AOTRAUMA.ORG Центр Илизарова  

Ортопедия и травматология Общие вопросы/General questions Help Информационные технологии в медицине
 ВХОД ДЛЯ ПАЦИЕНТОВ
 вверх
 поиск
 админ
 главная
 исходное


Re: На фоне остеопороза
послал Djoldas Kuldjanov 16 Январь 2005, 00:54





























Уважаемые коллеги,

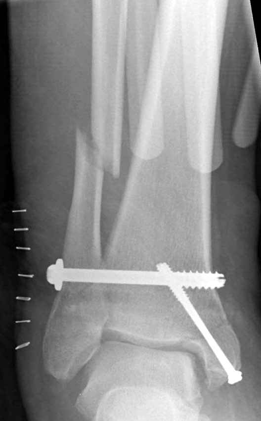
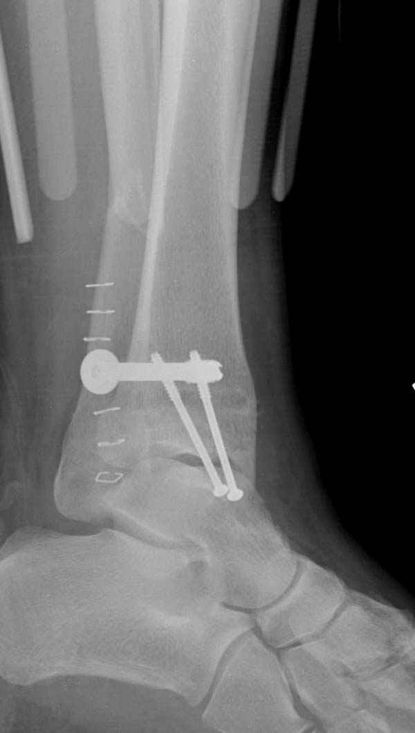
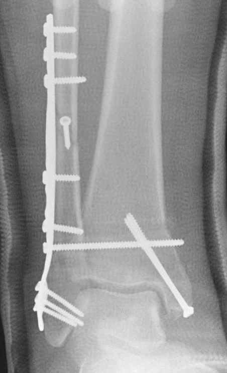
Если до сих ничего не сделано, с артродезом сустава в данный момент я бы повременил, на выставленных январских снимках хорошо сохранившийся сустав, а в "мортиз" (трехчетвертной) и на боковых снимках не менее 5 мм укорочение малоберцовой кости. Косые переломы лучше фиксировать пластинами, как то мы разбирали случай, где было отмечено, что это закон "таранная кость всегда следует за малоберцовой".

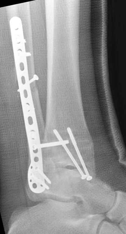
В данном случаи я бы уговорил больного на реконструкцию, для этого после удаления шурупов, спереди очистить от рубцов синдесмоз, несросшуюся наружную лодыжку - остеотомия по линии перелома и компрессирующий (lagging technique) кортикальный шуруп 3.5 мм по поперечнику остеотомии. Следующий этап - восстановление длины малоберцовой за счет удлинения, сделать поперечную остеотомию где-то на уровне сантиметр выше вашего синдесмозного шурупа, наложить длинную пластинку, прикрепить пластину за дистальный конец двумя или тремя шурупами; сохраняя контакт пластины с костью, имеющимся
compression&tension device AO system (при отсутствии любой lamina spreader подойдет, создать дистанцию между пластиной и шурупом, проведенным проксимальнее пластины) толкая проксимальный отдел пластины, низвести пластину, мортиз рентгенограмма подскажет на сколько. Если заранее сделать предоперационный план (ренгенограмма другой стороны), тогда точно можно определить, на сколько вам необходимо сделать поперечную остеотомию малоберцовой кости, для закрытия создавшегося дефекта.

