AOTRAUMA.ORG Центр Илизарова  

Ортопедия и травматология Общие вопросы/General questions Help Информационные технологии в медицине
 вверх
 отправить
 поиск
 админ
 главная


открытый перелом мыщелков бедра, латерального плато большеберцовой кости. надколенника
Ортопедия и травматология Отправлено Evgueny Tschekashkin 12 Декабрь 2004, 22:39
Уважаемые коллеги,молодой человек 18 лет переведен к нам через 12 часов с момента автоаварии.
Повреждений внутренних органов нет, пульс на тыльной артерии стопы определяется. Общее состояние стабильное, учитывая интоксикацию больного сохранность чувствительности определить проблематично. Хотелось бы знать ваше мнение по тактике и лечению, а именно, насколько целесообразно в данном случае наложение spanning ex fix после обработки и фиксации переломов. При обработке выявлены дефекты передне - срединного отдела суставной поверхности большеберцовой кости и надколенника, которые, учитывая обширность и тяжесть травмы мягких тканей решил отложить до *лучших* времен. На промывание раны ушло 24 литра стерильного раствора, фиксация переломов бедра и большеберцовой костей тягловыми винтами, надколенника по Веберу.Имелась травма голеностопа Вебер тип С( закрытый) (фиксация винтами и спицами) Заранее благодарен,Евгений И Чекашкин

<  |  >

 

  • Сообщения о Ортопедия и травматология
  • Также Evgueny Tschekashkin
  • Связаться с автором
  • Ответить

    Re: открытый перелом мыщелков бедра, латерального
    Alexander Chelnokov 13 Декабрь 2004, 11:09
    ET> насколько целесообразно в данном случае наложение spanning ex fix
    ET> после обработки и фиксации переломов.

    Можно наложить два гибридных аппарата на оба смежных суставных конца, возможно, в сочетании с минимальной внутренней фиксацией компрессирующими винтами, и временно аппараты соединить.

    ET> На промывание раны ушло 24 литра стерильного раствора, фиксация
    ET> переломов бедра и большеберцовой костей тягловыми винтами,

    Тогда по паре стержней в диафиps бедра и tibia, и этот самый spanning fixator.
    А какие меры принимаешь для профилактики инфекции? Будут ли повторные debridementы?

    Успехов.
    [ Ответить ]

    Re: открытый перелом мыщелков бедра, латерального
    Evgueny Tschekashkin 13 Декабрь 2004, 11:15


    Спасибо за рекомендации. Сегодня взял больного на очередную хирургическую обработку и внешнюю фиксацию, картинки в приложении. При обработке опять иссекал ушибленные неркотизированные мышцы, частично кожный лоскут (явные признаки демаркации). связка надколенника разволокнена и выглядит едва ли жизнеспособной, пришлось частично убрать *лохмотья*.
    Беда в том, что иссекая нежизнеспособные ткани происходит обнажение кости (рефиксироанная бугристость) м медиального края надколенника. Образовался обширный дефект наружной группы мышц. Литров 10 стерильного физ раствора извел на промывание раны. Заказал снимки, завтра поглядим.
    Жду результатов посевов раневого отделяемого.

    Картинки по порядку: вид раны после первичной обработки, на следующий день и сегодня после
    повторной обработки и внешней фиксации.
    Рентген дошлю по мере готовности.

    Евгений И Чекашкин





    [ Ответить ]

    • Re: открытый перелом мыщелков бедра, латерального
      Отправитель: Alexander Chelnokov 14 Декабрь 2004, 18:23
      ET> обработку и внешнюю фиксацию, картинки в приложении.

      Т.е. все сделано оптимальным образом.

      ET> При обработке опять иссекал ушибленные неркотизированные мышцы, частично
      ET> кожный лоскут( явные признаки демаркации).

      А контузионный некроз был виден сразу, увы, тут невозможно спасти было этот "пятак". Иногда мы пытаемся этот участок мумификации сохранить в качестве "биологической повязки", чтобы он хоть кость изолировал от воздуха, а под ним с краев наползали бы грануляции.

      ET> связка надколенника разволокнена и выглядит едва ли
      ET> жизнеспособной, пришлось частично убрать * лохмотья*.
      ET> Беда в том , что иссекая нежизнеспособные ткани происходит
      ET> обнажение кости

      Еще, бывает, заливаем такие участки водорастворимыми мазями типа левомеколя - без особого успеха. Джолдас и его коллеги за океаном -
      кладут цементные бусы с антибиотиком, специальную губку, покрывают пленкой и создают вакуум под ней.

      ET> Образовался обширный дефект наружной группы мышц.Литров 10
      ET> стерильного физ раствора извел на промывание раны.

