AOTRAUMA.ORG Центр Илизарова  

Ортопедия и травматология Общие вопросы/General questions Help Информационные технологии в медицине
 вверх
 отправить
 поиск
 админ
 главная


Сращение - что это такое?
Ортопедия и травматология Отправлено Alexander Arttemiev 20 Сентябрь 2004, 15:59
Здравствуйте, дорогие коллеги.Прежде всего хочу поблагодарить всех, кто откликнулся на мои вопросы по поводу переломов бедер и плеча.Решение ещё не принято, поэтому если что-нибудь добавите, буду признателен.
Теперь хотел бы обсудить одну тему, которая меня волнует давно.Может ли кто-нибудь ответить на вопрос что такое сращение перелома как факт.В многочисленных основополагающих источниках рассматривается сращение как ПРОЦЕСС.Типа: "Репаративная регенерация костной ткани - стадийный процесс ...."Или "Сращение перелома происходит по трем типам...."Или "Существуют факторы, влияющие на процесс сращения..."При этом венцом травматологии яваляется сращение перелома как ФАКТ.Или СОСТОЯНИЕ. Мы говорим: Перелом сросся.Что это значит?Кто может дать определение сросшегося перелома?Или встречал такое определение?Например: СРАЩЕНИЕ ПЕРЕЛОМА - это состояние кости, которое ....?????Мрогу привести несколько определений ложного сустава, замедленного сращения.И никогда не встречал определения СРАЩЕНИЯ (нормального, насколько можно говорить о норме в таком случае).Кто выскажется по этому поводу?С нетерпением жду.Удачи.Александр Артемьев

<  |  >

 

  • Сообщения о Ортопедия и травматология
  • Также Alexander Arttemiev
  • Связаться с автором
  • Ответить

    Re: Сращение - что это такое?
    Alexander Chelnokov 20 Сентябрь 2004, 20:41
    a> Решение ещё не принято, поэтому если что-нибудь добавите, буду
    a> признателен.

    Добавить бы информации об условиях, в которых оказались больные. Что из методик доступно, что предпочитает доктор, которому предстоит оперировать?

    a> Мы говорим: Перелом сросся.
    a> Что это значит?

    Не одно и то же для морфолога, рентгенолога, клинициста.

    a> Кто может дать определение сросшегося перелома?

    Например, онлайновый медицинский словарь DictionaryBarn.com дает такое определение понятия fracture healing:
    ==================
    The physiological restoration of bone tissue and function after a fracture. It includes callus formation and normal replacement of bone
    tissue.
    Физиологическое восстановление костной ткани и функции после перелома. Оно включает формирование мозоли и нормальное замещение костной ткани.
    ==================

    Вроде неплохо? Но все равно чего-то не хватает?

    C точки зрения клинициста под сращением подразумевается, видимо, достижение прочности кости, необходимой для устойчивости к физиологическим нагрузкам. То есть это постепенно нарастающий количественный показатель. Который мы на больных не можем померять прямо, и вынуждены его оценивать по косвенным признакам.

    Особенно интересно наступление этого момента при лечении, например, в аппарате. Мол, пора ли снимать.

    А вот если говорить об устойчивости к нагрузкам не кости, а системы "кость + ее внутренний протез/фиксатор"? Она достигает высокой величины очень быстро - уже к концу операции. При еще и высокой длительности этой устойчивости к усталостному разрушению вопрос про сращение как-то... отходит на второй план.

    Это если речь о нормальном сращении. Есть еще всякие варианты неполноценного сращения - на ограниченном участке, с теми или иными краевыми/дырчатыми дефектами. Вот еще бывает неправильное, но все равно сращение (проблемы с осью, длиной, ротацией).

    [ Ответить ]

    • Re: Сращение - что это такое?
      Отправитель: Alexander Arttemiev 20 Сентябрь 2004, 22:22
      a>> Решение ещё не принято, поэтому если что-нибудь добавите, буду
      a>> признателен.

      AC> Добавить бы информации об условиях, в которых оказались больные. Что
      AC> из методик доступно, что предпочитает доктор, которому предстоит
      AC> оперировать?

      Условия хорошие - Главный госпиталь МВД в Москве.
      Выбор будет колебаться между пластиной и аппаратом.
      Интрамедуллярный остеосинтез привлекателен, но возможные участники операции (в том числе я) не владеют им настолько, чтобы реализовать его достоинства в такой не совсем простой ситуации.

      AC> C точки зрения клинициста под сращением подразумевается, видимо,
      AC> достижение прочности кости, необходимой для устойчивости к
      AC> физиологическим нагрузкам. То есть это постепенно нарастающий
      AC> количественный показатель. Который мы на больных не можем померять
      AC> прямо, и вынуждены его оценивать по косвенным признакам.

      AC> Особенно интересно наступление этого момента при лечении, например, в
      AC> аппарате. Мол, пора ли снимать.
      Собственно с этого вопрос и возник.

      AC> А вот если говорить об устойчивости к нагрузкам не кости, а системы
      AC> "кость + ее внутренний протез/фиксатор"? Она достигает высокой
      AC> величины очень быстро - уже к концу операции. При еще и высокой
      AC> длительности этой устойчивости к усталостному разрушению вопрос про
      AC> сращение как-то... отходит на второй план.

      И это тоже интересно.

      Удачи.
      Александр Артемьев

      [ Ответить ]
      • Re: Сращение - что это такое?
        Отправитель: Alexander Chelnokov 20 Сентябрь 2004, 22:24
        a> Условия хорошие - Главный госпиталь МВД в Москве.
        a> Выбор будет колебаться между пластиной и аппаратом.

