AOTRAUMA.ORG Центр Илизарова  

Ортопедия и травматология Общие вопросы/General questions Help Информационные технологии в медицине
 ВХОД ДЛЯ ПАЦИЕНТОВ
 вверх
 поиск
 админ
 главная


Femur
Ортопедия и травматология Прислано Djoldas Kuldjanov, M.D. 24 Ноябрь 2004, 21:22
из
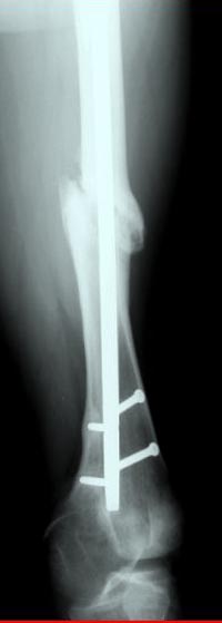
Коллеги, Комментарии к случаю лечения ложного сустава бедра аппаратом типа Илизарова, показанному здесь
Почему не замена гвоздя с рассверливанием, а аппарат?
Из истории болезни: два года назад проперирован по поводу 3А открытого перелома бедра, травма на работе в результате "стена упала на него". Сопутствующая травма: Закрытая травма черепа, перелом голеностопного сустава (прооперериван) и перелом плеча (консервативное лечение)
Лечение бедра - ургентное оперативное лечение антеградным с минимально рассверливанием, фиксацией с минимальным диаметром штифта и плюс irrigation and debridment и с закрытием поперечной до 10 см раны на уровне перелома в день поступления.
После трех дней начались выделения из ран которые промывалась в палате и рана постепенно закрылась в течение нескольких месяцев. Эмпирически получал 6 недельний курс антибиотика Vancomycin внутривенно.
Снимки представлены: 1 мес; 3 мес; 1 год; 2 года, предоперационные и ротационная КТ грамма
Деформация:
Вальгус- 17 градусов
Рекурватум 5 градусов
Укорочение 2.5см
Ротационно 22 градусов внутренная
Смещение диафиза по поперечнику 75%
Из трех вариантов:
Рассверливание с заменой более большого диаметра штифтом,
Остеотомия с фиксацией пластиной+костная пластика,
Аппарат Илизарова= Taylor spatial frame
Гвоздь для ротационных смещениц был бы идеальным имплантом, после коррекции есть возможность блокировать, но из-за укорочения метод оставил на последнее место. Есть метод Сhaplan лечения ложных суставов бедра, где необходимость bone graft, накладывается феморальный дистрактор и после удаления штифта - рассверливание, через проксимальный канал вводят костный графт в место ложного сустава под рентген контролем, потом вводят штифт, кстати, само рассверливание дейстивует как стимулятор - активизирует восстановительный процесс.
Обычный мой первый выбор - вариант с пластиной, - учитывая бывшую инфекцию, открытую травму, посчитал метод менее приемливым.
Еще больной был противв костной аутопластики, да и самому тоже хотелось перейти к истокам "откуда мы" более усовершенствованному Курганскому методу.
Операцию провели в два этапа, сперва удалили штифт, рассверливание римером на пару мм большего диаметра, определение чувствительности на анаэробную и аэробную культуру (где исследования показали негативный результат чувствительности), через дней десять - начали аппаратную фиксацию.

Послать ответ

Имя
Email
Уведомление Сообщить мне по e-mail об ответах на это сообщение
Название
Комментарий
(Проверьте URL! Не забудьте написать http://!)
Кодировка
Если не знаете, что выбрать, выберите "Просто текст"!
Приложение
Можно приложить к сообщению файл c изображением, который затем будет доступен увидевшим сообщение.
Подготовка иллюстраций:
  • Рентгенограммы: черно-белые полутоновые изображения в формате JPEG (8 bit, greyscale) с разрешением от 300х200 до 1024х768 пикселов;
  • Клинические фотографии: полноцветные изображения в формате JPEG (24 bit, truecolor) с разрешением от 300х200 до 1024х768 пикселов;
  • Схемы и рисунки: черно-белые (2 bit) штриховые (line-art) изображения в формате GIF или compressed TIFF
  • Подберите степень сжатия файла JPEG и размер изображения таким образом, чтобы необходимые детали были различимы, но размер файла не превышал 75 кб.
  • Учтите, что текущая версия программного обеспечения Форума позволяет приложить к одному сообщению лишь один файл-вложение. Поэтому, если необходимо отправить несколько изображений, можно либо послать каждое как отдельное сообщение, либо в графическом редакторе объединить изображения в одно (сделать коллаж).
  • Если при подготовке изображений встречаются трудности, не стесняйтесь обратиться к координатору Форума.

  • Введите видимые символы в обратном порядке. Enter the above characters in reverse order (*Обязательно)
    В тексте сообщения можно использовать теги HTML <B> <I> <P> <A> <LI> <OL> <UL> <EM> <BR> <TT> <HR> <STRONG> <BLOCKQUOTE> <DIV .*> <DIV> <P .*>
  • Обратите внимание: Поля с жирными названиями обязательны.
  • Старайтесь отвечать в рамках обсуждаемой темы, а не начинать новые обсуждения.
  • Указывайте адекватную тему сообщения, чтобы было ясно, о чем оно.
  • Не послайте сообщений не по теме (оффтопик), раздраженных, грубых или обидных комментариев. Здесь это неуместно.
  • Powered by Zope  Squishdot Powered MedLink
    Посетитель: 0266227
      "По форме правильно, а по существу - издевательство" В.И.Ленин
    ©2001-2019Orthoforum Coordinator.
    [ Главная | Отправить сообщение | Поиск | Админ ]