      Обеспечивает ли увеличение количества литров пропорциональное повышение жизнеспособности тканей?..

      ET> Жду результатов посевов раневого отделяемого.

      Мне кажется, нет большой разницы, что сейчас там сеется. Некроз уже есть, он обусловлен собственно травмой, т.е. механическими факторами, не микробами. Ну поселится там что-то, безусловно, но развиться вряд ли ты позволишь - все поверхности открыты, все дренируется, удается провести полноценный туалет. Если в плане - закрытие полнослойным лоскутом с микрососудистым анастомозом через 5-7 дней, то действительно бы сделать местное депо антибиотиков (beads). А если
      нет, т.е. ждать грануляций, то неспецифических местных мер должно быть достаточно безотносительно к посевам.

      [ Ответить ]
      • Re: открытый перелом мыщелков бедра, латерального
        Отправитель: Evgueny Tschekashkin 14 Декабрь 2004, 18:25
        > Еще, бывает, заливаем такие участки водорастворимыми мазями типа
        > левомеколя - без особого успеха. Джолдас и его коллеги за океаном -
        > кладут цементные бусы с антибиотиком, специальную губку, покрывают
        > пленкой и создают вакуум под ней.

        Левосин и левомиколь.... По рекомендации Джолдаса съимпровизировал вакуумное дренирование ран, посмотрим как эта система работает, картинки отправлю отдельной почтой. Некроз кожного лоскута прогрессирует.....

        > ET> Образовался обширный дефект наружной группы мышц.Литров 10
        > ET> стерильного физ раствора извел на промывание раны.
        >
        > Обеспечивает ли увеличение количества литров пропорциональное
        > повышение жизнеспособности тканей?..

        Не думаю, чтобы промывание оказывало какой -либо эффект на жизнеспособность тканей скорее просто механическое удаление бактериальной пленки.

        > ET> Жду результатов посевов раневого отделяемого.
        >
        > Мне кажется, нет большой разницы, что сейчас там сеется. Некроз уже
        > есть, он обусловлен собственно травмой, т.е. механическими факторами,
        > не микробами. Ну поселится там что-то, безусловно, но развиться вряд
        > ли ты позволишь - все поверхности открыты, все дренируется, удается
        > провести полноценный туалет. Если в плане - закрытие полнослойным
        > лоскутом с микрососудистым анастомозом через 5-7 дней, то
        > действительно бы сделать местное депо антибиотиков (beads). А если
        > нет, т.е. ждать грануляций, то неспецифических местных мер должно быть
        > достаточно безотносительно к посевам.

        Микрохиругии у нас нет, поэтому закрытие лоскутом на сосудистой ножке отпадает.
        Вакуумное дренирование и ожидание грануляций и окончательной демаркации, посмотрим дальше, может быть, возникнет необходимость повторной обработки,
        пока боли стихли, температура нормализовалась.


        Евгений И Чекашкин

        [ Ответить ]
      • Re: открытый перелом мыщелков бедра, латерального
        Отправитель: Evgueny Tschekashkin 14 Декабрь 2004, 18:41


        Вид раны на сегодня...
        4 cутки после травмы.



        [ Ответить ]
        • Re: открытый перелом мыщелков бедра, латерального
          Отправитель: Castro 15 Декабрь 2004, 02:17
          Ja niskolko dnei nabludaio za itim bolnim, Kraene tiazelia trauma! Kak on kstate sebjia (in General status) chuvstvuet? Daete li Vi emu nizkomolekularny hyparin? Esli da, to kakoi? V kakih dosirovkah?
          Da, Kollega, Vi sdelali velikuio rabotu, i mene kazitsa, chto luche>>>> PROSTO NILZA, chto ze kassaetsa Gubky i cement s antibiotikami, to NI ZALAETE, chto ego u Vas net, ITO LUCHE dla Vashego patienta, chto ego net!
          Po drugomu stoiat dela s plasticheskoi hirurgii,, ito bessporno pomoglo bi Vashego bolnogo. Bog v pomosh,
          Yours Castro

          [ Ответить ]
          • Re: открытый перелом мыщелков бедра, латерального
            Отправитель: Иван Сиротин 15 Декабрь 2004, 21:54
            А чем так плохи губки с антибиотиком?

