AOTRAUMA.ORG Центр Илизарова  

Ортопедия и травматология Общие вопросы/General questions Help Информационные технологии в медицине
 вверх
 отправить
 поиск
 админ
 главная


pertochantere fraktur
Ортопедия и травматология Отправлено Waldemar Kindsvater 05 Март 2005, 19:51
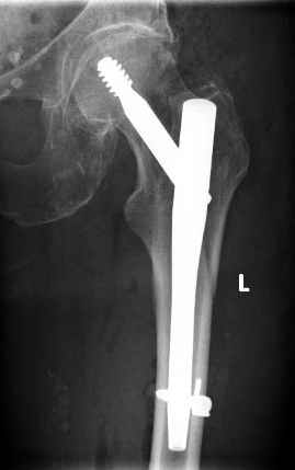
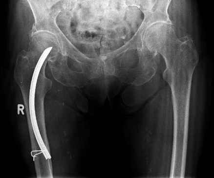
Поступила пациентка 75 лет с пертрохантерным переломом левой бедренной кости. 15 лет назад перелом справа, который прооперировали тогда гвоздем лециуса.
Я его только в книжках видел. Сейчас остеосинтез гамма-нагелем справа. Пациентка стала примером прогресса медицины. Век живи, век учись...Вальдемар Киндсватер.

<  |  >

 

  • Сообщения о Ортопедия и травматология
  • Также Waldemar Kindsvater
  • Связаться с автором
  • Ответить

    Powered by Zope  Squishdot Powered MedLink
    Посетитель: 0178620
      "По форме правильно, а по существу - издевательство" В.И.Ленин
    ©2001-2019Orthoforum Coordinator.
    [ Главная | Отправить сообщение | Поиск | Админ ]