AOTRAUMA.ORG Центр Илизарова  

Ортопедия и травматология Общие вопросы/General questions Help Информационные технологии в медицине
 вверх
 отправить
 поиск
 админ
 главная
 Предыдущее
 Весь тред


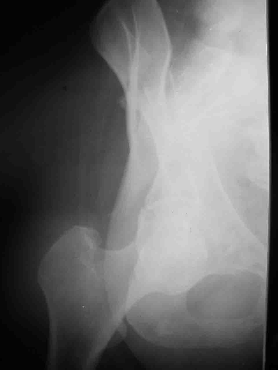
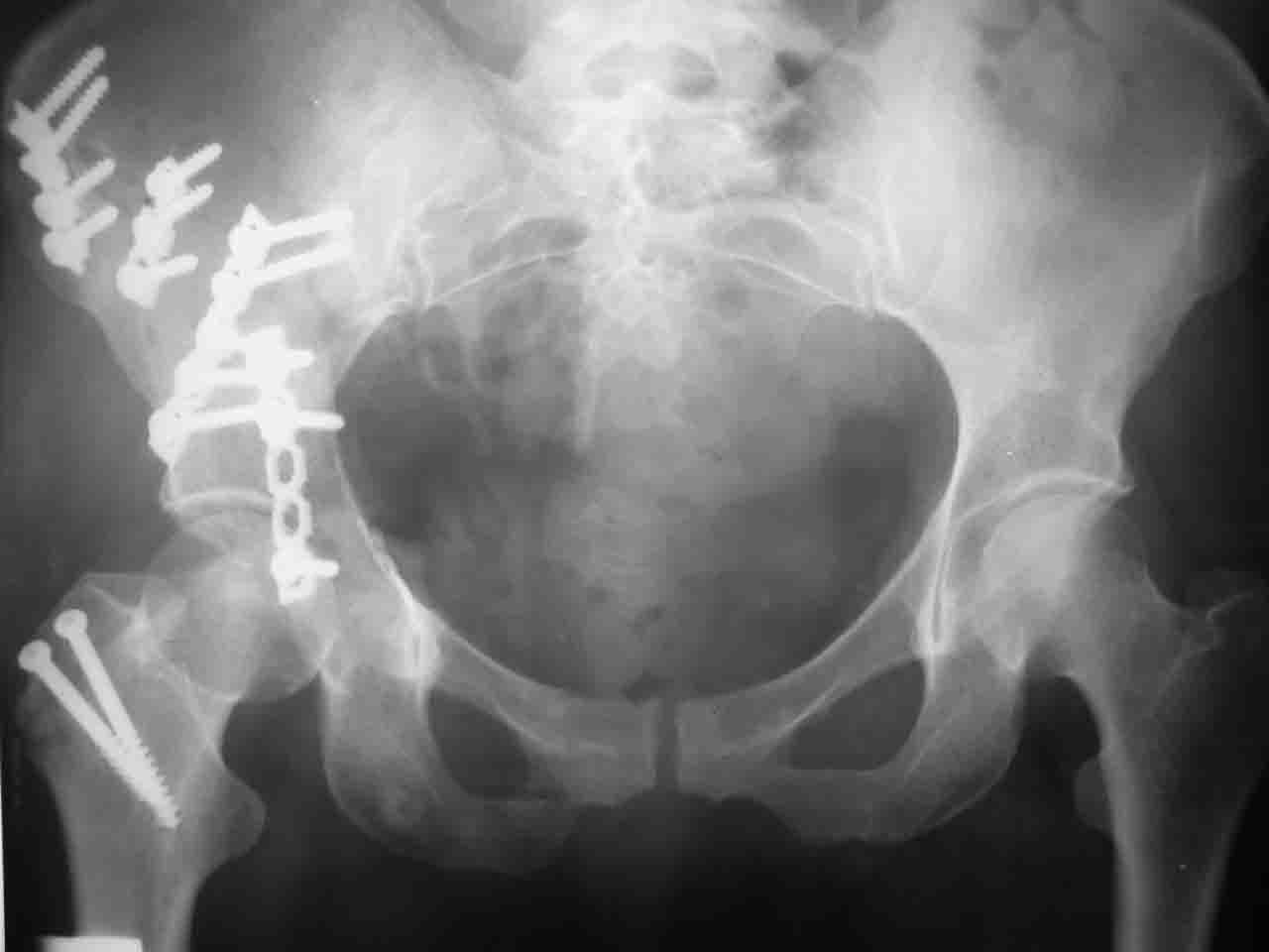
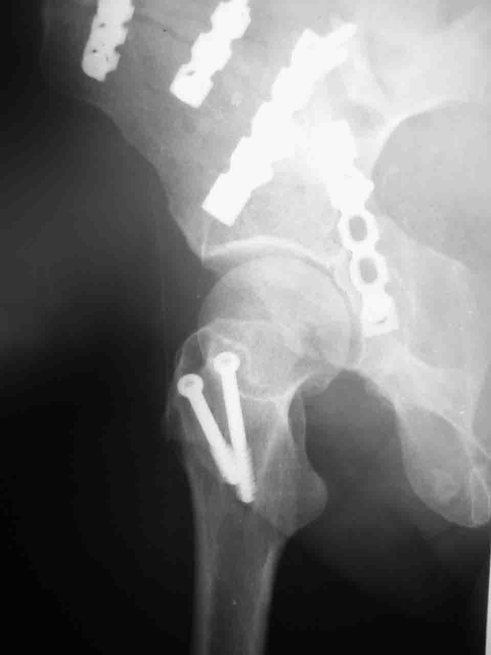
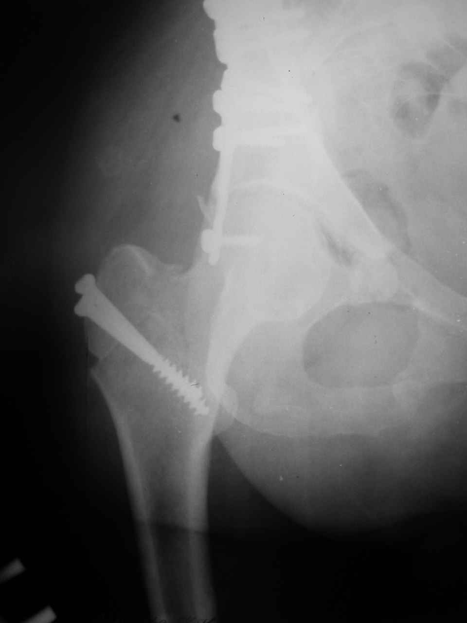
Re: Перелом вертлужной впадины
Alexander Chelnokov 29 Октябрь 2004, 00:39
Шли, пожалста, на ortho@weborto.net, размер картинок только уменьши до 800х600 примерно, и компрессию побольше сделай. Я пользуюсь ACDSee 6, там при сохранении ставишь качество 0. Картинки, тем не менее, остаются вполне читаемые.
  • Сообщения о Ортопедия и травматология
  • Также Alexander Chelnokov
  • Связаться с автором
  • Ответить

    Re: Перелом вертлужной впадины
    Смирнов Алексей 09 Ноябрь 2004, 01:17




































    Снимки и схема

    [ Ответить ]


    ( Ответить )

    Powered by Zope  Squishdot Powered MedLink
    Посетитель: 0407342
      "По форме правильно, а по существу - издевательство" В.И.Ленин
    ©2001-2019Orthoforum Coordinator.
    [ Главная | Отправить сообщение | Поиск | Админ ]