            [ Ответить ]
          • Re: открытый перелом мыщелков бедра, латерального
            Отправитель: Evgueny Tschekashkin 16 Декабрь 2004, 09:08
            Уважаемый Д-р Кастро,

            Спасибо за комментарии. Травма тяжелая с проблематичным прогнозом для функции коленного сустава( изначально травма разгибательного аппарата с последующим частичным некрозом собственной связки надколенника и о обнажением рефиксированного фрагмента бугристости большеберцовой кости, дефектом центрального отдела суставной поверхности большеберцовой кости и медиального отдела капсулы сустава).
            Общее состояние вполне приличное, температура до 37 гр.,при поступлении Гб -9 г/л, после обработки на следующий день 5,5 г/л, поэтому перелили 3 дозы Эр.массы. Боли на удивление в покое не беспокоят (для обезболивания - панадол)
            Низкомолекулярный гепарин не назначал (хотя наверное и имело смысл) только аспирин 150 мг ежедневно.
            Продолжаем вакуум дренирование раны (отделяемого практически нет). Учитывая отсутствие болей, нормальную температуру, отсутствие активной инфекции (5 сутки с момента травмы) взял на себя смелость отменить антибиотики - нет показаний для продолжения, судя по клиническим проявлениям и адекватности дренирования ран воспалительный процесс локализовался, на завтра планирую перевязку с продолжением вакуум дренирования и посевом из раны.

            Спасибо за пожелания и добрые слова,
            Евгений И Чекашкин

            [ Ответить ]
    Re: открытый перелом мыщелков бедра, латерального плато большеберцовой кости. надколенника
    Иван Сиротин 15 Декабрь 2004, 21:53
    А можно,пожалуйста, более конкретно про повреждение голеностопного сустава?
    [ Ответить ]

    • Re: открытый перелом мыщелков бедра, латерального
      Отправитель: Evgueny Tschekashkin 16 Декабрь 2004, 09:24
      Уважаемый Иван,

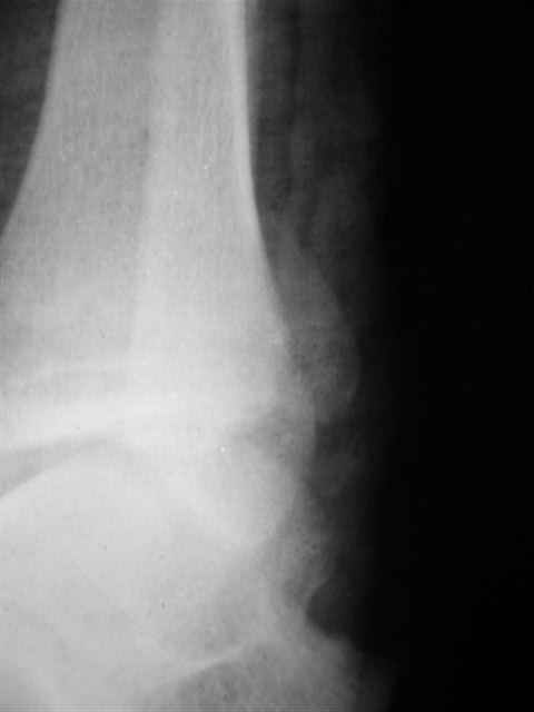
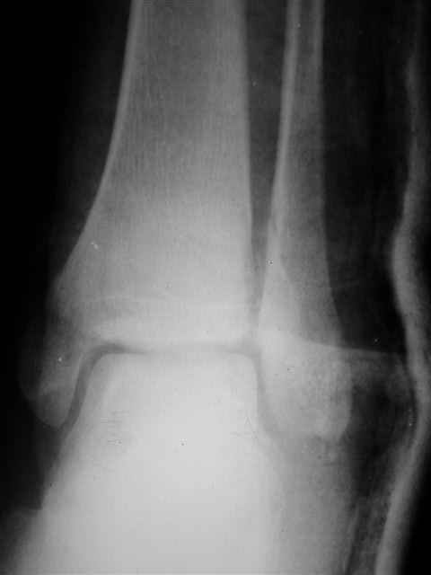
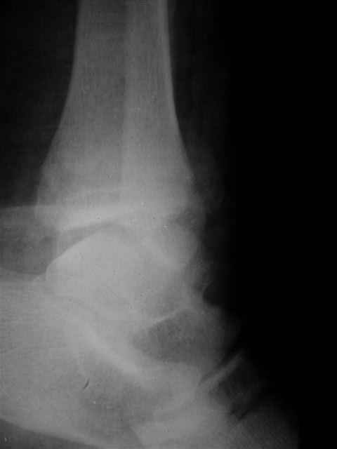
      В первом письме я упомянул о закрытом повреждении правого голеностопного сустава, эверсионно-пронационный механизм травмы - перелом внутренней лодыжки( поперечный, на уровне суставной щели) и отрывной перелом бугорка Chaput. После обработки открытых переломов бедра и большеберцовой кости в эту же сессию перелом внутренней лодыжки фиксировал двумя расходящимися спицами, бугорок Chaput двумя тягловыми винтами 3,5 мм. Раны заживают благополучно. Учитывая повреждение наружной группы мышц, активное разгибание в голеностопном суставе ограничено. Пассивная + пассивно-активная мобилизация голеностопного сустава с физиотерапевтом.
      > А можно,пожалуйста, более конкретно про повреждение голеностопного
      сустава?
      Каких-либо вопросов по лечению травмы голеностопного сустава у меня не возникло,поэтому о дальнейших деталях лечения я не упоминал.
      (Если вы заинтересовались, то Рг граммы представлю)

