AOTRAUMA.ORG Центр Илизарова  

Ортопедия и травматология Общие вопросы/General questions Help Информационные технологии в медицине
 вверх
 отправить
 поиск
 админ
 главная


Non-Union
Ортопедия и травматология Отправлено Nikolay Wolfson 26 Март 2005, 01:36
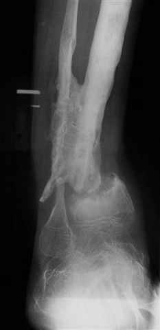
The case:Женщина 24 лет non union дистальной тибии с укорочением 7cm.
Все началось с перелома голени лет 8 тому назад. Остеомиелит - Илизаров в Kentucky, USA (деталей нет) и полтора года тому назад перелом средней трети тибии (1). Наложен унилатеральний фиксатор. Перелом зажил, но образовался стержневой остеомиелит дистального стержня. Потом нон юнион. В настоящий момент нет клинических признаков инфекции. Раны зажили.(2) Нон юнион подвижный и есть незначительное движение в голеностопе. Укорочение 7см. (3) Хотел бы знать мнение участников Форума. Благодарю. Nikolaj Wolfson,West Virginia, USA

<  |  >

 

  • Сообщения о Ортопедия и травматология
  • Также Nikolay Wolfson
  • Связаться с автором
  • Ответить

    Re: Non-Union
    Leonid N. Solomin 26 Март 2005, 01:41
    Дорогой Николай! Если есть возможность произвести открытое вмешательство на области ложного сустава (срок ремиссии, лабраторные показатели), то я бы выполнил открытую адаптацию фрагментов, их стабилизацию в аппарате Илизарова, кортикотомию с остеоклазией в/3 большеберцовой, остеотомию малоберцовой н/3 для устранения укорочения голени. Компоновку аппарата, конечно, можем обсудить.

    Удачи,
    Л.Соломин
    [ Ответить ]

    Re: Non-Union
    Evgueny Tschekashkin 26 Март 2005, 02:06
    Николай, Приветствую,

    Я бы выбрал аналогичную тактику, предложенную Леонидом. У меня был больной с хроническим остеомиелитом б.б. кости. После дебрайдмента, резекции инфицированной кости образовался дефект 10 см. Как раз это был случай, когда мы опробовали его систему обозначения чрезкостных элементов и компановки аппарата , общаясь через интернет. После проксимальной остеоклазии б.б.транспортировал костный фрагмент до контакта с дистальным фрагментом.
    Все завершилось благополучно.
    Всего Доброго,
    Евгений
    [ Ответить ]

    Re: Non-Union
    Nikolay Wolfson 26 Март 2005, 02:07
    Дорогие Леонид, Евгений:
    Благодарю за совет. Подход к зоне non union планирую латеральний путем иссечения фрагмента м.берцовой кости. Естесвенно освежу дистальный фрагmент б.берцовой кости.
    Вопрос: сколько проксимального фрагмента б.берцов. кости стоит удалить? Судя по снимкам большая часть Б.бецовой кости аваскулярна а может и поражена остеомиелитом ( как писал раньше нет его клинического проявления).
    Как насчет остого укорочения с комрессией и, естественно дистракции через проксимальную остеоомию?
    Естесвенно стопу буду фиксировать в аппарате.
    Хотел бы знать ваше мнение, ну и других участников Форумаб по этим вопросам.
    Nikolaj Wolfson,
    West Virginia
    [ Ответить ]

    • Re: Non-Union
      Отправитель: Leonid N. Solomin 26 Март 2005, 02:12
      Дорогой Николай!
      >Подход к зоне non union планирую латеральний путем иссечения фрагмента м.берцовой кости.
      >Естесвенно освежу дистальный фрагmент б.берцовой кости.
      Если неудобно сделать освежение-адаптацию большеберцовой из наружного доступа, я "не
      стесняясь" делаю и внутренний.

