вверх
отправить
поиск
админ
главная
|
Интерлокинг костей предплечья |
 |
 |
 |
Отправлено Александр Нагога 05 Май 2005, 00:17
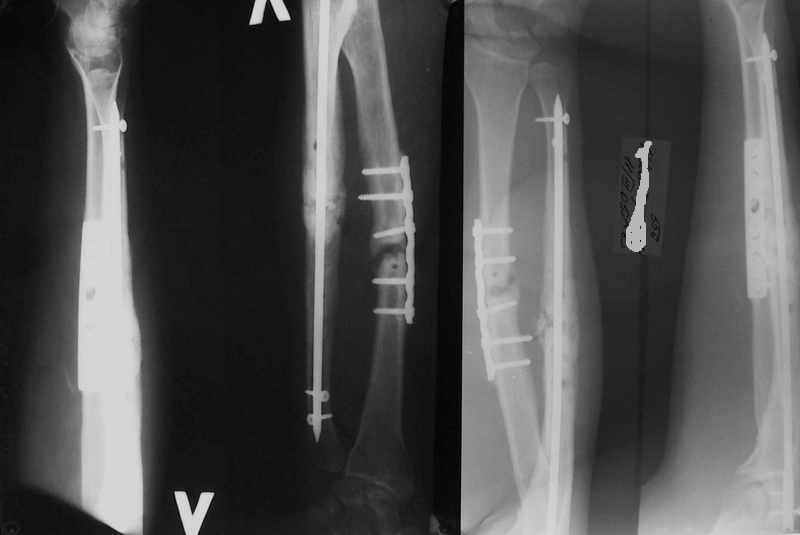
Уважаемые коллеги!Доводим до Вашего сведения наш скромный опыт применения блокирующего остеосинтеза локтевой кости (4случая), четверо пациентов с ложными суставами локтевой кости. Во всех случаях оперировали открыто с костной аутопластикой.Технических проблем введения штифтов не было. В одном случае отвалилась резьбовая часть спицы при прокс. блоке (оставлена как блокирующий винт). Дистальное блокирование осуществляли используя вместо кондуктора сп. Киршнера изгибая ее конец о край кондуктора на необходимую длину до отверстий. Наши первые впечатления классные. Очень быстрая функциональная реабилитация без гипса и консолидация через 2 мц. На представленных фотографиях двое пациентов.Тот, у которого якобы не срастается лучевая кость на АО пластине, уже катался на горн. лыжах, а сейчас опять уехал на Эльбрус -экстремал ,,,нов. С уважением Нагога Александр, ортопедическая клиника ОРТО, Самара.
<
|
>
|
|
Ответить
|
Re: Интерлокинг костей предплечья
Alexander Chelnokov 05 Май 2005, 00:29
|
АН> Во всех случаях оперировали открыто с костной аутопластикой.
Если нет дефекта, надо ли открывать и пластику делать? А канал закрыто рассверливали? Если да, то чем?
АН> отвалилась резьбовая часть спицы при прокс. блоке (оставлена как
АН> блокирующий винт).
А зачем там используется спица с резьбовой частью? Для подготовки канала под винт 2,7 мм вроде и просто спицы 2 мм было бы достаточно?
АН> Дистальное блокирование осуществляли используя вместо кондуктора
АН> сп. Киршнера изгибая ее конец о край кондуктора на необходимую
АН> длину до отверстий.
Про этот трюк не понял, нельзя ли поподробнее?
АН> Наши первые впечатления классные. Очень быстрая функциональная
АН> реабилитация без гипса и консолидация через 2 мц.
Ото ж.
Спасибо за интересное сообщение. А на лучевой кости доводилось этими стержнями пользоваться?
|
[
Ответить ]
|
Re: Интерлокинг костей предплечья
Отправитель: СЕРГЕЙ КИСЕЛЕВ 10 Май 2005, 14:15
|
Саша, привет!
