AOTRAUMA.ORG Центр Илизарова  

Ортопедия и травматология Общие вопросы/General questions Help Информационные технологии в медицине
 вверх
 отправить
 поиск
 админ
 главная


уровень остеотомии
Ортопедия и травматология Отправлено Anton Vladzymyrskyy 29 Апрель 2005, 20:32
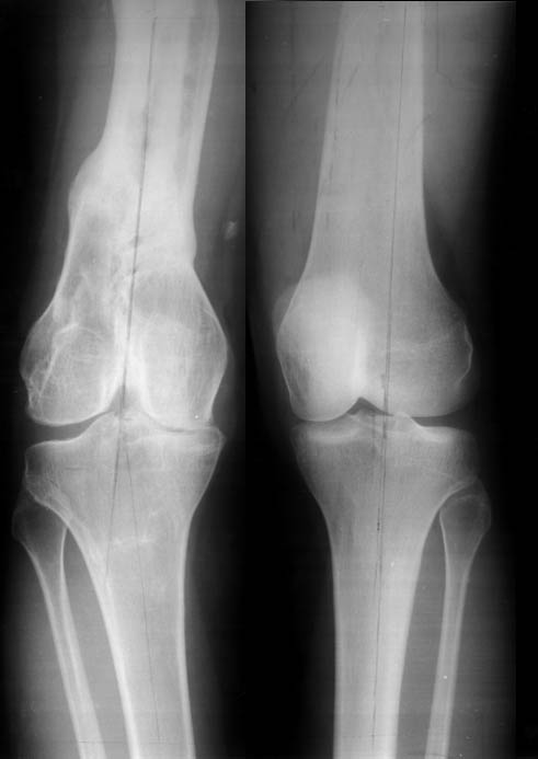
Женщина, 29 лет.В 2001 году получила политравму (таз, открытый многооскольчатый перелом правой бедренной кости на границе средней и нижней трети со смещением,
открытый перелом правой голени, пятки, закрытый - правого надколенника, поперечного отростка L4, пальцев кисти, сотрясение головного мозга).
Переломы конечностей лечились АВФ.В настоящее время стойкая разгибательная контрактура правого коленного сустава (сгибание 105-110 гр., разгибание 160-165 гр.), варусная деформация, болевой синдром.
Вопросы: 1.Определение уровня корригирующей остеотомии для устранения варусной деформации правой нижней конечности (остеотомия на бедре или голени)?
2. Рекомендации по оперативному пособию для устранения посттравматической варусной деформации правой нижней конечности?
Заранее благодарю!
С уважением,
А.В.Владзимирский
Донецкий НИИ травматологии и ортопедии
Донецк, Украина

<  |  >

 

  • Сообщения о Ортопедия и травматология
  • Также Anton Vladzymyrskyy
  • Связаться с автором
  • Ответить

    Re: уровень остеотомии
    Alexander Chelnokov 29 Апрель 2005, 20:51
    AV> деформации правой нижней конечности (остеотомия на бедре или голени)?

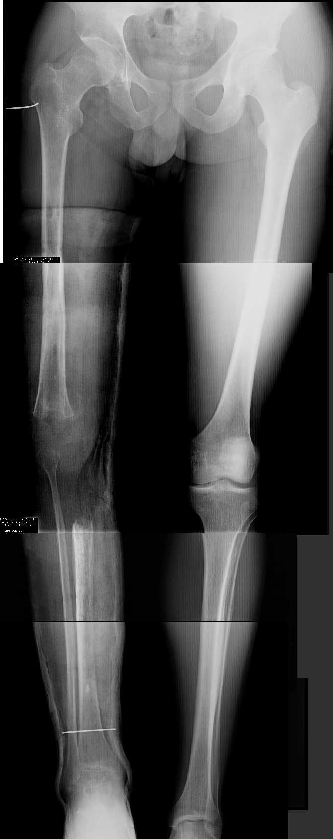
    Даже по этим коротким снимкам видно, что варусная деформация на уровне бедра. Хотя для полноценной оценки оси сделать надо снимок всей конечности, от таза до стопы. Наклеить метки на кожу, по которым сделать склейку. И профиль бы тоже неплохо посмотреть.

    AV> 2. Рекомендации по оперативному пособию для устранения
    AV> посттравматической варусной деформации правой нижней конечности?

