AOTRAUMA.ORG Центр Илизарова  

Ортопедия и травматология Общие вопросы/General questions Help Информационные технологии в медицине
 вверх
 отправить
 поиск
 админ
 главная


Arthrodesis?
Ортопедия и травматология Отправлено Roberto Biscione 22 Сентябрь 2004, 20:12
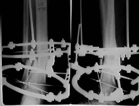
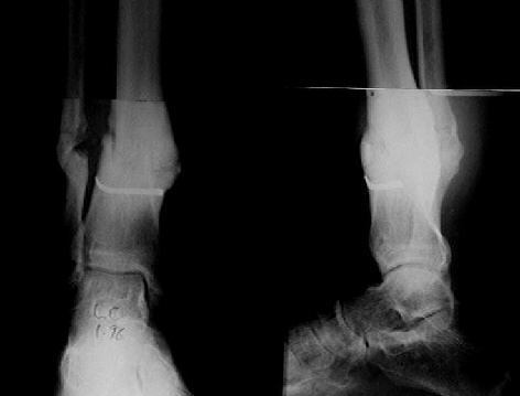
Female. 65 years old. 2 years ago trimalleolar fracture left ankle. First ORIF failed. Second ORIF with autologous graft at the fibular fracture was complicated by infection. The X-ray pictures show the actual situation. What are the suggestions of the group?


<  |  >

 

  • Сообщения о Ортопедия и травматология
  • Также Roberto Biscione
  • Связаться с автором
  • Файл-вложение
  • Кликните для загрузки файла tt3.JPG
    15KB (15740 bytes)

  • Ответить

    Re: Arthrodesis?
    Mike Shnider 22 Сентябрь 2004, 21:09
    Bongorno! For this patient the best choise is arthrodesis with Ilizarov ex-fix and prolonged treatment with Calcitonin (because of big chance for RDS ). Good luck!
    [ Ответить ]

    Re: Arthrodesis?
    Alexander Chelnokov 22 Сентябрь 2004, 21:11
    Tough case. I would think about the Ilizarov with either closed ankle distraction or with oblique perQ osteotomy through the distal tibia and the talus.
    [ Ответить ]

    Re: Arthrodesis?
    Mangal Parihar 22 Сентябрь 2004, 21:16
    The situation at the ankle is now like a stiff non-union.

    The cartilages destroyed by the infection, there is only bone proximal (tibia) and bone distal (talus)

    Putting this under distraction would very likely lead to a consolidation of the 'gap' created with bone.

    This supports Alex's proposal for closed distraction.

    In one of my cases, with a non-union of the distal tibia, and a stiff ankle with equinus, as part of the treatment, I distracted the ankle, with the hope of 'loosening' up the ankle, and correcting the equinus,

    To my surprise, this distracted area made bone, effectively converting a painful, stiff, fibrous ankle into a solidly fused, painless ankle.

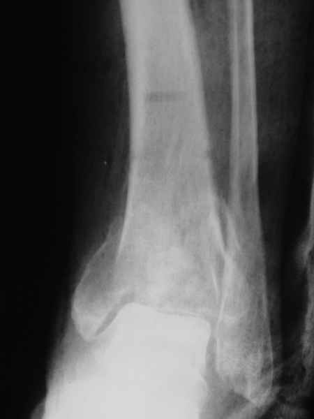
    Pic attached - the transarticular K wire/steinman pin was put in by the previous surgeon, to stabilise what was apparently a very unstable
    ankle.
    I don't have his pre-distraction pics, but take my word for it, the ankle space was seen, though hazy, and the patient had pain on attempted movts of the ankle.

    Mangal Parihar
    Кликните для загрузки файла kjj.jpg
    12KB (12815 bytes)

    [ Ответить ]

    Re: Arthrodesis?
    Nuno Craveiro Lopes 22 Сентябрь 2004, 23:42




















    Roberto,

    It seem a stiff pseudarthrosis. I will do a axial correction and lengthening if necessary with Ilizarov frame without any corticotomy. Probability of success will be 100% and relapse of infection 0%. You can see one case attached.

    Best regards,

    Nuno Craveiro Lopes
    Almada - PORTUGAL
    [ Ответить ]

    Re: Arthrodesis?
    Д-р Одесский Я.А. 23 Сентябрь 2004, 04:21
    Dear colleagues!
    Let me disagree with those, who propose to consider the given case Posttraumatic Arthritis of Ankle Joint as hypertrophic non-union. The difference in morphology - Hypertrophic non-union is good vascularised callus. Posttraumatic arthritis is avascular fibrous tissues covering the changed cartilage.
    I remember, when professor Ilizarov tried to carry out something similar, that is offered, and results of it were unsatisfactory. That has resulted in necessity to do formal arthrodesis. By the way he did it from lateral approach through the fibula by insertion of two dome osteotomes and removal of all tissues which are taking place between them.
    In this case, in my opinion, it is necessary to make debridement with economic refreshing of bones from lateral approach with or without correction of deformity on an operational table (the second is more preferable for me because don't short the leg). Make arthrodesis of ankle by Ilizarov technique.
    I'll be glad, if someone will show me arthrodesis, came by closed distraction of joint in case of arthritis.
    Yours faithfully!
    J. Odessky.

