AOTRAUMA.ORG Центр Илизарова  

Ортопедия и травматология Общие вопросы/General questions Help Информационные технологии в медицине
 вверх
 отправить
 поиск
 админ
 главная


открытый оскольчатый в/3 голени
Ортопедия и травматология Отправлено Сергей Зырянов 16 Декабрь 2004, 17:20
Больная поступила 11 12 2004 с открытым оскольчатым переломом в/3 обеих костей правой голени со смещением после автодорожной аварии. (1Б по Каплану, тип 2-классификация Gustilo-Anderson).
Наложено скелетное вытяжение . обработана рана, наложены швы, заживление идет благоприятно. На контрольных рентгенограммах стояние отломков несколько улучшилось. Рис 1,2 Обдумываем в коллективе несколько вариантов возможного лечения:
1) продолжить скелетное вытяжение, подкорригировать его и в последующем иммобилизация гипсовой повязкой.
2) Открытая репозиция внутренняя фиксация пластиной
3) Наложение аппарата внешней фиксации спицевого или спицестержневого, закрытая репозиция. (ЭОП отсутствует)
Компоновка аппарата Рис 3,4 (В проксимальной опоре фиксация спицами с напайкой, в дистальной опоре базовое кольцо- спицами репонирующее кольцо -стержнем)
4) Наложение аппарата внешней фиксации с минимальной внутренней фиксацией после открытой репозиции.
Хотелось бы обсудить эти варианты с участниками форума.
Вот, проверим оплатит ли страховая компания имплантаты, передал разговор на форуме об оплате пешеходам затраты на лечение. Рекомендовал родственникам обратится в страховую компанию и узнать, как можно вернуть средства, затраченные ими.
Сергей Зырянов
ЦРБ
НСО г.Куйбышев

<  |  >

 

  • Сообщения о Ортопедия и травматология
  • Также Сергей Зырянов
  • Связаться с автором
  • Ответить

    Re: открытый оскольчатый в/3 голени
    Anton Vladzimirskyy 16 Декабрь 2004, 17:50
    >продолжить скелетное вытяжение
    Жестоко это, на мой взгляд :)

    >внутренняя фиксация пластиной

    Это довольно опасно при открытом переломе. Разве что вторым этапом после заживления ран и 100% отсутствия инфекции.

    >Наложение аппарата внешней фиксации спицевого или спицестержневого,
    закрытая репозиция. (ЭОП отсутствует) Компоновка аппарата Рис 3,4 (В

    Спицевой АВФ. Закрытая репозиция, ЭОП не нужен, достаточно будет одной контрольной рентгенографии в <середине> операции.
    На снимке не видно, как далеко по диафизу идет линия перелома. На мой взгляд, лучше сделать еще один снимок, как бы не пришлось делать АВФ из 4
    опор.
    Но если руководствоваться рис.3, то в промежуточной опоре лучше сделать
    перекрест.
    Удачи!

    С уважением,
    А.В.Владзимирский
    Донецкий НИИ травматологии и ортопедии
    Донецк, Украина
    [ Ответить ]

    • Re: открытый оскольчатый в/3 голени
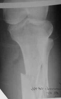
      Отправитель: Sergey Zyryanov 18 Декабрь 2004, 12:17









      Рентгенограмма при поступлении. Думаю на ней видно распространение линии перелома вниз


      Сергей Зырянов

      ЦРБ

      НСО г.Куйбышев

      [ Ответить ]
    Re: открытый оскольчатый в/3 голени
    Станислав Дмитриев 16 Декабрь 2004, 22:01
    Уважаемый Сергей! Не далее как 2 недели назад мы принимали больного с практически идентичным переломом. Грешны, поленились ночью накладывать аппарат. Через сутки возникли обширные некрозы кожи(рану по дежурству обработали тщательно и зашили, не сделав фасциотомию). Аппарат наложили через несколько дней, репозицю закончили (есть к счастью ЭОП), но с проблемой закрытия раны сражаемся мужественно до сих пор. Так что, думается, накладывайте аппарат и не сомневайтесь. Я против пластин на голень при открытых переломах(чту своего учителя - уважаемого мной Вольдемара Карловича Кейльмана из Нижегородского НИИТО). Успехов! С уважением,
    Станислав Дмитриев. Нижний Новгород.
    [ Ответить ]

    Re: открытый оскольчатый в/3 голени
    Alexander Chelnokov 16 Декабрь 2004, 22:04

















    S> 2) Открытая репозиция внутренняя фиксация пластиной

    Если выберете этот вариант, то лучше пластину с угловой стабильностью (Locking Compression Plate), вводимую (полу)закрыто. Вообще, вариант самый рискованный, наверно.

