AOTRAUMA.ORG Центр Илизарова  

Ортопедия и травматология Общие вопросы/General questions Help Информационные технологии в медицине
 вверх
 отправить
 поиск
 админ
 главная


эндопротезирование
Ортопедия и травматология Отправлено Anton Vladzymyrskyy 31 Январь 2005, 21:48
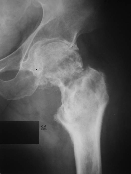
И снова вопрос по эндопротезированию: Пациенту 51 год. Болен с 2000 г, когда отметил умеренные, нараостающие боли в в/3 левого бедра, прогрессирующую контрактуру лев Т/Б сустава.
05.12.04 после падения на бедро боли резко усилились, нога стала неопорной. На рентгенограмме обнаружен патологический перелом шейки бедренной кости. Обследован в отделении костной онкологии. Результат биопсии: асептический некроз проксимального отдела бедренной кости. Вопрос: выбор технологии эндопротезирования - цементная или бесцементная версия. Заранее благодарю! С уважением,А.В.Владзимирский

<  |  >

 

  • Сообщения о Ортопедия и травматология
  • Также Anton Vladzymyrskyy
  • Связаться с автором
  • Ответить

    Re: эндопротезирование
    Anatoly Yakushin 31 Январь 2005, 21:53
    Учитывая приличную форму вертлужной впадины и возраст
    пациента, мы бы у себя поставили чашку Spotorno или
    аналогичную (expanded). Только не стоит сильно выбирать субхондральный слой.
    Про ножку трудно сказать, снимки очень короткие.
    [ Ответить ]

    Re: эндопротезирование
    Ильдар Ахтямов 31 Январь 2005, 21:54
    Только бесцементный! АИФ.
    [ Ответить ]

    • Re: эндопротезирование
      Отправитель: Владимир Святенко 31 Январь 2005, 23:00
      Почему ТОЛЬКО бесцементный ?

      [ Ответить ]
    • Re: эндопротезирование
      Отправитель: Anatoly Yakushin 01 Февраль 2005, 01:37
      Коллега, а почему столь категорично, если не секрет.
      Проксимальный отдел бедра не виден достаточно на представленных рентгенограммах; но то, что видно, как раз наводит на мысли о цементной фиксации - цилиндрический канал, измененный calcar, кистозные изменения в области большого вертела и т.д.

      [ Ответить ]
      • Re: эндопротезирование
        Отправитель: Ильдар Фуатович Ахтямов 02 Февраль 2005, 10:37
        Уважаемый Анатолий!
        Возможно моё предложение прозвучало категорично, но убрав слово "только" я останусь при своём мнении. Вертлужная впадина особых сомнений для установки
        бесцементной чашки не вызывает.
        "Таяние" кости вокруг костного цемента (при возможной установке цементируемой ножки) это одна из проблем эндопротезирования. Бесцементная ножка с округлым стемом или Вагнер встанут и будут стоять без проблем.
        Вопрос о диагнозе - это другой вопрос. После операционной биопсии (эндопротезирования) он выяснится. АИФ.

        [ Ответить ]
        • Re: эндопротезирование
          Отправитель: Anatoly A. Yakushin 02 Февраль 2005, 10:41
          Про вертлужную впадину у меня тоже сомнений нет.

          > "Таяние" кости вокруг костного цемента (при возможной установке
          > цементируемой ножки) это одна из проблем эндопротезирования.
          А Мюллеровскими ножками пользоваться не пробовали?

          > Бесцементная ножка с округлым стемом или Вагнер встанут и будут стоять
          > без проблем.

          Про первичный Вагнер не скажу, опыта особого нет. Круглую ножку тоже ругать не буду, этой ругани и без меня в литературе найдете достаточно.
          Как вариант, можно поставить CLS. Хотя я бы поставил Мюллеровскую ножку.

          > Вопрос о диагнозе - это другой вопрос. После операционной биопсии
          > (эндопротезирования) он выяснится. АИФ.
          Хотя я готов согласится с коллегой Чекашкиным, дообследование пациенту необходимо.

          [ Ответить ]
    Re: эндопротезирование
    Alexey Mozgounov 01 Февраль 2005, 00:28
    Давно хотел спросить - не решался...
    А вдруг скажут, что все давно известно?
    :-)

    Что такое в медицине...
    а конкретно в нешей специальности
    "технология"?

    Вот очень много в последние годы конференций с этим словом - "Новые
    технологии в ... и т.д.".

    Мы пишем о технологии по установлению пластин, эндопротезов (как в
    данном случае) и пр...

