AOTRAUMA.ORG Центр Илизарова  

Ортопедия и травматология Общие вопросы/General questions Help Информационные технологии в медицине
 вверх
 отправить
 поиск
 админ
 главная


fraktur
Ортопедия и травматология Отправлено Waldemar Kindsvater 09 Апрель 2005, 00:39
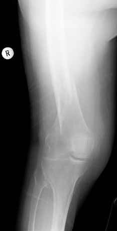
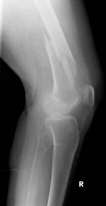
Уважаемые коллеги, Было бы интересно узнать вашу тактику при остеосинтезе этого перелома.

С уважением Вальдемар.

<  |  >

 

  • Сообщения о Ортопедия и травматология
  • Также Waldemar Kindsvater
  • Связаться с автором
  • Ответить

    Re: fraktur
    Alexander Chelnokov 09 Апрель 2005, 00:48
    Видно спиральный перелом дистального метадиафиза бедра. У нас бы сделали антеградный закрытый интрамедуллярный остеосинтез.
    А чем обусловлен вопрос?
    [ Ответить ]

    • Re: fraktur
      Отправитель: Юрий Алексеевич 09 Апрель 2005, 15:02
      Уважаемые коллеги,а почему бы не выполнить остеосинтез динамическим бедренным фиксатором?

      [ Ответить ]
      • Re: fraktur
        Отправитель: Alexander Chelnokov 09 Апрель 2005, 23:12
        А почему именно им? Был бы это T-образный перелом, тогда понятно - динамическим винтом можно стянуть мыщелки.
        Для фиксации такого перелома можно применить чуть не все методы - и клинковую пластину, и мыщелковую (и обычную, и Locked), и LISS, и анте-, и ретроградный гвоздь, и аппарат... Интересно, какими факторами надо руководствоваться при выборе, если доступно все перечисленное?

        [ Ответить ]
        • Re: fraktur
          Отправитель: Waldemar Kindsvater 09 Апрель 2005, 23:12
          Я думаю нужно делать то, что у тебя лучше всего получается.

          От пластин и аппаратов на бедре мы отошли, чаще стараемся использовать гвозди, но их тоже куча...

          На следующей недели пришлю результаты.

          Вальдемар.

          [ Ответить ]
          • Re: fraktur
            Отправитель: Alexander Chelnokov 11 Апрель 2005, 22:25
            w> Я думаю нужно делать то, что у тебя лучше всего получается.

            Прежде, чем узнать, что лучше получается, надо хотя бы по разу попробовать? Ну и первые разы, вероятно, любое будет получаться не очень.

            w> От пластин и аппаратов на бедре мы отошли, чаще стараемся
            w> использовать гвозди, но их тоже куча...
            w> На следующей недели пришлю результаты.

            Попробуяю угадать - ретроградный гвоздь? Ну а все-таки - выбор способа фиксации на чем базируется?

            [ Ответить ]
            • Re: fraktur
              Отправитель: Waldemar Kindsvater 11 Апрель 2005, 22:25
              >Попробуяю угадать - ретроградный гвоздь?

              Вы угадали.

              >Ну а все-таки - выбор способа фиксации на чем базируется?

              1. остеосинтез должен быть достаточно стабилен,

              2. минимальная травматизация мягких тканей,

              3. ранняя безболезненная подвижность в соседствующих суставах

              4. ранняя аксиальная нагрузка нижней конечности

              Это мое мнение. Второй и четвертый пункты при пластинах не выполняются.

              С уважением

              Вальдемар.

              [ Ответить ]
              • Re: fraktur
                Отправитель: Alexander Chelnokov 11 Апрель 2005, 23:28
                w> 3. ранняя безболезненная подвижность в соседствующих суставах
                w> 4. ранняя аксиальная нагрузка нижней конечности
                w> Это мое мнение. Второй и четвертый пункты при пластинах не выполняются.

                В общем, вполне здраво.
                А вот эти два пункта - при антеградном остеосинтезе они не лучше получаются, как полагаете?

                [ Ответить ]
          • Re: fraktur
            Отправитель: Пак Леонид 22 Апрель 2005, 17:18
            интересное заявление, по моему в медицине к каждому пациенту и к каждому конкретному случаю свой подход! и то что вы отошли от пластин и аппаратов как минимум печально а как максимум недопустимо!


            [ Ответить ]
            • Re: fraktur
              Отправитель: Alexander Chelnokov 24 Апрель 2005, 16:21
              Не так уже все печально и недопустимо, если учесть, что "отошли от пластин" не к скелетному вытяжению или тазобедренной гипсовой повязке, а в сторону еще более эффективных хирургических альтернатив.

              [ Ответить ]

     

    ( Ответить )

    Powered by Zope  Squishdot Powered MedLink
    Посетитель: 0204750
      "По форме правильно, а по существу - издевательство" В.И.Ленин
    ©2001-2019Orthoforum Coordinator.
    [ Главная | Отправить сообщение | Поиск | Админ ]