        Это про бедра и/или дисатльное плечо?

        a> Интрамедуллярный остеосинтез привлекателен, но возможные участники
        a> операции (в том числе я) не владеют им настолько, чтобы реализовать

        Не боги горшки обжигают. Если надумаете все-таки "думать эту мысль", и если все остальные условия есть (усилитель рентгеновского изображения, фиксаторы и оснастка), то все реально. Метод Илизарова, кстати, тут очень большой помощник. Мы такие операции делаем не на тракционном столе, а в дистракторе таз-бедро. Две спицы, и все на месте. Наверно, и DHS в таких условиях делать лучше.

        А еще такой вопрос (на всякий случай прошу прощения, вдруг он бестактный) - а не может рассматриваться вариант пригласить кого-либо из знакомых коллег из других учреждений Москвы, уже имеющего опыт с этой технологией? Или тут какая-то щепетильная ситуация?

        AC>> аппарате. Мол, пора ли снимать.
        a> Собственно с этого вопрос и возник.

        Если не секрет, каковы собственные соображения на этот счет?

        AC>> длительности этой устойчивости к усталостному разрушению вопрос про
        AC>> сращение как-то... отходит на второй план.
        a> И это тоже интересно.

        Можно долго копить деньги на покупку, вот их все больше, больше... А можно сразу взять в кредит, и уже потом потихоньку расплачиваться. ;-)

        [ Ответить ]
    • Re: Сращение - что это такое?
      Отправитель: Д-р Одесский Я.А. 20 Сентябрь 2004, 22:56
      На мой взгляд нельзя путать Фиксацию перелома, дающую частичное восстановление способности к нагрузки кости с помощью фиксатора( при нестабильных переломах) или с помощью системы кость-фиксатор (при стабильных), с полным её восстановлением при сращении перелома.
      С уважением!

      [ Ответить ]
      • Re: Сращение - что это такое?
        Отправитель: Alexander Chelnokov 20 Сентябрь 2004, 23:55
        ДрОЯА> На мой взгляд нельзя путать Фиксацию перелома, дающую частичное
        ДрОЯА> восстановление способности к нагрузки кости с помощью фиксатора( при
        ДрОЯА> нестабильных переломах)

        То есть раннее полное восстановление способности к нагрузке, и не кости, а конечности, даже в числе доступных вариантов не числится?

        ДрОЯА> или с помощью системы кость-фиксатор (при стабильных), с
        ДрОЯА> полным её восстановлением при сращении перелома.

        Разве не стоит стремиться к восстановлению функции и нагрузки конечности задолго до сращения? Пока кость срастается, ее функцию "протезирует" фиксатор. Конечно, фиксаторы разные, и не все это обеспечивают.

        [ Ответить ]
        • Re: Сращение - что это такое?
          Отправитель: Д-р Одесский Я.А. 21 Сентябрь 2004, 02:28
          Уважаемый Александр!
          Главная задача любого фиксатора создать условия для сращения перелома. Не стоит стремиться к полному восстановлению функции и нагрузки до полного сращения перелома, я надеюсь , что в своей практике Вы так и поступаете, давая при стабильных переломах частичную нагрузку , а при нестабильных совсем без нагрузки.
          Полное восстановление функции конечности может наступить только после полного сращения перелома.
          И никакой фиксатор не заменит функцию кости пусть даже временно.
          С уважением!

          [ Ответить ]
          • Re: Сращение - что это такое?
            Отправитель: Alexander Chelnokov 21 Сентябрь 2004, 09:33
            ДрОЯА> Главная задача любого фиксатора создать условия для
            ДрОЯА> сращения перелома. Не стоит стремиться к полному восстановлению
            ДрОЯА> функции и нагрузки до полного сращения перелома,

            Уж стремиться-то почему не стоит? Разве восстановление пациента не должно быть все более и более ранним по мере развития науки и технологий?

            ДрОЯА> при стабильных переломах частичную нагрузку, а при
            ДрОЯА> нестабильных совсем без нагрузки.

            Нет ли тут путаницы с нестабильным не переломом, а остеосинтезом? Под "стабильностью" подразумевается высокая прочность и усталостная устойчивость. При лечении аппаратом Илизарова, например, давно пропагандировалась возможность полной нагрузки задолго до сращения.

            ДрОЯА> Полное восстановление функции конечности может
            ДрОЯА> наступить только после полного сращения перелома.

            Полное, если уж быть максималистом, может и вовсе никогда не наступить, несмотря на сращение. С другой стороны, если остеосинтез дает возможность не ограничивать нагрузку - чего ж ею не пользоваться?

            ДрОЯА> И никакой фиксатор не заменит функцию кости пусть даже временно.

            Он удерживает ось, длину и ротацию конечности в заданном положении, противостоя нагрузкам? Это и есть замена (протезирование) функции кости. Есть ряд фиксаторов, которые при многих повреждениях позволяют раннюю неограниченную нагрузку. А то и вообще, бывает, что сращения и вовсе нет, а пациент про это и не знает, и конечностью в полной мере пользуется.

            [ Ответить ]
            • Re: Сращение - что это такое?
              Отправитель: Д-р Одесский Я.А. 22 Сентябрь 2004, 02:36
              Уважаемый Александр!
              Давайте опредилимся сначала что мы подразумеваем под нагрузкой, функцией конечности и стабильностью фиксации.
              С уважением!

              [ Ответить ]
              • Re: Сращение - что это такое?
                Отправитель: Alexander Chelnokov 22 Сентябрь 2004, 12:59
                В плане их общего (качественного) смысла, полагаю, понимается что-то сходное. При лечении больных с патологией опорно-двигательной системы, видимо, важнее их количественная мера.

                Например, при диафизарных переломах желательным является максимально ранее восстановление нагрузки и функции конечности до преморбидного уровня. В чем, среди прочего, роль играет прочность и усталостная устойчивость фиксатора. Если их запас достаточен для немедленной полной нагрузки - радуемся этой возможности и пользуемся ею.