    S> 3) Наложение аппарата внешней фиксации спицевого или
    S> спицестержневого, закрытая репозиция. (ЭОП отсутствует)
    S> Компановка аппарата Рис 3,4 (В проксимальной опоре фиксация спицами с

    Можно и эту, традиционную, или гибридную, два стержня в диафиз на балке, и несколько спиц с упорами встречно на циркулярной незамкнутой сзади опоре... - см. приложение. В общем, не сильно принципиально, но неудобств доставляет меньше, а после открытых бамперных переломов длительное пребывание в аппарате не редкость.

    S> 4) Наложение аппарата внешней фиксации с минимальной внутренней
    S> фиксацией после открытой репозиции.

    Еще бы понятно - минимальная внутренняя фиксация _без_ открытой репозиции. А уж открыто что там вправлять? Вроде все и закрыто "построится".

    S> Хотелось бы обсудить эти варианты с участниками форума.

    А где вариант с закрытым интрамедуллярным остеосинтезом - он вполне тянет на основной. Проксимальный отломок достаточно велик для введения 3-4 запирающих винтов. Как подтвердил недавний форум в Уфе, можно успешно его выполнять и без усилителя рентгеновского изображения. Хотя
    при высоком переломе есть ряд технических нюансов, которые можно обсудить при необходимости. В принципе, можно опять рассмотреть вариант о переводе пациента к нам, тода лучше будет наложить любой аппарат, о репозиции сильно заботиться не надо, лишь бы больная была мобильна.

    S> Вот, проверим оплатит ли страховая компания имплантаты, передал разговор

    Насколько я знаю, в ваших краях "Деост" уже появлялся, они наверняка смогут предложить и подходящий фиксатор, и кондуктор с дистальным нацеливающим приспособлением.

    Главное - проскочить без нагноения раны открытого перелома (для чего лучше при поступлении не ограничиваться обработкой раны, но и выполнять хирургическую стабилизацию). Если это не удалось - аппарат становится основным вариантом. Если получилось - выбор куда шире.

    [ Ответить ]

    • Re: открытый оскольчатый в/3 голени
      Отправитель: Evgueny Tschekashkin 16 Декабрь 2004, 23:02
      Саша,

      Спасибо за рассказ со съезда, сразу как-то не сложилось спросить тебя о продемонстрированной технике закрытого штифтования бедра без ЭОПа....
      С введением запирающих винтов менее более понятно: проксимальный локинг через направитель, видимо и дистальный аналогично.
      Основной вопрос по контролю репозиции и проведения проводника в дистальный отломок, потому как даже с ЭОПом далеко не всегда проводник проходит в дистальный отломок на раз, приходится пользоваться шилом или жестким направителем.
      Поподробнее расскажи, пожалуйста

      Жду ответа,

      Евгений

      [ Ответить ]
      • Re: открытый оскольчатый в/3 голени
        Отправитель: Alexander Chelnokov 16 Декабрь 2004, 23:19
        ET> Спасибо за рассказ со съезда, сразу как-то не сложилось спросить тебя о
        ET> продемонстрированной технике закрытого штифтования бедра без ЭОПа....
        ET> С введением запирающих винтов менее более понятно: проксимальный локинг
        ET> через направитель, видимо и дистальный аналогично.

        Да, с подачи уфимских коллег фирма ChM доработала дистальный направитель наподобие АОшного. Дополнительная опора кондуктора на переднюю поверхность стержня (нужен дополнительный разрез и отверстие в кости) устраняет смещения кпреди-кзади. Прилагаю фото - сделано из с экрана во время операции в Уфе.










