вверх
отправить
поиск
админ
главная
|
mal-non-union distal tibia in a diabetic |
 |
 |
 |
Отправлено Louis Nunez 20 Январь 2005, 07:08
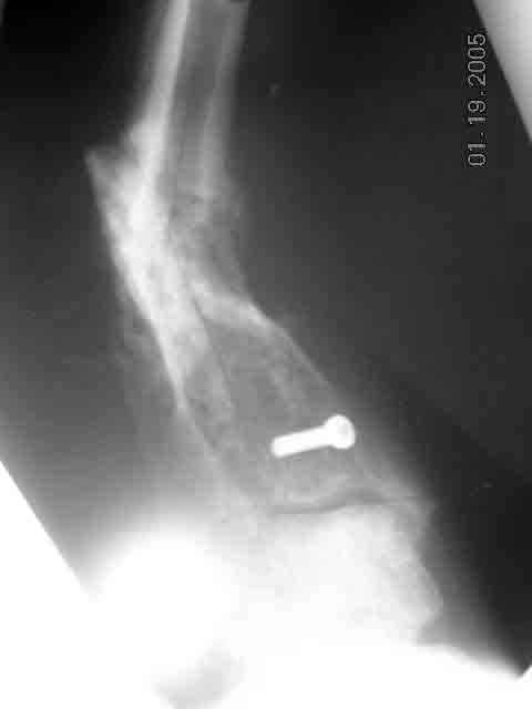
Dear Group,Would like to present following case.68 yr old diabetic patient who sustained fractured distal tibia and fibula in distal third, treated with intramedullary rod. 4 weeks later, screws broke, sending tibial nail through distal tibia. Nail removed and external fixator applied. At time of ex-fix, blood supplyto foot noted to be nil. (Oxygen saturatioon of great toe 0%). Patient then underwent arterial bypass surgery which has restored blood supply. Ex-fix removed at 5 months with what appeared to be healing. Patient was then allowed to walk on the leg. He returns one month after weight bearing allowed with accomnpanying x-rays. My plan was to open non-union site, curette out fibrous tissue, bone graft and apply ex-fix (Ilizarov Type). Question: Would anyone opt for a repeat im nailing after opening and curretage and bone grafting?Thanks in advance,Louis D. Nunez, MDFishkill, NY
<
|
>
|
|
Ответить
|
Re: mal-non-union distal tibia in a diabetic
Alexander Chelnokov 20 Январь 2005, 07:24
|
Why not closed nailing only, without any site opening? I would use 12 mm (so minimal reaming) closed section titanium nail with all locking options in the distal fragment, statically locked for 2-3 month. If site mobility now is not loose, it makes sense to apply ex-fix for gradual alignment before. PerQ osteotomy of the fibula if needed (presented x-rays don't show whether it is healed). The nail becomes shaft endoprosthesis so the leg immediately must be fully loadable regardless bony union.
|
[
Ответить ]
|
Re: mal-non-union distal tibia in a diabetic
Evgueny Tchekashkine 21 Январь 2005, 01:19
|
Louis,
Before planning any kind of tibial reconstruction I would rather reassess the blood flow of lower leg (arthrography with contrast media).
In case of obvious deficit consider BKA as it will restore the weightbearing function of the limb and patient's mobility.
Regards,
Evgueny I. Tchekashkine MD( Moscow)
|
[
Ответить ]
|
( Ответить )
|
|