AOTRAUMA.ORG Центр Илизарова  

Ортопедия и травматология Общие вопросы/General questions Help Информационные технологии в медицине
 вверх
 отправить
 поиск
 админ
 главная


застарелый вывих бедра
Ортопедия и травматология Отправлено Alexey Smirnov 06 Май 2005, 00:22
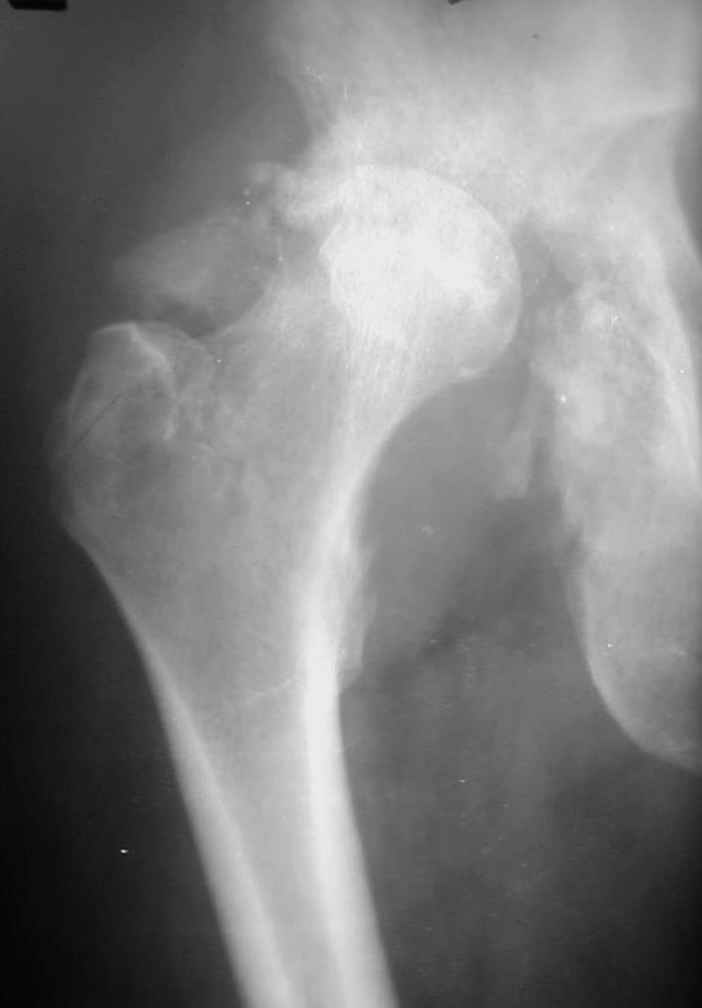
Уважаемые коллеги! На консультацию пришел молодой человек 23 лет с застарелым задним вывихомбедра. После травмы прошло 2,5 ГОДА.
Были переломы бедра и голени на этой же стороне, которые благополучно срослись после остеосинтеза. вывих бедра был пропущен. В настоящее время ходит без дополнительной опоры, есстественно, сильно хромает, выражен болевой синдром, парез седалищного нерва. Сформировался неоартроз в подвздошной области, виден неправильно сросшийся перелом задней колонны, сгибание в суставе до 80.
Что делать? Честно говоря, на таких сроках опыта лечения подобных больных нет (мах 8 мес). Постепенно низводить аппаратом и затем ставить эндопротез там где должен быть сустав? Или ставить протез выше истинной впадины с укорочением конечности, а затем удлиннять бедро или голень? У кого есть подобный опыт, подскажите?
С уважением Алексей.