    [ Ответить ]

    • Re: Arthrodesis?
      Отправитель: Alexander Chelnokov 23 Сентябрь 2004, 05:00
      Look at the above attachment of Mangal Parihar's message


      [ Ответить ]
      • Re: Arthrodesis?
        Отправитель: J. Odessky 24 Сентябрь 2004, 02:08
        Dear Alexander!
        On X-rays, specified you, show one of complication of Ilizarov's technique √ Ankylosis of ankle joint, complication known and extremely rare, more likely connected with technical mistakes at application of External device.
        This example has no anything the general with my request to show Closed Distraction Arthrodesis of ankle joint.
        Yours faithfully
        J. Odessky



        [ Ответить ]
    Re: Arthrodesis?
    Michael Berenstein 24 Сентябрь 2004, 11:36




















    Hi Roberto!
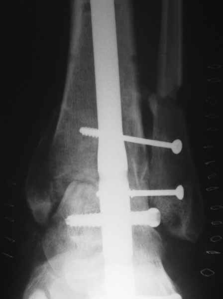
    Nail arthrodesis for failed pilon fracture is good solution.
    My example

    Michael Berenstein
    [ Ответить ]

    • Re: Arthrodesis?
      Отправитель: Alexander Chelnokov 24 Сентябрь 2004, 11:45
      А подтаранный сустав-то за что пострадал?

      [ Ответить ]
      • Re: Arthrodesis?
        Отправитель: Michael Berenstein 24 Сентябрь 2004, 11:49
        А как работает подтаранный сустав после изолированного артродеза голеностопа? В литературе я не нашел убедительного ответа. По моему скромному опыту после закрытия голеностоного подтаранный болит.
        Известна и обратная ситуация - при таларнопяточном сращении (TARSAL CAOLITION) есть нестабильность и боли в голеностопе.
        А Вы как считаете?

        С уважением М.Беренштейн

        [ Ответить ]
        • Re: Arthrodesis?
          Отправитель: Alexander Chelnokov 25 Сентябрь 2004, 03:18
          MB> А как работает подтаранный сустав после изолированного артродеза
          MB> голеностопа? В литературе я не нашел убедительного ответа. По моему
          MB> скромному опыту после закрытия голеностоного подтаранный болит.

          А после замыкания обоих суставов - ничего не болит?

          MB> Известна и обратная ситуация - при таларнопяточном сращении (TARSAL
          MB> CAOLITION) есть нестабильность и боли в голеностопе.
          MB> А Вы как считаете?

          Что все суставы не лишние, и замыкать надо только то, что нельзя оставить. В рессорной функции стопы подтаранный участвует. И после ankle fusion в подтаранном боли возникают раньше, если его хирургически повредить, или замкнуть голеностоп с осевым отклонением. Или если там уже на момент артродеза голеностопа были проблемы.

          Вот сейчас глянул в Medline:
          Kopp FJ, Banks MA, Marcus RE. Clinical outcome of tibiotalar arthrodesis utilizing the chevron technique // Foot Ankle Int. 2004 Apr;25(4):225-30.

          Цитата:
          ==============================
          Eighteen patients had excellent results, 11 patients had good results, five patients had fair results, and seven patients had poor results. The most common reasons for fair or poor results were symptomatic subtalar arthritis and multiple medical comorbidities. All patients with postoperative symptomatic subtalar arthritis had preoperative radiographic evidence of subtalar arthrosis.
          ==============================

          [ Ответить ]
          • Re: Arthrodesis?
            Отправитель: Michael Berenstein 25 Сентябрь 2004, 03:21
            Я тоже думаю что лишних суставов нет. Просто пытаюсь рассуждать логично.
            Конечно после замыкания голеностопного и подтаранного суставов вся нагрузка падает на шопар и все что дистальней.
            По моим понятиям ГС и ПТ работают в паре как кардан, ГС двигается в сагитальной плоскости , а ПТ во фронтальной. Т.е. ГС работает на сгибание-разгибание, а ПТ на приведение-отведение. Если исключить движения в ГС, то стопа может немножко сгибаться в шопаре и лисфранке. эта нагрузка будет передоваться на передний отдел стопы через ПТ сустав, а он этого делать не умеет и не любит.
            Нет сомнений, после артродеза обоих суставов перегружается шопар, но у него есть больше степеней свободы движения хотя в меньшем объеме. Так что он более или менее.
            А как Вы делаете артродез?

            Best regards
            М.Беренштейн

            [ Ответить ]
            • Re: Arthrodesis?
              Отправитель: Alexander Chelnokov 25 Сентябрь 2004, 20:02
              MB> будет передоваться на передний отдел стопы через ПТ сустав, а он этого
              MB> делать не умеет и не любит.

              Таранно-ладьевидный ведь остается.

              MB> Нет сомнений, после артродеза обоих суставов перегружается шопар, но у
              MB> него есть больше степеней свободы движения хотя в меньшем объеме. Так что он

              Если подтаранный интактный, замыкать его незачем.

