AOTRAUMA.ORG Центр Илизарова  

Ортопедия и травматология Общие вопросы/General questions Help Информационные технологии в медицине
 вверх
 отправить
 поиск
 админ
 главная


Последствия коксита
Ортопедия и травматология Отправлено Anton Vladzimirskyy 21 Сентябрь 2004, 13:24
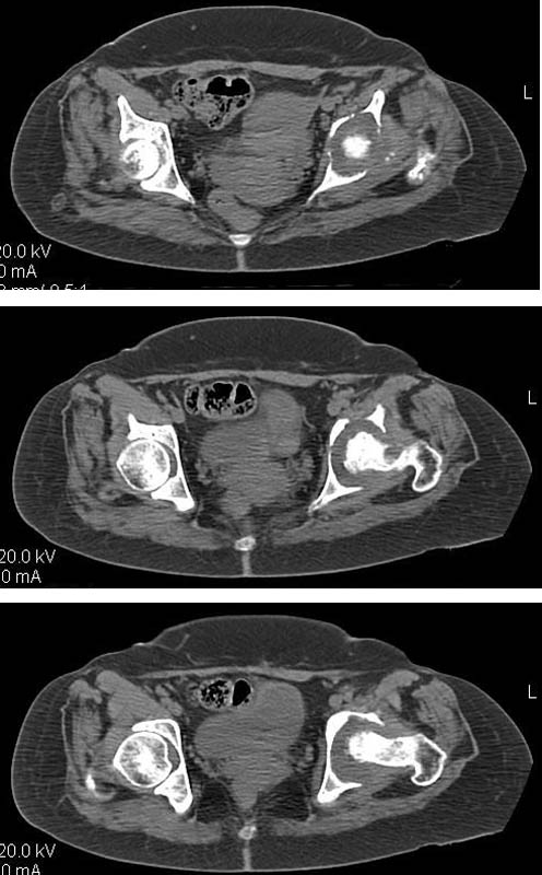
Женщина, 45 лет. В марте перенесла левосторонний коксит неизвестной этиологии. Специфику и онкологию исключили.
Интраартикулярных инъекций не было. Сейчас процесс клинически и рентгенологически - стабилизировался. Состояние вполне удовлетворительное.Предполагается тотальное эндопротезирование с пластикой полости аутокостью. Возможна ли бесцементная <чашка>? Заранее благодарю! С уважением,А.В.Владзимирский

<  |  >

 

  • Сообщения о Ортопедия и травматология
  • Также Anton Vladzimirskyy
  • Связаться с автором
  • Ответить

    Re: Последствия коксита
    Рашид М. Тихилов 22 Сентябрь 2004, 09:03
    Уважаемый Anton,
    Ответ: Да.
    С уважением, Р.Тихилов
    [ Ответить ]

    Re: Последствия коксита
    Mike Shnider 22 Сентябрь 2004, 09:21
    Уважаемый коллега!Сделано ли радиоизотопное исследование с мечеными лейкоцитами, или индием? Сделана ли биопсия? Женщина перенесла крайне агрессивный литический процесс. Можете ли вы полностью исключить low grade infection ?
    Дополнение - проконсультировался с женой-она специалист рентгенолог - на КТ большое колиество мягкотканного компонента - ищите микоплазмы или бруцеллу. Я склоняюсь к виопсии.

    [ Ответить ]

    Re: Последствия коксита
    Michael Berenstein 22 Сентябрь 2004, 09:24
    Уважаемый А.В.Владзимирский

    Пртезирование через пол года после коксита закончившегося лизисом сустава, который на снимках выглядит как гнойный? Что значит неизвестной этиологии?
    Если Вы в состоянии выполнить КТ и умеете ставить протезы, то почему бы не установить этиологию. Делать протезирование после коксита, не выяснив его причины, это порочная медицина.
    У Вашей пациентки есть адвокат?

    С уважением М.Беренштейн
    [ Ответить ]

    Re: Последствия коксита
    А.В.Владзимирский 22 Сентябрь 2004, 17:58
    Коллеги!
    Спасибо за ответы.

    >Сделано ли радиоизотопное исследование с >мечеными лейкоцитами, или индием
    Боюсь, что такая технология нам не доступна, но надо узнать специально.

    >Сделана ли биопсия?
    Сделана. Инфекция и онкология исключены.

    >почему бы не установить этиологию
    Будут ли какие-то конкретные предложения по установлению?



    [ Ответить ]

    • Re: Последствия коксита
      Отправитель: Mike Shnider 22 Сентябрь 2004, 20:50
      Уважаемый коллега! Последняя версия - мы пролистали ренгенологическую книженцию-так картинка вполне подходит под сустав Шарко (neuropatic joint ). В тазобедренном суставе патология редкая (но меткая). Ищите причину - варианты - нейросифилис, сирингомиелия, опухи спинного мозга (и выше тоже) компрессия спинного
      мозга извне, рассеяный склероз, алкоголизм. А так-же : склеродерма ,Рейно,ревматоидный артрит, амилоидная инфильтрация нервов,и это не считая всяких менингеомиелоцеле,asymbolia,Riley-Day syndrom,и все возможные другие нейропатии. На данном этапе не спешите оперировать(протезирование протиопоказано при нейропатических суставах),проконсультируйтесь с классным невропатологом,сделайте МЯР головного озга и
      весь позвоночник. И держите нас в курсе - случай крайне интересный :)

      [ Ответить ]

     

    ( Ответить )

    Powered by Zope  Squishdot Powered MedLink
    Посетитель: 0324303
      "По форме правильно, а по существу - издевательство" В.И.Ленин
    ©2001-2019Orthoforum Coordinator.
    [ Главная | Отправить сообщение | Поиск | Админ ]