AOTRAUMA.ORG Центр Илизарова  

Ортопедия и травматология Общие вопросы/General questions Help Информационные технологии в медицине
 вверх
 отправить
 поиск
 админ
 главная


закр. репозиция # головки/шейки луча
Ортопедия и травматология Отправлено Aleksey V. Mozgounov 16 Май 2005, 08:08
Коллеги,а как репонируем переломы головки/шейки луча у детей/подростков?
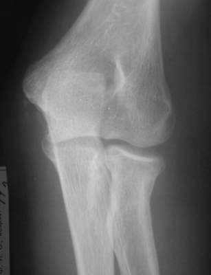
Есть методика воздействия на дистальный отломок при фиксации головки на месте - у нас - по-Марксу, у "них" - по-Паттерсону (ежели не обшибся с фамилией)...Есть методика прямого воздействия на проксимальный фрагмент... Путем пальцевого давоения... Вроде бы по-Ворохобову... у нас... Также делают и у "них"...Есть и как бы "промежуточная" методика в виде "давления" в сочетании с "накатом" - описана в каком-то вольюме JBJS, вроде бы израильскими (?)авторами...А есть еще метод по-Свинухову...Аналога у "них" мне не известно...О чрескожных манипуляциях спицами сознательно не упомянаю...Что предпочитаете?-------------------------А вот case report...Подросток 14 лет...Зкрытая репозиция "давление-накатом"... Безрезультатно...Через 3 дня репозиция по-Свинухову...Вроде бы все закончилось успешно...Однако 6 мес спустя после 2-кратного курса реабилитации клническая картина достаточно плачевна:Ротация предплечья:справа (здоровая) - 80 кнутри и 85-90 кнаружислева (больная) - 40 кнутри и 40 кнаружи При этом клинически внутренняя ротация справа (здоровая сторона) и слева (больная сторона) составляет порядка 85 и 80-75 соответвенно, но за счет ротационной мобильности запястья, порядка, например, 40-35 градусов на больной стороне...Сгибание слева (травмированная сторона) - 90 гр.разгибание - около 160 гр.Рентгенологически:в боковой проекции гетеротопическая оссификация по передней поверхности локтевого сустава, над головкой луча с "шипом" над радиокапителлярным сочленением...однако в прямой проекции локализация оссификата трудно определима, хотя вроде бы располагается по ходу сухожилия бицепса, т.е. в проекции луче-локтевого сочленения, но со стороны локтевой кости....Что делать?Кто виноват?:-)


<  |  >

 

  • Сообщения о Ортопедия и травматология
  • Также Aleksey V. Mozgounov
  • Связаться с автором
  • Ответить

    Re: закр. репозиция # головки/шейки луча
    Игорь Лий 09 Июль 2016, 01:46
    Можно уточнить как именно вы делали репозицию " по Свинухову" , если так как описано у Юмашева, Бендугидзе т.е. так как находит гугл и Яндекс на первых страницах поиска то никто не виноват) жизнь такая. Я к тому что методика автора сильно отличается от того как её описывают вышеупомянутые источники. Репозиция протекает по другому и ни в коем случае Свинухов не рекомендует сгибать сразу после оппозиции локоть.
    [ Ответить ]


    ( Ответить )

    Powered by Zope  Squishdot Powered MedLink
    Посетитель: 0000046
      "По форме правильно, а по существу - издевательство" В.И.Ленин
    ©2001-2019Orthoforum Coordinator.
    [ Главная | Отправить сообщение | Поиск | Админ ]