      Всего доброго,
      Евгеиний И Чекашкин

      [ Ответить ]
      • Re: открытый перелом мыщелков бедра, латерального
        Отправитель: Иван Сиротин 17 Декабрь 2004, 21:30
        Уважаемый Евгений!
        Если Вас не затруднит, пришлите, пожалуйста, рентгенограммы. Я интересуюсь тактикой лечения повреждений голеностопного сустава. Хочется посмотреть, как лечат коллеги.

        [ Ответить ]
        • Re: открытый перелом мыщелков бедра, латерального
          Отправитель: Evgueny Tschekashkin 18 Декабрь 2004, 15:02
          Уважаемый Иван,


          > Если Вас не затруднит, пришлите, пожалуйста, рентгенограммы. Я
          > интересуюсь тактикой лечения повреждений голеностопного сустава.
          > Хочется посмотреть, как лечат коллеги.

          Ничего сверхъестественного, но если есть интерес, то в понедельник пересниму Рг-граммы и отправлю.

          Всего наилучшего,
          Евгений

          [ Ответить ]
        • Re: открытый перелом мыщелков бедра, латерального
          Отправитель: Alexander Chelnokov 18 Декабрь 2004, 17:45
          По-моему, лучший путь удовлетворить подобный интерес - это для затравки обсуждения представить какой-то свой случай, показать свой подход к проблеме. Это даст коллегам куда больше мотивации для содержательной реакции.

          [ Ответить ]
          • Re: открытый перелом мыщелков бедра, латерального
            Отправитель: Иван Сиротин 19 Декабрь 2004, 12:48
            Я так и хотел поступить. Просто не было в последнее время показательного случая, действительно требующего раздумий.
            Большое спасибо всем за внимание к моим вопросам!

            [ Ответить ]
    Re: открытый перелом мыщелков бедра, латерального
    Djoldas Kuldjanov 15 Декабрь 2004, 21:54

    \
    Небольшие заметки по поводу ведения больных с дефектами кожных покровов.

    ET> Левосин и левомиколь.... По рекомендации Джолдаса съимпровизировал
    ET> вакуумное дренирование ран, посмотрим как эта система работает,
    ET> картинки отправлю отдельной почтой. Некроз кожного лоскута прогрессирует.....

    К сожалению, по снимкам было видно о неизбежности прогрессии некроза кожного лоскута.

    C> Gubky i cement s antibiotikami, to NI ZALAETE, chto ego u Vas net,
    C> ITO LUCHE dla Vashego patienta, chto ego net!

    Dr. Castro, почему Вы считаете отсутствие губки и цемента с антибиотиками лучше для этого пациента? У вас имеются доказательства вреда предложенного метода? Я не уверен, что отсутствие какого либо препарата или аппарата, который поможет в улучшении состояние больного, вдруг оказалось бы "luche", это скорее всего беда, а отрицание метода, доказанного на практике и в теории, и успешно применяемого в других клиниках, это уже
    дважды беда.

    До применения методики вакуумного закрытия раны, wound VAC (vacuum assisted closure), обычно применяли технику закрытия поверхности раны стерильной повязкой, что не сохраняло от риска вторичной (больничной) контаминации, мокрая повязка затрудняет уход, тяжелые ежедневные перевязки, недовольство со стороны персонала с многоразовыми сменами белья, в общем, много хлопот.

    Wound VAC от компании KCI облегчает все перечисленные неудобства или сводит до минимума, из-за герметичной изоляции от окружающей среды даже в одной палате с ним можно держать другого "чистого больного" без риска заряжения, а постоянное отрицательное давление, создаваемой под пленкой, помогает усилению грануляций и уменьшения размеров раны.

    Этот метод состоит из обычной спонгиозной стерильной губки с трубкой (из любой системы для внутривенного переливания) закрытой герметично к телу и подсоединеного к отсосу или к вакуум аппарату, что каждый может смастерить у себя при наличии такой проблемы.

    При частной переписке этому больному была предложена методика вакуум очистки с обьяснением как сделать вакуум из подручных средств, и иллюстрация успешного применения на последнем снимке доказывает, что система работает, и безосновательные отрицательные рекомендации, могут сбить энтузиазм у доктора, который искренне желает помочь этому несчастному больному.