                [ Ответить ]
    Re: Сращение - что это такое?
    Д-р Одесский Я.А. 20 Сентябрь 2004, 22:45
    Эдравствуйте,уважаемые коллеги!
    Если перелом ( по определению) - Это нарушение целостности кости, то под сращением перелома следуеь понимать Восстановление целостности кости.
    СРАЩЕНИЕ ПЕРЕЛОМА ЭТО ВОССТАНОВЛЕНИЕ ЦЕЛОСТНОСТИ КОСТИ ПОСЛЕ ЕЁ ТРАВМАТИЧЕСКОЙ, ХИРУРГИЧЕСКОЙ ИЛИ ПАТОЛОГИЧЕСКОЙ ДИСИНТЕГРАЦИИ.
    С уважением!

    [ Ответить ]

    Re: Сращение - что это такое?
    Sergey Zyryanov 22 Сентябрь 2004, 09:26
    Вот так трактует Ожегов:

    "СРАСТИ'СЬ, 1 и 2 л. не употр., срастётся; сросся, срослась; сов. Соединиться, образуя одно целое в ходе органического процесса. Сломанная кость срослась. Корни деревьев срослись. |1 несов. срастаться, -ается. || сущ. сращение, -я, ср. и срастание, -я, ср.

    СРАСТИ'ТЬ, сращу, срастишь; сов., что. 1. Заставить срастись. С. сломанную ногу. 2. Соединить вплотную, связать (спец.). С. концы каната. \\ несов. сращивать, -аю,

    -аешь; суш,, сращивание, -я, ср.

    СРАЩЕ'НИЕ, -я, ср. 1. см. срастись. 2. То, что соединилось в одно целое в результате срастания."

    Согласен с АЧ, для разных специалистов этот термин трактуется по-разному. Да и для разных повреждений он будет меняться.

    Наверное, этот термин для травматолога можно применять при консервативном лечении.(Это восстановление функции поврежденного органа.)

    При остеосинтезе, мне кажется лучше употреблять, другие термины.


    Сергей Зырянов

    НСО г.Куйбышев

    ЦРБ
    [ Ответить ]

    • Re: Сращение - что это такое?
      Отправитель: Д-р Одесский Я.А. 22 Сентябрь 2004, 10:52
      Уважаемый Сергей!
      Вы пишите:"Наверное, этот термин для травматолога можно применять при консервативном лечении.(Это восстановление функции поврежденного органа.)

      При остеосинтезе, мне кажется лучше употреблять, другие термины"

      Сращение - это восстановление анатомической целостности кости, а не функции повреждённого органа.

      Суважением!

      [ Ответить ]
      • Re: Сращение - что это такое?
        Отправитель: Alexander Chelnokov 22 Сентябрь 2004, 12:47
        Напоминаю анекдот о спешащем куда-то человеке. Он останавливает машину, водитель соглашается его везти, но человек начинает с сомнением машину оглядывать - мол, а такси ли это, и где шашечки? На что получает резонный ответ - так тебе шашечки нужно, или ехать?

        То есть если у пациента уже сегодня опорная, безболезненная и функционально пригодная конечность, то так ли важны "шашечки", т.е. то, что восстановление анатомической целости кости случится только через 3-4 месяца?

        [ Ответить ]
      • Re: Сращение - что это такое?
        Отправитель: Sergey Zyryanov 23 Сентябрь 2004, 07:14
        >Сращение - это восстановление анатомической целостности кости, а не функции повреждённого органа.

        Заживление щели (перелома): Процесс заживления, происходящий между концами двух фрагментов, находящихся во взаимостабильном положении с наличием узкой щели между ними. Заживление щели имеет две фазы: (1) заполнение щели пластинчатой костью с несколько отличнойот кости фрагментов ориентацией; (2) последующее ремоделирование регенерата от центра щели в сторону фрагментов (закупоривание, plugging) или по направлению от одного фрагмента через новобразованную кость к другому фрагменту (ремоделирование, remodelling).
        На какой стадии формирования регенерата считать произошло сращение. Приблизительно для крупных костей - это 1 год и более, когда наступает окончательная перестройка костной мозоли. Хотя пострадавший давно работает, и функция уже восстановилась значительно раньше. То есть когда мы рекомендуем больному полную нагрузку, но объясняем ему что сращения не произошло (к примеру при перелом лучевой кости в типичном месте, или при переломах фаланг пальцев - когда функция восстанавливается задолго до появления костного сращения.) Возьмем псевдоартроз ведь имеется
        фиброзное сращение, хотя налицо нарушение функции органа.
        Заживлением называют восстановление начальной целостности. Для хирурга это означает воссоздание жесткости костной структуры. С точки зрения биолога восстановление исходной структуры на микроскопическом уровне может продолжаться годы.
        Вот поэтому многие авторы не могут дать определение сращения кости.
        Может отойти от этого термина, а использовать другие термины.

