AOTRAUMA.ORG Центр Илизарова  

Ортопедия и травматология Общие вопросы/General questions Help Информационные технологии в медицине
 вверх
 отправить
 поиск
 админ
 главная
 Предыдущее


Re: Перелом вертлужной впадины
Evgueny Tschekashkin 27 Октябрь 2004, 20:22
















Уважаемые коллеги,


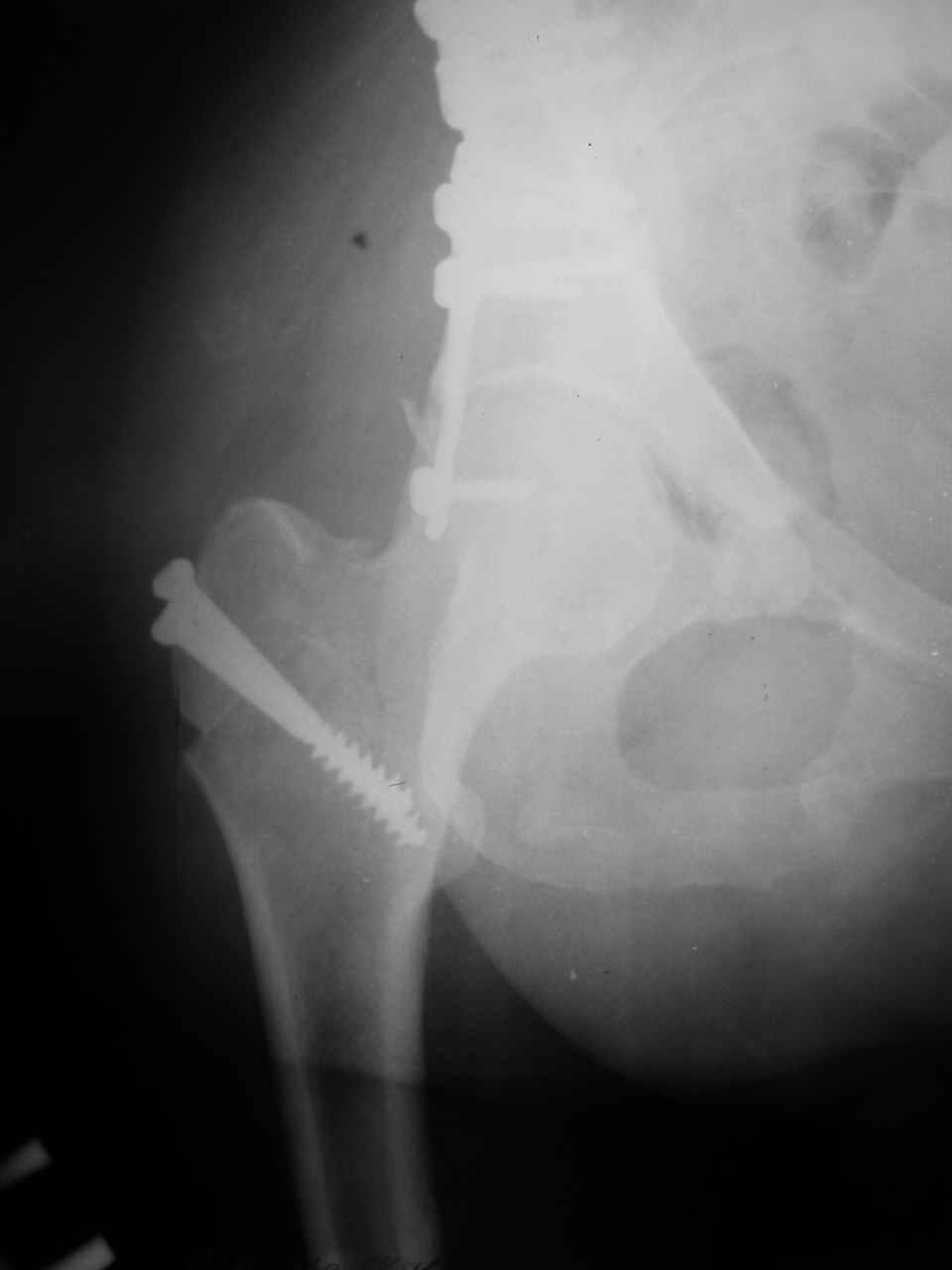
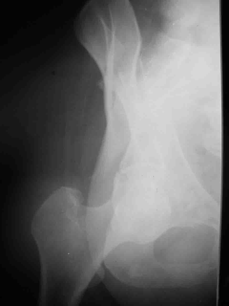
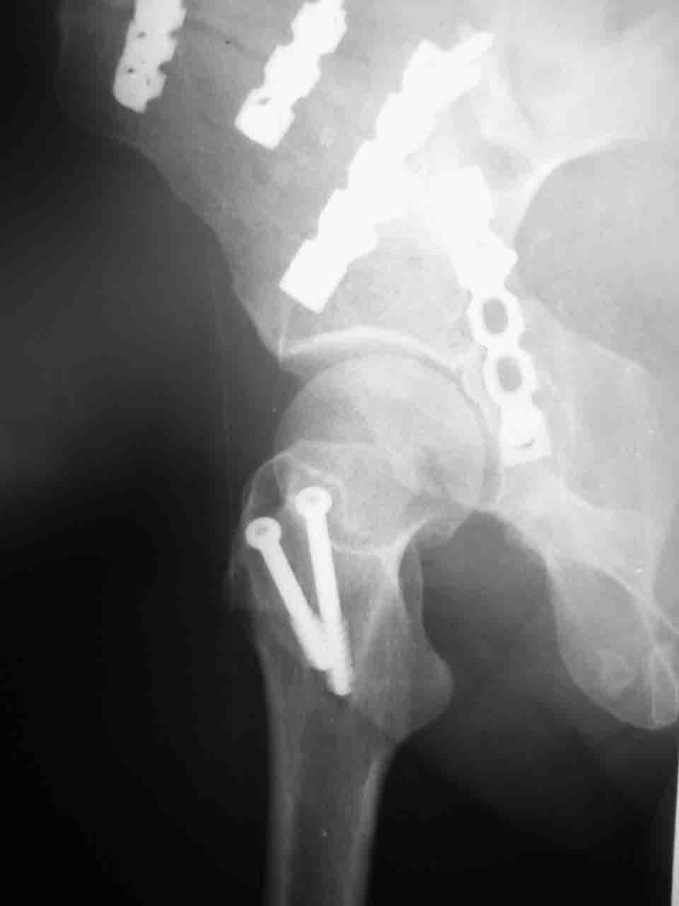
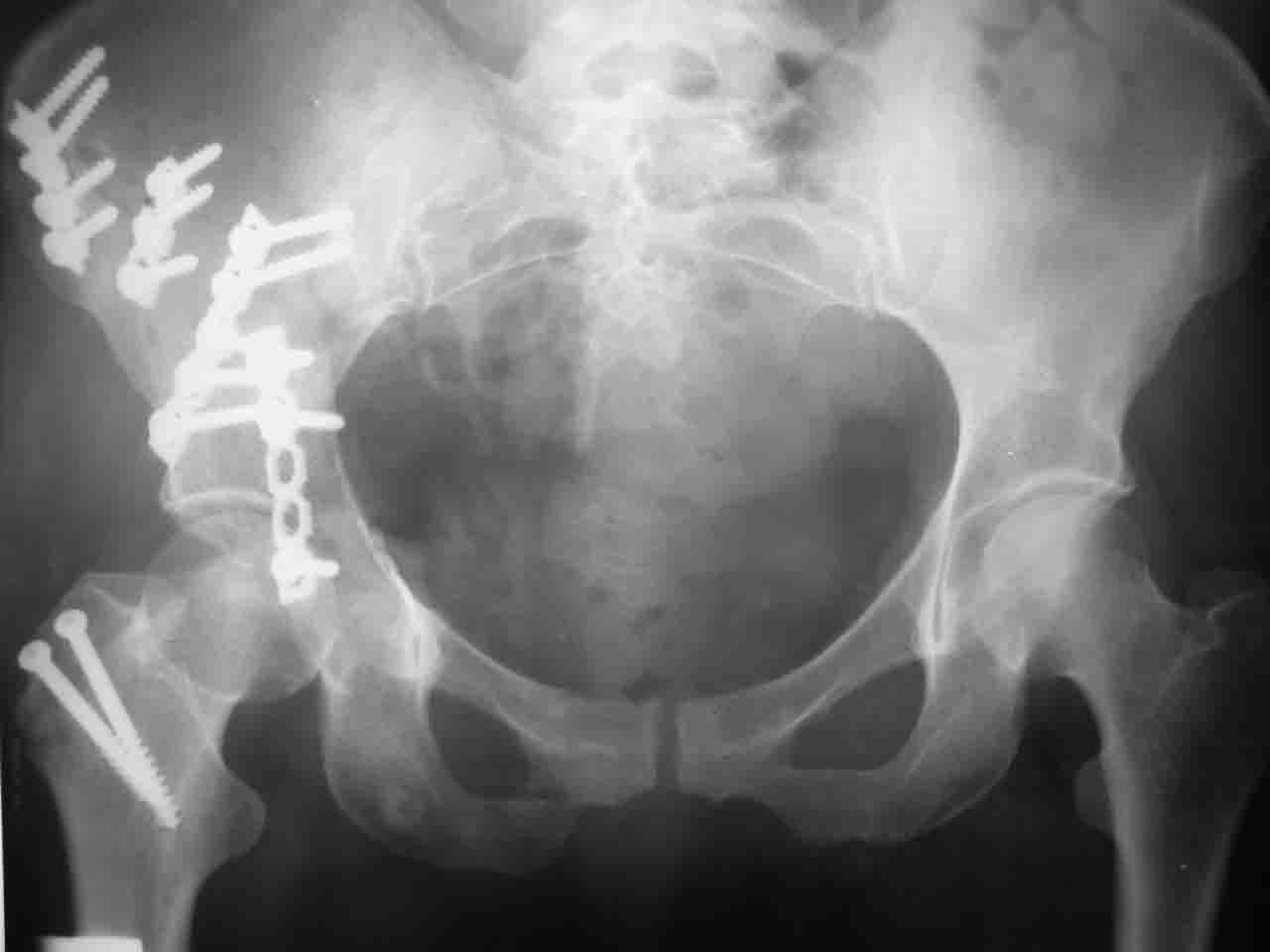
Спасибо за комментарии и рекомендации. Откровенно говоря, больного я прооперировал на прошлой неделе, через 5 дней после аварии и проблем с ним пока никаких нет, на удивление при достаточно обширной диссекции (илиофеморальный доступ) болей практически нет, так что больной самостоятельно садится в кровати, выполняет активные движения в оперированном суставе, сгибая до 60 градусов пока, далее с ассистенцией.
Причиной обращения к сообществу были возникшие непосредственно после операции сомнения и разочарования полученным качеством репозиции: а надо ли было трогать перелом вообще, репозиция передней колонны технически была очень сложна для меня, хотя реконструкции была в той же последовательности, что Д-р А.В.Рунков рекомендовал, в какой-то момент безуспешных манипуляций стал думать о *вторичной конгруэнтности*, которую не так давно обсуждали на
форуме и скелетном вытяжении. С репозицией и фиксацией задней колонны и отдельно задне-верхней стенки впадины проблем не возникло. Послеоп. Рг граммы в приложении. Если возникнут какие-либо дополнения или поправки - был бы признателен.