    Wound VAC применятся во всех хронических и долго заживающих ранах пластическими хирургами, в ортопедической практике мы начали применять около 5 лет назад, и результатами очень довольны.

    Смену вакуума производим каждые 2-4 дня в зависимости от состояния раны и своей занятости, иногда смену вакуума комбинируем со сменой "бус из антибиотика с цементом".

    Рутинно каждый дебридмент заканчиваем взятием из раны пробы на чувствительность на аэробную и анэробную культуру, назначение антибиотиков производим на основе результатов посева.

    Только при негативной культуре чувствительности, приступаем к закрытию раны, иначе продолжаем дебридмент до негативного результата.

    Бывали исключения, ранее закрытая рана после негативной культуры вдруг дает положительный результат (скудно просеевшиеся и подозрительные препараты изучаются дополнительными глубокими методами method TiO) и при отсутствии наружных проявлении со стороны раны, тогда лечение продолжаем под антибиотикотерапией до 8 недель.

    Показания к применению бус из цемента с антибиотиком не только костные дефекты, метод успешно применяется в лечение дефектах мягких тканей, дозы соответсвенно Tobramycin 1.2 + Vankomycin 1.0 на один пакет цемента, с прошлого года цемент стали выпускать с добавкой антибиотика 1.0 Tobramycin.

    ET> Не думаю, чтобы промывание оказывало какой -либо эффект на
    ET> жизнеспособность тканей скорее просто механическое удаление
    ET> бактериальной пленки.

    Промывание дает только механическую очистку, применяется одноразовые системы с мотором, пульсирующими струями (Pulsatil Lavage) под давлением (имеется риск расширения полости, при применении давления в полостях) не менее 6 литров, подсчет не в количестве литров, а время экспозиции, т.е. за сколько минут 6 литровая жидкость промывает поверхность раны?, досконально не помню, но примерно так, больше 6 литров не повредит и в зависимости от состояния раны.

    ET> Микрохиругии у нас нет, поэтому закрытие лоскутом на сосудистой
    ET> ножке отпадает. Вакуумное дренирование и ожидание грануляций и
    ET> окончательной демаркации, посмотрим дальше может быть возникнет
    ET> необходимость повторной обработки, пока боли стихли, температура
    ET> нормализовалась.

    При отсутсвии микрохирургической техники, имеется довольно старый метод, забытый из-за достижения микрохирургии, сделать кросс лег графт.

    В свое время в союзе я применял у многих больных с успехом, когда отсутствовала микротехника и была необходимость закрыть огромные участки обнаженной кости.

    Большое усилие нужно на уговор больного и родственников на необходимости методики, только при хорошей кооперации больного и родственников достигается успех, особенно в этом случаи.

    Техника кросс лег графт для многих знакомая, но я предпочитаю разделить на несколько этапов: первый - этап васкуляризации лоскута. Подготовка донорского участка на другой конечности, медиально-задняя часть голени подходит, очерчивая контур участка с основанием на передней поверхности голени, делаю разрез кожи с подкожной клетчатки до мышечной фасции, отодвигая от фасции весь лоскут, применяя только кожные швы, после гемостаза подкожных сосудов зашивал обратно на свое место. Идеа заключается в том, что со временем по краям лоскута развивается хорошая сеть васкуляризации.

    Вторым этапом после 10-12 дней, проводился дебридмент донорского участка и зашивается лоскут на подготовленное ложе после отсечения с одной стороны, одновременная кожная пластика на донорский участок, зашитый лоскут между двумя конечностями страхуется аппаратом или наружным фиксатором любого типа, даже два Steinman pins подходят.

    После тяжелого двухнедельного ожидания, приросший лоскут к дефекту спереди, отсекается от оригинала и закрывается участок дефекта после хорошего дебридмента.

    Еще имеется методика "создание плюс ткани" с помощью аппарата Илизарова, тяга за подкожно вложенный костный фрагмент спицами или "skin expander", надуваемым баллончиком под кожей, но я считаю в данном случаи предложенный метод закроет дефект.

    Метод конечно старый и жестоковат, может у коллег имеются другие пути лечения для решения проблемыю

    На снимке № 1 вид раны,
    №2 покрытие губкой,
    №3 финальное закрытие пленкой и после включения вакуума,

    №4 снимок через два дня после операции, супракондилярный перелом, при поступлении конечность была холодная и без пульса, подозрение на повреждение сосудов, сделана ABI (ankle-brachial index) в приемном отделении, индекс меньше 1 к 0.9 в норме 1 к 1.1, срочная ангиография в операционной после Ex-Fix, по два стержня в сегменте наложен в течение 20 мин, повреждение подколенной артерии, ушивание сосудистым хирургом через медиальный доступ в дистальном отделе бедра и двухразрезная профилактическая фацсиотомия, перкутанная фиксация каннюлированными шурупами несмещенного перелома шейки бедра и дополнительные стержни в фиксаторе для жесткости.