<  |  >

 

  • Сообщения о Ортопедия и травматология
  • Также Alexey Smirnov
  • Связаться с автором
  • Ответить

    Re: застарелый вывих бедра
    Рашид М. Тихилов 06 Май 2005, 08:38
    Уважаемый Алексей,
    У Вас есть две возможности помочь этому пациенту. Либо выполнить артродез сустава, либо эндопротезирование. Артродез потребует достаточно много времени (примерно 6 иемяцев) и существенно ограничит его возможности. Эндопротезирование в данном случае - операция не из простых. Какие могут быть проблемы:
    1.Большой костный посттравматический дефект вертлужной впадины. Поэтому необходима КТ для четкого планирования операции. При наличии контакта чашки с вертлужной впадиной на 55-60%% недопокрытие компенсируется за счет костной аутопластики собственной удаленной головкой (фиксация головки минимум 2-я винтами). Если недопокрытие большое, или не удается установить чашку, то можно установить кольцо Мюллера, опять же с костной пластикой.
    2. Низведение бедра. Нам удавалось низвести одномоментно до 2см, максимум 3 см. В противном случае - предоперационное скелетное вытяжение. Но даже в этом случае нет гарантии легкого вправления даже при полном релизе. Выход из ситуации - более низкая установка ножки.
    3. Доступ - я предпочитаю передний доступ с обязательным (при больших сроках после травмы) задним релизом.
    4. Принципиально можно ставить чашку выше истинной ВВ и компенсировать длину ноги более высоким положением ножки, но в данном случае в этом нет необходимости.
    С уважением, Р.Тихилов
    [ Ответить ]

    • Re: застарелый вывих бедра
      Отправитель: Anatoly Yakushin 06 Май 2005, 08:42
      Я согласен с Рашидом Муртузалиевичем по поводу проблемы с дефектом вертлужной впадины. К предоперационному планированию надо подойти очень серьезно, выполнение КТ обязательно.
      Мюллеровского укрепляющего кольца может и не хватить, надо быть готовым к установке кольца Ганса или Бурх-Шнайдера.

      Что касается низведения, то есть очень эффективная методика двухэтапного низведения, предложенная проф. Абельцевым.
      На первом этапе открываете зону сустава, резецируете головку и шейку, ставите вертлужный компонент, делаете полноценный задний релиз.
      Затем зашиваете рану и накладываете вытяжение.
      Проводите вытяжение возрастающими грузами и через неделю или две берете больного на повторную операцию, при которой ставите бедренный
      компонент.

      Таким способом можно компенсировать весьма значительные укорочения.

      Удачи.

      [ Ответить ]
      • Re: застарелый вывих бедра
        Отправитель: Alexander Chelnokov 06 Май 2005, 08:58
        AAY> Что касается низведения, то есть очень эффективная методика
        AAY> двухэтапного низведения, предложенная проф. Абельцевым.

        А почему не обсуждается предварительное низведение аппаратом таз-бедро? Чем оно a priori не устраивает? Насколько мне известно, этот подход сейчас применяется не только в нашей стране с богатым илизаровским анамнезом (ау, Елена Александровна Волокитина!), но и в Европе (см., например,
        здесь ). Аппарат наложить - проще некуда, по сравнению с накроватным вытяжением это заведомо более управляемый метод с куда большими возможностями...

        [ Ответить ]
        • Re: застарелый вывих бедра
          Отправитель: Волокитина Елена Александровна 24 Май 2005, 17:14
          Двухэтапный метод имплантации применяем только при высоких (подвздошных) вывихах - резекция головки, имплантация впадины, зашиваем рану, аппарат с двумя опорами на крыло и в нижней трети бедра, низводим 2-3 недели,темп низведения в аппарате по состоянию больного и неврологическим жалобам. При надацетабулярных неоарозах низводится бедро сразу же, без проблем, после небольшого релиза.
          В данном случае, думаю, проблем с низведением бедра не будет. Но стоит ли выполнять протезирование? Слишком много проблем, без особых надежд на успех. Артродез у данного молодого человека вполне оправдан. Или же первым этапом перед протезированием пойти на пластику впадины костью из головки и мобилизацию бедра, дождаться надежного заполнения дефекта, а потом уже думать об эндопротезировании.
          С уважением Е.А.Волокитина

          [ Ответить ]
    • Re: застарелый вывих бедра
      Отправитель: Alexey Rounkov 13 Май 2005, 17:41
      Уважаемый Рашид Муртузалиевич,
      Есть ли у Вас примеры установки протеза при обширных дефектах впадины?
      Какой был самый большой дефицит задней колонны, какой срок наблюдения, довольны ли Вы результатом?
      Существуют ли рекомендации по эндопротезированию с дефектами впадины, с указанием количественных характеристик дефекта и его расположения?
      В предлагаемой ситуации имеется последствия перелома задней колонны, что значительно больше усугубляет ситуацию, чем банальный дефект заднего края, и костного материала из головки может просто не хватить, тем более что в таком случае как раз вся нагрузка должна лечь на эту несчастную костную пластику. Наколько оправданы такие опасения, на Ваш взгляд?

