AOTRAUMA.ORG Центр Илизарова  

Ортопедия и травматология Общие вопросы/General questions Help Информационные технологии в медицине
 вверх
 отправить
 поиск
 админ
 главная


дистальный тиб.фиб. перелом
Ортопедия и травматология Отправлено Evgueny Tschekashkin 26 Март 2005, 01:31
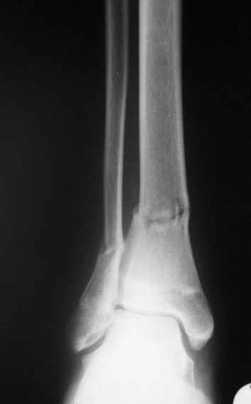
Уважаемые коллеги,Больной 17 лет , 3 недели с момента травмы, был переведен в наше отделение из соседнегогоспиталя.
Попытка закрытой ручной репозиции, предпринятая ранее в этой больнице,оказалась безуспешной, что и явилось причиной перевода к нам.Чтобы вы предложили в данной ситуации?Показана ли фиксация перелома малоберцовой кости в данном случае или в этом нет необходимости?Евгений Чекашкин

<  |  >

 

  • Сообщения о Ортопедия и травматология
  • Также Evgueny Tschekashkin
  • Связаться с автором
  • Ответить

    Re: дистальный тиб.фиб. перелом
    Nikolay Wolfson 26 Март 2005, 01:33
    Hello Evgueny:

    Eto mozhet bit' kak raz to redkii variant kogda vsie chto nado lish redukcia obeix kostei, a faksacia lish Fibulla. V takom vosracte pri takom perelome ia bi ne predvidel problem s zazhivleniem Tibia. A esli bi udalos' osushistvit' zakrituiu redukciu obeix kostey to mozhno oboitic' i bez Interna fixation, xotia spat' budet spokoinee esli zafikcirovat' fibula. Ia bi Tibia ne trogal( fixation).



    Nikolaj Wolfson
    [ Ответить ]

    Re: дистальный тиб.фиб. перелом
    Anton Vladzymyrskyy 26 Март 2005, 01:42
    Внешняя фиксация спицевым АВФ. Можно с фиксацией пятки или три спицы в дистальном кольце.
    По-моему вполне подходящий случай.

    С уважением,
    А.В.Владзимирский
    [ Ответить ]

    • Re: дистальный тиб.фиб. перелом
      Отправитель: Leonid N. Solomin 26 Март 2005, 02:03
      Если Евгений говорит о чрескостном остеосинтезе (и я бы предпочел), то можно обсудить компоновку аппарата на основе двух опор без фиксации стопы.

      С уважением,
      Л.Соломин

      [ Ответить ]
      • Re: дистальный тиб.фиб. перелом
        Отправитель: Anton Vladzymyrskyy 26 Март 2005, 02:04
        Стопу можно не фиксировать. Насчет двух опор опыта нет :(
        А три вполне нормально пойдут в данном случае.
        Интересно было бы услышать подробнее насчет двух колец.
        Может быть есть примеры? Спасибо!

        С уважением,
        А.В.Владзимирский

        [ Ответить ]
        • Re: дистальный тиб.фиб. перелом
          Отправитель: Leonid N. Solomin 26 Март 2005, 02:10
          Уважаемый А.В.Владзимирский:
          > Интересно было бы услышать подробнее насчет двух колец. Может быть есть примеры? Спасибо!









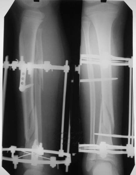
          Под рукой прилагаемый пример. Как видите, "стриптиз-аппарат" (шутка проф. З.К.Башурова): 3 кольца-2 кольца-2 полукольца. В случае, который представил Евгений, характер повреждения позволил бы сразу использовать аппарат на основе 2 колец; в крайнем случае прокс. опора м.б. демонтирована сразу после репозиции.
          Подробная информация о методе Модульной Трансформации чрескостных аппаратов представлена в проаннонсированной недавно РосНИИТО монографии по чрескостному остеосинтезу; надеюсь выйдет в свет в апреле (не реклама :-) ).

          Всего наилучшего,
          Л.Соломин

          [ Ответить ]
          • Re: дистальный тиб.фиб. перелом
            Отправитель: Alexey Mozgounov 30 Март 2005, 00:42
            Dear Леонид Николаевич,

            LNS> Подробная информация о методе Модульной Трансформации чрескостных аппаратов
            LNS> представлена в проаннонсированной недавно РосНИИТО монографии по
            LNS> чрескостному остеосинтезу; надеюсь выйдет в свет в апреле (не реклама :-) ).

            А можно ли как-то заказать через Инет?

            А пока несколько вопросов...
            А в чем практическое преимущество
            LNS> Модульной Трансформации чрескостных аппаратов
            ?

            1) Снижение веса аппарата? - Но не такие уж они тяжелые...
            2) Эстетика? - Но больному не до эстетики, а чтобы держало хорошо и
            срасталось надежно...
            3) Удобство при ношении одежды? - Но с точки зрения брюк. что два
            полукольца. что два кольца... кольца даже удобнее... а с точки зрения
            юбки...
            4) Устранение риска спице-стержневого остеомиелита в проксим.
            метафизе? - вот это вполне возможно... но такие осложнения встречаются
            крайне редко... причем как правило на фоне личной неаккуратности
            больных... а при этом условии данное осложнение может быть где
            удобно...
            5) Профилактика контрактур в суставах? - Но и при циркулярном аппарате
            можно спицы провести так (в проксим. опоре), чтобы мышцы особо не
            прошивались... а для голеностопа... что полукольцо, что кольцо - они
            одинаково мешают (или не мешают) тыльной флексии...
            6) Какое-то влияние на процесс консолидации - ???

            Тогда в чем? Не в шаманстве же etc.?

            LNS> Под рукой прилагаемый пример. Как видите,

            Исходя из него главное преимущество "двух полуколец" - это полный объем сгибания в
            коленном суставе, но...
            незначительно он отличается от варианта "два кольца"...
            и есть ли практический смысл достигать на фоне ношения аппарата такого
            объема движений?