рад увидеть твое сообщение.пиши, как ваши дела
|
[
Ответить ]
|
Re: Интерлокинг костей предплечья
Отправитель: Alexander Chelnokov 10 Май 2005, 15:51
|
Моих сообщений тут довольно много ;-)
Дела наши обычные...
|
[
Ответить ]
|
|
Re: Интерлокинг костей предплечья
Дрягин Виталий 10 Май 2005, 11:31
|
Считаю нецелесообразным применение штифтов при переломах костей предплечья при острой травме, а тем более при несращениях.Правильный остеосинтез при ложных суставах пластинами LC-DCP или LCP с костной аутопластикой даёт прекрасные результаты и возможность ранних активных движений.Кроме того,гвоздь нарушает анатомическую конфигурацию костей что ведет к несращению другой.
|
[
Ответить ]
|
Re: Интерлокинг костей предплечья
Отправитель: Alexander Chelnokov 10 Май 2005, 15:48
|
Глубокоуважаемый Виталий,
ДВ> Считаю нецелесообразным применение штифтов при переломах костей
ДВ> предплечья при острой травме, а тем более при несращениях.
В развитых странах накостный остеосинтез при переломах предплечья являтся стандартом. Но к закрытому интрамедуллярному сейчас интерес возрастает.
ДВ> Правильный остеосинтез при ложных суставах пластинами LC-DCP или
ДВ> LCP с костной аутопластикой даёт прекрасные результаты и
ДВ> возможность ранних активных движений.
Положим, *правильный* интрамедуллярный дает то же самое, причем закрыто, и разрезы по 0,5 см. А если еще вспомнить про рефрактуры после удаления пластин, чего не бывает при удалении стержней?
ДВ> Кроме того,гвоздь нарушает анатомическую конфигурацию костей
ДВ> что ведет к несращению другой.
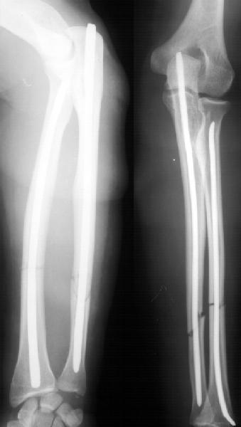
А зачем же неправильный гвоздь использовать, который нарушает? Наоборот, с помощью гводя нарушенная форма костей очень даже эффективно восстанавливается (см. пример). А неправильный
остеосинтез можно сделать чем угодно.
|
[
Ответить ]
|
Re: Интерлокинг костей предплечья
Отправитель: А. Миронов 10 Май 2005, 18:16
|
>Наоборот, с помощью гводя нарушенная форма костей очень даже эффективно восстанавливается (см. пример).
форма восстанавливается, но достаточной стабильности при таком остеосинтезе (пример) достигнуть трудно, ранние движения невозможны, а несращения встречаются как и при любом виде остеосинтеза.
А.Миронов
|
[
Ответить ]
|
Re: Интерлокинг костей предплечья
Отправитель: Alexander Chelnokov 10 Май 2005, 20:26
|
АМ> форма восстанавливается, но достаточной стабильности при таком
АМ> остеосинтезе (пример) достигнуть трудно, ранние движения невозможны,
Эта конкретная больная на пятый день после операции мыла дома пол (муж - хирург, не мог же он этим заниматься :-)
А движения как раз начинаются максимально рано, на следующий день, включая ротацию - больших ран ведь нет, сильно не болит - в приложении картина в день снятия швов.
К месяцу после операции практически у всех больных - клиническая картина здорового человека.
Так что стабильность достаточная. А то, что она не абсолютная, как с пластинкой - это как раз способствует периостальному сращению. Конечно, при многооскольчатых переломах для осевой устойчивости лучше запирать винтами.
АМ> а несращения встречаются как и при любом виде остеосинтеза.
При *закрытом* интрамедуллярном остеосинтезе - это редкость. Где-то на 60 больных есть одно несращение лучевой кости (рентгенологическая находка, клинических проявлений нет) - синтез получился с удлинением.