    Антон, не надо так абстрактно формулировать вопрос для получения релевантных ответов ;-)
    В чем именно неясность и колебания? Постепенно или одномоментно? Плюс или минус клин? Чем фиксировать? Надо ли одновременно что-то сделать по поводу контрактуры? Уточни проблему.
    [ Ответить ]

    Re: уровень остеотомии
    Виктор П. Волошин 30 Апрель 2005, 01:51
    Уважаемый Антон, при определении уровня остеотомии и величины коррекции руководствуемся, обычно, необходимостью обеспечить нормаль механической оси к середине опорной поверхности большеберцовой кости. Расчет производится по рентгенограмме (рентгенограммам) конечности под нагрузкой, которые визуализируют положение головки бедренной кости относительно таранной кости. На представленных рентгенограммах определить эти реперные точки (и заслужить Вашу зараннюю благодарность) не представляется возможным. Остается неясным с каким исходом сросся перелом правой большеберцовой кости. Складывается впечатление, что нанесены не механические, а анатомические оси. Исправлять проще за счет "минус - кость", но механически правильнее "плюс". Чтобы выполнить механические требования, иногда на ряду с угловой коррекцией (деваризация-экстензия, т.к. имеется не только разгибательная, но и сгибательная контрактура)необходимо медиолатеральное смещение.
    ВВП
    [ Ответить ]

    Re: уровень остеотомии
    Alexander Artemiev 01 Май 2005, 10:01
    Здравствуйте, Антон и коллеги.
    Однозначно на Ваши вопросы ответить невозможно.
    Прежде всего необходимо выполнить рентгенографию в таком положении, как это показано на рис.










    После этого представится возможность оценить ось и сравнитьеё с нормой Рисунки из кники Dror Paley - Принципы коррекции деформаций. Этой теме посвящены 800 страниц. Хотя, учитывая контрактуру, это исследование не будет исчерпывающим.

    Показания к корригирующей остеотомии при наличии сопутствующих проблем представлются сомнительными. Что это даст? Скорее всего - усугубит контрактуру. В любом случае сейчас основные усилия надо посвятить разаработке коленного сустава.

    Что касается прямого ответа на поставленные вопросы, то остеотомию нужно выполнять на том сегменте, который деформирован. Однако не на вершине деформации - слишком травматично на фоне склероза и периостальной мозоли. Лучше ниже или выше.

    С уважением Александр Артемьев
    [ Ответить ]

    • Re: уровень остеотомии
      Отправитель: Alexander Chelnokov 01 Май 2005, 11:55
      a> Показания к корригирующей остеотомии при наличии сопутствующих проблем
      a> представлются сомнительными. Что это даст?

      Согласен. Заданные Антоном вопросы говорят, что коллеги лечебной задачей считают один аспект - исправление оси конечности во фронтальной плоскости. Так ли это? IMHO надо уточнить, что его беспокоит на первом плане, чего он хочет - избавиться от "болевого синдрома" (боль где, какая, когда?), устранить укорочение, хромоту, увеличить амплитуду в колене, улучшить внешний вид, еще что-то... Потом решить, что ему реально нужно.

      a> Скорее всего - усугубит контрактуру. В любом случае сейчас
      a> основные усилия надо посвятить разаработке коленного сустава.

      Узкая задача изменения оси бедра с немедленной возможностью движений с уже имеющейся амплитудой - технически решаема (чрескожная остеотомия и закрыто гвоздь с блокированием). Но, присоединяюсь к твоим соображениям, вряд ли это решит проблему больного. А учитывая 4-летний стаж контрактуры, и на разработку надежды немного...

      [ Ответить ]
    • Re: уровень остеотомии
      Отправитель: Aleksey V. Mozgounov 03 Май 2005, 09:31
      a> Прежде всего необходимо выполнить рентгенографию в таком положении,
      a> как это показано на рис. (см. вложение).
      a> После этого представится возможность оценить ось и сравнитьеё с нормой
      a> Рисунки из кники Dror Paley - Принципы коррекции
      a> деформаций.

      Рисунок хороший,
      но вот у нас например нет таких длинных пленок...
      потому делаем так, как писал Александр - приклеиваем проволоку на
      кожу...
      и в два захода...
      в том смысле что поттом сопоставляем по меткам...

      но вот мне почему то думается что в Донецке прекрасно знают как делать
      снимки всей нижней кончености... и с метками и по рис. из Палея...

      a> Показания к корригирующей остеотомии при наличии сопутствующих проблем
      a> представлются сомнительными. Что это даст? Скорее всего - усугубит
      a> контрактуру. В любом случае сейчас основные усилия надо посвятить
      a> разаработке коленного сустава.