    Я отнюдь не горю желанием придираться к словам.
    Боже упаси.

    Но все же...

    По моему (никому не навязываемому, однако, своего мнения!!!)
    "технология" - это "процесс
    изготовления". Вот эндопротезы, в частности, можно изготавливать по
    технологии. Металлы там всякие, покрытия, температурные режимы etc.

    Но вот установка этих протезов?

    На мой взгляд, это уже ТЕХНИКА.
    Как, каким образом, и пр.

    Am I right?

    --
    Best regards,

    ~~~~~~~~~~~~~~~~~~~~~~~~~~~~~~~~~~~~~~~~~~~~~~
    Aleksey V. Mozgounov, M.D., Ph.D.,
    Department of Pediatric and Adolescents
    Traumatology and Orthopaedics,
    Research Centre of Tatarstan
    "Rehabiltation Traumatology and Orthopaedics",
    3, Gorky str., Kazan 420015, Russia
    [ Ответить ]

    Re: эндопротезирование
    Evgueny Tchekashkine 01 Февраль 2005, 04:15
    Уважаемый Антон,

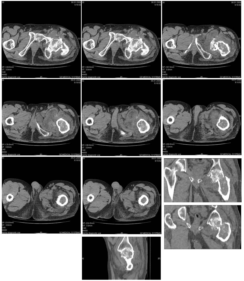
    Как то очень подозрительно выглядит проксимальный отдел бедра для такого очень простого гистологического заключения. Вы уверены, что гистология настолько благополучна и в каком варианте она выполнялась: пункционная или открытая с забором костного блока? Не уверен на все сто , но область проксимального отдела бедра - одно из излюбленных мест для гигантоклеточной опухоли, которая зачастую озлакочествляется (имел два подобных наблюдения). Из своей практики могу сказать, что, к сожалению, информативность пункционной биопсии не сравнима с открытой техникой. Поэтому прежде чем решать цементный или бесцементный протез использовать, я бы повторил биопсию в сочетании со сканированием скелета, сывороточная щелочная фосфатаза, кальций, фосфор сыворотки, СОЭ, С- реактивный белок,
    Вполне вероятно, что разговор может пойти об опухолевом протезе или Вагнере...

    Всего Доброго.
    Евгений И Чекашкин
    [ Ответить ]

    Re: эндопротезирование
    Nikolaj Wolfson 01 Февраль 2005, 04:51
    Zdrastvoite Anton:

    Sluchai interstnii i ne takoi uzh prostoi kak mozhet pokazat'sia s pervogo vzgliada.
    Soglasen s Евгений И Чекашкин, proximal Femur does not look right. Sarcoma? Pagets, Osteomyelitis?. Technicality of the implantaion will be dependent upon underlying pathology, and the surgeon's level of comfort.

    Udachi,
    Nikolaj Wolfson,
    Fairmont, West Virginia
    [ Ответить ]

    Re: эндопротезирование
    Michael Berenstein 02 Февраль 2005, 10:36
    Ацетабулум как-то странно выглядит, с дыркой.
    К чему бы это?
    [ Ответить ]

    Re: эндопротезирование
    Denis Yolkin 13 Февраль 2005, 12:32
    Действительно, проксимальный отдел бедра выглядит подозрительно. По-моему напоминает болезнь Педжета. Кстати, гистологическое заключение в таком случае часто звучит как "хроническое воспаление", "асептический некроз с элементами лейкоцитарной инфильтрации" и т.п. Далеко не все патоморфологи имеют достаточный опыт для дифференцировки костной патологии.
    Однако, вне зависимости от диагноза, проблема "с цементом или без" остается. Онко-эндопротезы (так же как и ревизионные) тоже могут быть бесцементной фиксации. И в нешей клинике есть положительный опыт их применения. Поразительно, насколько полярными могут быть мнения в этом вопросе, причем аргументация ссылками на литературу практически лишена смысла - достаточно много статей с равной степенью уверенности пропогандирующих и то и другое. Ссылки на собственный опыт тоже имеются разные. Лично я больше склоняюсь к бесцементной технике. Однако советую запастись и цементными компонентами и окончательно решить, что применять во время операции.

    Денис Ёлкин, ГКБ 31, Москва.
    [ Ответить ]


    ( Ответить )

    Powered by Zope  Squishdot Powered MedLink
    Посетитель: 0404699
      "По форме правильно, а по существу - издевательство" В.И.Ленин
    ©2001-2019Orthoforum Coordinator.
    [ Главная | Отправить сообщение | Поиск | Админ ]