        Сергей Зырянов
        НСО гКуйбышев
        ЦРБ

        [ Ответить ]
        • Re: Сращение - что это такое?
          Отправитель: Д-р Одесский Я.А. 24 Сентябрь 2004, 03:22
          Уважаемый Сергей!
          В бывшем КНИИЭКОТЕ, нынешнем ВКНЦ ВТО, работал Сергей Зырянов... Не Вы ли это?
          Переломы срастаются либо первичным сращением, либо вторичтным.
          Вторичное называется потому, что существует промежуточная хрящевая ткань, которая в последствии замещается на костную ткань.
          При первичном сращении костные ткани появляются сразу.
          Фазы вторичного сращения следующие:
          I-Воспалительная
          a. стадия гематомы ( первые 12 часов)
          b. стадия воспаления (24-48 часов)
          II- репаративная
          a. мягкий калюс (2-3 недели)
          b. твёрдый калюс (от 4-8 недели до нескольких месяцев)
          III- ремоделинг (от 8-12 недели до нескольких лет)
          отличие мягкого калюса от твёрдого в том , что мягкий калюс состоит из хрящевой ткани и незрелой, первичной костной ткани (Woven Bone). Твёрдый калюс состоит из зрелой, ламелярной и незрелой костных тканей. Костная мозоль, прошедшая ремоделинг состоит из ламелярной кости.
          Посколько процесс сращения кости динамический, правильнее , на мой взгляд говорить о сррстающемся переломе, находящемся в опрееделённой фазе сращения...
          Я с Вами согласен, что функциональная нагрузка на срастающийся перелом даётся намного раньше его окончательной перестроки.
          Для определения сроков нагрузки мы пользуемся рентгенологическими и клиническими признаками сращения.
          Срастающийся перелом в стадии твёрдого калюса, как правило может выдерживать любые физеологичечкие нагрузки.В нём отсутствует патологическая подвижность.
          При псевдоартрозе сращения нет, так как есть патологическая подвижность, и нет ламелярной костной структуры ( даже при гипертрофическом )
          Кстати, на руках мы не ходим, поэтому нагрузки меньшие, что позволяет прекратить фиксацию в более реннем сроке формирования ламелярной кости.
          Вы пишите:"Заживлением называют восстановление начальной целостности. Для хирурга это означает воссоздание жесткости костной структуры. С точки зрения биолога восстановление исходной структуры на микроскопическом уровне может продолжаться годы". Полностью согласен.
          С уважением!







          [ Ответить ]
    Re: Сращение - что это такое?
    J. Wosk 24 Сентябрь 2004, 11:47
    Думаю вопрос гораздо глубже и серьёзнее, чем принято о нём рассуждать.
    Какова цель лечения перелома? Сращение кости? Заживление кости?
    Позиция позволяющая лично мне добиваться успеха в клинической работе связана напрямую со следующей установкой: действительной целью лечения перелома является возвращение травмированного к фунциональному и социальному состоянию в котором тот пребывал перед травмой. И сделать это в наикратчайший период. И наиболее безболезненным и не травмирующим больного путём. К счастью, такое полное возвращение вполне возможно у подавлящего количества больных. На их стороне колоссальный потенциал тканей к заживлению. И фантастическая после-травматическая адаптация конечностей и
    органов. Против - наша братия гиперактивных врачей, тех кто видит пациента сквозь скальпель или рентген-снимок. Зачастую возвращение к предтравматическому состоянию не обязывает непременного сращения перелома.
    Такое случается при верной реабилитации части отрывных переломов. Несращение отрыва бицепса или акромио-клавикулярной связки, например, или даже тяжело смещённого перелома ключицы не мешает больному вернуться к прежнему состоянию и даже физ. нагрузке. А операции по восстановлению этих элементов приводят чаще всего к тяжёлой нетрудоспособности и нелечимым болям. Слишком много пациентов приобретают тяжелейшую инвалидность при фанатичном "заращивании" переломов путём их бравого гвоздирования. Результаты частые и печальные мы скромно называем "ятрогенными" осложнениями.
    Кстати, очень полезна на мой взгляд следующая схема: заживление перелома бывает клиническим, функциональным, анатомическим и биологическим.
    Клиническое: драматическое снижение боли, отсутствие патологической подвижности в переломе и резкое снижение отёка + наличие рентгеновского
    сростка.
    Функциональное: пациент способен без опасений вернуться к прежней физической активности.
    Анатомическое: появляется ренгеновская картина полного восстановления архитектоники и рентген-плотности кости в месте перелома. Период такого заживления раза в три продолжительнее функционального. Мне очень легко удаётся разъяснить своим пациентам, что нет необходимости ждать этого заживления, т.к. это обязательно нормально происходит само собой.
    Биологическая: Завершились все процессы тканевой ремоделяции поврежденных (всех!) тканей. Определить очень просто: ампутировать конечность для гистологии! (just kidding- make no mistake!). Лично у меня нет представления, что это такое и какая в этом важность для клинициста.
    J.Wosk MD
    [ Ответить ]

    • Re: Сращение - что это такое?
      Отправитель: Alexander Chelnokov 24 Сентябрь 2004, 12:55
      > напрямую со следующей установкой: действительной целью лечения перелома
      > является возвращение травмированного к фунциональному и социальному
      > состоянию в котором тот пребывал перед травмой.

      Полностью согласен.

      > И сделать это в наикратчайший период. И наиболее безболезненным и
      > не травмирующим больного путем.

      Это больше расплывчатые благие пожелания.

      > Зачастую возвращение к предтравматическому состоянию не обязывает
      > непременного сращения перелома.

      Например, при эндороптезировании после перелома шейки бедра.

      > Слишком много пациентов приобретают тяжелейшую инвалидность при
      > фанатичном "заращивании" переломов пут?м их бравого гвоздирования.

      Вот тут нельзя ли поподробнее? И по литературе, и по собственным наблюдениям, могу сказать, что в этом утверждении правильнее было бы заменить "слишко много" на "в крайне редких случаях". Успех "бравого гвоздирования" 98-99%.

      > бывает клиническим, функциональным, анатомическим и биологическим.

      А морфологическое? Еще в давних курганских работах действительно ведь выявлялось прорастание сосудов и наличие балочек к 5 суткам при контакте губчатых фрагментов.

      > Клиническое: драматическое снижение боли, отсутствие патологической
      > подвижности в переломе и резкое снижение от?ка + наличие рентгеновского
      > сростка.

      Какое же это клиническое, если "+ наличие рентгеновского"? Рентгенологическое сращение можно и отдельно выделить.

      > Функциональное: пациент способен без опасений вернуться к прежней физической
      > активности.

      Вот этого, видимо, и надо добиваться. Скажем, закрытое штифтование мощным стержнем при нестабильном по оси переломе позволяет пациенту
      вернуться к привычному уровню нагрузки и активности после заживления мягкотканых повреждений и восстановления функции мышц и суставов, то есть через 3-6 недель после остеосинтеза.