            LNS> В случае, который представил
            LNS> Евгений, характер повреждения позволил бы сразу использовать аппарат на
            LNS> основе 2 колец;

            В аттачтах №№ 1 и 2 - примеры, когда 2 кольца не позволили послеоперационно
            исправить смещение фрагментов большеберцовой (по ширине и вальгусное).
            А казалось бы (#2) - поиграй на штангах и все влетит.
            Оперировал не я
            :-)




















            1


            1a


            2


            3a


            3b


            3c


            PS.
            В аттачте № 3 - один из примеров полукольцевого аппарат...
            Это уже я баловался.
            Итог? Работы больше (по времени и
            интраоп "подгонке"), срастается также, а особого преимущества по сравнению с
            "чиста" кольцевым (вес, удобство ношения и пр.) - я, по крайней мере,
            не нашел.
            Теперь не балуюсь.
            Может быть зря?
            ;-)

            --
            Best regards,

            ~~~~~~~~~~~~~~~~~~~~~~~~~~~~~~~~~~~~~~~~~~~~~~
            Aleksey V. Mozgounov, M.D., Ph.D.,
            Department of Pediatric and Adolescents
            Traumatology and Orthopaedics,
            Research Centre of Tatarstan
            "Rehabiltation Traumatology and Orthopaedics",
            3, Gorky str., Kazan 420015, Russia
            ~~~~~~~~~~~~~~~~~~~~~~~~~~~~~~~~~~~~~~~~~~~~~~


            [ Ответить ]
            • Re: дистальный тиб.фиб. перелом
              Отправитель: Leonid N. Solomin 30 Март 2005, 20:15
              Уважаемый Aleksey V. Mozgounov!
              ...представлена в проаннонсированной недавно РосНИИТО монографии по
              чрескостному остеосинтезу.
              > А можно ли как-то заказать через Инет?


              Считайте, что уже заказали.

              > А в чем практическое преимущество Модульной Трансформации чрескостных
              аппаратов


              Под <Модульной трансформацией> (МТ) чрескостного аппарата принимается
              возможность, в соответствии с несущей способностью костного регенерата:
              - постепенно уменьшать количество чрескостных элементов;
              - сокращать количество опор без необходимости дополнительного проведения
              чрескостных элементов;
              - изменять геометрию внешних опор аппарата путем демонтажа части этой опоры.
              Использование МТ призвано оптимизировать условия для заживления костной раны
              (<воспитание регенерата> по терминологии Г.А. Илизарова; это один из
              вариантов "динамизации" аппарата), уменьшить опасность возникновения
              трансфиксационных контрактур и инфекционных осложнений, повысить
              комфортность лечения для больного за счет снижения громоздкости конструкции.

              Оговоримся сразу: использовнаие аппаратов, в которых заложена возможность МТ, рассматривается, как метод выбора. Пэтому, если (кроме указанного выше) для врача и пациента
              "(аппараты) не такие уж они тяжелые; больному не до эстетики, а чтобы держало хорошо и срасталось надежно...; удобство при ношении одежды? - Но с точки зрения брюк. что два полукольца. что два кольца; устранение риска спице-стержневого остеомиелита в проксим.метафизе? - вот это вполне возможно... но такие осложнения встречаются крайне редко; профилактика контрактур в суставах? для голеностопа... что полукольцо, что кольцо - они одинаково мешают (или не мешают) тыльной флексии...",
              то применять МТ категорически не следует.

              > 1 и 2 - примеры, когда 2 кольца не позволили послеоперационно исправить
              смещение фрагментов большеберцовой (по ширине и вальгусное).

              Использование аппарата на основе 2-х опор "во-что-бы-то-нистало" никогда не приведет к успеху, в этом я с Вами согласен. Это выхватывание отдельных фрагментов из технологии, порочащие ее.

              > Теперь не балуюсь. Может быть зря?
              МТ мы используем, конечно, не только на голени. В прилагаемом примере у парня при поступлении была наружная ротация 40 гр. и "полумертвый" коленный сустав. Можно был бы, конечно, до конца использовать полную компоновку. Но для того он и есть метод выбора.









              Всего наилучшего,
              Л.Соломин


              [ Ответить ]
        • Re: дистальный тиб.фиб. перелом
          Отправитель: Alexander Chelnokov 26 Март 2005, 12:51
          Приветствую, Anton,

          Wednesday, March 23, 2005, 1:30:17 PM, you wrote:

          AV> Интересно было бы услышать подробнее насчет двух колец.
          AV> Может быть есть примеры? Спасибо!

          Коллега Соломин (спасибо ему!) представил пример. IMHO примеры тут даже избыточны - достаточно вспомнить о возможности крепить на кронштейнах чрескостные элементы, проведенные и выше, и ниже кольца или полукольца. Чтобы получить, такссть, 3D опору. Столь любимый нашими заокеанскими коллегами Taylor Spatial Frame как раз эту возможность использует. Так что одно (полу)кольцо, на котором закреплены по стержню и/или спице на расстоянии 30-50 мм по обе стороны, вполне заменяет два. Ну а дальше включаешь воображение... ;-)

          [ Ответить ]
    Re: дистальный тиб.фиб. перелом
    Evgueny Tschekashkin 26 Март 2005, 02:05
    УВажаемые коллеги,

    Громадное спасибо за ваши рекомендации - принял к сведению.
    Консолидация перелома в указанной зоне у больных молодого возраста происходит довольно-таки быстро - уже через 3 недели определялись едва заметные качательные движения.
    соответственно попытка улучшить стояние отломков закрытой манипуляцией оказалась безуспешной.
    АВФ -отдельная история в нашем краю, поэтому последний вариант -открытая репозиция, что я и сделал: Без мобилизации отломков б.б. репозиция м.б. не получалась. Первым делом фиксировал перелом м.б. кости пластиной на 4 4,5 мм винтах,
    при ревизии зоны перелома б.б. кости сохранялось смещение дистального отломка кпереди, пришлось принять меры и решить эту проблему.
    Жду послеоперационные снимки

    Всего Доброго,

    Евгений Чекашкин
    [ Ответить ]

    • Re: дистальный тиб.фиб. перелом
      Отправитель: Vitaly Kazennov 27 Март 2005, 13:44
      Добрый день, уважаемый Евгений!

      > Жду послеоперационные снимки

      Получается, что на столе снимки не делаете?

      Всех благ!

      Виталий Казеннов,
      Хабаровск

      PS А аппарат Гофмана накладываете?

      В.К.

      [ Ответить ]
      • Re: дистальный тиб.фиб. перелом
        Отправитель: Evgueny Tschekashkin 27 Март 2005, 13:46
        > > Жду послеоперационные снимки
        Дошлю после выходных

        > Получается, что на столе снимки не делаете?

