AOTRAUMA.ORG Центр Илизарова  

Ортопедия и травматология Общие вопросы/General questions Help Информационные технологии в медицине
 вверх
 отправить
 поиск
 админ
 главная


О "допустимых" деформациях
Ортопедия и травматология Отправлено Юрий Алексеевич Булахтин 03 Апрель 2005, 14:15 Камчатский Военно - морской госпиталь
Уважаемые коллеги! Хотел-бы продолжить разговор о "допустимых" деформациях при переломах нижней конечности.
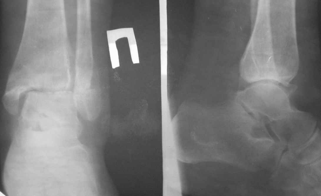
На консультацию пришла больная 39 лет, перелом лодыжек 8 месяцев назад. Лечилась консервативно в одном из стационаров области.Сейчас беспокоят постоянный болевой синдром и отек, затрудняющий ношение стандартной обуви. На КТ - межберцовый синдесмоз 4,5 мм (на здоровой ноге - 2,0 мм). Деформирующие краевые костные разрастания по внутренней замыкательной пластине мало-, большеберцовой и таранной костей. Какие будут соображения по дальнейшей тактике: 1. надо-ли оперировать?2. если "да", то что делать?

<  |  >

 

  • Сообщения о Ортопедия и травматология
  • Также Юрий Алексеевич Булахтин
  • Связаться с автором
  • Ответить

    Re: О "допустимых" деформациях
    Alexander Chelnokov 03 Апрель 2005, 18:04
    Со вторым снимком какой-то глюк, отправьте еще раз, pls.
    [ Ответить ]

    Re: О "допустимых" деформациях
    крылов андрей 03 Апрель 2005, 22:09
    Юрий Алексеевич.
    Если больная согласится, то мое мнение, нужно артродезировать голеностопный сустав. Ни какими другими способами от болевого синдрома не избавиться.
    Крылов Андрей
    [ Ответить ]

    Re: О "допустимых" деформациях
    Alexander Chelnokov 03 Апрель 2005, 22:45
    ЮАБ> Хотел бы продолжить разговор о "допустимых" деформациях при
    ЮАБ> переломах нижней конечности.
    ЮАБ> На консультацию пришла больная 39 лет, перелом лодыжек 8 месяцев

    Вообще-то разговор шел о внесуставных деформациях, после диафизарных переломов. Поврждения суставов - это со-о-о-о-овсем другая история.

    ЮАБ> На КТ - межберцовый синдесмоз 4,5 мм (на
    ЮАБ> здоровой ноге - 2,0 мм). Деформирующие краевые костные разрастания по
    ЮАБ> внутренней замыкательной пластине мало-, большеберцовой и таранной

    Снимки бы поглядеть. Но в целом можно согласиться с мнением об артродезе - это оптимальная операция в таком случае. И функциональные результаты хорошо сделанного артродеза в отдаленные сроки практически те же, что и после восстановительных операций.
    [ Ответить ]

    Re: О "допустимых" деформациях
    Alexander Artemiev 04 Апрель 2005, 09:31
    Здравствуйте.
    Скорее всего рано или поздно встанет вопрос об артродезе.
    По-моему, уже говорил об этом. Но повторюсь.
    Не уговаривайте пациентку на эту операцию.
    До неё она должна созреть.
    Пусть походит полгодика-год.
    Когда придет (приползет) - тогда и оперируйте.
    Артродез тоже непростая операция, после неё беспокоят боли,
    отек. К тому же исчезает подвижность. Иногда неудачная
    установка стопы, и пр.

    Резюме - артродез по настоятельной просьбе больной.
    Удачи.
    Александр Артемьев
    [ Ответить ]

    • Re: О "допустимых" деформациях
      Отправитель: Alexander Chelnokov 06 Апрель 2005, 20:13
      a> Не уговаривайте пациентку на эту операцию.
      a> До неё она должна созреть.
      a> Пусть походит полгодика-год.
      a> Когда придет (приползет) - тогда и оперируйте.

      А смысл заставлять больного маяться, если жалобы уже есть?
      Диагноз определяет и прогноз. Если проблема очевидна уже сегодня, стоит ли откладывать ее решение на долгий срок?

      a> Артродез тоже непростая операция, после неё беспокоят боли,
      a> отек.