      >Вопрос: сколько проксимального фрагмента б.берцов. кости стоит удалить? Судя по снимкам
      >большая часть Б.бецовой кости аваскулярна а может и поражена остеомиелитом ( как писал
      >раньше нет его клинического проявления).
      До появления отчетливой "кровавой росы" на торце проксимального фрагмента. Экономия 1-2 см
      впоследствии оборачивается длительными сроками фиксации. Тем более, что сращивать диафиз с
      эпиметафизом - дело неблагодарное.

      > Как насчет остого укорочения с комрессией и, естественно дистракции через
      > проксимальную остеоомию?
      Конечно, но, опасаюсь, гофрирование мягких тканей не позволит хорошо ушить рану. Я в таких
      случаях приглашаю микрохирургов и они "колдуют" с ротированными лоскутами. Либо идти на
      (минимально возможный) дисатаз, который постепенно устранять после заживления раны с
      одновременным bone transport.

      Удачи!
      Л.Соломин

      [ Ответить ]
      • Re: Non-Union
        Отправитель: Nikolaj Wolfson 29 Март 2005, 01:03
        Ленид:Идти клиническим путем иссекая не здоровую часть б.бец. кости имеет смысл, благодарю.Ну а как быть если "кровавой росы" не будет до уровня проксимальной б.б кости? Удалять пока она не наступит? А что если сравнить эту ситуацию с приживлением аллогафта? Полемика, конечно же,частично академического порядка.



        [ Ответить ]
        • Re: Non-Union
          Отправитель: Evgueny Tchekashkine 30 Март 2005, 00:24
          Если *кровавой росы* не будет аж до проксимального уровня б.б кости, то как вариант можно рассмотреть тибиализацию м.б. В любом случае - ведь ждать сращения аваскулярной кости не приходится . По поводу Аллографта стоит переговорить с пластическими хирургами - какой у них опыт и какие результаты, если в их руках это работает - ситуация упрощается. Какие мысли по BMP/ Chronos ?

          ВСего Доброго,

          Евгений Чекашкин

          [ Ответить ]
          • Re: Non-Union
            Отправитель: Nikolay Wolfson 30 Март 2005, 00:25
            Evgueny:

            I am afraid you misunderstood me: I do not suggest to use structural allograft. I was just
            comparing healing of the structural allograft to the good, healthy host bone.



            Nikolaj

            [ Ответить ]
        • Re: Non-Union
          Отправитель: Leonid N. Solomin 30 Март 2005, 20:10
          Дорогой Николай!
          >Ну а как быть если "кровавой росы" не будет до уровня проксимальной б.б
          кости?А что
          > если сравнить эту ситуацию с приживлением аллогафта?

          Гипотетически об этом порассуждать, конечно, можно. На практике убежден, что в данном случае будет достаточно 3 (ну, 4!) см. И сроки на формирвание и перестройку "лишних" сантиметров регенерата уйдет меньше, чем на сращение "аллографтов".
          > какое осрое укорочение, одним этапом считаете допусимым?

          Лимитируется только возможностями ушивания раны и возможностью трофических нарушений из-за гофрирования сосудов и нервов.


          Всего наилучшего,
          Л.Соломин

          [ Ответить ]
          • Re: Non-Union
            Отправитель: Nikolay Wolfson 01 Апрель 2005, 00:50
            Dear Leonid:

            Seems opinions have split :

            1. Closed compression at the site of non-union, and +/- proximal osteotomy with lengthening I bifocal option), in either one or two stages, vs.

            2. Open version: cleaning non union site, acute realignment and proximal tibial osteotomy
            with lenghtening.

            Well, as always, there is more than one way to the top, or to the bottom. I will hope for the best, and will let you know what way we went.