      [ Ответить ]
      • Re: застарелый вывих бедра
        Отправитель: Рашид Муртузалиевич Тихилов 19 Май 2005, 23:11
        Уважаемый Д-р Рунков,
        Вы затронули очень интересный вопрос который до настоящего времени толком не решен. Мы проанализировали лечение 56 пациентов с различными травмами вертлужной впадины и подготовили статью, которую планируем опубликовать во 2-м номере ж-ла "Травматология и ортопедия России".
        Коротко по сути Ваших вопросов.

        РАВ> Уважаемый Рашид Муртузалиевич,
        РАВ> Есть ли у Вас примеры установки протеза при обширных дефектах впадины?
        РАВ> Какой был самый большой дефицит задней колонны, какой срок наблюдения,
        РАВ> довольны ли Вы результатом?

        Максимальные сроки наблюдения 5-6 лет. С появлением современных эндопротезов результаты сравнимы с первичным протезированием при обычном КА. Но, каждая операция нестандартная и требуется
        тщательнейшее планирование каждого шага и необходимо иметь несколько запасных вариантов.

        РАВ> Существуют ли рекомендации по эндопротезированию с дефектами впадины,
        РАВ> с указанием количественных характеристик дефекта и его расположения?

        Схематично можно сказать так - если есть контакт с 60% и более ВВ, то этого достаточно для последующей биологической фиксации чашки. Опять же НО, мы стараемся "подрыться" фрезами так, что бы был приемлимый упор чашки, а фиксация аутотрансплантата головки была прочной без каких либо дефектов и зазоров.

        РАВ> В предлагаемой ситуации имеется последствия перелома задней колонны,
        РАВ> что значительно больше усугубляет ситуацию, чем банальный дефект
        РАВ> заднего края, и костного материала из головки может просто не хватить,
        РАВ> тем более что в таком случае как раз вся нагрузка должна лечь на эту
        РАВ> несчастную костную пластику.

        Если у Вас есть дефект крыши, то никакая пластика не выдержит, лучше сразу ставить опорные кольца, все зависит от локализации костного дефекта.

        РАВ> Наколько оправданы такие опасения, на Ваш
        РАВ> взгляд?

        Такие опасения абсолютно оправданы.
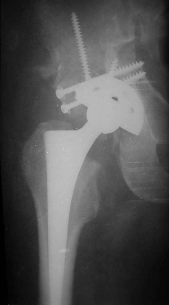
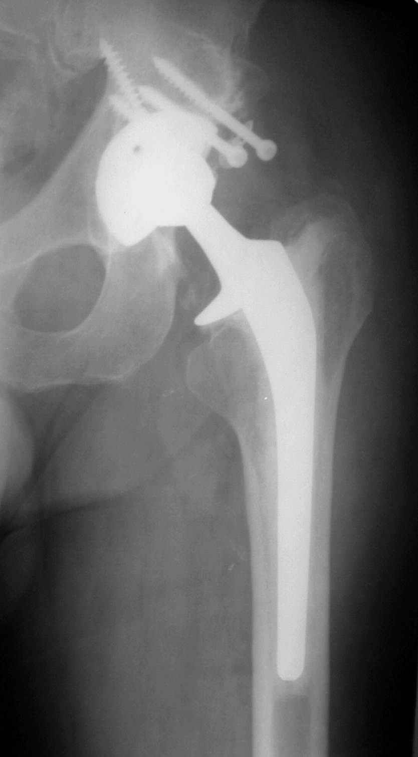
        В институте совместно с фирмой Зиммер достаточно регулярно (практически ежемесячно) проводятся 2-х недельные циклы по различным вопросам эндопротезирования. Если есть возможность и желание, мы готовы поделиться с Вами нашим опытом, тем более есть что показать и что обсудить - в настоящее время ежедневно выполняется от 6 до 10 эндопротезирований коленного и тазобедренного сустава. В качестве примеров хочу показать 2 наблюдения, через 1 год и 5 лет после операции