        ET> Основной вопрос по контролю репозиции и проведения проводника в дистальный
        ET> отломок, потому как даже с ЭОПом далеко не всегда проводник проходит в

        С более-менее простыми переломами большеберцовой кости даже с беканальными гвоздями, бывает, включаем рентгеновскую машину первый раз уже перед введением нижних винтов.
        У меня операций совсем без ЭОПа два случая всего, поэтому попросим высказаться коллег с большим опытом таких операций.

        ET> дистальный отломок на раз, приходится пользоваться шилом или жестким
        ET> направителем.

        Совершенно верно. Поэтому по ходу дела надо делать просто обычные снимки - после введения проводника, в частности. Непременно поможет дистрактор. Можно пользоваться зондированием концов отломков длинными иглами или спицами, как это делали при наложении аппаратов в доЭОПный период. Ну и коллеги из Ярославля, да и многие другие, давно
        практикуют "полузакрытую" репозицию - небольшой разрез, чтобы инструментом или пальцем прокон тролировать провождение гвоздя или проводника. Насколько мне известно, это не создает потом проблем у сколько-нибудь заметной части больных.

        [ Ответить ]
      • Re: открытый оскольчатый в/3 голени
        Отправитель: Evgueny Tschekashkin 18 Декабрь 2004, 11:05
        > Совершенно верно. Поэтому по ходу дела надо делать просто обычные
        > снимки - после введения проводника, в частности. Непременно поможет
        > дистрактор.
        Процедура со снимками знакома со времен ординатуры:-)) Контроль за введением спиц и трехлопастного гвоздя при переломах шейки бедра, когда продолжительность операции определялась скоростью перемещения в пространстве рентгенлаборанта:-)) Такая техника закрытого штифтования не для нервных:-))... Хотя , если в листе стоит один больной, то можно и поупражняться на меткость, если серьёзно - закрытая техника репозиции и штифтования все-таки без ЭОПа дело проблематичное и я бы за него не взялся, а если да, то по плану В( коллег из Ярославля).
        > Можно пользоваться зондированием концов отломков длинными
        > иглами или спицами, как это делали при наложении аппаратов в доЭОПный
        > период. Ну и коллеги из Ярославля, да и многие другие, давно
        > практикуют "полузакрытую" репозицию - небольшой разрез, чтобы
        > инструментом или пальцем проконтролировать провождение гвоздя или
        > проводника. Насколько мне известно, это не создает потом проблем у
        > сколько-нибудь заметной части больных.

        Коль место перелома пришлось открывать( хоть см разрез), то согласись, *полузакрытой* технику назвать можно едва ли.

        Спасибо за пояснения,
        Всего Доброго,
        Евгений

        [ Ответить ]
        • Re: открытый оскольчатый в/3 голени
          Отправитель: Alexander Chelnokov 18 Декабрь 2004, 16:48
          ET> поупражняться на меткость, если серьёзно - закрытая техника репозиции и
          ET> штифтования все-таки без ЭОПа дело проблематичное

          На большеберцовой кости пальпаторный контроль в значительной части случаев может быть достаточен.

          ET> и я бы за него не взялся, а если да, то по плану В( коллег из
          ET> Ярославля)

          Это для бедра более актуально. Но ведь в доЭОПную эру как-то достигали закрытой репозиции при наложении аппаратов...

          ET> Коль место перелома пришлось открывать( хоть см разрез) , то согласись, *
          ET> полузакрытой* технику назвать можно едва ли.

          Открытая репозиция подразумевает визуальный контроль. Если отломков не видели, то...
          Как объяснял профессор Ключевский, разница между открытой и полузакрытой репозицией, как между порнографией и эротикой. Мол, порнография - это когда "факты" видно, а эротика - когда нет.

          [ Ответить ]
          • Re: открытый оскольчатый в/3 голени
            Отправитель: Evgueny Tschekashkin 18 Декабрь 2004, 17:32
            По такой логике открытые переломы 1 и 2 типов надо называть *полузакрытыми*
            ....