        В идеале надо бы, но тогда никакого здоровья не хватит:-)), поэтому в случаях, когда не возникает сомнений относительно качества репозиции интраоперационно Рг скопию не делаю.

        > Всех благ!

        И вам всего самого и наилучшего:-))

        Евгений Чекашкин

        > PS А аппарат Гофмана накладываете?

        Рутинно используется АО внешний фиксатор, для удовлетворения своего любопытства привез набор аппарата Илизарова( гайки уже все поржавели:-((
        Гофман - очень практичная и универсальная система, несколько раз агенты из Страйкера пытались продать набор, но бюджет госпитальный пока не растянулся до необходимых размеров достаточных для закупки, хотя всегда есть возможность для оформления заявок на поставку под конкретного больного отдельных узлов, но пока выходил из положения, применяя различные компоновки АО аппарата, как правило, в ургентных ситуациях- нет времени на написание так называемых мотивационных писем, которые рассматриваются администрацией госпиталя раз в неделю.

        [ Ответить ]
        • Re: дистальный тиб.фиб. перелом
          Отправитель: Vitaly Kazennov 27 Март 2005, 13:46
          Уважаемы Евгений,

          Спасибо за разъяснения.
          Плохо, что нет снимков под рукой.

          С наилучшими пожеланиями,

          Казеннов

          [ Ответить ]
    Re: дистальный тиб.фиб. перелом
    Vitaly Kazennov 26 Март 2005, 02:08
    Уважаемый Евгений!

    На мой взляд, синтезировать малоберцовую кость нет никакой необходимости.

    Виталий Евгеньевич Казеннов,
    доцент кафедры травматологии-ортопедии ДВГМУ,
    Хабаровск
    [ Ответить ]

    • Re: дистальный тиб.фиб. перелом
      Отправитель: Evgueny Tschekashkin 26 Март 2005, 02:13
      Уважаемый Виталий Евгеньевич,

      Поясню свой взгляд на представленный случай, ежели вы не против...:-))
      На прямой проекции видно угловое смещение отломков малоберцовой кости, обуславливающий и
      наклон тарана, да и вальгус отломков б.б. , а на боковой проекции -смещение отломков
      кпереди и по длине.
      Коррекция углового смещения и смещения по длине отломков м.б. кости автоматом устраняет
      наклон тарана , что необходимо для нормальной функции голеностопа. Так оно и произошло во
      время операции.
      Единственный момент, о котором я и уже писал - не наступило спонтанной анатомичной
      репозиции отломков б.б., поэтому после репозиции пришлось использовать тягловый винт и
      *укрепить* достигнутое положение узкой пластиной динамической компрессии.
      Послеоперационные снимки сегодня посмотрел - все выглядит вполне анатомично, кроме длины
      винтов на м.б. кость - слегка переборщил:-(( Не было камеры с собой , но как только
      пересниму картинки обязательно вышлю.
      Поэтому фиксация м.б. кости все-таки показана....

      Всего Доброго,
      Евгений Чекашкин

      [ Ответить ]
      • Re: дистальный тиб.фиб. перелом
        Отправитель: Alexander Chelnokov 26 Март 2005, 12:36
        Приветствую, Evgueny,

        Thursday, March 24, 2005, 8:11:38 PM, you wrote:

        e> На прямой проекции видно угловое смещение отломков малоберцовой
        e> кости, обуславливающий и наклон тарана, да и вальгус отломков б.б.

        ;-) А если попробовать за деревьями увидеть лес?
        По-моему, очевидно, что взаимоотношения в голеностопном суставе были правильные, а смещение было попросту на уровне перелома. То есть все, что дистальнее - ушло со своего места "единым блоком".

        e> Коррекция углового смещения и смещения по длине отломков м.б.
        e> кости автоматом устраняет наклон тарана , что необходимо для

        В наших условиях, скорее всего, была бы предпринята постепенная аппаратная коррекция (раз имеется приличная тугоподвижность - значит, есть хороший пластический материал, чего ж его разрушать?).

        При коррекции аппаратом провели бы 1-2 спицы через обе кости, чтобы правильные взаимоотношения в голеностопе не нарушились. Что вполне ожидаемо, если тянуть только tibia, рассчитывая, что fibula потянется за счет лигаментотаксиса - в условиях формирующегося сращения на это полагаться уже нельзя.

        Возможный вариант - наложение аппарата (с фиксацией обеих костей дистальнее перелома), одномоментная закрытая мобилизация/остеоклазия,
        аппаратная коррекция и closed nailing.

        e> Единственный момент, о котором я и уже писал - не наступило
        e> спонтанной анатомичной репозиции отломков б.б.,

        Твоему удивлению не было предела? ;-))

        e> поэтому после репозиции пришлось использовать тягловый винт и
        e> *укрепить* достигнутое положение узкой пластиной динамической

        В общем, была выполнена традиционная ORIF. Надо полагать, этот выбор в основном был продиктован большей доступностью этого подхода в конкретных условиях данной больницы.

        Интересно, там, где доступны все существующие вариамнты лечения, какой подход более рациональный? Есть свои "за" и "против" у каждого.
        К примеру, на 100 подобных больных, леченных 1)постепенной коррекцией аппаратом (возможно, с последующим переходом на interlocking nail),
        2)одномоментной ORIF, 3)одномоментой закрытой репозицией и nailing, сколько будет несращений, глубокой инфекции, implant failure, контрактур и т.п. у каждого варианта?

        e> Поэтому фиксация м.б. кости все-таки показана....

        При использованном подходе - очевидно. Но столь же очевидно, что были и альтернативные закрытые варианты, позволяющие в подобном случае сохранить форму "вилки" голеностопного сустава без fibular plating.

        --
        Best regards,
        Alexander N. Chelnokov
        Ural Scientific Research Institute
        of Traumatology and Orthopaedics
        7, Bankovsky str. Ekaterinburg 620014 Russia

        [ Ответить ]
        • Re: дистальный тиб.фиб. перелом
          Отправитель: Evgueny Tschekashkin 27 Март 2005, 12:25
          > были правильные, а смещение было попросту на уровне перелома. То есть
          > все, что дистальнее - ушло со своего места "единым блоком".

          Аналогичное видение сути проблемы:-))

          > e> Коррекция углового смещения и смещения по длине отломков м.б.
          > e> кости автоматом устраняет наклон тарана , что необходимо для
          >
          > В наших условиях, скорее всего, была бы предпринята постепенная
          > аппаратная коррекция (раз имеется приличная тугоподвижность - значит,
          > есть хороший пластический материал, чего ж его разрушать?).