      Зачем делать _такой_ артродез? :-/
      Результатом замыкания сустава как раз должно являться исчезновение боли.

      a> К тому же исчезает подвижность.

      Зато в суставах Шопара и Лисфранка она компенсаторно увеличивается...

      a> Иногда неудачная установка стопы, и пр.

      А установкой стопы управляет случайность?

      a> Резюме - артродез по настоятельной просьбе больной.

      Есть больные, которые маются годами. И потом говорят, если б я знал/не отговаривали/не сулили успеха от
      лекарств-электролечения-всякого-другого-муму, я бы давно пришел.
      Первичный артродез при застарелом повреждении - вполне нормальный вариант, имеющий свои плюсы. В частности, операция выполняется в отсутствие грубых периартикулярных изменений. Делается лишь одна операция - первая, она же и последняя. Экономим свои силы и средства, и не мучаем больного сначала восстановительными операциями.
      Соответственно, период реабилитации и нетрудоспособности - всего один, и не самый длинный.

      [ Ответить ]
      • Re: О "допустимых" деформациях
        Отправитель: Alexander Artemiev 06 Апрель 2005, 22:37
        AC> А смысл заставлять больного маяться, если жалобы уже есть?
        AC> Диагноз определяет и прогноз. Если проблема очевидна уже сегодня,
        AC> стоит ли откладывать ее решение на долгий срок?
        Очевидна - кому???
        Вам - может быть. Но больной ещё верит в светлое будущее.

        AC> Зачем делать _такой_ артродез? :-/
        Мне приходилось видеть несостоявшиеся артродезы после двух операций, направленных на это. В смысле у одного больного две неудачные попытки.


        AC> Результатом замыкания сустава как раз должно являться исчезновение
        AC> боли.
        В голеностопном суставе - да.
        a>> К тому же исчезает подвижность.
        AC> Зато в суставах Шопара и Лисфранка она компенсаторно увеличивается...
        a>> Иногда неудачная установка стопы, и пр.

        AC> А установкой стопы управляет случайность?
        "..Травматология - наука о всевозможных случайностях.."
        С.С.Юдин

        a>> Резюме - артродез по настоятельной просьбе больной.
        AC> Есть больные, которые маются годами. И потом говорят, если б я знал/не
        AC> отговаривали/не сулили успеха от
        AC> лекарств-электролечения-всякого-другого-муму, я бы давно пришел.
        Это не самая неприятная ситуация.
        С уважением Александр Артемьев

        [ Ответить ]
        • Re: О "допустимых" деформациях
          Отправитель: Alexey Mozgounov 06 Апрель 2005, 22:39
          a> "..Травматология - наука о всевозможных случайностях.."
          a> С.С.Юдин

          Или МЕДИЦИНА вообще?

          [ Ответить ]
          • Re: О "допустимых" деформациях
            Отправитель: Alexander Artemiev 06 Апрель 2005, 22:41
            AVM> Или МЕДИЦИНА вообще?
            Привожу цитату целиком:
            "Что такое травматология? Что это - научная дисциплина или
            лечебная специальность? Ни то, ни другое, и таковыми она не может
            быть по самой сути дела. Если связующим фактором для объединения
            взять самую травму, то никакой научной проблематики не удасться
            выдумать, как бы ни стараться.
            Травма слишком разнообразна и по обстоятельствам
            (бытовая, профессиональная, уличная, военная), и
            по орудию, причиняющему её (тупые предметы, колющие, режущие,
            огнестрельные всех видов, ожоги, отморожения, многжество
            химикалий, солнечный удар, молния, электричество), и по органам и
            отделам тела (конечности, голова, глотка, сердце, кишечник и пр.)
            Ни причины, ни поводы, ни механизм всех этих видов травмы не
            имеют ничего общего, кроме случайности.
            Всегда это - или
            несчастный случай, или недосмотр, или стихийное бедствие, или
            преступление. Таким образом, если бы травматология ставила себе
            задачей научное изучение травматизма как являения жизни, то это
            была бы наука о всевозможных случайностях".
            (С.С.Юдин "Вопросы военно-полевой хирургии и переливание
            посмертной крови", Маедгиз - 1960-Москва. с.19-20).

