by multiple wires - if it is available, it is great. But when the tibia is stablized by a nail or external fixator the stressed wire looks quite enough as a supplement for such a small bone.

        KEMMD> There are different ways to skin the cat, but I guess, we
        KEMMD> agreed that is good to fix the fibula in distal nailed tibia
        KEMMD> fractures, aren't we!?

        If the tibia is broken at the distal level, and fibula - at the midshaft, no need to touch it. To my mind fixation of the fibula is necessary for low fibular/malleolar fractures, when the ankle mortise is or near to be involved. For stabilization of the tibia it plays no role. Just take a large nail and use all locking options for the distal fragment.

        [ Ответить ]
    • Re: ANKLE FRACTURE
      Отправитель: Evgueny Tschekashkin 13 Сентябрь 2004, 02:10
      Уважаемый Александр,

      АЧ- Я вот все в толк не возьму смысл отдельной фиксации малоберцовой кости
      > пластинкой.....

      ЕЧ При подобных переломах фиксация малоберцовой кости обеспечивает низведение латерального тибиального фрагмента - появляется ориентир для
      восстановления уровня суставной поверхности, восстанавливается первоначальная длина сегмента и латеральный отдел голеностопа, от него и продолжается реконструкция средне-медиального отдела сустава - это принцип фиксации подобных переломов, сначала м.б. потом уже все остальное, я предложил такой подход, потому что знаю это работает.


      АЧ> фиксации напряженной V-образной спицей.

      ЕЧ Фиксация 3,5 мм 1/3 трубчатой пластиной считается общепринятым методом, но безусловно не догмой, если существует альтернатива, обеспечивающая стабильную фиксацию и меньшую травматичность, то почему бы и нет. Я не уверен, что Adrea знакома с этой техникой и её принципом, ровно как и её коллеги иначе бы вопросов не возникало, а в такой ситуации, не имея личного доказательного опыта работы спицевой методики фиксации начинать чревато судебными исками в случае неудачи или каких-либ о осложнений, а вероятность таковая всегда имеется( она прислала только Ргграммы, но при такой массивной костной травме мягкие ткани далеко не в лучшей форме)


      АЧ > Опять же, открытая репозиция не нужна, мы делаем непрямую репозицию именно аппаратом.

      ЕЧ Можно и без открытия зоны перелома- subcutanous plating, В.В. Оленин оперировал Богдановскими стержнями, у детей я применяю Rush nails - простор для деятельности полный, если кто-то больше любит аппаратный метод и он работает в его руках - полный вперед !!!
      Я посоветовал, как бы это сделал я в своих условиях, единственное, что я бы хотел еще сказать - не торопился бы с первичным артродезом - нередко
      РГграмма выглядит ......... нет слов, а больной ходит с полной нагрузкой и без болей с приемлемым объемом движений г\ст сустава для ходьбы

      Всего Доброго,
      ЕИ Чекашкин

      [ Ответить ]
      • Re: ANKLE FRACTURE
        Отправитель: Alexander Chelnokov 13 Сентябрь 2004, 02:12
        Глубокоуважаемый Evgueny,

        Monday, September 13, 2004, 1:32:55 AM, you wrote:

        ET> ЕЧ При подобных переломах фиксация малоберцовой кости обеспечивает
        ET> низведение латерального тибиального фрагмента - появляется ориентир для

        Не спорю - но аппарат-то раз есть, и надолго, в нем и низводить можно? Или одномоментно низвести, в аппарате закрыто фиксировать.

        АЧ>> фиксации напряженной V-образной спицей.
        ET> ЕЧ Фиксация 3,5 мм 1/3 трубчатой пластиной считается общепринятым методом ,
        ET> но безусловно не догмой, если существует альтернатива, обеспечивающая
        ET> стабильную фиксацию и меньшую травматичность, то почему бы и нет. Я не

        Да, есть не одно интрамедуллярноек устройство, годящееся тут.

        ET> ( она прислала

        Andrea - это не "он"?

        ET> только Ргграммы, но при такой массивной
        ET> костной травме мягкие ткани далеко не в лучшей форме)

        А тут еще разрез, да накостный фиксатор...

        АЧ >> Опять же, открытая репозиция не нужна, мы делаем непрямую репозицию
        ET> именно аппаратом.
        ET> ЕЧ Можно и без открытия зоны перелома- subcutanous plating, В.В. Оленин
        ET> оперировал Богдановскими стержнями, у детей я применяю Rush nails - простор

        Да, есть и тонкие блокируемые, и много.