            Всего доброго,
            Евгений И Чекашкин

            [ Ответить ]
            • Re: открытый оскольчатый в/3 голени
              Отправитель: Alexander Chelnokov 18 Декабрь 2004, 17:46
              Называть полузакрытыми, наверно, было можно, но давно, поскольку нынешниее классификации уже гораздо более детализированные, чем если просто делить переломы на открытые,закрытые и полузакрытые.

              Да и слово "открытый" может иметь разный смысл, зависящий от контекста, в отношении переломов - один, в отношении репозиции - чуть другой.
              Не говоря уж про открытый счет, закон природы или визу...

              [ Ответить ]
              • Re: открытый оскольчатый в/3 голени
                Отправитель: Evgueny Tschekashkin 19 Декабрь 2004, 02:32
                САша,

                Дискуссиям нет конца -дальше в лес-больше дров:-))
                Все понятно и согласен, авторитеты - есть авторитеты.
                Я думаю вот,что:
                Классификации нужны для того, чтобы коллеги могли нормально понимать друг друга, поэтому принятие в обращение массы классификаций по одному предмету,
                кроме хаоса ничего не принесет. В недавно представленном Сергеем Зыряновым случае представлены две классификации открытых переломов по Каплану -1Б, по Гастилло-2, можно еще упомянуть и другие классификации Черни, Мюнстерскую группу....., но суть от этого не меняется. К чему это многообразие?
                Полузакрытая репозиция = Полуоткрытая репозиция. Если целостность кожных покровов и нижележащих тканей (есть сообщение с зоной перелома) на уровне перелома нарушена в результате травмы или при выполнении репозиции, то это уже становится открытым переломом или открытой репозицией, это уже не может быть полу- Помню еще в ординатуре нам говорили по поводу ПОЛУ:
                женьщина не может быть слегка беременна - она или беременна или нет, а размер живота зависит от срока...

                Мне кажется такая аналогия вполне показательна, хотя про *порнографию и эротику* - разные понятия и категории и все про это....:-))

                Всего Доброго,
                Евгений
                от компа просто не отойти:-)), а дел полно....:-))

                [ Ответить ]
    • Re: открытый оскольчатый в/3 голени
      Отправитель: Leonid N. Solomin 18 Декабрь 2004, 11:37










      Уважаемые коллеги:

      S> 3) Наложение аппарата внешней фиксации спицевого или
      S> спицестержневого, закрытая репозиция. (ЭОП отсутствует)
      S> Компановка аппарата Рис 3,4 (В проксимальной опоре фиксация спицами с

      AC>: Можно и эту, традиционную, или гибридную, два стержня в диафиз на
      балке, и несколько спиц с упорами встречно на циркулярной незамкнутой
      сзади опоре... - см. приложение. В общем, не сильно принципиально, но
      неудобств доставляет меньше, а после открытых бамперных переломов
      длительное пребывание в аппарате не редкость.

      Нисколько не возражая против компоновки, предложенной Александром Челноковым, представлю, используемую в РосНИИТО им. Р.Р. Вредена. Она, на наш взгляд, обладает большими возможностями в репозиции фрагментов, что немаловажно при недостатке опыта применения внешней фиксации, отсутствии ЭОПа. Кроме этого, по мере формирования регенерата, удаляют внешние опоры, чрескостные элементы (модульная трансформация): динамизация аппарата, профилактика трансфиксационных контрактур и инфекционных осложнений, удобство для больного.
      Напомню, электронная версия метода унифицированного обозначения чрескостного остеосинтеза находится на сайте http://www.aotrf.org/site/metod.html.

      Всего наилучшего,
      Л.Соломин


      195427, С.-Петербург,
      ул. акад. Байкова, 8,
      ГУ РосНИИТО им. Р.Р.Вредена
      Соломин Леонид Николаевич, д.м.н.


      [ Ответить ]
      • Re: открытый оскольчатый в/3 голени
        Отправитель: Sergey Zyryanov 18 Декабрь 2004, 12:18
        1 вариант-
        Как я понимаю наклон стержня на 2 уровне 70 градусов необходим, для того чтобы не попасть в спицу, или есть и другие причины наклона его.
        Можно ли изменять наклон стержня в зависимости от конкретной ситуации?