          Опять согласен, но принимая во внимание местные условия: большой поток
          больных для хирургии и чтобы держать ситуацию под контролем
          приходится избегать постепенных коррекций, стараюсь( местная практика)
          делать наиболее быстро и по возможности в один этап , иначе очередь больных
          на операции растет как снежный ком......Исключением были случаи по костному
          транспорту замещения дефектов в аппаратах, которые я приобрел на заводе в
          ЦИТО, опыт интересный и результативный, но требовал постоянного
          персонального внимания за больными и ключ на 10 еще принеси и сам поверни
          гайки 4 раза в сутки - как с малыми детьми:-)) , поэтому вариант с
          постепенной коррекцией в аппарате я не рассматривал, хотя совершенно с тобой
          согласен об эффективности метода АВФ в этой ситуации. В более спокойной
          обстановке я бы так и сделал и не 3 недели спустя( как к нам его прислали) ,
          а сразу , не откладывая.


          > e> спонтанной анатомичной репозиции отломков б.б.,
          >
          > Твоему удивлению не было предела? ;-))

          Как один мой товарищ, недавно заехавший в эти края, сказал, что удивляться
          он перестал лет десять назад:-))
          Поэтому для меня это тоже было не удивительно: положение отломков б.б. кости
          улучшилось( угловая деформация была устранена, но сохранялось смещение по
          ширине, которое при открытой зоне перелома достаточно просто было устранить
          и фиксировать)


          > В общем, была выполнена традиционная ORIF. Надо полагать, этот выбор в
          > основном был продиктован большей доступностью этого подхода в
          > конкретных условиях данной больницы.

          Абсолютно верное понимание местных условий:-))

          > Интересно, там, где доступны все существующие вариамнты лечения, какой
          > подход более рациональный? Есть свои "за" и "против" у каждого.
          > К примеру, на 100 подобных больных, леченных 1)постепенной коррекцией
          > аппаратом (возможно, с последующим переходом на interlocking nail),
          > 2)одномоментной ORIF, 3)одномоментой закрытой репозицией и nailing,
          > сколько будет несращений, глубокой инфекции, implant failure,
          > контрактур и т.п. у каждого варианта?

          Идея очень интересна - поиск ответа на вопрос ЧТО лучше?
          Но , мне кажется, что в свежих случаях проблема репозиции( ручная
          безуспешна) могут быть решены одномоментной репозицией с использованием
          разного типа дистракторов и более щадящей техникой фиксации( стержень на
          м.б. кость и подкожная пластина на б.б.)


          > Но столь же очевидно, что были
          > и альтернативные закрытые варианты, позволяющие в подобном случае
          > сохранить форму "вилки" голеностопного сустава без fibular plating.

          Возражений быть не может.

          Спасибо за комментарии,
          Всего Доброго,
          Евгений
          Послеоперационные картинки дошлю( после выходных).

          [ Ответить ]
    Re: дистальный тиб.фиб. перелом
    Антон Андрианов 27 Март 2005, 12:58
    Случай , на мой взгляд, подходит для минимально инвазивного остеосинтеза LC DCP, причем с учетом возраста можно ограничиься только tibia.
    [ Ответить ]

    Re: дистальный тиб.фиб. перелом
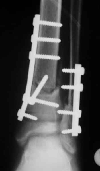
    Evgueny Tchekashkine 31 Март 2005, 00:45
    Уважаемый Виталий Евгеньевич,

    Помятуя наш недавний разговор о фиксации м.б. кост, высылаю послеоперационные картинки..












    Напомню- разбирали случай 17 летнего молодого человека перелом дист тиб.фиб. хирургия после 3 недель с момента травмы( безуспешные попытки закрытой репозиции) Раны заживают первичным натяжением, занимается физиотерапией, пока никаких проблем не наблюдается

    Всего доброго,
    Евгений Чекашкин
    [ Ответить ]

    • Re: дистальный тиб.фиб. перелом
      Отправитель: Alexander Chelnokov 31 Март 2005, 00:50
      Как ты тут оцениваешь восстановление оси большеберцовой кости?
      Является ли рутинной практикой у вас использовать снимок противоположной конечности как шаблон для измерения осевых отклонений?

      [ Ответить ]
      • Re: дистальный тиб.фиб. перелом
        Отправитель: Evgueny Tchekashkine 01 Апрель 2005, 22:45
        Как ты тут оцениваешь восстановление оси большеберцовой кости?


        Согласный я с тобой:-)) есть остаточная вальгусная деформация (по снимку видно перекрывание дист. фрагментом б.б по латеральной поверхности проксимальноо фагмента на 2-3 мм и наружная лодыжка репонирована с укорочением, судя по прямой проекции. Необходимость использования интраоперационно дистрактора была бы оправдана (вручную было непросто *вытянуть* дистальный отломок.)

        > Является ли рутинной практикой у вас использовать снимок
        > противоположной конечности как шаблон для измерения осевых
        > отклонений?

        Нет, рутинным не назовешь, в данном случае отклонение оси видно и невооруженным взглядом без сравнения со здоровой стороной. Сравнительную осевую оценку со здоровой стороной использую только при планировании коррегирующих остеотомий.

        Всего Доброго,
        Евгений

        [ Ответить ]
    • Re: дистальный тиб.фиб. перелом
      Отправитель: Vitaly Kazennov 01 Апрель 2005, 22:41
      Уважаемый Евгений,

      На мой взгляд, Ваша демонстрация неожиданно добавила перцу. Если память мне не изменяет, я говорил об отсутствии показаний к остеосинтезу малоберцовой.
      Сейчас можно заикнуться о вредности этой манипуляции с точки зрения риска фиксации в неправильном положении, как это получилось у Вашего пациента. Сначала фиксировали большеберцовую, и надо было на этом остановиться, ин май хамбл опиньон. Потом при закручивании винтов на мощнейшей второй пластине сустав увело на вальгус. С учетом того, что пацану всего 17, я бы удалил пластину с малоберцовой и попытался тем или иным способом устранить смещение, пока не срослось.