      AV> многооскольчатый перелом правой бедреннойљ кости на границе
      AV> средней и нижней трети со смещением,
      AV> В настоящее время стойкая разгибательная контрактура правого
      AV> коленного сустава (сгибание 105-110 гр., разгибание 160-165 гр.),
      AV> варусная деформация, болевой синдром.
      А как часто на фоне такой травмы удается достичь реабилитации?
      И что считать адекватным уровнем разработки?
      И солько по времени ей следует заниматься? Особенно если она будет
      неудачна?
      И каков процент положительных исходов консервативного/оперативного
      лечения?
      ...
      Все это к тому, что положительный результат на фоне всего выше
      изложенного действительно под великим вопросом...
      и именно исходя из этого мне кажется Антон и ставил свой
      вопрос...
      Почему не спасать коленный сустав в первую очередь, а заниматься
      малорезультатным лечением контрактуры?

      a> Что касается прямого ответа на поставленные вопросы, то остеотомию
      a> нужно выполнять на том сегменте, который деформирован.
      А почему?
      В принципе, ход мыслей понятен и с ним нельзя не согласиться, но здесь...
      как мне кажется...
      имеется S-образная деформация бедра на фоне "многооскольчатого
      перелома правой бедреннойљ кости на границе средней и нижней трети со смещением"
      (хотя "длинные" снимки конечно же не помешали бы...)
      Почему же не вмешаться на в/3 голени (вальгизировать)?
      По крайней мере это не усугубит контрактуры в коленном суставе но
      позволит нормально перераспределить нагрузку...

      [ Ответить ]
      • Re: уровень остеотомии
        Отправитель: Alexander Artemiev 05 Май 2005, 00:12
        AVM> но вот у нас например нет таких длинных пленок...
        У нас тоже нет таких пленок. Просто сдвигаешь несколько кассет.
        Чтобы стоя - простой планшет из фанеры. В крайнем случае можно
        лежа.
        Если извествен тот сегмент, который деформирован, то можно
        снять именно его (получатся, например, на двух сдвинутых
        кассетах оба бедра с тазобедренными и коленными суставами).
        Особенность режима съемки при увеличении фокусного расстояния -
        снижение напряжения и увеличение экспозиции.

        AVM> потому делаем так, как писал Александр - приклеиваем проволоку на
        AVM> кожу...
        AVM> и в два захода...
        Скорее всего не избежать какого-то шевеления пациентра, поэтому велика
        погрешность.

        a>> Показания к корригирующей остеотомии при наличии сопутствующих проблем
        a>> представлются сомнительными. Что это даст? Скорее всего - усугубит
        a>> контрактуру. В любом случае сейчас основные усилия надо посвятить
        a>> разаработке коленного сустава.


        AVM> А как часто на фоне такой травмы удается достичь реабилитации?
        AVM> И что считать адекватным уровнем разработки?
        AVM> И солько по времени ей следует заниматься? Особенно если она будет
        AVM> неудачна?
        AVM> И каков процент положительных исходов консервативного/оперативного
        AVM> лечения?

        Пардон, изначально был задан вопрос об уровне остеотомии.
        Так вот на фоне всех перечисленных проблем целесообразность остеотомии вызывает сомнения.

        AVM> Все это к тому, что положительный результат на фоне всего выше
        AVM> изложенного действительно под великим вопросом...
        Ну вот именно...

        a>> Что касается прямого ответа на поставленные вопросы, то остеотомию
        a>> нужно выполнять на том сегменте, который деформирован.
        AVM> А почему?

        Ну как ответить? Потому что.
        А на каком ещё?


        AVM> В принципе, ход мыслей понятен и с ним нельзя не согласиться, но здесь...
        AVM> как мне кажется...
        AVM> имеется S-образная деформация бедра на фоне "многооскольчатого
        AVM> перелома правой бедреннойљ кости на границе средней и нижней трети со смещением"

        На представленных снимках эта деформация как раз и не представлена.

        AVM> (хотя "длинные" снимки конечно же не помешали бы...)
        AVM> Почему же не вмешаться на в/3 голени (вальгизировать)?

        Согласно тому же Палею следует выделять 4 причины деформации (вальгусной или варусной) в области коленного сустава. Это требует выполнения доплнительных снимков (с распоркой в области колена и пр...).
        Но этому, как я писал, посвящены 800 страниц и около тысячи рисунков.
        Летом под настроение я взялся переводить эту книжку. Тормознулся на 3-й главе (из более чем 20-ти).

        Всех благ.
        Александр Артемьев

        [ Ответить ]
        • Re: уровень остеотомии
          Отправитель: Alexey Mozgounov 09 Май 2005, 10:11
          a> У нас тоже нет таких пленок. Просто сдвигаешь несколько кассет.
          Внаслой?
          Или последовательно? В последнем случае будут зазоры...

          a> Скорее всего не избежать какого-то шевеления пациентра, поэтому велика
          a> погрешность.
          Да вроде не сталкивались особо...
          С шевелением - да... в смысле с размытостью,
          а вот со съезжанием хорошо прикрепленной к бедру метки при некотором перемещении больного при замене кассеты - нет.

          [ Ответить ]
          • Re: уровень остеотомии
            Отправитель: Alexander Artemiev 09 Май 2005, 10:16
            AVM> Внаслой?
            Не понял...

            AVM> Или последовательно?
            Естественно.

