AOTRAUMA.ORG Центр Илизарова  

Ортопедия и травматология Общие вопросы/General questions Help Информационные технологии в медицине
 вверх
 отправить
 поиск
 админ
 главная


Вывих коленного сустава
Ортопедия и травматология Отправлено Djoldas Kuldjanov, M.D. 06 Январь 2005, 11:01
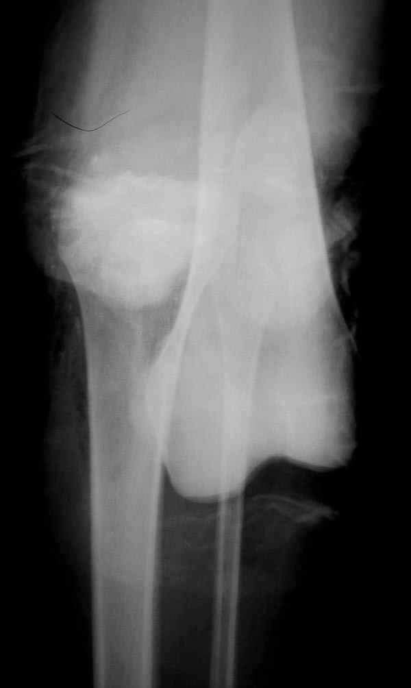
В приемное отделение поступает больная 22 лет, во время аварии ремень безопасности не был пристегнут, в крови большое количество кокаина.В приемном срочная интубация и седация, сделаны снимки.Диагностирован: открытый вывих левого коленного сустава.
Дистальная пульсация прощупывается, провели ABI (ankle brachial index) 0.92 до репозиции, 1.00 после репозиции CT chest,spine, brain and abdomen.
Заключительный диагноз: Открытый вывих коленного сустава, перелом надколенника, разрыв собственной связки надколенника
На операции: Irrigation&Debridment около 10 литров раствора, по два стержня в сегменте, фиксация диагонального, с дефектом, перелома надколенника тремя cannulated 4мм шурупами, ушивание поперечного разрыва связки 5.0 Ethibon sutures, разрыв находился на 2 см ниже надколенника (срез чем-то острым), повторная ирригация раны, взятие посева на аэробическую и анэробическую культуру, окончательная фиксация стержней наружного фиксатора 50см Carbon Fiber Bars, вакуумное закрытие. Мониторинг показал, что компартмент синдрома нет.
Через два дня повторение Irrigation&Debridment, в зависимости от состояния раны планируется закрытие раны.
С уважением Джолдас Кульджанов

<  |  >

 

  • Сообщения о Ортопедия и травматология
  • Также Djoldas Kuldjanov, M.D.
  • Связаться с автором
  • Ответить

    Re: Вывих коленного сустава
    Alexander Chelnokov 06 Январь 2005, 12:26
    А что планируется дальше? Движения? Что с крестообразными связками будет?
    [ Ответить ]

    Re: Вывих коленного сустава
    Evgueny Tschekashkin 06 Январь 2005, 12:37
    Все разыграно как по нотам:-))...
    Несколько вопросов:

    Как долго держите внешний фиксатор?
    Техника шва связки надколенника?
    Почему 3 канюлированных винта, а не tension band wireing?
    При формировании кожного некроза ваша тактика: радикальная обработка с закрытием дефекта?

    ожидание окончательной демаркации с последующей обработкой и пластикой дефекта?

    Ожидание демаркации и роста грануляций в области кожного дефекта и последующая пластика дефекта?
    Варианты пластики собственной связки надколенника при развитии её некроза?

    надеюсь услышать ответы и комментарии.

    Всего Доброго,
    Евгений И Чекашкин
    [ Ответить ]

    Re: Вывих коленного сустава
    Булахтин Юрий Алексеевич 07 Январь 2005, 07:06
    Уважаемый Джолдас!
    Случай интересный. Большого опыта лечения открытых вывихов голени не имею. Вспоминаются два:
    автодорожка по типу приведенной Вами и падение с высоты. В одном случае после ПХО и репозиции наложили скелетное вытяжение чтобы получить время на осмысление. Рана была очень сильно загрязнена землей и травой (это при падении с высоты). При ПХО шили связку надколенника, сам он был целым. Сустав дренировали с подшиванием синовиальной капсулы к коже. Мягкие ткани зажили очень быстро. Пациентка продолжала пьянствовать. Выписали в гипсовом туторе. Через два месяца сняли, больше в сустав не залезали. Осталась контрактура - разгибание - 170, сгибание - 100.
    Во втором случае разрыв мягких тканей проходил через середину колена (по типу доступа Текстора), надколенник, в виде двух интралигаментозных скоплений мелких осколков. Его удалили, связку сшили с небольшим (до 3 см)укорочением в виде дупликатуры из которой сформировано подобие надколенника. Вели в аппарате Илизарова. Через 1,5 мес сняли. Колено пациент разработал до 80 градусов сгибания, разгибание полное. Нестабильности внешне нет. От предложенной пластики крестообразных связок отказался.
    Думаю, что в случаях столь тяжелой травмы, как вывих голени, неизбежные параартикулярные рубцы являются достаточным стабилизатором коленного сустава. Хотя из-за асоциальности пациентов отдаленные результаты проследить мне не удалось

    Юрий Алексеевич Булахтин,
    Камчатский Военно - морской госпиталь


    [ Ответить ]

    Re: Вывих коленного сустава
    Djoldas Kuldjanov 07 Январь 2005, 11:34





























    Сегодня досылаю остальные снимки, которые не прошли вчера. Как вчера писал, после фиксации перелома надколенника с дефектом кости и собственной связки, наложили ваккуум и наружный фиксатор. (снимки 4-9)

    Внешний фиксатор держим около 6 недель, поэтому был выбран метод фиксации шурупами и еще линия перелома была диагональной, не было нужды в tension band technique, cannulated screws удобнее, провел спицы и по ним шурупы.