    С уважением Джолдас Кульджанов
    Djoldas Kuldjanov, MD
    Department of Orthopedic Surgery
    St. Louis University Medical Center




    [ Ответить ]

    • Re: открытый перелом мыщелков бедра, латерального
      Отправитель: Evgueny Tschekashkin 16 Декабрь 2004, 09:16
      Джолдас, Добрый День,


      Как вы видели на снимках наладил вакуум дренирование раны.
      Послеоперационный период протекает на удивление благополучно, признаться не ожидал такого эффекта: болей практически нет, нормальная температура, молодой человек вполне бодр и общается со своими подругами:-))
      На завтра планирую перевязку, частично некротизированный лоскут планирую оставить в качестве *биологической* повязки до формирования грануляций. Что касается местного применения цемента с антибиотиками, то местные цены, мягко говоря, sky high, 300 - 500 $ за дозу поэтому бюджетом выделяются только на случаи артропластики, представители Страйкер и Зульцер обычно включают его в стоимость имплантов.

      > вреда предложенного метода?
      > Я не уверен, что отсутствие какого либо препарата или аппарата,
      > который поможет в улучшении состояние больного, вдруг оказалось бы
      > "luche", это скорее всего беда, а отрицание метода, доказанного на
      > практике и в теории, и успешно применяемого в других клиниках, это уже
      > дважды беда.

      Вы правы и другого мнения здесь и не может быть, но разные системы - разные возможности...
      Opsite adhesive films тоже не дёшевы, но к счастью доступны:-))

      > До применения методики вакуумного закрытия раны, wound VAC (vacuum
      > assisted closure), обычно применяли технику закрытия поверхности раны
      > стерильной повязкой, что не сохраняло от риска вторичной (больничной)
      > контаминации, мокрая повязка затрудняет уход, тяжелые ежедневные
      > перевязки, недовольство со стороны персонала с многоразовыми сменами
      > белья, в общем, много хлопот.

      Абсолютно согласен - предыдущие случаи с использованием обычных перевязочных материалов на 3-4 сутки появлялись признаки присутствия pseudomonas aeruginosa, избавиться от которой очень тяжело, да и повязки постоянно промокают со всеми вытекающими последствиями.....

      > Wound VAC от компании KCI облегчает все перечисленные неудобства или
      > сводит до минимума, из-за герметичной изоляции от окружающей среды
      > даже в одной палате с ним можно держать другого "чистого больного" без
      > риска заряжения, а постоянное отрицательное давление, создаваемой под
      > пленкой, помогает усилению грануляций и уменьшения размеров раны.

      Кроме указанного, в условиях вакуума традиционные раневые аэробы( стаф. и стрептококки), видимо, плохо растут:-)), своего рода вакуумная санация

      > Этот метод состоит из обычной спонгиозной стерильной губки с трубкой
      > (из любой системы для внутривенного переливания) закрытой герметично к
      > телу и подсоединеного к отсосу или к вакуум аппарату, что каждый может
      > смастерить у себя при наличии такой проблемы.
      >
      > При частной переписке этому больному была предложена методика вакуум
      > очистки с обьяснением как сделать вакуум из подручных средств, и
      > иллюстрация успешного применения на последнем снимке доказывает, что
      > система работает, и безосновательные отрицательные рекомендации, могут
      > сбить энтузиазм у доктора, который искренне желает помощь этому
      > несчастному больному.

      Действительно, при желании можно найти возможности для налаживания такой системы....
      С энтузиазмом - всё в порядке.. Гораздо приятнее видеть положительный результат, нежели каждодневные перевязки и бесконечные дебрайдменты с поселившейся сине-гнойной палочкой.... При этой системе экономится время, перевязки раз в 2 - 3 дня.

      >
      > Промывание дает только механическую очистку, применяется одноразовые
      > системы с мотором, пульсирующими струями (Pulsatil Lavage) под
      > давлением (имеется риск расширения полости, при применении давления в
      > полостях) не менее 6 литров, подсчет не в количестве литров, а время
      > экспозиции, т.е. за сколько минут 6 литровая жидкость промывает
      > поверхность раны?, досконально не помню, но примерно так, больше 6
      > литров не повредит и в зависимости от состояния раны.