        ET> для деятельности полный, если кто-то больше любит аппаратный метод и он
        ET> работает в его руках - полный вперед !!!

        Так тут аппарат уже практически избран как средство окончательной фиксации. Зачем тогда лпастинка? Еще раз - не вообще зачем наружную лодыжку фиксируют пластинкой (я тоже журнал "Здоровье" читаю ;-), а зачем, когда аппаратом все и вся будет охвачено, и надолго, внутрь него пихать пластинку? Enes пояснил - чтобы не проводить спицы, чтобы избежать инфекции, мол. Так себе резон.

        ET> Я посоветовал, как бы это сделал я в своих условиях, единственное , что я
        ET> бы хотел еще сказать - не торопился бы с первичным артродезом - нередко

        Согласен полностью.

        [ Ответить ]
        • Re: ANKLE FRACTURE
          Отправитель: Evgueny Tschekashkin 16 Сентябрь 2004, 21:25
          АЧ> Не спорю - но аппарат-то раз есть, и надолго, в нем и низводить можно?
          > Или одномоментно низвести, в аппарате закрыто фиксировать.
          ЕЧ Как твой зарубежный респондент ответил: there are many ways to skin the
          cat:-))
          К тому же ситуация свежая и очень нестабильная, поэтому восстановить длину и по возможности суставную поверхность, можно при однократной дистракции - на этом все возможные чудеса аппарата и должны закончиться

          АЧ> Andrea - это не "он"?
          ЕЧ Сдается мне, что это *она*, ежели был бы *он*, тогда бы не Andrea but Andreas, хотя может и не прав, sorry.

          АЧ> Так тут аппарат уже практически избран как средство окончательной

          > фиксации. Зачем тогда лпастинка?
          ЕЧ Без разницы: пластина, блокирующий тонкий стержень - идея одна -одномоментно получить анатомически достоверную отметку, landmark,reference point для того, что бы к ней уже лепить все остальное, а довод Enesа по поводу инфекции и тд не совсем убедителен, в этом я с тобой согласен.

          Всего доброго и спокойной ночи( мой дежурный weekend до сих пор был спокоен, но мне бы ночь продержаться, не вылезая из кровати:-))-на завтра список спасаемых уже готов),
          Евгений

          [ Ответить ]
          • Re: ANKLE FRACTURE
            Отправитель: Djoldas Kuldjanov, M.D. 16 Сентябрь 2004, 22:00





















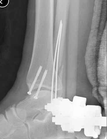
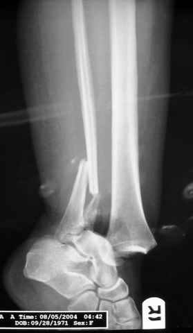
            Второй случай сделан из одного разреза
            Дж

            [ Ответить ]
            • Re: ANKLE FRACTURE
              Отправитель: Evgueny Tschekashkin 16 Сентябрь 2004, 22:08
              ЕЧ LISS plate, mininvasive approach - luxurous !
              Вопрос практического характера - такой подход рутинный или при определенных показаниях и каких? Спрашиваю потому, что при потоке больных - закрытая голень, бедро, голеностоп и т.д. лучевая нагрузка должна быть немалая, каковы показатели дозиметра после такого операционного дня и при 2-3 операционных днях в неделю по 5-6 случаев (не считая ургентностей)?
              С точки зрения : Сгорая сам - свети другим :-)) это вполне понятно, но личная практика показывает, что далеко не все пациенты относятся волнительно и критично к длине кожного разреза. Подозреваю, что это и есть критерий при выборе техники фиксации?
              На прямой проекции послеоперационного Рг макроскопически все выглядит очень анатомично, при микроскопическом ( :-)) ) рассмотрении можно все-таки заметить вальгизацию тарана, суставная щель в латеральном отделе сустава несколько уже , чем в медиальном при отсутствии латерального смещения тарана. У меня был аналогичный случай (без LISS , без мини доступа) с вальгусным наклоном тарана при восстановленном ankle mortise при последовательном наблюдении с интервалами в 6-8 недель в послеоперационном периоде отмечалось прогрессирующее сужение суставной щели в латеральном отделе сустава, закончившееся посттравматическим ОА, к счастью боли умеренные, купируемые аналгетиками или своими эндорфинами:-))(активная пациентка, у которой нет времени на болезни....) Какова жизненная ситуация в приведенном вами случае? И последнее, что я хотел бы прояснить для себя - фиксация внутренней лодыжки: я обычно комбинирую фиксацию компрессирующим винтом со спицей - по идее ротационная стабильность должна быть лучше, чем один винт, каковы ваши наблюдения в этом плане?