Ну и мы сейчас как раз несращения после других видов остеосинтеза интрамедуллярными стержнями фиксируем...
|
[
Ответить ]
|
Re: Интерлокинг костей предплечья
Отправитель: А.Миронов 10 Май 2005, 22:04
|
>К месяцу после операции практически у всех больных - клиническая картина здорового человека.
Если так, то у Вас отличные результаты!
А репонируете как? Аппарат? Руками? Если закрытая репозиция неудаётся, то фиксируете перелом пластиной или всё же гвоздём?
А.Миронов
|
[
Ответить ]
|
Re: Интерлокинг костей предплечья
Отправитель: Дрягин Виталий 10 Май 2005, 20:28
|
Уважаемый Александр!Постоянно слежу за статьями только отвечать лень.С уважением и большим интересом.Дрягин
|
[
Ответить ]
|
Re: Интерлокинг костей предплечья
Отправитель: Alexander Chelnokov 10 Май 2005, 20:57
|
;-)) Откровенно. А это сетевое общение, оно чем хорошо - лень отвечать, так и не отвечаешь. Никто никому ничем не обязан.
|
[
Ответить ]
|
Re: Интерлокинг костей предплечья
Отправитель: Дрягин Виталий 10 Май 2005, 20:33
|
С удовольствием посмотрю при встрече снимки в динамике.К сожаления в июне не буду на сьезде у Вас, еду Португалию на конгресс с докладом. Надеюсь может Вы загляните к нам или я приеду за лето.
|
[
Ответить ]
|
Re: Интерлокинг костей предплечья
Отправитель: Alexander Chelnokov 10 Май 2005, 20:58
|
ДВ> июне не буду на сьезде у Вас, еду Португалию на конгресс с докладом.
Эххх, я бы с такой радостью поменялся с Вами... ;-)
Впрочем, чем черт не шутит, может, на оба мероприятия успеем?
ДВ> Надеюсь может Вы загляните к нам или я приеду за лето.
Да, постараемся.
|
[
Ответить ]
|
Re: Интерлокинг костей предплечья
Отправитель: Виталий Дрягин 11 Май 2005, 09:08
|
Уважаемый Александр! Как Вы знаете,у многих фирм имеются различные гвозди с блокированием для бедра и тд. Исключением составляют кости предплечья,т.к.синтез их требует применения фиксаторов с абсолютной стабильнстью, а это только пластины. Гвоздь дает относительную стабильность даже с блокированием. Кроме того, по мнению классиков АО к переломам предплечья необходимо относится как к внутрисуставным переломам, а это в первую очередь идеальная репозиция и абсолютная стабильность. Это не я придумал.Это Мюллер и тд. С уважением.
|
[
Ответить ]
|
Re: Интерлокинг костей предплечья
Отправитель: Alexander Chelnokov 11 Май 2005, 10:41
|
Глубокоуважаемый Виталий,
Wednesday, May 11, 2005, 9:11:31 AM, you wrote:
ВД> гвозди с блокированием для бедра и тд.Исключением составляют кости
ВД> предплечья,
Есть блокируемые гвозди для предплечья - например, Foresight (Smith+Nephew), SST (Biomet), в наших краях доступны аналогичные гвозди ChM (есть в "Деосте").
ВД> т.к.синтез их требует применения фиксаторов с абсолютной
ВД> стабильнстью,а это только пластины.
А отчего постулируется требование абсолютной стабильности для костей предплечья? Легко убедиться, что и с относительной стабильностью они чудно срастаются.
ВД> Кроме того, по мнению классиков АО к переломам предплечья
ВД> необходимо относится как к внутрисуставным переломам,
Это всего лишь подразумевает, что на диафизе предплечья надо восстановить ось, длину и форму костей и ротацию лучевой кости. Что автоматически обеспечивает правильные взаимоотношения в межкостных сочленениях.
ВД> а это в первую очередь идеальная репозиция и абсолютная
ВД> стабильность. Это не я придумал.Это Мюллер и тд.
"Мюллер и тд" насчет многого, что они придумали, за последние годы передумали... А критерий истины - практика, это не я придумал.
;-)
|
[
Ответить ]
|
|
( Ответить )
|
|