      Страйкер выпускает SURGILAV , которыми я начал пользоваться при обработках - устройство, напоминающее пистолет с двухпросветным стволом: по центральной трубке подается пульсирующая струя, а внешняя выполняет роль отсоса и два режима работы - медленного и быстрого промывания, экономит время и качество *отмывания* тканей видно невооружённым глазом, можно и рестерилизовать системы (что приходится делать в госуд. госпитале, смена 8 батареек АА типа и можно испоьзовать опять - чудо-машину)
      >

      > При отсутсвии микрохирургической техники, имеется довольно старый
      > метод, забытый из-за достижения микрохирургии, сделать кросс лег
      > графт.

      У меня тоже есть опыт применения такого рода пластики, видимо, на нем и остановлюсь, единственные недостатки -продолжительность и дискомфорт для больного (фиксированное вынужденное положение ног на протяжении 3 недель:-((
      Техника с пенвмоэкспандером выглядит очень привлекательно, никогда не пробовал, постараюсь найти возможности для применения.

      Джолдас, большое спасибо за консультативную помощь,

      Всего Доброго,
      Евгений

      [ Ответить ]
    Re: открытый перелом мыщелков бедра, латерального плато большеберцовой кости. надколенника
    Dr. Castro 16 Декабрь 2004, 02:20
    Da, ito bila moda, odno vremjia! Ja imeio nibolshoi, no pechalny opit' s ispolzovaniem cementa s antibiotikom dla zakrevanjia kostnih defectov pre ostroi otkritoi traume v epimetafizarnih zonah:
    Tak, sam ja premenial itot metod dva raza, i lechil 5 bolnih u kotorih cement bil' premenen drugimi vrachami, tolko u odnogo bolnogo iz vseh semy dela shli kak nado: u 5 iz nih zaregestrirovanna razlichnoi stepeny i flory infeksjii (v tom chesle flora chuvstvitelna k antibiotiku, kotory bil' so cementom!), u dvuh iz nih infeksia bila agressivnoi do ugrozoi amputasii konechnosty, a u teh, u kogo ni bila ita ugroza prehodilos' ili chastechno ili polnostio "inogda s horoshimi kuskami kosty" udaliat'! Ubezden, chto ni targocid ni kakoi drugoi antibiotik ni spasaet ot infeksii v takih sytuasiah. Na moi vzglad',da, mozno ispolzovat' itot metod "later on" i mozno vesty cement bez razrezov, pod "screen", kogda sytuasia budet bolee menee jasna v plane infeksii kostnoi tkany,no ni seachas. Poetomu, ja schitaio, chto doctor bil' prav, kogda on vzal posev s rany cherez 48-72 chasa posle traumy. Vot poetomu, daze te, kto bili jarie storoniky itogo metoda v nashei strany, nachili ot nego otkazatsa i stavit' dla ego premenenjia zestkie pokazanjia! Chto ze kassaetsa togo facta, chto Cement s antibiotikami ispolzuetsa dla zakrtii deffectov miakih tkany to Ja ni obladio opitom i informasio,
    Sposibo za vnemanii
    [ Ответить ]

    • Re: открытый перелом мыщелков бедра, латерального
      Отправитель: Alexander Chelnokov 16 Декабрь 2004, 23:48
      Коллега Кастро, а Вы не путаете описанное Джолдасом использование цементных бус или спейсеров с введением еще мягкого цемента в полость? Когда цемент полимеризуется уже в кости, с разогревом градусов до 150?

      [ Ответить ]
      • Re: открытый перелом мыщелков бедра, латерального
        Отправитель: Castro 17 Декабрь 2004, 01:12
        Dr. Alexander
        Vi imeete vvdeu antibiotic-impregnated cement interval spacers? dla lechenjia knee or hip prosthesis infection? Dumaio ni ob itom shla rech! Esli ja ni tak ponjial, to ja izveniaus' za "miss understanding"!
        No daze Doctor, kotori demostriroval sluchai: pisal" sement mi ostavlaem dla "total knee replacement"- Ok, ja imeel vvedu, chto u nas bila odno vremjia "moda" ispolzoat' obichny " kostny cement s antibioticami dla zapolnenjia deffectov kostei v blizy sustavov, i ito praktika okazalas' porochnoi
        Castro

        [ Ответить ]
        • Re: открытый перелом мыщелков бедра, латерального
          Отправитель: Evgueny Tschekashkine 18 Декабрь 2004, 15:15
          Уважаемый Иван,


          > Если Вас не затруднит, пришлите, пожалуйста, рентгенограммы. Я
          > интересуюсь тактикой лечения повреждений голеностопного сустава.
          > Хочется посмотреть, как лечат коллеги.