              Заранее благодарен за ответы,
              Всего Доброго,
              Евгений И. Чекашкин

              [ Ответить ]
        • Re: ANKLE FRACTURE
          Отправитель: Djoldas Kuldjanov, M.D. 16 Сентябрь 2004, 21:34

































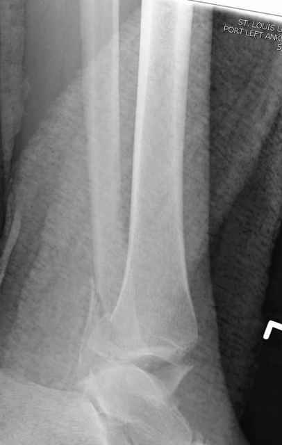
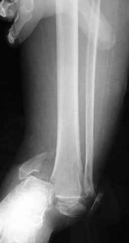
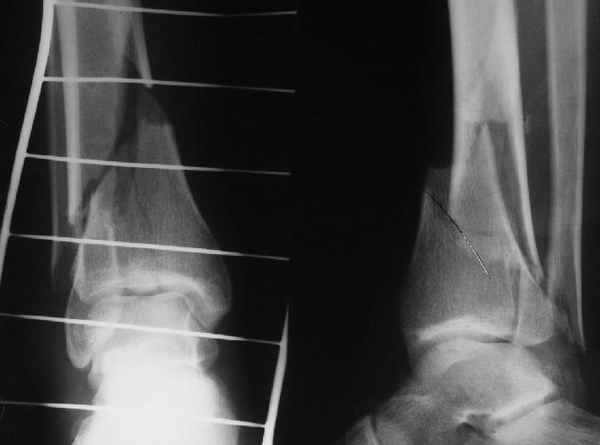
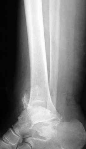
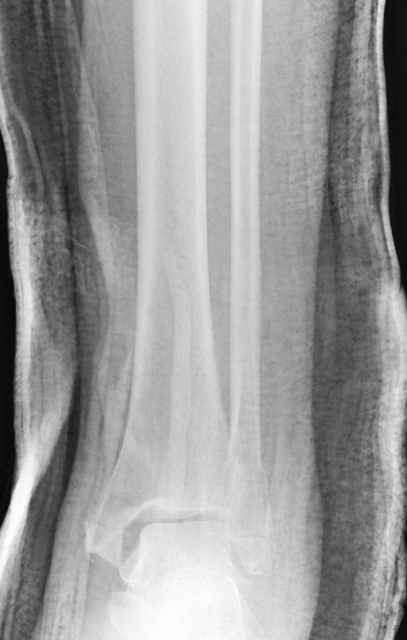
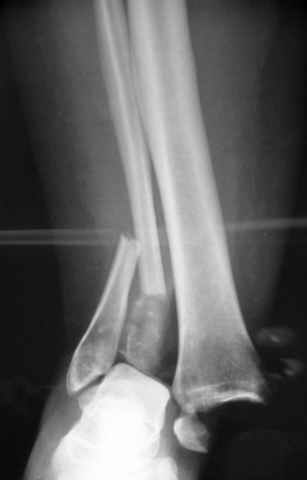
          Pilon fracture:

          ET> ЕЧ При подобных переломах фиксация малоберцовой кости обеспечивает
          ET> низведение латерального тибиального фрагмента - появляется ориентир для

          -Появляется ориентир и остов, на чем можно строить восстановление, почему сперва малоберцовую, впервые обьяснили и описали (Pylon type and Ankle fractures) в середине 50х Rienau и Gay.
          Восстановливая длину и ротацию малоберцовой кости, затем относительно легче произвести реставрацию остальных элементов перелома дистального эпиметафиза болшеберцовой кости.
          1 .Changes in Tibiatalar Area of Contact Caused by Lateral Talar Shift
          By Paul Ramsey, MD and William Hamilton 58A 356 JBJS
          2. The Key Role of the Lateral Malleolus in Displaced Fractures of the Ankle
          By Isadore Yablon, M.D., Frederick Heller, M.D., LeRoy Shouse 59A 169JBJS

