AOTRAUMA.ORG Центр Илизарова  

Ортопедия и травматология Общие вопросы/General questions Help Информационные технологии в медицине
 ВХОД ДЛЯ ПАЦИЕНТОВ
 вверх
 поиск
 админ
 главная
 исходное


Re: Перелом шейки плеча
послал Djoldas Kuldjanov 30 Ноябрь 2004, 23:36




































































Случай интересный и заслуживает внимания со своей актуальностью, потому что открывать такие переломы вряд ли кому доставит удовольствие, даже тем, кто владеют АО или locking concept technique.

Учитывая отсутствие знаний о методике, хотя я очень заинтересовался, после прошлегодного доклада из ЦИТО в Ст. Петерсбурге, простота методики и отсутствие миграции спиц распологает к себе.

Но как всегда, даже самая простая методика становится сложной из-за мелких деталей, и я уверен, те рекомендации Анатолия помогут тебе выйти из положения.

Интересно знать, какого диаметра спицы пригодны для фиксации?

Пока я пользуюсь методикой принятой у нас (методика Сиэтла), также перкутанный спицевой метод, только сцицы 2.8 мм с резбой на конце.

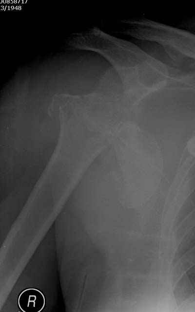
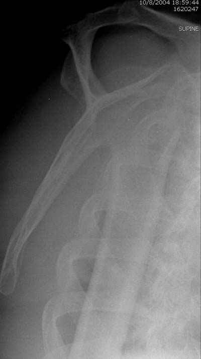
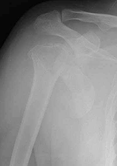
Здесь случай перелома-вывиха плеча, больному 56 лет, после "дважды" закрытой неудачной репозиции, опять же ургентно взяли в операционную, после полного общего обезболивания попытались сделать репозицию, и фиксацию провели спицами.

Больной находился в повязке, примерно напоминяющей косыночную, рекомендованы движения в локтевом суставе и маятниковые движения в плече, спицы удалены в три недели (были случаи миграции)

Больной амбулаторный, предупрежден на случай осложнения АВН головки.

Джолдас
Послать ответ

Имя
Email
Уведомление Сообщить мне по e-mail об ответах на это сообщение
Название
Комментарий
(Проверьте URL! Не забудьте написать http://!)
Кодировка
Если не знаете, что выбрать, выберите "Просто текст"!
Приложение
Можно приложить к сообщению файл c изображением, который затем будет доступен увидевшим сообщение.
Подготовка иллюстраций:
  • Рентгенограммы: черно-белые полутоновые изображения в формате JPEG (8 bit, greyscale) с разрешением от 300х200 до 1024х768 пикселов;
  • Клинические фотографии: полноцветные изображения в формате JPEG (24 bit, truecolor) с разрешением от 300х200 до 1024х768 пикселов;
  • Схемы и рисунки: черно-белые (2 bit) штриховые (line-art) изображения в формате GIF или compressed TIFF
  • Подберите степень сжатия файла JPEG и размер изображения таким образом, чтобы необходимые детали были различимы, но размер файла не превышал 75 кб.
  • Учтите, что текущая версия программного обеспечения Форума позволяет приложить к одному сообщению лишь один файл-вложение. Поэтому, если необходимо отправить несколько изображений, можно либо послать каждое как отдельное сообщение, либо в графическом редакторе объединить изображения в одно (сделать коллаж).
  • Если при подготовке изображений встречаются трудности, не стесняйтесь обратиться к координатору Форума.

  • Введите видимые символы в обратном порядке. Enter the above characters in reverse order (*Обязательно)
    В тексте сообщения можно использовать теги HTML <B> <I> <P> <A> <LI> <OL> <UL> <EM> <BR> <TT> <HR> <STRONG> <BLOCKQUOTE> <DIV .*> <DIV> <P .*>
  • Обратите внимание: Поля с жирными названиями обязательны.
  • Старайтесь отвечать в рамках обсуждаемой темы, а не начинать новые обсуждения.
  • Указывайте адекватную тему сообщения, чтобы было ясно, о чем оно.
  • Не послайте сообщений не по теме (оффтопик), раздраженных, грубых или обидных комментариев. Здесь это неуместно.
  • Powered by Zope  Squishdot Powered MedLink
    Посетитель: 0392470
      "По форме правильно, а по существу - издевательство" В.И.Ленин
    ©2001-2019Orthoforum Coordinator.
    [ Главная | Отправить сообщение | Поиск | Админ ]