            Thanks,

            Nikolaj

            [ Ответить ]
    • Re: Non-Union
      Отправитель: Evgueny Tschekashkin 26 Март 2005, 02:12
      Николай, приветствую,

      Об объеме резекции б.б. кости по ретгенограмме определенно сказать сложно, скорее даже
      невозможно, интраоперационная оценка кровоснабжения кости и ее жизнеспособности -основной критерий уровня резекции.
      В ваших условиях решение проблемы замещения образовавшегося дефекта может быть частично решено комбинацией остеобластических материалов с BMP в зоне несращения.
      Абсолютно согласен с твоей идеей о комбинировании компрессии в зоне несращения с режимом дистракции в зоне остеоклазии.
      Думаю, что Леонид согласится с таким подходом.

      Удачи,
      Евгений

      [ Ответить ]
    Re: Non-Union
    Александр Лернер 26 Март 2005, 20:26
    Привет Николай,
    Я тоже согласен с планом,предложенным Леонидом Соломиным, а также с тем, что не очень удобно идти наружным доступом через фибулу.
    Насчет возможного гофрирования мягких тканей при остром укорочении: его можно избежать или значительно уменьшить, пользуясь не продольным разрезом над патологическим очагом, а косо-поперечным.
    Удачи
    Александр
    [ Ответить ]

    Re: Non-Union
    Nikolaj Wolfson 29 Март 2005, 01:09
    Благодарю за совет и мнения. Как у любой проблеми и у этой есть раные решения.
    ? : какое осрое укорочение, одним этапом считаете допусимым?
    [ Ответить ]

    Re: Non-Union
    KK 29 Март 2005, 03:51
    Why dont you send this patient to expert?D.Paley or M,Dahl?
    [ Ответить ]

    Re: Non-Union
    Alexander Chelnokov 29 Март 2005, 09:18
    LNS> юнион подвижный и есть незначительное движение в голеностопе. Укорочение
    LNS> 7см. (3)

    По представленным снимкам мне не удалось понять форму и рзмеры отломков. по-моему, нет чистой боковой проекции. Интересно бы поглядеть на более информативные снимки.

    LNS> Дорогой Николай! Если есть возможность произвести открытое вмешательство на
    LNS> области ложного сустава (срок ремиссии, лабраторные показатели), то я бы
    LNS> выполнил открытую адаптацию фрагментов, их стабилизацию в аппарате

    Поскольку зона несращения не выглядит как синовиальный псевдартроз, нет ли смысла попробовать закрытую дистракцию и коррекцию оси и длины пока за счет зоны несращения? Возможно, с дополнением кортикотомией в проксимальном отделе большеберцовой кости. Дистракция зоны псевдартроза небольшим темпом (0.5 мм/сут), возможно, дала бы в
    результате улучшение васкуляризации, регресс склероза и регенерат.
    [ Ответить ]

    • Re: Non-Union
      Отправитель: Nikolaj Wolfson 29 Март 2005, 09:20
      Уважаемый Александр:

      Псевдоартоза думаю нет: величина и происхождение non union вызывают сомнения по поводу удачи предложенной Вами методики: уж больно много движения в месте non -union. Хотя возможно Вы и правы.
      Regards
      Nikolaj Wolfson

      [ Ответить ]
      • Re: Non-Union
        Отправитель: Александр 29 Март 2005, 16:11
        Позвольте высказать свое мнение.
        Учитывая, что в анамнезе отеомиелит, а сейчас ремиссия, то я бы разбил лечение на 2 этапа.
        1)Закрыто добиться консолидации с помощью апп. Илизарова и восстановить опороспособность ноги.4-5 месяцев.
        2) Через год удлинить голень.
        Открытое вмешательство в зоне псевдоартроза может вызвать обострение инфекции.