          где исследования на трупах показали, что малоберцовая кость участвует в стабильности голеностопного сустава, поддерживая наклон тарана (talar tilt) за счет связок. После ознакомления работой Ramsey в ортопедию ввели термин "при переломах голеностопного сустава смещенная
          таранная кость следует за малоберцовой костью" т.е. связка не рвется, а тянет таран за собой, поэтому восстановление малоберцовой кости в
          первую очередь, затем остальных элементов - стал классическим при лечении данной патолгии. Латеральная колонна (столб), дистальный
          конец малоберцевой кости, к нему прикрепляется латеральный суставной фрагмент дистального эпиметафиза большеберцовой кости (как на снимке)
          и таранная кость, которые при репозиции малоберцовой кости репонируются автоматически.

          АЧ>Не спорю - но аппарат-то раз есть, и надолго, в нем и низводить
          АЧ>можно? Или одномоментно низвести, в аппарате закрыто фиксировать.

          -Малоберцовую! Можно низвести аппаратом или пластиной.

          АЧ>> фиксации напряженной V-образной спицей.

          Идея хорошая, особенно если короткий и поперечный перелом. Узнал о методе на прошлогодней конференции в Санкт Петербурге, доклад от ЦИТО,
          и в доказательство Александр показал на своих снимках оригинальность метода, концепция "сделай сам имплант" из малого разреза и доступность. (при совершенствовании методики и инструментарии, метод может быть применен и в других случаях)

          ET>> ЕЧ Фиксация 3,5 мм 1/3 трубчатой пластиной считается общепринятым методом ,
          ET>> но безусловно не догмой, если существует альтернатива, обеспечивающая
          ET>> стабильную фиксацию и меньшую травматичность, то почему бы и нет. Я не

          АЧ>Да, есть не одно интрамедуллярноек устройство, годящееся тут.

          -С появлением новых имплантов, которые делятся на правые и левые, задней или латеральной аппликации, жесткие с локинг концепт, которые сидят на кости анатомически, применение 1/3 тубулярных пластинок
          отходит на второй план из-за ее слабости. Если применить 2 пластины уложенные друг на друга, слабость этих пластинок можно скомпенсировать.

          Слабая несостоятельная пластина приводит к вальгусной деформации и риск осложнений нарастает, особенно если линия перелома находится выше
          метафизарной зоны, в диафизе, где имеется риск замедленного сращения, тогда адекватно применение более жесткой конструкции 3.5 мм динамической компрессионной пластины.
          При косых переломах малоберцовой кости применение пластин отличается от обычных, показание antiglade technique-методика против скольжения, потому что укорочение длины малоберцовой кости чреваты ранними артрозами.

          Из работ Ramsey and Hamilton, Yablon et., укорочения на 1мм
          малоберцовой кости, уменьшает на 42% контактную поверхность между
          малоберцевой и таранной кости, которое в свою очередь приводит к
          увеличению давления на остальные части суставной поверхности, что
          является предпосылкой раннего артроза.

          The unsatisfactory clinical results sometimes associated with slight widening of the ankle mortise and 42% reduction in the area of contact
          between the tibia and talus with one millimeter of lateral displacemet emphasize the importance of restoring the normal roentgenographic relationship of the talus to medial malleolus after ankle
          injures. Since the stress per unit area increases as the total area decreases, a decrease in contact area may be a factor contributing to a poor result after ankle or dislocation when talar displacement is one millimeter or more.

          Традиционная техники АО, открытая, с точной репозицией суставной поверхности и жесткой фиксацией, из-за серёзных осложнений, которые
          заканчивались ампутацией, уходит в прошлое.
          Техника сегодня более щадящая, временные несложные аппараты наружной фиксации: Spanning 2 pin ExFix, Traveling traction для лигаментотаксиса, иначе сокращенные мягкие ткани невозможно восстановить позже.
          За последнее 10-12 лет после стабилизации малоберцовой кости, стали применять более усовершенный, сложный, хорошо вам известный метод
          Илизарова (кстати наряду с тибиал плато, пилон является одним из показанием по применению аппарата Илизарова при травмах) или Hybrid
          Fixator, из минимальных доступов комбинированный метод для восстановления суставной поверхности-фиксация каннулированными
          шурупами, создания жесткой системы фиксации до сращения перелома, защита от вальгусной деформации и на место образовавщегося метафизарного дефекта- костная пластика ауто костью или его
          синтетические заменители, это сегодняшная тактика лечения.