          Ничего сверхъестественного, но если есть интерес, то в понедельник пересниму Рг-граммы и отправлю.

          Всего наилучшего,
          Евгений


          [ Ответить ]
          • Re: открытый перелом мыщелков бедра, латерального
            Отправитель: Evgueny Tschekashkin 19 Декабрь 2004, 23:02


            Уважаемый Иван,

            Я предупреждал, что ничего сверхъестественного. Каюсь, что одна из спиц прошла несколько дальше, чем нужно было, но главное - перелом стабилизирован и больной работает суставом в полном объёме, несмотря на представленную раннее травму коленного сустава.

            Всего вам Доброго,
            Евгений И Чекашкин



            [ Ответить ]
    • Re: открытый перелом мыщелков бедра, латерального
      Отправитель: Djoldas Kuldjanov 18 Декабрь 2004, 10:24


      Уважаемый Др. Кастро,

      Да, у вас небольшой, всего 7 случаев, опыт с цементом. Пожалуйста назовите Вашу страну и адрес, возможно, производители цемента найдут новые маркетинговые возможности для своего продукта, может, какая то доля процента достанется нам с Вами (шутка).
      Не желая быть "Salesman, рекламирующим цементные продукты" только на основании личного опыта, могу убедительно сказать, что цемент с антибиотиком бесспорно помогает в лечении тяжелых форм инфекции с мягкоткаными и костными дефектами.

      Впервые цемент в ортопедической практике применил Otto Rohm в Германии, в 1960 Bucholz применил с антибиотиком и по данным Keating et al 1996 уменьшение инфекции открытого перелома голени с 16% до 4% - Reamed Nailing of Open Tibial Fractures: Does the Antibiotic Bead Pouch Reduce the Deep Infection Rate?
      JF Keating, PA Blachut, PJ O'brien, RN Meek, and H. Broekhuyse. J. Orthop. Trauma. 1996. Vol 10, No 5. p 298-303.
      Effectiveness of bone cement containing tobramycin. An in vitro suseptibility study of 99 organisms found in infected joint arthroplasty. CP Scott et al. JBJS. Vol 81-B. No 3. May 1999 p. 440

      Только две публикации из множества, которые можно посмотреть в интернете, доказывающие, как широко цемент с антибиотиком применяется в ортопедической практике.

      Palacos или Simplex cement, Тobramycin, Vancomycin, Gentamycin (Septopal), Erithromycin, Cefazolin -компоненты для приготовления цемента с антибиотиком и по форме могут быть различными: бусы, интрамедуллярный штифт, просто цилиндрический блок в диафизе. Обычно цемент в любой форме не применяется для закрытия эпиметафизарных дефектов при острой травме, если только кость остеопорозная и не держит шуруп, тогда показано применение цемента, который вводится через просверленные отверсия, затем вводится шуруп.
      Для приготовления "бус" не обязательно пользование "Bead Maker" как на картинке в предыдущем выступлении, обычные шарики из цемента, с проведенной ниткой, применяются для заполнения (spacer) при дефектах костей и мягких тканей. При инфицированном ложном суставе трубчатых костей (бедро и голень) применяется антибиотический штифт.
      Для лечения инфицированного ложного сустава после удаления инфицированного штифта, проводим reaming канала на пару миллиметров больше диаметром, в хорошо промытый инфицированный канал вводится
      приготовленный антибиотический гвоздь.
      По контуру удаленного гвоздя, т.е. соблюдением кривизны из 3.2 мм длинной спицы-направителя делаем внутренную арматуру гвоздя с кольцом или изгибом в концах для облегчения последующего удаления, потом спица помешается в трубку 10 мм в диаметре от Chest tube, приготовленный антибиотик с цементом заливается в трубку с одного конца, после затвердения цемента трубка срезается и
      гвоздь с антибиотиком готов.
      Рану закрываем как обычно при интрамедулляроном остеосинтезе, через пару недель, если рана закрыта и нет признаков инфекции, то производится смена на настоящий металлический штифт, опять же с просверливанием канала на мм диаметр больше.
      Вся идея в закрытии мертвого пространстыа в канале, иначе возможность инфицирования собравшейся гематомы.
      По этому принципу лечения мягкотканых дефектов, т.е. чем меньше пространство, тем меньше возможность инфицирования.

      С уважением,
      Джолдас Кулджанов





      [ Ответить ]

     

    ( Ответить )

    Powered by Zope  Squishdot Powered MedLink
    Посетитель: 0392474
      "По форме правильно, а по существу - издевательство" В.И.Ленин
    ©2001-2019Orthoforum Coordinator.
    [ Главная | Отправить сообщение | Поиск | Админ ]