      Извините, если что не так,

      Казеннов, Хабаровск

      [ Ответить ]
      • Re: дистальный тиб.фиб. перелом
        Отправитель: Evgueny Tchekashkine 02 Апрель 2005, 12:12
        Виталий Евгеньевич , приветствую,

        Спасибо за комментарии, Да, и извиняться, вроде бы не за что?!
        Все так и не совсем - последовательность процедуры( я уже, кажется, упоминал)открыл зону перелома б.б., оценил мобильность фрагментов при очевидном смещении - отрепонировать вручную не получилось и понятна причина. Открыл область перелома м.б. отрепонировал( как мне показалось вполне адекватно) и фиксировал пластиной. ПРи ревизии зоны перелома б.б. положение фрагментов улучшилось, но сохранялось остаточное смещение дистального фрагмента кпереди хоть и незначительное, которое устранил и фиксировал межфрагментарным винтом, далее пластина. Конечно, следовало интраоперационно проконтролировать РГ, откровенно говоря, не ожидал, что постоп контроль будет так выглядить, показалось , что достигнутая репозиция вполне адекватна.....
        Согласен с вашей рекомендацией (пока парень отпросился на выходные домой, а по возвращении будет разговор) Кстати ваш аргумент в пользу важности адекватной репозиции м.б. .... Поскольку оставшийся вальгус ничем , кроме, как укорочением м.б не объяснить - для ревизии приготовлю дистрактор.

        ВСего Доброго,
        Евгений Чекашкин

        [ Ответить ]
        • Re: дистальный тиб.фиб. перелом
          Отправитель: Alexey Mozgounov 02 Апрель 2005, 12:27
          Dear Евгений,

          e> Поскольку
          e> оставшийся вальгус ничем , кроме, как укорочением м.б не объяснить

          А почему?
          Фиксация м/б "зуб в зуб", т.е. без ее укорочения и сохранения оси, отнюдь не подразумевает, что б/б должна сесть на свое законное место и не заиграть под углом..?
          Наличие синдесмоза как раз таки и подразумевает возможность некоторого самостоятельного поведения б/б кости отнгосительно м/б

          e> - для ревизии приготовлю дистрактор.

          А нужна она так, эта ревизия?
          Пусть срастается себе на здоровье...
          IMHO.


          [ Ответить ]
          • Re: дистальный тиб.фиб. перелом
            Отправитель: Evgueny Tchekashkine 02 Апрель 2005, 12:29
            > Dear Евгений,

            Не менее Дорогой Алексей,
            :-))

            > e> Поскольку
            > e> оставшийся вальгус ничем , кроме, как укорочением м.б не объяснить
            >
            > А почему?
            > Фиксация м/б "зуб в зуб", т.е. без ее укорочения и сохранения оси,
            > отнюдь не подразумевает, что б/б должна сесть на свое законное место и
            > не заиграть под углом..?

            Все о чем вы говорите очень интересно и становится * мучительно больно за бесцельно прожитые годы* - может не совсем так, но что-то близкое:-)) как я заблуждался и сколько народу покалечил (в последнем есть доля истины, но не покалечил все же больше) и почти начав сомневаться, обратился к *КНИГЕ* - источнику и носителю знаний, которую регулярно открывал еще в ординатуре.
            Книга написана знаками из алфавита, а не азбуки, и некотрые концепции, изложенные в ней устарели вместе со мной, но базовые подходы все же актуальны были и остаются (последний раз на Advanced AO Course был в июле 2004), сравнивая увиденное и услышанное на этом курсе.... (почему-то доверяю пока этой информации ...)
            Так вот касательно переломов дистального отдела б.б. и м.б.в описании порядка процедуры под нумером один стоит репозиция и фиксация м.б. кости, и если последняя адекватно выполнена, то в большинстве случаев (80 %) это приводит к улучшению положения фрагментов б.б. и 20 % расписаны на многооскольчатые переломы м.б. кости, когда технически непросто восстановить первоначальную длину фибулы.

            > Наличие синдесмоза как раз таки и подразумевает возможность
            > некоторого самостоятельного поведения б/б кости отнгосительно м/б

            Именно наличие синдесмоза и обеспечивает репозицию б.б. кости при правильно репонированной м.б. Это же лигаментотаксис.

            > e> - для ревизии приготовлю дистрактор.
            >
            > А нужна она так, эта ревизия?

            Думаю нужна - угловые деформации должны быть устранены и понятно почему... Но смогу ли ее сделать - боец может не вернуться из увольнения :-)) - больно шустро он себя вел после операции.


            > Пусть срастается себе на здоровье...
            Хорошо бы сраслось на здоровье, а пока не совсем..



            [ Ответить ]
            • Re: дистальный тиб.фиб. перелом
              Отправитель: Alexander Chelnokov 02 Апрель 2005, 13:51
              e> 2004 ),сравнивая увиденное и услышанное на этом курсе....( почему-то доверяю
              e> пока этой информации ...)

              Ты на всякий случай все-таки лучше здесь переспроси ;-))

              e> Так вот касательно переломов дистального отдела б.б. и м.б.в описании
              e> порядка процедуры под нумером один стоит репозиция и фиксация м.б. кости, и

              Это IMHO справедливо без оговорок 1) для переломов лодыжек, 2) для свежих повреждений, 3)для прямой репозиции, 4)если мысль хирурга идет прямолинейно ("а че думать, трясти надо: ORIF, и все дела - так и в АОшной книжке написано!! ;-))), а не через призму идеологии small wire ex-fix. Даже не столько "fix", сколько управлениея положением отломков.
              Как справедливо пишут коллеги, в данном случае другой путь to skin the cat имел бы больше шансов на успех.
              Напоминаю афоризм "С аппаратом мы управляем ситуацией, без - ситуация управляет нами" (перетендую на авторство ;-)).

              e> Именно наличие синдесмоза и обеспечивает репозицию б.б. кости при правильно
              e> репонированной м.б. Это же лигаментотаксис.

              На который нельзя полагаться при тугоподвижности.

              >> e> - для ревизии приготовлю дистрактор.

              А какой? Советую small wire.

              >> А нужна она так, эта ревизия?

              e> Думаю нужна - угловые деформации должны быть устранены и понятно почему...

              А вот тут очччччень спорный момент.
              Новая тема - какие критерии для решения менять угол или оставить так?

              e> Хорошо бы сраслось на здоровье, а пока не совсем..

              Женя, а как относиться к лечению функциональными брейсами по Sarmiento, вернее, к неизбежному при таком подходе неидеальному положению отломков, с углами и по ширине?