        На третьем уровне стержень наклон 120 градусов- стержень фиксируется в дистальном отломке или фиксирует осколок?

        Чем обусловлен наклон на пятом уровне 70 градусов? Мне кажется проще провести его под углом 90 градусов.

        Как я понял, постепенно можно удалять модули до варианта №3.

        Сергей Зырянов
        ЦРБ
        НСО г.Куйбышев

        [ Ответить ]
      • Re: открытый оскольчатый в/3 голени
        Отправитель: Sergey Zyryanov 18 Декабрь 2004, 12:43
        Леонид Николаевич, схема
        предложенная вами интересна, хотелось бы выяснить некоторые особенности
        проведения фиксаторов.


        Как я понимаю наклон стержня на 2 уровне 70 градусов необходим, для того чтобы не попасть в спицу, или есть и другие причины наклона его. Можно ли изменять наклон стержня в зависимости от конкретной ситуации? На каком расстоянии от линии перелома допустимо вводить стержни? Насколько устойчиво фиксатор крепится в кости в зоне метаэпифиза? По моему опыту проведения винтов при погружном остеосинтезе пластинами, винты в этой зоне 4,5 мм не очень надежны.

        На третьем уровне стержень
        наклон 120 градусов- стержень фиксируется в дистальном  отломке или
        фиксирует осколок?

        Чем обусловлен наклон на
        пятом уровне 70 градусов? Мне кажется проще провести его под углом 90
        градусов.

        Как я понял, постепенно
        можно удалять модули до варианта N3
        При электронной записи не
        совсем удобно писать элементы.

        Мне кажется, удобней это
        расположить в виде таблицы.

        Привожу пример:


        Кликните для загрузки файла table.gif
        5KB (5129 bytes)

        [ Ответить ]
    • Re: открытый оскольчатый в/3 голени
      Отправитель: Sergey Zyryanov 18 Декабрь 2004, 12:13
      Предложенный вами вариант закрытого остеосинтеза с блокировкой можно использовать, но у нас нет достаточного опыта его применения. Ранее мы с представителями фирмы "Деост" обговаривали вариант о том, что они могут привезти для операции необходимое оборудование. Но я, как-то боюсь начинать первый остеосинтез при таком переломе.
      Спасибо всем за советы.
      Обсудили с коллегами советы участников форума. Решили фиксировать перелом аппаратом внешней фиксации.

      Сергей Зырянов
      ЦРБ
      НСО г.Куйбышев

      [ Ответить ]
      • Re: открытый оскольчатый в/3 голени
        Отправитель: Alexander Artemiev 18 Декабрь 2004, 12:23
        Здравствуйте, Сергей.
        Меня тронул Ваш серьезный подход к лечению этого, на мой
        взгляд, не самого сложного перелома.
        Надеюсь, и к другим больным отношение такое же. Это
        редкость в наше время.
        Удачи.
        Александр Артемьев

        [ Ответить ]
    Re: открытый оскольчатый в/3 голени
    Evgueny Tschekashkin 16 Декабрь 2004, 22:16
    Cергей , День Добрый,

    Выбор тактики лечения зависит от возможностей вашего отделения и опыта владения
    обсуждаемыми методами.
    1) продолжить скелетное вытяжение, подкорригировать его и в последующем
    иммобилизация гипсовой повязкой.

    Никто не отменял консервативного лечения переломов, и если больная не настаивает на
    активной тактике, а вполне счастлива находиться на вытяжении еще 4 недели, общаясь с соседями по палате, то зачем её лишать такого удовольствия, ось большеберцовой кости восстановлена.



    2) Открытая репозиция внутренняя фиксация пластиной

    наверное не самый удачный метод, я бы от него воздержался

    3) Наложение аппарата внешней фиксации спицевого или спицестержневого, закрытая
    репозиция. (ЭОП отсутствует)
    Компоновка аппарата Рис 3,4 (В проксимальной опоре фиксация спицами с напайкой, в
    дистальной опоре базовое кольцо- спицами репонирующее кольцо -стержнем )

    Удобная для больного компоновка на фотографиях , присланных Александром Челноковым


    4) Наложение аппарата внешней фиксации с минимальной внутренней фиксацией после
    открытой репозиции.