            AVM> В последнем случае будут зазоры...
            Ну конечно. Примерно 1,5 см. Нужно располагать их так, чтобы они не совпадали с линией суставов. После этого с учетом зазоров вешаешь их на окно - и обе ноги перед тобой. Сверху и до низу...

            a>> Скорее всего не избежать какого-то шевеления пациентра, поэтому велика
            a>> погрешность.
            AVM> Да вроде не сталкивались особо...
            AVM> С шевелением - да... в смысле с размытостью,
            AVM> а вот со съезжанием хорошо прикрепленной к бедру метки при некотором
            AVM> перемещении больного при замене кассеты - нет.

            Таких методик много - решетки, маркеры и пр.
            Оси по такой методике Вы не определите.
            Если будете обобщать свой материал для доклада или прензентации - запутаетесь сами и запутатете всех. Проходили.
            Но по опыту могу сказать, что пока сами не увидите и не оцените преимущества другой методики, вряд ли будете делать по-другому.
            Методика выполнения снимков "от и до" давно и повсеместно применяется в Кургане. Правда, там используют кассеты размером 30х90 и 30х120. Есть
            такие. Используются в ангографии. Мне таких найти не удалось, поэтому я сдвигаю несколько кассет.
            Американец Paley, на которого я ссылаюсь, много раз был в Кургане, многое увидел. Многое усовершенстовал сам.
            И, будучи талантливым человеком, всё доступно обобщил в своей книге.
            На русском языке ничего подобного написано не было:(

            1. Иллюстрации - во вложении.
            Два бедра после эндопротезирования.
            Авторы операции долго думали почему больная хромает.
            Сдклали снимок - одна нога короче почти на 3 см.
            Здоровый человек и то будет хромать.

            2. Другой пример - дефект после инфицирования коленного эндопротеза.
            Предполагалось, что величина дефекта 11-12 см. Так получается, если
            сделать снимок только области коленных суставов. Определить
            укорочение сложно, так как нога просто болтатется.
            Сделали снимок "от и до" - величина дефекта 17 см.
            Правда эта иллюстарция сделана на цифровом рентгеновском аппарате.
            Больной стоит, а трубка передвигается сверху вних, последовательно
            выполняя рентгенограммы. В данном случае - 4 штуки.


            Но всё это требует времени, скурпулезности и, главное - заинтересованности. Любой - материальной, научной, практической - как угодно. Это штучный товар. Все эти укладки придется выполнять самому - ни рентгенолог, ни рентгенлаборант не справятся.


            Удачи.
            Александр Артемьев













            [ Ответить ]
    Re: уровень остеотомии
    Bagrat Grygoryan 02 Май 2005, 17:10
    Уважаемый Антон, видимо перелом большеберцовой кости на механическую ось не повлиял, но явно варусная деформация усугубляется повреждением наружного связочного аппарата (МКС.... Просится поднагрузочный R-снимок конечности и корригировать, на мой взгляд, надо бедро (+ остеотомия, если планируется мобилизация коленного сустава).
    С уважением,
    Баграт Степанович
    GBS
    [ Ответить ]

    Re: уровень остеотомии
    Leonid N. Solomin 03 Май 2005, 08:36
    Уважаемый А.В.Владзимирский:
    > Вопросы:
    1.Определение уровня корригирующей остеотомии для устранения варусной деформации правой нижней конечности (остеотомия на бедре или голени)?
    Согласен с мнением А.Н. Челнокова и А.А. Артемьева, что для опеределения уровня корригирующей остеотомии (остеотомий?) необходима "телерентгенограмма".
    2. Рекомендации по оперативному пособию для устранения посттравматической варусной деформации правой нижней конечности?
    Забегая вперед (нет ответа на п.1, нет информации о состоянии функциональных и анатомо-топографических характеристик мышц бедра, степени развития рубцового процесса в коленном суставе и параартикулярных тканях) отмечу, что в аналогичных случаях (травматическая деформация дистальной трети бедра, стойкая разгибательная контрактура коленного сустава мы поступаем следующим образом:
    Сначала выполняем артролиз-тенолиз-миолиз коленносго сустава и накладываем шарнирный чрескостный аппарат для пассивно-активной разработки движений в коленном суставе. Компоновка аппарата должна предусматривать возможность фиксаци фрагментов после корригирующей остеотомии. Затем устраняем деформацию бедра (корригирующая остеотомия).
    Операция может быть разбита на 2 этапа: восстановление движений в коленном суставе - корригирующая остеотомия. Это, к сожалению, "в общем и целом".

    Всего наилучшего,
    Л.Соломин
    [ Ответить ]


    ( Ответить )

    Powered by Zope  Squishdot Powered MedLink
    Посетитель: 0404703
      "По форме правильно, а по существу - издевательство" В.И.Ленин
    ©2001-2019Orthoforum Coordinator.
    [ Главная | Отправить сообщение | Поиск | Админ ]