              [ Ответить ]
              • Re: дистальный тиб.фиб. перелом
                Отправитель: Evgueny Tchekashkine 02 Апрель 2005, 17:16
                > Ты на всякий случай все-таки лучше здесь переспроси ;-))

                Столько мнений уже высказано....:-))

                > Напоминаю афоризм "С аппаратом мы управляем ситуацией, без - ситуация
                > управляет нами" (перетендую на авторство ;-)).

                Так то оно так, но из этого следует, что все ситуации без аппарата обречены на проблемы:-))
                Про авторство - двух мнений быть и не может :-)))

                > e> Именно наличие синдесмоза и обеспечивает репозицию б.б. кости при
                правильно
                > e> репонированной м.б. Это же лигаментотаксис.
                >
                > На который нельзя полагаться при тугоподвижности.

                Согласен

                > >> e> - для ревизии приготовлю дистрактор.
                >
                > А какой? Советую small wire.

                Хороший совет, и воспользовался бы ежели был в наличии доступен другой из основного 4.5 мм набора - tension-distraction device
                >
                > >> А нужна она так, эта ревизия?


                > e> Думаю нужна - угловые деформации должны быть устранены и понятно
                почему...
                >
                > А вот тут очччччень спорный момент.
                > Новая тема - какие критерии для решения менять угол или оставить так?

                Думаю, что для нижней конечности( опорной) ось должна быть восстановлена, для верхней - менее критично ( The limb should be functional and not look ugly)
                Последствия углового отклонения механической оси рано или поздно приводят к перегрузке соответствующих отделов сустава - хондромаляции- остеоартрит. Для малоактивных пациентов этот фактор менее критичен, а для активных (молодых и пожилых) является важным.


                > Женя, а как относиться к лечению функциональными брейсами по
                > Sarmiento, вернее, к неизбежному при таком подходе неидеальному
                > положению отломков, с углами и по ширине?

                Очевидно, что в брэйсе *удержать* фрагменты в анатомической позиции при нестабильном переломе невозможно, смещения по ширине допустимы с учетом предполагаемого укорочения( до 2см), угловые - до 7 градусов(?) и остаточные деформации оси в этих пределах якобы существенно не нарушают функцию
                кончности . Я бы не хотел иметь голень -бедро короче хотя бы на 2 см и с углом в ту или иную сторону 7 гр:-)) Каждому методу - свое место и в условиях с ограниченными инструментальными возможностями принцип функционального лечения остается наиболее приемлемым и по-моему, идея его труда состояла в исследовании условий необходимых и достаточных для костного сращения при сохранении максимально возможной мобильности суставов и активности мышечного футляра, аргументы, которые выдвигались как преимущественные факторы внутренней фиксации. Недостаток функционального лечения нестабильных ситуаций - вероятность остаточных деформаций, недостаток внутренней и внешней фиксации - риск инфекции. .....

                Всего Доброго,
                Евгений

                [ Ответить ]
                • Re: дистальный тиб.фиб. перелом
                  Отправитель: Alexander Chelnokov 02 Апрель 2005, 18:30
                  e> Столько мнений уже высказано....:-))

                  И чуть не все более правильные, чем в АОшной книжке! ;-)

                  e> Так то оно так, но из этого следует, что все ситуации без аппарата обречены
                  e> на проблемы:-))

                  А тут - трудно не согласиться. Не зря даже наши коллеги из AO в конце
                  концов приняли на вооружение непрямую репозицию, дистракторы...

                  >> А какой? Советую small wire.
                  e> Хороший совет, и воспользовался бы ежели был в наличии
                  e> доступен другой из основного 4.5 мм набора - tension-distraction device

                  Не понял? Я подразумевал 2 кольца от аппарата Илизарова, соединенных 3
                  телескопическими стержнями. А ты про что?

                  e> Думаю, что для нижней конечности( опорной) ось должна быть восстановлена,

                  До отклонения не более чем на диаметр одной молекулы гидроксиапатита?
                  ;-) Где разумный порог приемлемости?

                  e> для верхней - менее критично( The limb should be functional and not look
                  e> ugly )

                  Во-о-о-т. А что ж сейчас? Если попросить пациента встать по стойке
                  смирно, да сфотографировать - бросается в глаза деформация?

                  e> Последствия углового отклонения механической оси рано или поздно приводят к
                  e> перегрузке соответствующих отделов сустава - хондромаляции- остеоартрит.

                  Это, скорее, такое... гм... ортопедическое суеверие. Фактами это не
                  подтверждается. Два реферата, первый:

                  ===================
                  J Bone Joint Surg Am. 1989 Apr;71(4):599-606.

                  Long-term follow-up after fractures of the tibial and fibular shafts.

                  Merchant TC, Dietz FR.

                  Department of Orthopaedic Surgery, University of Iowa Hospitals and Clinics,
                  Iowa City.

                  Thirty-seven patients who sustained a closed or a Grade-I open tibial and
                  fibular fracture were evaluated an average of twenty-nine years after injury.
                  All of the patients had had uncomplicated treatment with a plaster cast.
                  Clinically, 78 per cent of the ankles were rated good or excellent, and 92 per
                  cent of the knees were rated excellent. Radiographic assessment for
                  osteoarthritic changes revealed a good or excellent result for 76 per cent of
                  the ankles and an excellent result for 92 per cent of the knees. The clinical
                  and radiographic outcomes were unaffected by the amounts of anterior or
                  posterior and of varus or valgus angulation, as well as by the level of the
                  fracture. The length of immobilization, which did not exceed one year, also did
                  not affect the outcomes.
                  ====================

                  и второй

                  ====================
                  J Bone Joint Surg Am. 2002 Jun;84-A(6):971-80.

                  Long-term outcome after tibial shaft fracture: is malunion important?

                  Milner SA, Davis TR, Muir KR, Greenwood DC, Doherty M.