        С уважением, Р.Тихилов

























        1 год







        5 лет





        [ Ответить ]
    Re: застарелый вывих бедра
    Evgueny Tchekashkine 09 Май 2005, 10:08
    Алексей, День Добрый,

    Пока 2,5 года с вывихом бедра - больной рекордсмен..
    Якушин Толь Толич описал опробованный в практике рабочий подход.
    Думаю, что все-таки вытяжение более оправданный метод, чем аппаратная дистракция. Любые кожно- мышечно- костные спицевые каналы вокруг зоны предполагаемой артропластики нежелательны - потенциальный риск инфекционных осложнений. (это только мысли вслух - статей о аппаратной дистракции перед планируемой артропластикой не встречал).
    Я бы остановился на методе проф. Абельцева.
    Удачи и всего доброго,
    Евгений Чекашкин
    [ Ответить ]

    Re: застарелый вывих бедра
    efim katsevman 10 Май 2005, 18:57
    Aлексей! даже при врожденном вывихе бедра иск сустав ставят в первичной вертл впадине, если надо, то укорачивают femur. В данном случае, учитывая возраст пациента, можно предложить ему артродез.

    [ Ответить ]

    Re: застарелый вывих бедра
    Денис Елкин, ГКБ№31, Москва 12 Май 2005, 02:31
    1. Без КТ лезть не стоит. Вопрос о состоянии вертлужной впадины - один из ключевых, во-многом тактика операции определится именно этим.
    2. Отдельное внимание при КТ - седалишному нерву (чем вызвана навропатия? - тракцией или компрессией отломками?).
    3. Предположим, впадина относительно сохранна, пусть даже и потребуется ее реконструкция. Конечно, есть обоснованные разными авторами подходы к положению вертлужного компонента, но мне больше импонирует идея установки чаши на "родное" место. Учитывая возраст и, соответственно, относительно нормальную эластичность тканей, возможна следующая методика. Доступ с отсечением б. вертела, реконструкция впадины и установка вертлужного компонента на свое место. После установки ножки на должную (т.е. нормальную) глубину, вправление, после чего фиксация вертела на место проволочными швами. Бедро уложить на шину Белера (сгибание и отведение), через неделю постепенно разгибать и приводить, в расчете на эластичность мышц и не допуская прорезывания проволоки. Для ускорения и повышения шансов на успех применяйте миорелаксанты - Сирдалуд, Баклофен.
    Оперированная у нас по такой методике пациентка пожилого возраста с нелеченным врожденным вывихом бедра восстановилась вроде-бы неплохо.
    4. С артродезом, который был посоветован "с учетом возраста" кто-нибудь согласен? Если да, то какие аргументы "За"?
    Желаю удачи!
    [ Ответить ]

    Re: застарелый вывих бедра
    Castro 14 Май 2005, 02:41
    Zdrastvuete Doctor Rashid,
    Dumaetsa, chto nuzno bolnomu vipolnit' RIS "Radio-isotopnoe issledovanie", chto bi viasnit' sostoanii golovki bedra, esli imiotsa priznaky zezni v golovke, nuzno popitatsa nizvodit' bedro apparatom,
    zatem otkritoe vpravit' ego "ILI , esli golovka mertvjia" , to, itomu bolnomu pokazan ARTRODES tazobedrennogo sustava, v protivnom slucai, esli Vi emu vipolnite THR, Vi ego obrechete na dolgie muky, i on budet vse ostavshisa zezn' zit' rady itogo sustava, on slishkom molodoi!
    Spasibo
    [ Ответить ]


    ( Ответить )

    Powered by Zope  Squishdot Powered MedLink
    Посетитель: 0171346
      "По форме правильно, а по существу - издевательство" В.И.Ленин
    ©2001-2019Orthoforum Coordinator.
    [ Главная | Отправить сообщение | Поиск | Админ ]