      > Биологическая: Завершились все процессы тканевой ремоделяции поврежденных
      [...]
      > что это такое и какая в этом важность для клинициста.

      Это состояние так и называется - окончательная органотипическая перестройка, и это не подразумевается как вариант собственно сращения,
      ясно, что это уже после.

      [ Ответить ]
      • Re: Сращение - что это такое?
        Отправитель: Д-р Одесский Я.А. 24 Сентябрь 2004, 21:56
        Уважаемый Александр!
        Вы пишите:"Скажем, закрытое штифтование мощным стержнем при нестабильном по оси переломе позволяет пациенту
        вернуться к привычному уровню нагрузки и активности после заживления мягкотканых повреждений и восстановления функции мышц и суставов, то есть через 3-6 недель после остеосинтеза."

        Дайте мне пример из своей практики больного с оскольчатым переломом диафиза бедра или голени после внутрикостного штифтования вернувшегося к полной предтравматической функции в пкрвые 6 недель после травмы.
        С уважением!


        [ Ответить ]
        • Re: Сращение - что это такое?
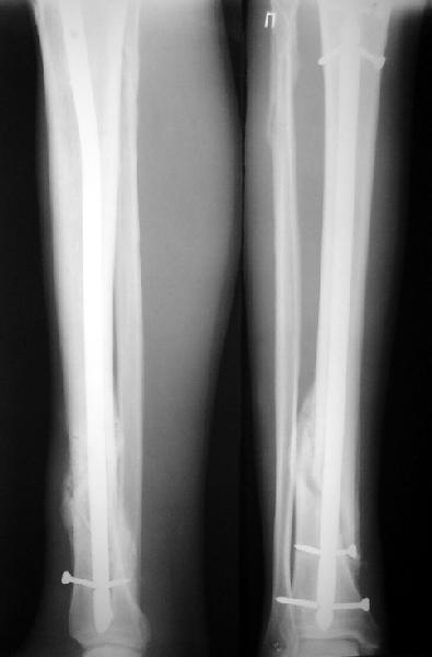
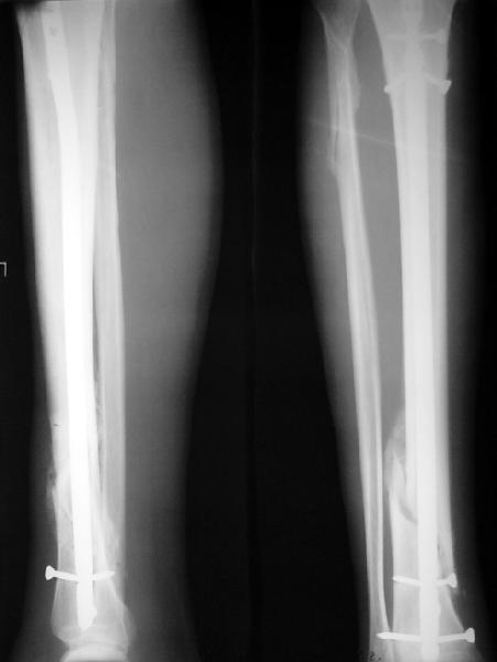
          Отправитель: Alexander Chelnokov 24 Сентябрь 2004, 23:07













          По крайней мере ходящих без дополнительной опоры через 1 месяц после операции с небольшой - при изолированной травме немало. Нестабильные по оси, кстати, не только оскольчатые, но и спиральные.
          И если пациент еще не возвращается к полной нагрузке и функции, то не потому, что не разрешает врач, опасаясь несостоятельности фиксации.

          Как мне показать пример? Фото стоящего на одной оперированной конечности пациента? O! Пример, подвигнувший нас на некоторое изменение технологий. Пациент этот ходил с полной нагрузкой вопреки рекомендациям. В качестве подтверждения - сломанный проксимальный статический винт к 1 мес., а к 2 мес. - все остальные. Сейчас мы перешли на более fool-proof остесинтез.

          [ Ответить ]
          • Re: Сращение - что это такое?
            Отправитель: J. Odessky MD. 25 Сентябрь 2004, 05:29

            Здравствуйте, Александр!
            Я решил ответить на английском языке, чтобы коллеги, не знающие русский могли присоединиться к нашей дискуссии.
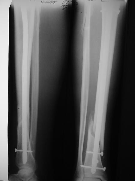
            На мой взгляд, на снимках, приведённых Вами - неправильно сростающийся перелом дистальной трети большеберцовой кости, состояние после остеосинтеза интрамедуллярным гвоздём.
            Как Вы пишите снимок под номером 1 - менсяц после операции, под номером 2- два месяца после операции.
            Вы не послали послеоперационный снимок, поэтому трудно судить о состоянии редукции после операции.
            Позвольте по поводу техники операции высказать своё мнение...
            Установка с медиальной стороны гвоздя в области дистального фрагмента дополнительного шурупа помогло бы Вам репонировать и удержать перелом в анатомическом положении, предотвратило варусную деформацию и смещение по ширине.
            Кстати, если можно пошлите послеоперационный снимок.
            На мой взгляд внутрикостная фиксация переломов дистальной и проксимальной трети большеберцовой кости, за исключением поперечных, не очень хорошее решение вопроса, аппарат Илизарова или Тэйлора, позволяющие призвести закрытую анатомическую редукцию и отличное удержание отломков в период сращения.
            Пример, приведённый Вами в нашей дискуссии по времени нагрузки после остеосинтеза не совсем удачный... Ваш больной имеет счастье, что первым согнулся проксимальный замыкающий винт, а не дистальный и гвоздь не пенетрировал голеностопный сустав.
            С уважением!
            Hello, Alexander!
            I have decided to answer in English that the colleagues who do not know Russian could join our discussion.
            I think that the X-Rays show S/P IMN of Spiral # of the Distal Tibia consoles in misalignment.
            You wrote that a picture number 1 - f month after the surgery, and number 2-two months after the surgery.
            You have not sent a postoperative X-Rays; so it's impossible to discuss about the condition of a reduction after operation.
            Let to express concerning technique of operation my opinion... Insertion of a screw to medial side of a nail in distal fragment would help you to reduction and to keep this fracture in anatomic position has prevented varus deformity and displacement on width. By the way, if it is possible send a postoperative picture.
            In my opinion IMN of fracture distal and proximal thirds of the tibia bones, except for transverse, not so good decision of treatment. Ilizarov or Taylor external fixators allow to the closed anatomic reduction and excellent fixation such fractures during the consolidation period.
            Your example in our discussion about the timing of loading after an osteosynthesis of fractures not absolutely successful...
            Your patient is lucky enough, that by the first was bent proximal locking screw, instead of distal and a nail does not penetrate to the ankle joint.
            Yours faithfully!




