AOTRAUMA.ORG Центр Илизарова  

Ортопедия и травматология Общие вопросы/General questions Help Информационные технологии в медицине
 вверх
 отправить
 поиск
 админ
 главная
 Предыдущее


Re: На фоне остеопороза
Юрий Алекссевич Булахтин 15 Январь 2005, 11:37
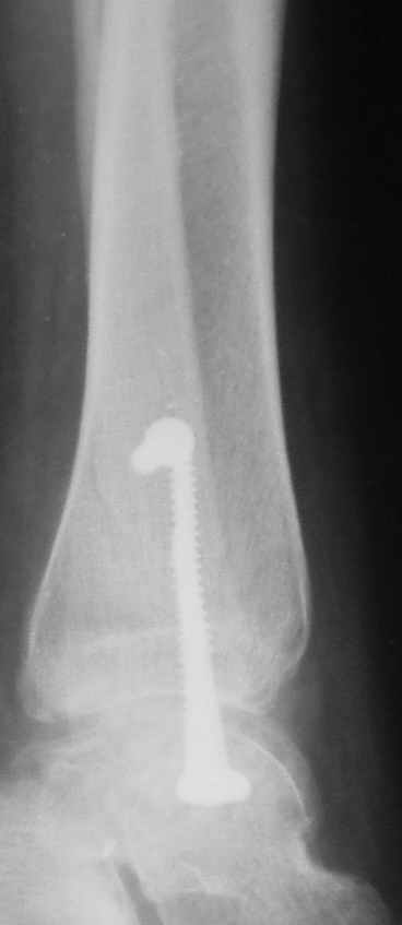
Ниже рентгенограммы































До операции 28 июля



Операция 29 июля



Через месяц



Боковой через месяц



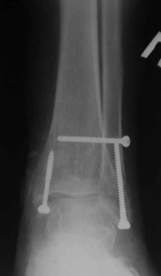
15 ноября прямой



15 ноября боковой



15 ноября трехчетвертной



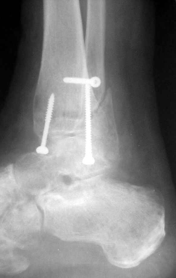
12 января прямой



12 января боковой



12 января трехчетвертной


  • Сообщения о Ортопедия и травматология
  • Также Юрий Алекссевич Булахтин
  • Связаться с автором
  • Ответить

    Re: На фоне остеопороза
    Alexander Chelnokov 15 Январь 2005, 17:56
    Риторический вопрос - в каком руководстве рекомендован такой способ остеосинтеза наружной лодыжки?

    Очевидно, такой результат операции был запрограммирован. При невосстановленной длине и практически нефиксированной малоберцовой кости (этот кортикальный винт - как карандаш в стакане), при неустраненном подвывихе, невправленной и тоже нефиксированной внутренней лодыжке нет стабильной вилки сустава. Если такую операцию сделать даже сразу, а не через 4 месяца, то результат ожидаем
    тот же.

    Вообще говоря, такое повреждение вполне успешно можно лечить без операции - если 6 недель подержать в гипсовом "сапожке" с хорошо устраненным подвывихом. Вероятное несращение внутренней лодыжки не обязательно компрометирует результат.

    Ну а уж если выбран остеосинтез - нначать надо было с репозиции малоберцовой кости с точным восстановлением длины, с фиксацией треть-трубчатой пластиной по задней поверхности. Позиционный винт
    избыточен - повреждение практически подсиндесмозное. А если бы
    действительно было повреждение синдесмоза - в 4 месяца позиционный винт - не решение. Внутренню лодыжку такую - надо было бы спицами и проволочной петлей. Извините за эти банальности.

    Вариант с артродезом уже обсудили. Хотя, после увиденых снимков, пессимизм насчет восстановительной операции у меня, например, несколько уменьшился. Особенного уж какого-то остеопороза не видно даже на январских снимках. Можно черед мини-доступы убрать винты, аппаратом вправить малоберцовую кость, устранить подвывих стопы. Ну а дальше фиксировать малоберцовую пластиной сзади. А может, и напряженной Y-спицей попробовать - Анатолий Федорович, как Вы полагаете? Внутреннюю - то, что осталось, если уже не получится сделать спицами и проволокой, то что-то типа пластики дельтовидной связки. А может, и не трогать ее вовсе... В общем, выбор непростой,
    много факторов надо взвесить.

    PS. Нет ничего легче, чем критиковать чужие ошибки и неприятности. Для компенсации обязуюсь свои тоже показывать ;-)
    [ Ответить ]


    ( Ответить )

    Powered by Zope  Squishdot Powered MedLink
    Посетитель: 0196925
      "По форме правильно, а по существу - издевательство" В.И.Ленин
    ©2001-2019Orthoforum Coordinator.
    [ Главная | Отправить сообщение | Поиск | Админ ]