вверх
отправить
поиск
админ
главная
|
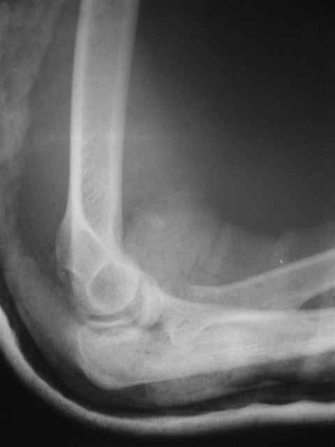
Вывих костей предплечья и перелом головки лучевой кости. |
 |
 |
 |
Отправлено Anatoly Borzunov 25 Апрель 2005, 00:05
Уважаемые коллеги!Помогите с источниками литературы по вопросу о сроках резекции головки лучевой кости и гетеротопической оссификации после вывиха костей предплечья. Необходимо ответить на жалобу, где больная просит возместитьматериальные затраты на лечения с лечащих врачей, которые участвовали влечении с 4.09.04 по 10.11.04, объясняет, что врачи нарушили стандарты леченияи поздно направили на оперативное лечение.История болезни, женщина 46 лет упала дома 4.09.04, получила заднелатеральныйвывих костей предплечья и перелом головки лучевой кости, под местной анестезиейвывих вправлен, на контрольной рентгенограмме соотношение отломков головкилучевой кости расценено, как удовлетворительное. Наложена задняя гипсовая шина.Лечение: холод, кетанов 3 дня, магнитотерапия, ЛФК пальцев, рентген контрольчерез 7 дней, с 8.09.05 наклофен 50 мг 2 раза в день. 11.09.04 на контрольной рентгенограмме состояние отломков прежнее. 30.09.04. Гипсовая шина снята через 26 дней. Лечение: ЛФК, массаж, электрофорезлидазой.9.10.04. В левом локтевом суставе сгибание 80, разгибание 120.19.10.04. Сгибание 80, разгибание 140, ротационные движения в пределах 10 гр.28.10.04. Сгибание 80, разгибание 150, ротационные движения в пределах 10 гр.10.11.04. На рентгенограмме локтевого сустава отмечается гетеротопическаяоссификация.Учитывая неэффективность консервативного лечения, больная направлена на оперативноелечение.Больная по собственным каналам уехала в г. Киев, где произведенарезекция головки лучевой кости, после операции развился неврит лучевого нерва.На данный момент больная продолжает лечение у нейрохирурга.-- С уважением,Анатолий Борзунов
<
|
>
|
|
Ответить
|
Re: Вывих костей предплечья и перелом головки луче
Alexey Mozgounov 25 Апрель 2005, 00:06
|
AB> лечении с 4.09.04 по 10.11.04, объясняет, что врачи нарушили стандарты лечения
AB> и поздно направили на оперативное лечение.
Какие именно стандарты?
Рекомендации по резекции головки луча в необходимых случаях?
А есть такие стандарты? В России?
Если что-то нашли - покажите, будет интересно ознакомиться.
AB> История болезни, женщина 46 лет упала дома 4.09.04, получила
AB> заднелатеральный
Помню, читал одну статью... и не помню чью...
Но там говорилось, что если
употреблять 2 термина - то либо 2 латинских, либо оба "русских" -
"задненаружный вывих" или
"постеролатеральный"...
AB> вывих костей предплечья и перелом головки лучевой кости, под местной анестезией
AB> вывих вправлен, на контрольной рентгенограмме соотношение отломков головки
AB> лучевой кости расценено, как удовлетворительное.
А есть снимки?
AB> Больная по собственным каналам уехала в г. Киев,
Dear Anatoliy,
а больная откуда?
(коль уж вы говорите о Киеве...)
...
Вот тут и возникает вопрос о необходимости signature в конце письма...
AB> где произведена
AB> резекция головки лучевой кости, после операции развился неврит лучевого нерва.
AB> На данный момент больная продолжает лечение у нейрохирурга.
Хорошо, неврит развился...
А как с объемом движений????
С ротационными (было в пределах 10... кстати... в сумме или в обе
стороны?)
С разгибанием (было 150... норма - 180... хотя ФУНКЦИОНАЛЬНОЕ
разгибание все 160, это когда рука просто висит вниз...)?
Со сгибанием (было 80...)?
В чем конкретно недовольство больной?
А недовольство (обоснованное) должно идти не из того, что ей сказали в
г. Киеве (если дейтвительно сказали), а из того, что она реально после
г. Киева получила...
Получила ли что?
Окромыя неврита?
Или сгибание улучшилось?
Или ротация в предплечье?
Или и то и другое?
--
Best regards,
~~~~~~~~~~~~~~~~~~~~~~~~~~~~~~~~~~~~~~~~~~~~~~
Aleksey V. Mozgounov
|
[
Ответить ]
|
Re: Вывих костей предплечья и перелом головки луче
Отправитель: Anatoly Borzunov 25 Апрель 2005, 00:16
|
Mozgounov> Какие именно стандарты?
Видиммо ее консультируют наши коллеги, потому что муж больной во время встречи по жалобе неонократно упомина, что ему нужен ответ, соблюдены ли стандарты лечения. Я нашел стандарты оказания медицинской помощи в стационарах лечебных учреждений Украина (точное название не переписал, так как цитировать практически нечего) МЗ Украины 1999 г. Есль необходимо посмотрю и перешлю.
В этих стандартах нашел вывих в локтевом суставе (рентгенография в 2-х проекциях, обязательно описать неврологический статул и кровоснабжение, стационарное лечение 1-2 дня, амбулаторное лечение 12-21 день.
Закрытый перелом верхнего концо лучевой кости, 12-21 день амбулаторное лечение. Повторное стационарное лечение.