Е.И.Чекашкин


  • Сообщения о Ортопедия и травматология
  • Также Evgueny Tschekashkin
  • Связаться с автором
  • Ответить

    Re: Перелом вертлужной впадины
    Смирнов Алексей 28 Октябрь 2004, 00:08
    Уважаемый Евгений!
    А какой отдел вертлужной впадины более важен передний или задний? Чем был обусловлен выбор доступа к суставу? Проще говоря, почему вы пошли передним доступом на двухколонный перелом? Мне понятны ваши сомнения, когда не удется сделать все что хотелось бы. В данном случае доступ должен быть чрезвертельным боковым (как и советовал Рунков) или двумя доступами.
    Если хотите пришлю на ваш адрес рентгенограммы похожих повреждений оперированных боковым доступом.
    С уважением Алексей.
    [ Ответить ]

    • Re: Перелом вертлужной впадины
      Отправитель: Evgueny Tschekashkin 28 Октябрь 2004, 08:14
      Уважаемый Алексей,

      Интерес к реконструкции вертлужной впадины у меня появился довольно-таки давно, но до недавнего времени как-то не ощущалась готовность к практической реализации, а местный подход достаточно консервативен - перелом срастется,
      а далее будет видно. Такую точку зрения я не разделяю, поэтому через конференции,ортофорум и свои случаи пытаюсь практически и теоретически *продвинуть* для себя тему реконструкции вертлужной впадины.

      > А какой отдел вертлужной впадины более важен - передний или задний?

      Однозначного ответа у меня нет : лучше быть богатым и здоровым , чем бедным и больным :-))
      Логика подсказывает, что все-таки лучше иметь анатомически полноценную впадину, хотя ранее упоминалось состояние вторичной конгруэнтности и одно наблюдение у меня есть, когда у больного с полностью нарушенной анатомией впадины и подвывихом головки бедра кзади и кверху боли отсутствовали при относительно достаточном для стиля жизни больного объёме движений. Но это только одно наблюдение и кроме перелома впадины у этогобольного была и тяжелая ЧМТ в анамнезе. Основываясь на формулировке структуры ацетабулюм Э. Летурнеля - как перевернутой буквы Y, впадина для полноценной функции сустава должна иметь сферичность, соответствующую размеру головки бедра и если один из компонентов в дефиците, то функциональные последствия рано или поздно проявятся.


      > был обусловлен выбор доступа к суставу?

      Сложностью, ассоциативностью характера перелома, я бы с радостью воспользовался мининвазивной перкутанной фиксацией винтами, но боюсь, что результат был бы ещё хуже, техникой непрямой репозиции перелома не владею, поэтому пытаясь получить анатомичную впадину приходится широко открывать, по крайней мере пока, а дальше буду пытаться уменьшать пространство...