          АЧ> А тут еще разрез, да накостный фиксатор...

          Я думаю, идет разговор только о латеральном доступе к малоберцовой кости

          АЧ >> Опять же, открытая репозиция не нужна, мы делаем непрямую
          АЧ >> репозицию именно аппаратом.
          ET> ЕЧ Можно и без открытия зоны перелома- subcutanous plating, В.В. Оленин
          ET> оперировал Богдановскими стержнями, у детей я применяю Rush nails - простор

          АЧ> Да, есть и тонкие блокируемые, и много.

          ET> для деятельности полный, если кто-то больше любит аппаратный метод и он
          ET> работает в его руках - полный вперед !!!

          АЧ>Так тут аппарат уже практически избран как средство окончательной
          АЧ>фиксации. Зачем тогда лпастинка? Еще раз - не вообще зачем наружную
          АЧ>лодыжку фиксируют пластинкой (я тоже журнал "Здоровье" читаю ;-), а
          АЧ>зачем, когда аппаратом все и вся будет охвачено, и надолго, внутрь
          АЧ>него пихать пластинку? Enes пояснил - чтобы не проводить спицы,
          АЧ>чтобы избежать инфекции, мол. Так себе резон.

          Дистракция в аппарате или на вытяжение результат - лигаментотаксис, посмотреть бы, как сегодня расположены отломки.

          ET>>бы хотел еще сказать - не торопился бы с первичным артродезом - нередко

          АЧ>Согласен полностью.

          -Совершенно согласен артродез в остром периоде, нечем фиксировать и мягкотканые осложнения пугают любого. Выжидательная тактику рекомендовал бы для данного больного, через несколько месяцев после сращения всех фрагментов, если делать артродез, то будет на что лепить конструкцию.

          Джолдас Кульджанов


          [ Ответить ]
          • Re: ANKLE FRACTURE
            Отправитель: Evgueny Tschekashkin 16 Сентябрь 2004, 21:57
            Джолдас, Здравствуйте,

            Спасибо за подробные и аргументированные комментарии.

            > АЧ>> фиксации напряженной V-образной спицей.
            >
            > Идея хорошая, особенно если короткий и поперечный перелом. Узнал о
            > методе на прошлогодней конференции в Санкт Петербурге, доклад от ЦИТО,
            > и в доказательство Александр показал на своих снимках оригинальность
            > метода, концепция "сделай сам имплант" из малого разреза и
            > доступность. (при совершенствовании методики и инструментарии, метод
            > может быть применен и в других случаях)

            ЕЧ Я начал применять фиксацию V спицами переломов хирургической шейки плеча - малотравматично и достаточно стабильно( вторичного смещения ни в одном из 4 случаев не было), мотивированные пациенты уже на вторые сутки в состоянии воспроизводить практически полную амплитуду движений в плечевом суставе( active-assisted motions). Проф. АФ Лазарев демонстрировал применение своей техники при 3 parts переломах проксимального отдела плеча - убедительные функциональные результаты, что меня и привлекло в методе:- дёшево и сердито и как сейчас стало модным- малоинвазивно:-))

            ДК> применение 1/3 тубулярных пластинок
            > отходит на второй план из-за ее слабости. Если применить 2 пластины
            > уложенные друг на друга, слабость этих пластинок можно
            > скомпенсировать.
            ЕЧ Я пока не успел разочароваться в 1/3 тубулярных пластинах м.б. потому, что в основном использую их при чрезсиндесмозных переломах (Weber B) по задней поверхности - antigliding effect, прочности пластины хватало

            ДК> Я думаю, идет разговор только о латеральном доступе к малоберцовой кости

            ЕЧ Именно это я и предполагал

            Всего Доброго,
            Е.И. Чекашкин

            [ Ответить ]

     

    ( Ответить )

    Powered by Zope  Squishdot Powered MedLink
    Посетитель: 0189169
      "По форме правильно, а по существу - издевательство" В.И.Ленин
    ©2001-2019Orthoforum Coordinator.
    [ Главная | Отправить сообщение | Поиск | Админ ]