AOTRAUMA.ORG Центр Илизарова  

Ортопедия и травматология Общие вопросы/General questions Help Информационные технологии в медицине
 ВХОД ДЛЯ ПАЦИЕНТОВ
 вверх
 поиск
 админ
 главная
 исходное


Re: Перелом бедра 1 (ваше мнение)
послал Djoldas Kuldjanov, M.D. 22 Сентябрь 2004, 09:51




















Long TFN

Short TFN

IMHS

DePuy Trochanteric Nail

Контролировать варус

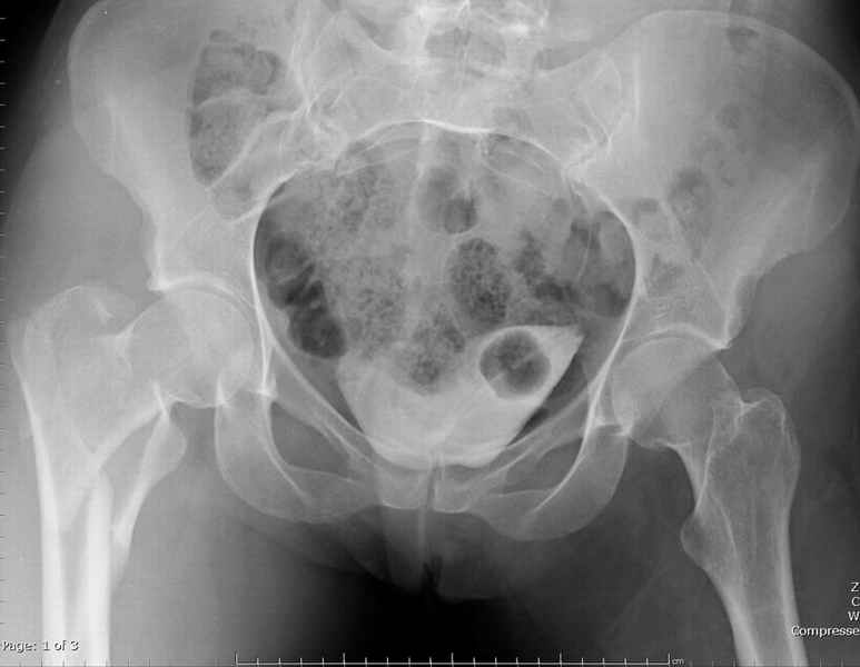
Ap pelvis Rt sub-intra trochanteric Fracture

AP Rt hip

Postop Blade Fixation



Александр, ваша тактика, больные уже прооперированы? Доступность вашем регионе современных фиксаторов и оснащение вашей операционной?

Совершенно согласен с Mike, если у вас на очереди все представители компаний, предлагающие свои услуги, все методы хороши: пластины и шурупы, Compression Hip screw, Blade Plate, DCS, Intramedullary Nails:
Centromedullary and Cephalomedullary По классификация Seinsheimer
(1978) V- на основе количества фрагментов-нестабильный.
По Russel- Taylor Type II – Piriformis is not intact Type IIB – lesser
troch is not intact перелом с вовлечением двух кортексов и
вертела - нестабильный,
Деформирующие силы: В проксимальной части бедра
FAbER- Флексия, Абдукция, Наружная Ротация.

В Дистальном отделе Аддукторы ведут к Варусному положению.
Деформирующие силы усложняют закрытую репозицию и фиксацию Перед операцией КТ для определения степени вовлечения пириформис фосса.

Большие преимущества у интрамедуллярных штифтов, метод хорош и можно произвести из минимального доступа, но во время операции необходимо контролирование варуса, затем приступить к блокированию.

Для молодых больных выбрал бы тактику fixed angled device 95 degree Blade Plate, техника непрямого метода репозиции, который описал в своей книге Jeff Mast, Planning and Reduction Technique in Fracture Surgery ( method of Inderect Reduction), репозиция и фиксация происходит за счет фиксации головки бедра к femoral shaft с помощью пластины, а что в середине должны репонироваться без больших усилии и без разрушения мягкотканого соединения c медиальной стороны.
Пластина дает свободу:
Valgus-varus; extention- flexion, зависит только от образования канала для blade на головке.

слайды:
Long TFN
Short TFN
IMHS
DePuy Trochanteric Nail
Контролировать варус

Ap pelvis Rt sub-intra trochanteric Fracture, AP Rt hip, Postop Blade Fixation

Удачи Вам Александр и коллеги.

Джолдас Кульджанов
Послать ответ

Имя
Email
Уведомление Сообщить мне по e-mail об ответах на это сообщение
Название
Комментарий
(Проверьте URL! Не забудьте написать http://!)
Кодировка
Если не знаете, что выбрать, выберите "Просто текст"!
Приложение
Можно приложить к сообщению файл c изображением, который затем будет доступен увидевшим сообщение.
Подготовка иллюстраций:
  • Рентгенограммы: черно-белые полутоновые изображения в формате JPEG (8 bit, greyscale) с разрешением от 300х200 до 1024х768 пикселов;
  • Клинические фотографии: полноцветные изображения в формате JPEG (24 bit, truecolor) с разрешением от 300х200 до 1024х768 пикселов;
  • Схемы и рисунки: черно-белые (2 bit) штриховые (line-art) изображения в формате GIF или compressed TIFF
  • Подберите степень сжатия файла JPEG и размер изображения таким образом, чтобы необходимые детали были различимы, но размер файла не превышал 75 кб.
  • Учтите, что текущая версия программного обеспечения Форума позволяет приложить к одному сообщению лишь один файл-вложение. Поэтому, если необходимо отправить несколько изображений, можно либо послать каждое как отдельное сообщение, либо в графическом редакторе объединить изображения в одно (сделать коллаж).
  • Если при подготовке изображений встречаются трудности, не стесняйтесь обратиться к координатору Форума.

  • Введите видимые символы в обратном порядке. Enter the above characters in reverse order (*Обязательно)
    В тексте сообщения можно использовать теги HTML <B> <I> <P> <A> <LI> <OL> <UL> <EM> <BR> <TT> <HR> <STRONG> <BLOCKQUOTE> <DIV .*> <DIV> <P .*>
  • Обратите внимание: Поля с жирными названиями обязательны.
  • Старайтесь отвечать в рамках обсуждаемой темы, а не начинать новые обсуждения.
  • Указывайте адекватную тему сообщения, чтобы было ясно, о чем оно.
  • Не послайте сообщений не по теме (оффтопик), раздраженных, грубых или обидных комментариев. Здесь это неуместно.
  • Powered by Zope  Squishdot Powered MedLink
    Посетитель: 0387205
      "По форме правильно, а по существу - издевательство" В.И.Ленин
    ©2001-2019Orthoforum Coordinator.
    [ Главная | Отправить сообщение | Поиск | Админ ]