      > передним доступом на двухколонный перелом?

      Илеофеморальный доступ не совсем передний и сравнительно с илеоингвинальным, и Кохера-Лангенбека открывает весь наружный таз кроме самых передних отделов лонных костей, фиксацию которых я не ставил в задачу. Обширность диссекции, большая длительность операции и более высокий риск гетерооссификации - отрицательные моменты в обмен на возможность легче ориентироваться.


      > должен быть чрезвертельным боковым (как и советовал Рунков) или двумя
      > доступами.

      Комбинированные доступы - хорошая альтернатива, меньший процент осложнений, но я заметил , что без сбора *мозаики* безымянной кости сложно отрепонировать переднюю колонну, а с нерепонированной передней колонной невозможно анатомично собрать заднюю колонну и соотв. фрагменты стенки - так.что все равно открывать придется широко. Поэтому выбирая комбинированный
      подход, передний доступ должен был бы быть продлен до задней трети крыла безымянной кости, а задний - практически до того же уровня, оставляя 6-7 см мостик. При этом вместо одного послеоп. рубца у больного остаются два сравнительно длинных.

      > Если хотите пришлю на ваш адрес рентгенограммы похожих повреждений
      > оперированных боковым доступом.

      Был бы признателен за клинические случаи и схемы о чрезвертельном доступе для двухколонных переломов.

      Большое вам спасибо за участие в обсуждении, советы и комментарии.

      Всего Доброго,
      Евгений И Чекашкин

      P.S. Саша, спасибо за автореферат диссера д-ра И.Шлыкова - прекрасные результаты, до этого момента не представлял, что аппараты могут работать и при комбинированной нестабильности тазового кольца, хотелось бы увидеть клинические примеры хороших и упомянутых неудовлетворительных результатов с вашими выводами о возможных причинах.

      [ Ответить ]
      • Re: Перелом вертлужной впадины
        Отправитель: Смирнов Алексей 28 Октябрь 2004, 23:56
        Уважаемый Евгений!
        Вопрос доступа к вертлужной впадине при остеосинтезе задача не простая. Конечно, у Летурнеля и Тайла всё давно описано, нам остается только брать на вооружение. Но сами понимаете, что не бывает двух одинаковых ситуаций, поэтому в каждом случае вопрос решается сугубо индивидуально. Наша главная цель - восстановить анатомию с нанесением минимальной дополнительной травмы тазобедреннному суставу, думаю с этим никто не поспорит. Расширенный илиофеморальный доступ уж слишком травматичен (как сказал один коллега "таз лежит отдельно, больной отдельно").Стоит ли делать из пациента анатомический препарат для того чтобы легче ориентироваться. Да и нужно ли собирать всю "мозаику"? Мы применяли при таких операциях своеобразную операционную хитрость - сначала устраняли грубое смещение крыла под гребнем с фиксацией так называемой "плавающей" пластиной (временно фиксированной на двух винтах)- доступ или продлевали боковой, или делали небольшой дополнительный разрез над гребнем. Это позволяло устранить грубое смещение и захождение отломков тела повздошной кости, что значительно облегчало репозицию и остеосинтез впадины над сводом. Основное внимание конечно же уделяли нагружаемому задне-верхнему отделу. Сообщите ваш адрес, пришлю схемы и рентгенограммы.
        С уважением, Алексей.

        [ Ответить ]
        • Re: Перелом вертлужной впадины
          Отправитель: Alexander Chelnokov 29 Октябрь 2004, 00:39
          Шли, пожалста, на ortho@weborto.net, размер картинок только уменьши до 800х600 примерно, и компрессию побольше сделай. Я пользуюсь ACDSee 6, там при сохранении ставишь качество 0. Картинки, тем не менее, остаются вполне читаемые.

          [ Ответить ]
    • Re: Перелом вертлужной впадины
      Отправитель: Evgueny Tschekashkin 30 Октябрь 2004, 10:40
      Алексей, спасибо за письмо.

      мой адрес : evgueny(at)iway.na буду ждать схемы и Ргграммы. Заранее благодарен.

      С наилучшими пожеланиями,
      Евгений Чекашкин.

      [ Ответить ]
      • Re: Перелом вертлужной впадины
        Отправитель: Смирнов Алексей 05 Ноябрь 2004, 22:49
        Евгений, напишите пожайлуста корректно ваш адрес!

        [ Ответить ]

     

    ( Ответить )

    Powered by Zope  Squishdot Powered MedLink
    Посетитель: 0000048
      "По форме правильно, а по существу - издевательство" В.И.Ленин
    ©2001-2019Orthoforum Coordinator.
    [ Главная | Отправить сообщение | Поиск | Админ ]