            С уважением Александр Артемьев

            [ Ответить ]
            • Re: О "допустимых" деформациях
              Отправитель: Alexander Chelnokov 06 Апрель 2005, 22:57
              Совсем другой смысл, чем у выдернутой из контекста одной этой фразы.
              То есть к оперативному лечению переломов и их последствий высказывание отношения не имеет. Мы же говорим о том, что в мире называется "ортопедия", а не о травматизме и его причинах.
              Так что положением стопы при артродезе все-таки должен управлять не случай.

              [ Ответить ]
        • Re: О "допустимых" деформациях
          Отправитель: Alexander Chelnokov 06 Апрель 2005, 23:25
          AC>> стоит ли откладывать ее решение на долгий срок?
          a> Очевидна - кому???

          Компетентному специалисту, вестимо.

          a> Вам - может быть. Но больной ещё верит в светлое будущее.

          Надо ли фантазии больного полагать решающим фактором при выборе тактики?

          a> Мне приходилось видеть несостоявшиеся артродезы после двух операций,
          a> направленных на это. В смысле у одного больного две неудачные попытки.

          Такой результат - разве правило? И после остеосинтеза бывают и несращения, и остеомиелиты, и разные другие неприятности... Понятно, что у технически небезупречно сделанной операции шансов на проблемы больше.

          AC>> лекарств-электролечения-всякого-другого-муму, я бы давно пришел.
          a> Это не самая неприятная ситуация.

          Припоминаю давний случай, когда больной с последствиями полиомиелита был сделан артродез голеностопного сустава (по ее просьбе уже что-то сделать). Ранее стопа многократно оперирована. Случился некроз всей раны, выпола полоса кожи 3 см шириной. Больная крала истоию болезни, писала в ЦК КПСС, дарила всем книжки, через неделю их забирала и писала жалобы в прокуратуру... Меня как лечащего врача доставала лет 7, когда я уже давно работал в другом подразделении. Последние лет 5 чаще благодарила, потому как анкилоз состоялся, и стало ей получше ходить.

          [ Ответить ]
    Re: О "допустимых" деформациях
    Alexey Mozgunov 04 Апрель 2005, 15:48
    У больной неправильно сросшщийся перелом внутренней лодыжки (передний
    "клюв" порядка 5 мм).
    О наружной лодыжке (угол, длина) - даже не упоминаю.
    Я бы начал с реконструкции.

    А после консолидации возможна артроскопическая "санация" сустава,
    и столь нелюбимые хондропротекторы.
    :-)

    А артродез сделать несложно...
    [ Ответить ]

    Re: О "допустимых" деформациях
    питкевич юрий 04 Апрель 2005, 23:55
    артродез сделать никогда не поздно. Я бы начал с реконструкции: ревизия зоны синдесмоза, перелома в/лодыжки ( скорее всего там ложный сустав) и внутренней части сустава. Затем стяжка и остеосинтез в/лодыжки.
    [ Ответить ]

    Re: О "допустимых" деформациях
    Anatoly F. Lazarev 06 Апрель 2005, 15:39
    Привет Всем! В Е-Бурге в свое время была с успехом защищена кандидатская диссертация по первичному артродезу голеностопного сустава А.М. Лавруковым.
    Довольно доказательно и успешно, кроме того бала разработана операция, которая с некоторыми поправками может применяться как малоинвазивная. Сашуля
    Нмколаевич, ты должен знать. Успехов ЛАФ.
    [ Ответить ]

    • Re: О "допустимых" деформациях
      Отправитель: Alexander Chelnokov 06 Апрель 2005, 23:03
      Да, на наше мировозррение в отношении артродеза эта работа сильно повлияла. Пытаюсь Александра Михалыча Лаврукова приобщить к сетевому сообществу, но он пока трудно поддается. Попыток не бросаю.

      [ Ответить ]

     

    ( Ответить )

    Powered by Zope  Squishdot Powered MedLink
    Посетитель: 0199704
      "По форме правильно, а по существу - издевательство" В.И.Ленин
    ©2001-2019Orthoforum Coordinator.
    [ Главная | Отправить сообщение | Поиск | Админ ]