            [ Ответить ]
            • Re: Сращение - что это такое?
              Отправитель: Alexander Chelnokov 25 Сентябрь 2004, 14:41














              JOM> Я решил ответить на английском языке, чтобы коллеги, не знающие
              JOM> русский могли присоединиться к нашей дискуссии.

              Сомневаюсь, поскольку она изначально была на русском.

              JOM> Вы не послали послеоперационный снимок, поэтому трудно судить о
              JOM> состоянии редукции после операции.

              А зачем о ней судить - речь ведь не об этом. Мы, помнится, обсуждали возможность ранней нагрузки после остеосинтеза.

              JOM> Установка с медиальной стороны гвоздя в области дистального фрагмента
              JOM> дополнительного шурупа помогло бы Вам репонировать и удержать перелом

              Да, конечно. Но сочли, что и достигнутое положение приемлемо. Тем более, для non-compliant и low demanding пациента.
              А если вспомнить лечение аналогичных повреждений функциональными брэйсами (Sarmiento), там рентгенограммы могут быть еще менее привлекательными, однако результаты вполне приемлемы.

              JOM> Кстати, если можно пошлите послеоперационный снимок.

              Ok. А также и следующий, в 3 месяца.

              JOM> не очень хорошее решение вопроса, аппарат Илизарова или Тэйлора,
              JOM> позволяющие призвести закрытую анатомическую редукцию и отличное

              Конечно, чем ближе перелом к суставу, тем больше стрелка нашего "компаса" поворачивает в сторону аппарата. Но все же этот перелом - далеко не самый дистальный, который может быть с успехом вылечен на гвозде. Ну и, как Вы знаете, аппарат у недисциплинированных больных может не только не решить имеющиеся, но и создать новые проблемы.

              JOM> Пример, приведённый Вами в нашей дискуссии по времени нагрузки после
              JOM> остеосинтеза не совсем удачный...

              Это наглядная демонстрация возможности ранней полной нагрузки при нестабильном по оси повреждении, причем не в самых благоприятных механических условиях - при плохом сопоставлении, со слабым фиксатором.

              JOM> Ваш больной имеет счастье, что первым согнулся проксимальный
              JOM> замыкающий винт, а не дистальный и гвоздь не пенетрировал

              Это не счастье, а тонкий инженерный расчет ;-))
              Сверху - один статический винт, а снизу - три. Что раньше сломается? Конечно, он потом и нижние сломал, и Вы правы, если бы верхний динамичесий винт уже уперся бы в нижний край отверстия, будь гвоздь подлинее, перфорировал бы сустав как пить дать.

              Как я уже говорил, мы сделали выводы из этого и других подобных случаев. Очевидно, решений проблемы два - либо уменьшить нагрузку, либо увеличить прочность фиксатора. Первое решение работает не со всеми больными, так что пошли по второму пути - мы больше не используем гвозди с запирающими винтами диаметром 4 мм.

              [ Ответить ]
              • Re: Сращение - что это такое?
                Отправитель: J. Odessky MD. 25 Сентябрь 2004, 15:42
                Уважаемый Александр!
                Вы меня не убедили.
                И давайте оставим Sarmiento, сейчас совсем другие стандарты и возможности.
                Вы пишите:"Это наглядная демонстрация возможности ранней полной нагрузки при нестабильном по оси повреждении, причем не в самых благоприятных механических условиях - при плохом сопоставлении, со слабым фиксатором".

                Это зависит от стандартов лечения, принятых у Вас.
                Покажите, пожалуйста, другие примеры подобных переломов, оперированные с более толстыми запирательными шурупами и дающими полную нагрузку в первый месяц после остеосинтеза.

                Вы пишите:"Ну и, как Вы знаете, аппарат у недисциплинированных больных может не только не решить имеющиеся, но и создать новые проблемы"
                Любой метод лечения перелома у недисциплинированных больных создаёт проблемы.

                С уважением

                [ Ответить ]
                • Re: Сращение - что это такое?
                  Отправитель: Alexander Chelnokov 25 Сентябрь 2004, 16:57
                  Глубокоуважаемый Яков,

                  Saturday, September 25, 2004, 4:05:27 PM, you wrote:

                  JOM> Вы меня не убедили.

                  Или вот коллега Беренштейн пишет:

                  >Чем винты толще и чем плотнее входят в гвоздь тем стабильнее фиксация.
                  > Если добавить ещё крепкий гвоздь то можно плясать сразу после операции.

                  Тоже не убеждает? В чем именно?

                  JOM> И давайте оставим Sarmiento, сейчас совсем другие стандарты и
                  JOM> возможности.

                  Как оставим??? Лечение по Sarmiento - это вполне "сейчас". Пришлось о нем вспомнить, раз уж упомянули репозицию.

                  JOM> Вы пишете:"Это наглядная демонстрация возможности ранней полной
                  JOM> нагрузки при нестабильном по оси повреждении, причем не в самых
                  JOM> благоприятных механических условиях - при плохом сопоставлении, со

                  JOM> Это зависит от стандартов лечения, принятых у Вас.