    Следующий этап - закрытие раны, даже при инфицировании применяем технику ушивания собственной связки монофильными швами, и будем продолжать дебрайдмент.

    При открытых переломах Type1-2, придерживаемся следующей тактики: дебрайдмент, фиксация перелома и рана прикрывается мокрой повязкой или ваккуум, т.е. не закрываем рану первично!, через два или три дня, в зависимости от состояния раны пройзводим закрытие. При некрозе кожи продолжается иссечение с повторными дебрайдмент.

    Связка ушита обычными сухожильными швами конец в конец, не было нужды проведения шва через надколенник, из-за ех-фиксатора.
    Внешний фиксатор снимаем за пару недель до пластики крестообразных связок, мой партнер специалист по спортивной травме, считает оптимально в 6-8 недель, только не могу догадаться, чем будет производить пластику поврежденной собственной связки?

    Джолдас Кульджанов
    [ Ответить ]

    • Re: Вывих коленного сустава
      Отправитель: Dr. Castro 09 Январь 2005, 04:36
      Dear Dr. D. Kuldjanov,
      Ja Vas pozdravlaio, za stol' krasivuio rabotu, ito prosto fantastica! Mne, ne poniatny dve tehnicheskie detaly, esli Vam ne trudno mne ih rastolkovat':
      - Chem obeslovlen Vibor Vami mesto provedenjia dvuh proximalnih vintov Ex. Fix? Imeio vvedu, po medialnoi storone bedra...
      - Kakuio oni imeiot zatochku? Menjia interesuet tehnika ih provedenjia...javeliaiotsa li oni self drilling screws, ili Vi im gotovili kanal predvoritelno s pomoshio sverla? "ih ni vidno na snimkah nigde" Poetomu sprashivaio...
      Zaranee blagodaren..
      Dr. Castro



      [ Ответить ]
      • Re: Вывих коленного сустава
        Отправитель: Djoldas Kuldjanov, M.D. 11 Январь 2005, 19:21














        Уважаемый Dr. Castro

        Почти все компании имеют стержни 3-4-5 мм в диаметре для наружного фиксатора и только одна 6 мм с hydroxyapatite покрытием. Стержни имеют различную заточку и self drilling, что связано с патентной проблемой каждой компании, Стержень проводим по двойному проводнику, после предварительного сверления меньшим диаметром сверла, 3.8мм при 5мм, стержень в диафизе предпочтительно провести вручную, за исключением метафиза, где используется дрель.

        На слайдах (не четко обозначены бедро и голень): на бедре по наружно-передней поверхности, между вастус латералис и прямой головками, а на голени по передне-медиальной поверхности, желателен подбор длины резьбовой части стержня по ширине поперечника кости. На снимке: дистальное кольцо, метод проведения стержня через канюлю-проводник.

        P.S. Случаем, не знакомы с Др. Хассан Хамуд из Ливана, fellow по моей прежней работы в Wayne State University в Детройте, который закончил Ростовский Мед Институт.

        С уважением
        Джолдас Кульджанов



        [ Ответить ]
        • Re: Вывих коленного сустава
          Отправитель: Dr. Castro 11 Январь 2005, 20:57
          Uvazaemy Dr. D. Kuldjanov,
          Kakoi tesen nash s Vami mir stal?? Da, ja s Dr. H. Hamud znakom, t.k., ja toze Rostovskii medinstitut zakonchil, no grazdo poze, chem Dr. Hamud, moi uchitel, Professor Golubev George Shotavich, Ja seachas zivu i rabotio v Jordanii, uze 4 goda...Ja rabotal v Rostove 9 let posle okanchanjia inistituta v raznih ortopedo-travmatologicheskih otdelenjiah, i zashitil kandidatskio dessertasio v 1999, posle chego vernulsa v Jordanii, i provel ja v Russii v obshei sloznosty 16 let!
          Sposibo za opisanii tehnologii, t.k., ja hotil posmotrit', kak Vi ito delaete, i ito v obshem, takjia ze technologia, kak mi polzumsa zdes'...
          Ochen' Rad bil' s Vami obshatsa, i proshu Vas, esli predstavitsa vozmoznost', peredat' Dr-u Hamudu, samie naluchie i dobrie pozelenjia ot menjia...

          Yours Dr. Castro

          [ Ответить ]
          • Re: Вывих коленного сустава
            Отправитель: Djoldas Kuldjanov 11 Январь 2005, 23:38
            Dr. Castro,

            Вашу просьбу передал, очень часто общаемся, желает имет ваш персональный э-майл адрес, отправте мне на
            kuldjad(at)slu.edu я переправлю.

            Джолдас

            [ Ответить ]
    Re: Вывих коленного сустава
    Djoldas Kuldjanov, M.D. 08 Январь 2005, 02:22
    Результат культур из ран - негативные, рану сегодня закрыл, вторая рана была глубже (degloving injury) с обнажением большого участка гребня большеберцовой кости, через пару дней планируется закрытие.
    #1 перед операцией,#2-3 вид раны, #4 после закрытия раны, #5 финал, #6 действие.

    Джолдас






























    [ Ответить ]


    ( Ответить )

    Powered by Zope  Squishdot Powered MedLink
    Посетитель: 0263766
      "По форме правильно, а по существу - издевательство" В.И.Ленин
    ©2001-2019Orthoforum Coordinator.
    [ Главная | Отправить сообщение | Поиск | Админ ]