Mozgounov> употреблять 2 термина - то либо 2 латинских, либо оба "русских" -
Спасибо. Логично. Ранее не обрашал на это внимание
Mozgounov> А есть снимки?
Во время встречи фотоаппарата не было, забрать снимки на время, муж больной снимки не разрешил.
Mozgounov> а больная откуда?
Mozgounov> (коль уж вы говорите о Киеве...)
г. Евпатория, Крым, Украина
Mozgounov> Хорошо, неврит развился...
Mozgounov> А как с объемом движений????
В локтевом суставе сгибание 80*, разгибание 150*, наружняя ротация 25*, внутрення ротация 35*.
Mozgounov> С ротационными (было в пределах 10... кстати... в сумме или в обе
Mozgounov> стороны?)
До операции 10* амплидуда в обе стороны.
Mozgounov> В чем конкретно недовольство больной?
Mozgounov> А недовольство (обоснованное) должно идти не из того, что ей сказали в
Mozgounov> г. Киеве (если дейтвительно сказали), а из
Желает получить денег, считая, что ее неправильно лечили.
--
С уважением,
Анатолий Борзунов
|
[
Ответить ]
|
|
Re: Вывих костей предплечья и перелом головки луче
Evgueny Tchekashkine 25 Апрель 2005, 00:07
|
Уважаемый Анатолий,
зайдите на http://www.google.com поисковый сайт
и напечатайте radial head resection
Удачи в поиске,
Евгений
|
[
Ответить ]
|
Re: Вывих костей предплечья и перелом головки луче
Отправитель: Aleksey V. Mozgounov 25 Апрель 2005, 00:22
|
Самое интересное, что сейчас сплошь и рядом наблюдается следующая тенденция -
вместо резекции головки делать эндопротезирование (или ORIF)...
дабы избежать Эссекс-Лопрести лижин'а or вальгусной деформации в отдаленном периоде...
Я имею в виду МедЛайн...
Много ли можно найти по данному запросу?
Особенно применительно к нашим реалиям?
Резюме...?
Хоть и нет снимков, а головку действительно наверное надо было
от....-ть...
Так проще.
Для всех.
...
Вот операция.
Вот заживление раны.
Вот разработка.
Вот полный объем движений.
Или почти близкий к нему.
Какие-то проблемы спустя 2-3-5 лет?
Ни один адвокат не докажет, что больная пролечена была неправильно.
Хочешь эндопротез?
Да ради бога... Плати бабки и езжай зарубеж.
Или где-то в России ставят эндопротезы головки луча?
Поделитесь где...
--
Best regards,
~~~~~~~~~~~~~~~~~~~~~~~~~~~~~~~~~~~~~~~~~~~~~~
Aleksey V. Mozgounov, M.D., Ph.D.,
|
[
Ответить ]
|
Re: Вывих костей предплечья и перелом головки луче
Отправитель: Evgueny Tchekashkine 25 Апрель 2005, 00:33
|
Уважаемый Алексей,
Вы указали последствия резекции головки луча: нестабильность, вальгусная деформация, влияние на дистальное радиоульнарное сочленение, поэтому при изолированных или сочетанных повреждениях гоовки, стараюсь ее *собрать*, фиксируя межфрагментарными 1,5 - 2,0 мм винтами, по ситуации + L-пластиной. Отмечается ограничение амплитуды ронации-супинации впоследствии, но локтевой сустав остается стабильным. Результаты протезирования головки флотирущими имплантами функционально удовлетворительны и применительны к случаям, когда *собрать* мнооскольчатый перелом невозможно.
На том же поисковике есть много статей по теме и артропластике в том числе.
Всего наилучшего,
Евгений
|
[
Ответить ]
|
|
Re: Вывих костей предплечья и перелом головки луче
Alexander Rykov 25 Апрель 2005, 00:08
|
Здравствуйте Анатолий. Вмешаюсь в разговор, так как подобное слу чалось.
Никаких стандартов по реконструктивным вмешательствам после травмы в локтевом суставе в России и наверное в Украйне нет и быть не может. Так что не волнуйтесь. Вероятная цель Вашей бывшей пациентки ясна - получить денюшки с кого нибудь. "С паршивой овцы хоть шерсти клок". Вы не паршивая овца. И не унижайтесь до конкретики. Ситуация ныне стандартная. Чем меньше вы будете с ней и ее родными общаться тем лучше. Любое удовлетворение пациентки сейчас и в любой форме может повлечь за собой еще большие претензии, так как результат вряд ли будет устраивать ее. Тот кто повесил кисть в "ортопедическом привете" в своих попытках обелить себя, может обвинить всех и вся на предыдущих этапах. Хотя и это осложнение случается у любого. Если подадут в суд на разборки, тогда и будете отбиваться от конкретных претензий - не Вы, а Ваше ЛПУ (слава богу). С ув. А Рыков.
Хабаровка.
|
[
Ответить ]
|
Re: Вывих костей предплечья и перелом головки лучевой кости.
Игорь 25 Апрель 2005, 15:01
|
По поводу дальнейшей врачебной тактики - полностью согласен с А. Рыковым.
По поводу лечения - всем известна коварность локтевого сустава, поэтому однозначный ответ в этом случае дать очень трудно. Во всяком случае, если у пациентки все это время сохранялся подвывих головки луча, то это конечно нехорошо, но если контрактура возникла на фоне удовлетворительной репозиции - это недостатки реабилитационного лечения (в том числе - зачем физиолечение на локтевой сустав? по нашим данным, физиолечение как раз и может вызвать появление костных разрастаний).
С ув. И. Кучерявый
|
[
Ответить ]
|
( Ответить )
|
|