                  От стандартов зависит объем и характер помощи. А способность к нагрузке определяется исключительно самими пациентами: может наступить - наступает, нет - нет. Им нормативные документы до лампочки.

                  JOM> Покажите, пожалуйста, другие примеры подобных переломов, оперированные
                  JOM> с более толстыми запирательными шурупами и дающими полную нагрузку в

                  Что именно показать? Что пациент может стоять на больной ноге к 1 месяцу? При интрамедуллярном остеосинтезе по поводу ложных суставов, когда мышцы давно зажили, это и на 3-5 день наблюдается. В чем именно Вы сомневаетесь? Что гвоздь диаметром 12-13 мм с винтами более 5 мм способен нести полную нагрузку? Или что ходить без хромоты можно только после рентгенологического сращения? Или?..

                  JOM> может не только не решить имеющиеся, но и создать новые проблемы"
                  JOM> Любой метод лечения перелома у недисциплинированных больных создаёт

                  Конечно, идеала нет, но степень приближения к нему у разных методов разная. Больных в аппаратах, сами знате, на весь период фиксации без врачебного контроля оставлять нельзя. И печальных примеров на этот счет каждый врач вспомнит легко.

                  [ Ответить ]
        • Re: Сращение - что это такое?
          Отправитель: Djoldas Kuldjanov, M.D. 25 Сентябрь 2004, 02:29
          12 mm intramedullary nail with tree locking (proximally 5.5mm diameter and 4.5 mm distally) screws after tree weeks can put full WB.

          Djoldas

          [ Ответить ]
          • Re: Сращение - что это такое?
            Отправитель: Alexander Chelnokov 25 Сентябрь 2004, 02:30
            Мы сейчас используем бедренные гвозди 11,5 и 13 мм с винтами 6 мм, и только диаметр 10 мм - с 5 мм. Большеберцовые - для гвоздей 9 и 10,5 мм винты 5 мм, 12 мм - 6 мм. Как уже говорил, нагрузку сразу не
            ограничиваем (если нет проблем с суставами).

            [ Ответить ]
            • Re: Сращение - что это такое?
              Отправитель: Michael Berenstein 25 Сентябрь 2004, 12:04
              Уважаемые коллеги.

              Время, когда дать нагрузку на конечность определяется стабильностью перелома и стабильностью фиксации
              Стабильные переломы поперечные или близкие к ним. Нестабильные - косые и оскольчатые. если начать аксиальную нагузку при несросшемся нестабильном переломе то можно получить укорочение или ротационное смещение при винтовых переломах. Что бы избежать этого смещения нужны гвозди с блокировкой (locking).
              Винты в гвозде нужны для:
              1. Ротационная стабильность
              2. Сохранение длины кости (аксиальная стабильность).
              Чем винты толще и чем плотнее входят в гвоздь, тем стабильнее фиксация.
              Если добавить ещё крепкий гвоздь то можно плясать сразу после операции.
              В любом случае если есть сомнение стабильности лучше не торопиться.
              Кстати, винты 6 мм и больше не ломаются, или народ у нас мелкий.

              Best regards,
              М.Беренштейн

              [ Ответить ]
      • Re: Сращение - что это такое?
        Отправитель: Йоси Воск 27 Сентябрь 2004, 09:03
        Очень люблю благие пожелания. Сейчас нахожусь в чтении " Rich dad, poor dad" www/richdad@com серия 7 книг и "Body for life" etc. Билла Филлипса. Много чётких советов, но подчёркнуто: ничто не работает без благого пожелания.
        Результат: снял и держу в кайфе -28% веса из 92, жена -33% из 82. Существенно продвинулся к финансовой свободе и чётко работаю над этим. Люди для достижения целей интересуются "как", а настоящий вопрос "зачем". Приступая к любому лечению я думаю о том каким я хочу видеть больного после всего. Это меня забирает. А логистика и техника это более лёгкие вещи. "I have a dream", сказал М. Л. Кинг и случились вещи сделавшие США другой страной. Так что мой совет, никого не обязывающий, ставить во главу угла расплывчатые благие пожелания и не забывать о них ни на какой стадии лечения больного.
        Если абсолютно благополучные результаты сложных травм и открытых переломов 98-99% случаев, то мир вокруг нас дивно розовый. "В литературе" и в натуре не всегда вещи выглядят одинаково. Я работаю в стране с очень хорошим мировым уровнем орто-травматологии. Думаю, приемлимый финал (анатомический и социально-функциональный) осложненного перелома голени в 6 месячный срок и без процентов инвалидности не превышает половины случаев. Дополнительная проблема, ортопедам обычно нравятся их результаты и не нравится распространяться о неудачах. А успехи никогда ничему не учат. Учат только провалы о которых есть смелость говорить.
        Конечно, есть морфология. Только не стоит именовать видом сращения некий скрытый от наших глаз процесс, контроверсальный и в своём характере и в темпинге. Нам ведь заниматься конкретной работой, а не чем-то на гране полумистики. Тоже (на мой субъективный и не претендующий быть небесной истиной взгляд) касательно "органо-типической перестройки).
        Я разрешаю больным со сложными и неустойчивыми переломами ног начать полную нагрузку хождением очень рано, иногда после первой недели лечения. Только никогда не верю в мощь гвоздей и пластин. И не думаю что железки ломаются за недостатком такой мощи. На мой субъективный взгляд, железки никогда не бывают интегральной частью остео-металлосинтеза. Во время нагрузки каждый из
        них живёт своей механической жизнью. Ходьба это, на мой субъективный взгляд, процесс трансформации линейного импакта тело-земля в упруго-эластическую вибрационную нагрузку в кости. Металл и кость входят в разно-частотные модуляции, так как плотность их разная. Гвозди разрушаются не от стояния, а от ходьбы. Резонанс, а не линейная нагрузка. Каждый такой гвоздь и каждая плата проверены в Instrom производителя под во много раз превосходящими реальные линиарные нагрузки. А часто извлекаешь их из кости тщедушного доходяги и они как бритвой отрезаны. Поэтому раннее хождение больных можно разрешить не потому, что гвоздь в ноге крепкий, а потому что обеспечил больному хорошую наружную поддержку перелома (скажем, брейсом) и дал хорошую амортизацию его ступанию. Кстати, если хотите, есть в нэте (PUBMED) наши
        публикации по этим темам. Искать: Wosk, Voloshin, Folman.
        J W