                  Department of Orthopaedic and Accident Surgery, Queen's Medical Center,
                  Nottingham, United Kingdom. stephen.milner@clara.net

                  BACKGROUND: Fractures of the shaft of the tibia often heal with some angulation.
                  Although there is biomechanical evidence that such angulation alters load
                  transmission through the joints of the lower limb, it is not clear whether it
                  can eventually lead to osteoarthritis. METHODS: One hundred and sixty-four
                  individuals who had sustained a tibial shaft fracture were assessed in a
                  research clinic thirty to forty-three years after the injury. The subjects were
                  evaluated with regard to self-reported lower limb joint pain, stiffness, and
                  disability (assessed with the Western Ontario and McMaster Universities [WOMAC]
                  osteoarthritis questionnaire); clinical signs of osteoarthritis; and
                  radiographic evidence of osteophytes and joint-space narrowing in the knees,
                  ankles, and subtalar joints. RESULTS: Twenty-two (15%) of the 151 subjects who
                  reported no other knee injury reported at least moderate knee pain, and eight
                  (6%) of the 145 subjects who reported no other ankle injury reported at least
                  moderate ankle pain. Seventeen (13%) of the 135 subjects who reported no other
                  knee or ankle injury reported at least moderate disability. The ipsilateral side
                  demonstrated a higher prevalence than the contralateral side in terms of pain
                  with passive ankle movement (nineteen versus nine subjects, p = 0.02), pain with
                  passive subtalar movement (fifteen versus four subjects, p = 0.01), and
                  radiographic signs of ankle joint space narrowing (twelve subjects versus one
                  subject, p = 0.0055). Knee osteoarthritis was frequently bilateral. Forty-seven
                  fractures (29%) healed with coronal angulation of > or = 5 degrees. Apart from
                  an association between shortening of > or = 10 mm and self-reported knee pain (p
                  = 0.016), there were no significant univariate associations between these
                  malunions and the development of osteoarthritis. Seventeen (15%) of 114 eligible
                  subjects had overall malalignment of the lower limb, defined as a hip-knee-ankle
                  angle outside the normal range of 6.25 degrees of varus to 4.75 degrees of
                  valgus. This malalignment was due to the fracture malunion in nine subjects and
                  predated the fracture in eight. In limbs with varus or valgus malalignment,
                  there was an excess of subtalar stiffness (p = 0.04) and a nonsignificant trend
                  toward more frequent knee pain. In limbs with varus malalignment, there was a
                  nonsignificant trend toward more frequent radiographic evidence of
                  osteoarthritis in the medial compartment of the knee joint. Most of the subjects
                  in whom osteoarthritis was observed had normal overall alignment of the lower
                  limb. CONCLUSIONS: The thirty-year outcome after a tibial shaft fracture is
                  usually good, although mild osteoarthritis is common. Fracture malunion is not
                  the cause of the higher prevalence of symptomatic ankle and subtalar
                  osteoarthritis on the side of the fracture. Although varus malalignment of the
                  lower limb occurs occasionally and may cause osteoarthritis in the medial
                  compartment of the knee, other factors are more important in causing
                  osteoarthritis after a tibial shaft fracture.
                  Long-term outcome after tibial shaft fracture: is malunion important?
                  ====================

                  e> Очевидно, что в брэйсе *удержать* фрагменты в анатомической позиции при
                  e> нестабильном переломе невозможно, смещения по ширине допустимы с учетом
                  e> предполагаемого укорочения( до 2см), угловые - до 7 градусов(?)

                  О! Уже и точные градусы вдруг появились ;-)

                  e> и остаточные деформации оси в этих пределах якобы существенно не
                  e> нарушают функцию кончности . Я бы не хотел иметь голень -бедро
                  e> короче хотя бы на 2 см и с углом в ту или иную сторону 7 гр:-))

                  Ну, это просто вкусовщина может, просто? ;-)
                  Да и потом - очень трудно скалькулировать risks and benefits в
                  ситуации типа той, что сложилась сейчас. Неизвестно какой риск
                  неизвестно каких отдаленных проблем, если оставить, как есть. Или
                  ненулевой риск налететь на гнойное осложнение при повторонй операции
                  через короткое время на том же месте. Это например.

                  e> Каждому методу - свое место

                  Эххх... Если бы у всех было одно и то же знание, которому - какое,
                  такого разнообразия ни железа, ни публикаций, не было бы. И было бы
                  очень скучно.

                  e> и в условиях с ограниченными инструментальными возможностями
                  e> принцип функционального лечения остается наиболее приемлемым

                  Это тоже спорный момент. Хорошее функциональное лечение провести не
                  так непросто и дешево. По крайней мере, на просторах xUSSR оно не
                  сильно распространено, причем именно в "в условиях с ограниченными
                  инструментальными возможностями".

                  e> факторы внутренней фиксации. Недостаток функционального лечения
                  e> нестабильных ситуаций - вероятность остаточных деформаций,

                  Да вот вроде и пишет он, что это не проблема, и даже косметически это вполне приемлемо.

                  [ Ответить ]
        • Re: дистальный тиб.фиб. перелом
          Отправитель: Vitaly Kazennov 02 Апрель 2005, 12:45
          Здравствуйте, уважаемый Евгений!

          Наконец начинаю понимать последовательность действий, и все таки: репонировать малоберцовую при сращении с укорочением, вроде бы, нужно. Однако! Лучше выполнить остеотомию ее (из разреза по ширине лезвия долота) выше места перелома большеберцовой и забыть про нее. Вы думаете, без пластины не срастется??? Теперь отрепонировать большеберцовую и фиксировать ТОЛЬКО ее. Конечно, с точки зрения материало-, трудо-, и проче-емкости две пластины лучше, чем одна, да и снимки показывать с перерубленной костью и коленвалом малоберцовой как-то не того, однако себе бы я не дал фиксировать малоберцовую, равно как и ключицу, пластиной или чем там еще погружным. В конце
          концов, их потом нужно выковыривать (как правило), а это тоже больно.

          С наилучшими пожеланиями,
          я пошел к студентам,

          Казеннов

          [ Ответить ]
          • Re: дистальный тиб.фиб. перелом
            Отправитель: Evgueny Tchekashkine 02 Апрель 2005, 13:12
            Виталий Евгеньевич,



            Наконец начинаю понимать последовательность действий, и все таки: репонировать малоберцовую
            при сращении с укорочением, вроде бы, нужно.

            *однако* я снес пониже, вроде бы и договорились.....

            Всего Доброго и
            Удачи в образовательном процессе

            Евгений И Чекашкин

            [ Ответить ]
      • Re: дистальный тиб.фиб. перелом
        Отправитель: Alexey Mozgounov 02 Апрель 2005, 12:40
        ДЦт> Сейчас можно заикнуться о вредности этой манипуляции с
        ДЦт> точки зрения риска фиксации в неправильном положении, как это
        ДЦт> получилось у Вашего пациента.
        ДЦт> Потом при закручивании винтов на мощнейшей второй
        ДЦт> пластине сустав увело на вальгус.