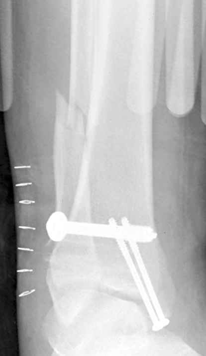
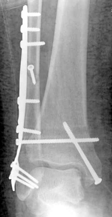
Убедившись, что желаемая длина восстановлена, окончательная фиксация пластины, при этом через пластину пару 3.5 мм шурупов на синдесмоз, предпочтительно в четыре кортекса и оставить на 3 мм длиннее, если под нагрузкой синдесмотический шуруп сломается, сломанный конец легче удалить с медиальной стороны.

Медиальная сторона не в нагрузочной зоне, и там большая дыра - если есть 2.7 мм шурупы, или пару спиц в ваших условиях или методика Лазарева. Необходимо уделить внимание к мягким тканям, обнажается кость с латеральной стороны и у места где проводится остеотомия.

На послеоперационный период наложить на хорошо укутанную многими слоями ваты заднюю лонгету, и после удаления дренажа, на первой перевязке через два дня, больного можно перевести в сапожок, чтобы иметь возможность начать движения в суставе не менее 3-4 раз в день, нагрузку разрешить после убеждения, что ваша конструкция держится и идет сращение.

Недавний случай, больной 56 лет получил политравму в Англии, после переведен в США, где его успешно лечил местный ортопед, огромная статья в газете об успешной операции, своеобразный пиар, из-за того, что больной был американский пожарник на пенсии, и за его переезд было заплачено международным пожарным союзом, короче по другим показаниям перевели больного в наш университетский госпиталь.

После 5-6 недели после травмы сделана повторная операция, обошлись без удлинения малоберцовой.


Джолдас
Послать ответ

Имя
Email
Уведомление Сообщить мне по e-mail об ответах на это сообщение
Название
Комментарий
(Проверьте URL! Не забудьте написать http://!)
Кодировка
Если не знаете, что выбрать, выберите "Просто текст"!
Приложение
Можно приложить к сообщению файл c изображением, который затем будет доступен увидевшим сообщение.
Подготовка иллюстраций:
  • Рентгенограммы: черно-белые полутоновые изображения в формате JPEG (8 bit, greyscale) с разрешением от 300х200 до 1024х768 пикселов;
  • Клинические фотографии: полноцветные изображения в формате JPEG (24 bit, truecolor) с разрешением от 300х200 до 1024х768 пикселов;
  • Схемы и рисунки: черно-белые (2 bit) штриховые (line-art) изображения в формате GIF или compressed TIFF
  • Подберите степень сжатия файла JPEG и размер изображения таким образом, чтобы необходимые детали были различимы, но размер файла не превышал 75 кб.
  • Учтите, что текущая версия программного обеспечения Форума позволяет приложить к одному сообщению лишь один файл-вложение. Поэтому, если необходимо отправить несколько изображений, можно либо послать каждое как отдельное сообщение, либо в графическом редакторе объединить изображения в одно (сделать коллаж).
  • Если при подготовке изображений встречаются трудности, не стесняйтесь обратиться к координатору Форума.

  • Введите видимые символы в обратном порядке. Enter the above characters in reverse order (*Обязательно)
    В тексте сообщения можно использовать теги HTML <B> <I> <P> <A> <LI> <OL> <UL> <EM> <BR> <TT> <HR> <STRONG> <BLOCKQUOTE> <DIV .*> <DIV> <P .*>
  • Обратите внимание: Поля с жирными названиями обязательны.
  • Старайтесь отвечать в рамках обсуждаемой темы, а не начинать новые обсуждения.
  • Указывайте адекватную тему сообщения, чтобы было ясно, о чем оно.
  • Не послайте сообщений не по теме (оффтопик), раздраженных, грубых или обидных комментариев. Здесь это неуместно.
  • Powered by Zope  Squishdot Powered MedLink
    Посетитель: 0000032
      "По форме правильно, а по существу - издевательство" В.И.Ленин
    ©2001-2019Orthoforum Coordinator.
    [ Главная | Отправить сообщение | Поиск | Админ ]