        [ Ответить ]
        • Re: Сращение - что это такое?
          Отправитель: Alexander Chelnokov 28 Сентябрь 2004, 00:20
          > обязывающий, ставить во главу угла расплывчатые благие пожелания и не
          > забывать о них ни на какой стадии лечения больного.

          Лечение конкретного больного подразумевает переход с уровня пожеланий на уровень технологий.

          > Если абсолютно благополучные результаты сложных травм и открытых переломов
          > 98-99% случаев, то мир вокруг нас дивно розовый.

          А кто говорил про "сложных и открытых"? Это уже совсем другая история.
          Давайте пока просто о нестабильных при осевой нагрузке - спиральных, оскольчатых, сегментарных...

          > распространяться о неудачах. А успехи никогда ничему не учат. Учат только
          > провалы о которых есть смелость говорить.

          У. Черчилль: "Успех - это умение двигаться от неудачи до неудачи, не теряя энтузиазма. Неудача обязывает к изменениям, успех рождает самодовольство."

          > Конечно, есть морфология. Только не стоит именовать видом сращения некий
          > скрытый от наших глаз процесс, контроверсальный и в своём характере и в

          Поздно насчет не стоит, эти фундаментальные работы уже давно опубликованы. Хотя никто и не утверждает, что на таком сращении можно ходить.

          > истиной взгляд) касательно "органо-типической перестройки).

          По-моему, тоже есть консенсус, что это не вид сращения, а то, что происходит много позже.

          > никогда не верю в мощь гвоздей и пластин. И не думаю что железки ломаются за
          > недостатком такой мощи. На мой субъективный взгляд, железки никогда не
          > бывают интегральной частью остео-металлосинтеза.

          А при эндопротезировании?

          > Во время нагрузки каждый из них живёт своей механической жизнью.

          Своей жизнью "железка" живет, лежа на полке в операционной. Будучи скрепителем отломков, она по определению берет на себя нагрузки.

          > Ходьба это, на мой субъективный взгляд, процесс трансформации
          > линейного импакта тело-земля в упруго-эластическую вибрационную
          > нагрузку в кости.

          Ходьба - это перемещение в пространстве шагами. Да, наверно, можно и такой аспект выделить. Но для оценки состоятельности несущей способности сегмента после остеосинтеза только ли колебательные процессы надо учитывать? Если вобще их надо учитывать...

          > Металл и кость входят в разно-частотные модуляции, так как
          > плотность их разная. Гвозди разрушаются не от стояния, а от ходьбы.
          > Резонанс, а не линейная нагрузка. Каждый такой гвоздь и каждая

          Это интересное предположение. Хотя на первый взгляд, это введение лишней сущности, и бритва Оккама тут так и просится. ;-)

          Нам, обывателям, известно, что от резонанса рушатся мосты, если шагающее в ногу подразделение попадает в резонанс с их колебаниями. А фиксаторы, или их элементы, ломаются или вырываются из кости, или как-то иначе разрушаются, либо от превышения допустимой статической нагрузки (один раз, первый, наступил - и тут же хрустнуло), либо, что в нашем разговоре как раз обсуждается - при недостаточной усталостной устойчивости.

          Как известно, факт не может быть мистикой, но ею может быть его интерпретация. Поведение фиксаторов не раз изучалось в cyclic load tests. И разрушение однотипных образцов наступало не в случайные моменты (попало в резонанс - и crack!), а вполне в закономерные - когда система проходила число циклов, определяемое усталостной устойчивостью элементов данных размеров из данного материала. Или костного ложа. То есть fatigue strength. Для клинициста IMHO достаточно учета именно этого свойства. А надо ли измерять их резонансные частоты и вообще учитывать эффект резонанса как существенный фактор, который может определять состоятельность фиксации - пусть коллеги наши, механики-материаловеды и прочие инженеры нам подскажут.

          > разрешить не потому, что гвоздь в ноге крепкий, а потому что обеспечил
          > больному хорошую наружную поддержку перелома (скажем, брейсом)

          Ну какие брэйсы при закрытом интрамедуллярном остеосинтезе внесуставного перелома бедра или tibia ? Зачем? Внутренняя шина с запасом решает все задачи. Опять же, лишние сущности.

          > и дал хорошую амортизацию его ступанию.

          Хватает с лихвой и естественной. Ну и, как известно, критерий истины - практика. Которая показывает про гвоздь, что начиная с некоторого
          диаметра фиксатора и запирающих винтов он выдерживает число циклов нагрузки, обеспечивающее число шагов, которое человек делает за время, когда перелом давно успевает срастись.

          Конечно, бывают и специальные ситуации - сегментарные дефекты, например. Когда при одной только фиксации сращения не будет никогда. Но речь пока не о них.

          > Кстати, если хотите, есть в нэте (PUBMED) наши
          > публикации по этим темам. Искать: Wosk, Voloshin, Folman.

          Неужели автор не располагает полным текстом?
          Был бы признателен.

          [ Ответить ]

     

    ( Ответить )

    Powered by Zope  Squishdot Powered MedLink
    Посетитель: 0041166
      "По форме правильно, а по существу - издевательство" В.И.Ленин
    ©2001-2019Orthoforum Coordinator.
    [ Главная | Отправить сообщение | Поиск | Админ ]