    Открытая репозиция по сути повторная травма мягких тканей, нарушение кровоснабжения костных отломков, если рана заживает без септических осложнений, то зачем судьбу испытывать еще раз...

    Присоединяюсь к мнению Александра Челнокова о закрытом штифтовании после полного
    заживления раны.


    Удачи,

    Евгений И Чекашкин
    [ Ответить ]

    Re: открытый оскольчатый в/3 голени
    крылов андрей 16 Декабрь 2004, 23:27
    Случай интересный. К сожалению не показаны и не описаны мягкотканные повреждения. Ведь с момента травмы прошло всего 5 суток. При открытом переломе голени в ночное время не всегда есть возможность да и желание возиться с аппаратной фиксацией. Оптимально скелетное вытяжение. Если рана с размозжением мягких тканей или просто обширная неплохо установить проточное дренирование. Капать можно любые доступные антисептики.
    В данном случае применение экста- и интрамедуллярного остеосинтеза на раннем этапе, я думаю, довольно опасно.
    Отпимально КДО.Методик множество. Зависит от наличия в отделении и от умения персонала.
    С уважением, Андрей Крылов
    [ Ответить ]

    • Re: открытый оскольчатый в/3 голени
      Отправитель: Evgueny Tschekashkin 18 Декабрь 2004, 11:08
      Уважаемый д-р,


      > Случай интересный. К сожалению не показаны и не описаны мягкотканные
      > повреждения.

      Каплан 1Б или Гастило 2 тип

      Ведь с момента травмы прошло всего 5 суток. При открытом
      > переломе голени в ночное время не всегда есть возможность да и желание
      > возиться с аппаратной фиксацией. Оптимально скелетное вытяжение. Если
      > рана с размозжением мягких тканей или просто обширная неплохо
      > установить проточное дренирование. Капать можно любые доступные
      > антисептики.

      Хирургическая обработка открытого перелома всегда считалась ургентной процедурой не зависимо от времени суток, поэтому *неимение желания* обработать и стабилизировать перелом в момент поступления больного приводит к плачевным результатам и *героической* борьбе с осложнениями, котрые можно было предотвратить потратив час, полтора. Скелетное вытяжение вряд ли может быть оптимальной тактикой стабилизации открытого перелома, внутренняя фиксация вполне допустима при открытых переломах в первые 6-12 часов после травмы при обработке и промывании раны не менее 10 литров стерильным раствором - практика подтверждает такой подход. Проточное дренирование раны при свежем переломе никогда не приходилось применять, а из опыта лечения хр. остеомиелита - проточное промывание сопряжено с массой проблем: вытеканием раствора из раны, блокированием отводящего дренажа или самое банальное, когда сестра *забывает* поменять опустевшую банку с промывным раствором.
      Поэтому аргументов в пользу первичной полноценной обработки и стабилизации перелома более чем достаточно....

      Удачи,
      Евгений И Чекашкин

      [ Ответить ]
      • Re: открытый оскольчатый в/3 голени
        Отправитель: Sergey Zyryanov 18 Декабрь 2004, 12:20
        Заживление мягких тканей идет хорошо. Рана была до 2,5 см. На нее наложили швы после обработки. Больную принимал по дежурству хирург (Травматологии у нас не дежурят каждую ночь из-за их малого количества, да и все хотят подработать на дежурствах). Аппарат не готов был при
        поступлении. Хотя конечно все эти причины можно исправить. Согласен, что чем раньше проведена стабилизация, тем благоприятнее течение перелома. Со временем наверно, уладим все организационные недостатки, и будем работать более оперативно.

        Сергей Зырянов
        ЦРБ
        НСО г.Куйбышев

        [ Ответить ]

     

    ( Ответить )

    Powered by Zope  Squishdot Powered MedLink
    Посетитель: 0214403
      "По форме правильно, а по существу - издевательство" В.И.Ленин
    ©2001-2019Orthoforum Coordinator.
    [ Главная | Отправить сообщение | Поиск | Админ ]