AOTRAUMA.ORG Центр Илизарова  

Ортопедия и травматология Общие вопросы/General questions Help Информационные технологии в медицине
 вверх
 отправить
 поиск
 админ
 главная


Застарелое повреждение таза
Ортопедия и травматология Отправлено Алексей Гринь 30 Апрель 2005, 12:15 г.Тюмень ОКБ N2
Уважаемые коллеги! Пациентка 32 года с застарелым повреждением таза, после остеосинеза лонного сочленения пластиной. Посоветуйте с выбором тактики и методик лечения.

Февраль 2004 г.

inlet

Запирательная

На 7 сутки

На левом колене

На правом колене

Подвздошная

Прямая

Стопа

Стопа 2
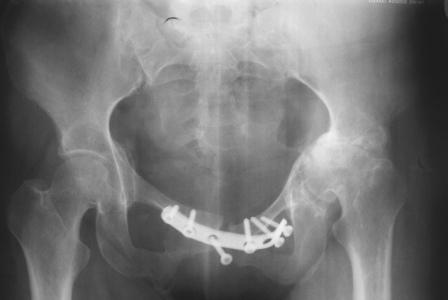
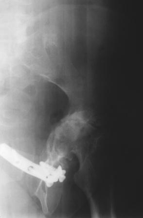
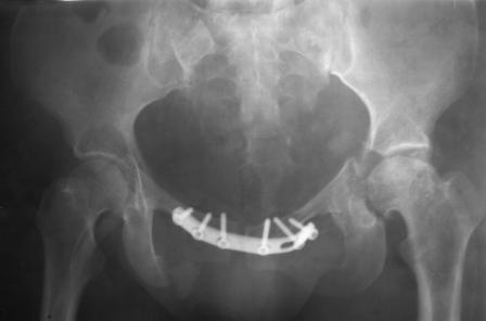
Получила травму в феврале 2004г в г.Лобытнанги ЯНАО Тюм.обл. Через неделю после поступления выполнен остеосинтез лонного сочленения пластиной. 1,5 месяца на скелетном вытяжении. В последующем ходит при помощи костылей с нагрузкой на правую ногу. Имеется нестабильность половин таза, неправильно-консолидированный перелом левой вертлужной впадины, невропатия седалищного нерва слева. В результате невропатии седалищного нерва сформировалась эквинусная установка левой стопы,парестезии по подошвенной поверхности.
Направлена к нам для устранения патологической установки стопы и эндопротезирования левого тазобедренного сустава, также имеется миграция шурупов пластины, фиксирующей лонное сочленение.
Клинически: ходит на костылях с нагрузкой на правую ногу. Левая стопа в эквинусе. Осевая нагрузка на левую н\конечность болезненна в области левого тазобедренного сустава, при прикосновениях к подошвенной поверхности стопы у пациентки чувство зжения. В левом коленном суставе полный обьем движений, в левом тазобедренном резко ограничено отведение и ротация, укорочение левой н\конечности на 2,5 см. При полипроекционной и функциональной Р-графии выявлена нестабильность левого КПС и лонного сочленения, консолидированный в порочном положении поперечный оскольчатый перелом левой вертлужной впадины с центральным смещением головки бедра. Нами выполнена коррекция деформации левой стопы. Планируется выполнить введение 2 канюлированных илиосакральных винтов слева, реостеосинтез лонного сочленения реконструктивной пластиной, после заживления ран - тотальное эндопротезирование левого тазобедренного сустава.
Вопросы: 1. достаточно-ли предпологаемой фиксации тазового кольца, может быть добавить аппарат внешней циксации;
2. сроки установки эндопротеза;
3. методика установки вертлужного компонента.

<  |  >

 

  • Сообщения о Ортопедия и травматология
  • Также Алексей Гринь
  • Связаться с автором
  • Ответить

    Re: Застарелое повреждение таза
    Рунков А.В. 04 Май 2005, 14:09
    Привет, привет.
    Жалко барышню - годочков мало, а почему сразу синтез впадины не делали?
    На сегодняшний день надо уточнить степень сращения впадины, величину дефекта, надо делать кт шаг 2-3мм не больше. Если сращения нет - отдельная песня.
    При устанеовке протеза возможное осложнение повторное разобщение фрагментов впадины фрезами.
    Какой протез планируете, какая чашка?
    Жду кт.
    [ Ответить ]


     

    ( Ответить )

    Powered by Zope  Squishdot Powered MedLink
    Посетитель: 0000079
      "По форме правильно, а по существу - издевательство" В.И.Ленин
    ©2001-2019Orthoforum Coordinator.
    [ Главная | Отправить сообщение | Поиск | Админ ]