        Митрофанов А.И. Курган РНЦ "ВТО" им. акад Илизарова

        [ Ответить ]
        • Re: Non-Union
          Отправитель: Nikolaj Wolfson 30 Март 2005, 01:52
          Александр:

          Спасибо подход интересный.
          Мой взгляд по этому поводу:
          1. ТРУДНОСТЬ добиться консолидации закрыто. Уж больно склеротичны концы проксимального и дистального фрагментов.
          2. Консолидация идет, как правило, быстрее если одновременно идет удлинение в проксимальном отделе б.берц. кости.
          3. Согласен, риск обострения или пробуждения инфекции есть.

          Николай

          [ Ответить ]
          • Re: Non-Union
            Отправитель: Александр 30 Март 2005, 19:51
            Рентгенологически концы отломков достаточно конгруэнтны, по-этому нет проблем для создания хорошей продольной компрессии на стыке, а это эфективный фактор стимуляции регенерации. Если бы концы отломков были атрофичны и истончены , то тогда конечно надо было бы адоптировать отломки. А в данном случае я уверен достаточно закрытой компрессии.
            Касаемо доноврененного удлинения то я бы не сомневался если укорочение было бы 3-4 см., а так, можно рискнуть ,но я не стал бы.
            Если будете выполнять билокальный компрессионно-дистракционный остеосинтез, то хотелось бы узнать какую компановку аппарата вы предполагаете, какое количество спиц.


            Митрофанов Александр Курган, РНЦ"ВТО" им. акад. Илизарова

            [ Ответить ]
    Re: Non-Union
    Alexander Chelnokov 31 Март 2005, 00:28
    Обсуждали сегодня эту ситуацию по телефону с коллегой Кульджановым.
    Появились еще варианты - 1)резекция зоны несращения, размещение там антибиотико-цементного спейсера, стабилизация на пару месяцев в аппарате (возможно, с удлинением в прокимальном отделе). После экспозиции вернуться к вопросу замещения дефекта в дистальном отделе и смены фиксации на гвоздь или locked plate (кейдж с костной пластикой, аутографт, bone transport...)
    2)Выполнить репозицию/alignment в аппарате, сделать чрескожную остеотомию наискосок линии несращения (оптимальную плоскость определить после рентгенографии в положении достигнутой коррекции)
    так, чтобы отсеченная часть прокимального отломка была закреплена с периферическим отломком, и наоборот. Затем дистракция на удлинение.
    Формирующийся регенерат должен включить внутрь себя линию несращения. Вероятно, вторая кортикотомия вверху.
    [ Ответить ]

    • Re: Non-Union
      Отправитель: Alexander Chelnokov 31 Март 2005, 00:40
      Еще один вариант - сделать продольный отщеп на дистальном отломке, отогнуть его спицей с упором, чтобы образовался треугольный дефект основанием проксимально. Он тут же заполняется регенератом. В этот регенерат погрузить конец центрального отломка, а удлинение сделать вверху.


      [ Ответить ]
      • Re: Non-Union
        Отправитель: Nikolay Wolfson 01 Апрель 2005, 00:42
        Dear Alexander:

        Sorry for replying in English. This time from Chicago. Thanks for your and everyone's
        opinion.

        It is amazing that we communicate in this incredibly worldwide space: Ekaterinburg-St
        Louis-Namibia-West Virginia-St Petersburg. Great. There is one thing I would like to suggest: we should communicate in an open, identifying participants name way, rather than "incognito" style. ( see message from ""KK").

        I will update members of Forum about the progress of this interesting case.

        Cheers,

        Nikolaj

        [ Ответить ]
        • Re: Non-Union
          Отправитель: Alexander Chelnokov 01 Апрель 2005, 00:48
          Приветствую, Nik,

          Thursday, March 31, 2005, 9:34:26 AM, you wrote:

          NW> It is amazing that we communicate in this incredibly
          NW> worldwide space: Ekaterinburg-St Louis-Namibia-West Virginia-St
          NW> Petersburg. Great.

          Интересно бы как-то определить, как это общение влияет на нашу клиническую практику.