        Вряд ли фиксация м/б привела к вальгизации.
        IMHO

        ДЦт> С учетом того, что пацану
        ДЦт> всего 17, я бы удалил пластину с малоберцовой и попытался тем
        ДЦт> или иным способом устранить смещение, пока не срослось.

        C учетом чего?
        Нарушения оси конечности?
        Не такое уж оно, нарушение. и смертельное.
        или значительное, если хотите...
        "пацаны" 17 лет, знаете ли. внаше время растут еще.
        Вот, например, один из моих однокласников, после окончания школы, когда был этак сантиметров 176-178, вымахал за 5 лет этак примерно на 15 см. Может быть конечно болен был. Я не уточнял. А он не жаловался. Но факт есть факт. Растут. Единичный могет быть случай, но и о них стоит помнить.
        Так что с этой точки зрения я бы обратил внимание так же и на то, что нижние винты обеих пласти восшли аккурат в зоны роста, которые, судя по
        снимку, еще фунциклируют. И даже неплохо...

        А самое главное, если уж честно, то кто станет? и стал бы? ПЕРЕДЕЛЫВАТЬ? Все переделывания наводят на мысли, особенно тех у кого все это переделывается.
        Переделывать, вернее - недоделывать :-), надо было на операционном столе, или вообще аппаратом, хотя в отношении последних, как сообщалось ранее, не все хорошо "в отечестве" и "отдельный разговор".
        А еще раньше - надо было недопускать до такой ситуации...
        И вообще такие переломы вполне можно поставить закрыто, а при желании фиксировать спицами (да-да... именно спицами), а при желании потом на фоне спиц наложить все тот же аппарат, о котором "отдельный разговор". etc. etc.

        И вообще тысячелетиями человечество лубками, как утверждается, лечилось, и срасталось знаете ли, и плодились и размножались поболее чем мы сейчас.
        :-)
        Хотя может быть вполне по диаметрально противоположным причинам. Но все это философия.
        А факт есть факт.

        P.S.
        Поднимая вверх правую руку
        со всей ответственностью заявляю:
        IMHO и ничего кроме IMHO!!!
        :-)

        [ Ответить ]
        • Re: дистальный тиб.фиб. перелом
          Отправитель: Vitaly Kazennov 02 Апрель 2005, 13:08
          Уважаемый Алексей,

          -> Вряд ли фиксация м/б привела к вальгизации.

          Все, уже разобрался, Евгений напомнил порядок манипуляций. Не будь фиксации
          в таком положении, мобилизованная малоберцовая сама бы встала как ей нужно
          после репозиции большеберцовой. А так эта пластинища, конечно же, не дала
          поправить большеберцовую как следует. Отступление от протокола дает проколы.
          Не сделали снимок на столе, как положено, -- теперь проблемы.

          > C учетом чего?

          А там написано. С учетом предполагемой продолжительности предстоящий жизни.

          > Нарушения оси конечности?
          > Не такое уж оно, нарушение. и смертельное.
          > или значительное, если хотите...

          Да в принципе можно и вообще без ноги... Со скольки градусов отклонения
          вилки голеностопного от горизонтали Вы считаете нарушение оси смертельным
          или значительным?

          > Так что с этой точки зрения я бы обратил внимание так же и на то, что
          нижние
          > винты обеих пласти восшли аккурат в зоны роста, которые, судя по
          > снимку, еще фунциклируют. И даже неплохо...

          Вот это точно! Еще один аргумент против пластин у подростков, да и вообще
          против рукоблудия. Осенью я был в Якутске, познакомился с отличным мужиком,
          хромает. Чего, спрашиваю? -- Да сломал двадцать лет назад ногу, лечили
          аппаратом, перетянули, с тех пор эта нога длиннее, сустав побаливает,
          поясница, ну все как положено. Я говорю, надув щеки: "Ну дык можно ж
          откоррегировать..." А он: "Опять операция? Не-е-е... Я уж так доживу..." А
          мужику всего лет сорок, детишки, дом отличный сам реконструировал, руки
          золотые, а хромает достаточно сильно.

          > А самое главное, если уж честно, то кто станет? и стал бы? ПЕРЕДЕЛЫВАТЬ?

          Да я бы стал, коли уж так получилось, не нарочно ведь. Да и Евгений, судя по
          его письму, собирается.

          > Все переделывания наводят на мысли, особенно тех у кого все это
          > переделывается.

          На каждый чих не наздравствуешься. Индукция вектора ментальных прецессий
          адьювантна вольюму нейроглии (во загнул!).

          > Переделывать, вернее - недоделывать :-), надо было на операционном
          > столе,

          Ну коль уж получилось! Еще поезд-то не ушел!

          > или вообще аппаратом, хотя в отношении последних, как сообщалось
          > ранее, не все хорошо "в отечестве" и "отдельный разговор".

          Это согласен!

          > А еще раньше - надо было недопускать до такой ситуации...

          Глаголы с "не" пишутся ... [Nu zanuda, zanuda, you are right!!!]

          > И вообще такие переломы вполне можно поставить закрыто,

          Absolutely!

          > а при желании
          > фиксировать спицами
          > (да-да... именно спицами),
          > а при желании потом на фоне спиц наложить все
          > тот же аппарат, о котором "отдельный разговор".

          Oh yes!

          > И вообще тысячелетиями человечество лубками, как утверждается,
          > лечилось, и срасталось знаете ли, и плодились и размножались поболее
          > чем мы сейчас.

          А в лубках оно справнее, чем в аппарате.

          > Хотя может быть вполне по диаметрально противоположным
          > причинам.

          Минуточку-минуточку! Что может быть диаметрально противоположней библейских
          заповедей? Попрошу не уклоняться от поставленной проблемы, детские ортопеды
          обязаны быть в курсе камасутры;-]

          > Но все это философия.

          А это и в кайф!

          > А факт есть факт.

          Со спектром мнений по трактовке, сэр!

          > IMHO и ничего кроме IMHO!!!

          Да это-то и интересно. Уотсон-Джонс и Каплан на нас не обидятся.

          Best wishes!

          Казеннов


          [ Ответить ]

     

    ( Ответить )

    Powered by Zope  Squishdot Powered MedLink
    Посетитель: 0000177
      "По форме правильно, а по существу - издевательство" В.И.Ленин
    ©2001-2019Orthoforum Coordinator.
    [ Главная | Отправить сообщение | Поиск | Админ ]