              MB> А как Вы делаете артродез?

              Да по-разному. Есть в том числе методика местной разработки (А.М.Лавруков) на основе циркулярной фрезы с разворотом выпиленного блока большеберцовой и таранной костей. Она была предложена с хорошим доступом, применимым и для безфрезевого артродеза - L-образный кпереди от малоберцовой кости, с ее пересечением и откидыванием кожно-костного лоскута кзади.

              [ Ответить ]
              • Re: Arthrodesis?
                Отправитель: Mike Shnider 25 Сентябрь 2004, 22:41
                Всё новое-хорошо забытое:)
                Как сейчас помню-передний окончатый спондилодез-по-кому он там?Фрезой, и с поворотом. Сейчас подумаешь - пробирает до сесамовидных.

                [ Ответить ]
              • Re: Arthrodesis?
                Отправитель: Michael Berenstein 25 Сентябрь 2004, 22:42
                Тема дествительно интересная.
                > Таранно-ладьевидный ведь остается.
                Полностью с Вами согласен. ТЛ является часть Шопара
                > Если подтаранный интактный, замыкать его незачем.
                В том то и дело , что последнее время я все больше сталкиваюсь с необходимостью замыкать ПТ после удачного ТТ артродеза. Из-за болей.
                > Да по-разному. Есть в том числе методика местной разработки
                > (А.М.Лавруков) на основе циркулярной фрезы с разворотом
                Техника знакомая и проблемная. Фрезой из хорошо кровоснабжаемой кости делается аутографт - фактически мертвая кость. Пока он васкуляризируется и приживется возьмет время. Опять же фиксация, гипс, костыли, боли.
                В этом плане артродез на гвозде очень выигрывает - нет гипса, очень стабильная фиксация, нагрузку на ногу можно давать практически с первого дня и боли в значительной степени меньше т.к. операция малотравматична и фиксация стабильная. Конечно, методика не идеальна, не свободна от осложнений и имеет свои проблемы и нюансы.

                [ Ответить ]
                • Re: Arthrodesis?
                  Отправитель: Alexander Chelnokov 26 Сентябрь 2004, 10:27
                  MB> В том то и дело , что последнее время я все больше сталкиваюсь с MB> необходимостью замыкать ПТ после удачного ТТ артродеза. Из-за болей.

                  Если сустав был интактный, и при артродезе голеностопа его, например, не протыкать спицами, то это исключение. Что подвтерждают литературные
                  данные.

                  MB> Техника знакомая и проблемная. Фрезой из хорошо кровоснабжаемой кости
                  MB> делается аутографт-фактически мертвая кость. Пока он васкуляризируется и
                  MB> приживется возьмет время. Опять же фиксация, гипс, костыли, боли.

                  По большей части аппаратом фиксировали.

                  MB> В этом плане артродез на гвозде очень выигрывает - нет гипса, очень
                  MB> стабильная фиксация, нагрузку на ногу можно давать практически с первого дня

                  Конечно. Но если нет повода трогать подтаранный сустав, может, делать не через него, а так?

                  Кликните для загрузки файла ankle.jpg
                  12KB (12702 bytes)

                  [ Ответить ]
                  • Re: Arthrodesis?
                    Отправитель: Michael Berenstein 26 Сентябрь 2004, 10:31
                    В принципе можно и так, но тогда нет смысла загонять гвоздь. Можно 2-3 крепких шурупа. А так как-то уж слишком.

                    Best regards,
                    М.Беренштейн

                    [ Ответить ]
                    • Re: Arthrodesis?
                      Отправитель: Alexander Chelnokov 26 Сентябрь 2004, 10:37
                      Гвоздь через один сустав - слищком, а через два, причем один интактный - не слишком? :-)
                      Можно и винтами. Представляется, что это все-таки менее надежно, чем гвоздь - винты под разными углами надо проводить, и не по оси нагрузки они получатся. То есть динамизации такой, как на гвозде, не достичь. Винты, насколько я знаю, комбинируют с аппаратом, чтобы сократить время пребывания в нем.

                      [ Ответить ]
                      • Re: Arthrodesis?
                        Отправитель: Michael Berenstein 27 Сентябрь 2004, 12:00
                        Глубокоуважаемый Alexander,

                        Если винты 6, а лучше 8 мм нет, необходимости в дополнительной фиксации, только гипс.
                        На счет подтаранного сустава знающие люди сказали что даже минимальные изменения в ПТ после артродеза ТТ приводят к болевому синдрому. С другой стороны если есть артрозные изменения в обоих суставах , то протезирование ТТ в значительной степени улучшает функцию артрозного ПТ. К-А-Р-Д-А-Н!!!

                        Best regards
                        Michael Berenstein

                        [ Ответить ]

     

    ( Ответить )

    Powered by Zope  Squishdot Powered MedLink
    Посетитель: 0000017
      "По форме правильно, а по существу - издевательство" В.И.Ленин
    ©2001-2019Orthoforum Coordinator.
    [ Главная | Отправить сообщение | Поиск | Админ ]