          NW> There is one thing I would like to suggest: we should communicate
          NW> in an open, identifying participants name way, rather than
          NW> "incognito" style. ( see message from ""KK").

          Есть множество ситуаций, когда использование real name грозит каким-то проблемами.
          Я бы исходил из того, что ценность суждения определяется его содержанием, а не его носителем. И больше бы доверял коллегам - если кто-то использует псевдоним, значит, у него есть для этого основания.

          NW> I will update members of Forum about the progress of this
          NW> interesting case.

          Успехов!

          [ Ответить ]
        • Re: Non-Union
          Отправитель: Evgueny Tchekashkine 01 Апрель 2005, 00:56
          Did you adopt any decision regarding presented case?

          Regards,
          Evgueny

          [ Ответить ]
          • Re: Non-Union
            Отправитель: Nikolaj Wolfson 01 Апрель 2005, 20:10
            Dear friends:Evgueny, Alexander Mitrofanov, and rest of the Forum:

            I owe you an answer, and due to your active participation in the pre-op discussion of the case, I do
            have a plan. It is not final, since tomorrow my patient is going for MRI, and this will give me more
            info about condition ot her tibia, so I can have better idea to what degree to be aggressive with the
            intervention on the site of non-union and tibial fragment. Obviously, it will be just one more piece
            of information in this decision making process, and you may argue its necessity, but, I think it will
            help me, and hopefully, and mainly, the patient.

            So:

            1. Approach: will go from the lateral side and excise part of the fibula, which, if not removed,
            might be on a way and prevent compression at the site of non-union. I will, likely be able to have
            some idea about the ends of the bone fragments of non-union, at that time, and will decide to pen it
            up from the medial side or not, at hat time.

            2. Frame:

            1. Proximal ring 1: level I ( Solomin)

            2. Tibial osteotomy: just below tibial tubercle. I believe this will give the entire lower leg,
            better mechanical and biological environment ( nothing to do with the time saving issue),

            3. Ring #2: ( or may be even two rings) for the tibial fragment below osteotomy ( Level IV, or III
            and IV, if two rings).

            4. Ring at level VIII, distal tibial fragment, with 2-3 wires. The fragment is small( short), and
            while this ring will be connected to the more distal foot part of the frame, with wires going through
            the Calcaneous and metatarsals, and may be on more wire for the Talus, I am concerned, that wires in
            this distal tibial fragment might be a problem from the potential infection point of view, both within
            this fragment as well as ankle joint itself.

            So, this way, I hope it would be possible to achieve immediate stability and compression at the
            non-union site, while staring proximal tibial osteotomy distraction about 10 days after osteotomy, and
            subsequently, may be ( big ?)even distraction at the level of non-union .

            Number of concerns:

            1. Obviously flare up of infection,

            2. Stiffness of the ankle joint,( if non-union will demonstrate evidence of healing, I obviously
            will remove the foot part,but it is likely going to take some time).

            Surgery is booked for Tuesday.

            Nikolaj Wolfson

            [ Ответить ]
            • Re: Non-Union
              Отправитель: Evgueny Tchekashkine 01 Апрель 2005, 23:52
              Hello, Nikolai,


              THank you for the letter.
              As soon as concern No.1 is potential risk of infection flare won't you consider Ga scan
              besides standard inf. markers ESR, CRP ?

              Regards,
              Evgueny

              [ Ответить ]
              • Re: Non-Union
                Отправитель: Nikolay Wolfson 02 Апрель 2005, 13:46
                It's is OK. MRI gives what we need. She is clinically not in any active stage.

                Great to hear from you.

                Nikolaj

                [ Ответить ]

     

    ( Ответить )

    Powered by Zope  Squishdot Powered MedLink
    Посетитель: 0218268
      "По форме правильно, а по существу - издевательство" В.И.Ленин
    ©2001-2019Orthoforum Coordinator.
    [ Главная | Отправить сообщение | Поиск | Админ ]