вверх
отправить
поиск
админ
главная
|
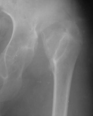
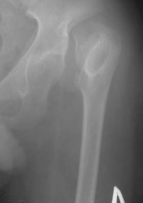
"Поздний" (14 лет) врожденный вывих (подвздошный) бедра |
 |
 |
 |
Отправлено Aleksey V. Mozgounov 16 Май 2005, 08:35
Dear collegues,Мальчик, 14 лет. Из Узбекистана...Никакой документации на данный момент нет, но со слов выяснилась приблизительно следующая картина... Патологию диагностировали в 2 года...якобы она была двусторонней (скорее всего дисплазия справа и вывих слева),лечили то ли функционально то ли закрытым вправлением под наркозом...как бы то ни было около года гипсовался в различных позах по-Лоренцу...Потом вроде бы повязка сломалсь (слева) и родителям сообщили о рецидиве вывиха...С тех пор (с 3 лет) никак не лечился...С возрастом стало возникать укорочение левой н. конечности, что особенно то и не беспокоило как выяснилось...2 года назад (12 лет) появились боли в левом тазобедренном суставе (на стороневыцвиха)...Вот это то (боли) и являются главной причиной обращения в данное время (14 лет).Укорочение левой н. конечности на 5 см не воспринимается как главная проблема...Снимки в приложении.Что делать?
<
|
>
|
|
Ответить
|
Re: "Поздний" (14 лет) врожденный вывих (подвздошный) бедра
Александр Сабсай 19 Май 2005, 07:47
|
Это пока сегодня укорочение не воспринимается как проблема,по мере же развития дегенерации позвоночника оно станет существенной проблемой,поэтому ситуацию нужно исправлять комплексно.Я думаю,существует 2 варианта эффективного решения проблемы у этого пациента:
-тотальное эндопротезирование т/бедр.сустава(единственно приемлемый сегодня вариант в большинстве клиник,однако недешевый и не лишенный осложнений).
-двухэтапное лечение,включающее на 1-м этапе подвертельную вальгирующую остеотомию типа Шанца(ниже малого вертела примерно на 1,5см)с фиксацией бедра аппаратом Илизарова.При этом проксимальный отдел бедренной кости,будучи повёрнутым в процессе вальгирования,ложится под таз(создавая надёжную опору и убирая таким образом симптом Тренделенбурга и приводящую установку бедра).Для удобства можно использовать спице-стержневую компоновку аппарата(особенно в проксимальном отделе).Корригирующий угол(угол вальгирования)задается при установке проксимальной наружной опоры аппарата(полудуги),при этом нужно учитывать ещё и наличие у больного сгибательной установки бедра,приводящей к развитию гиперлордоза в поясничном отделе,с учетом чего необходимо создать кроме вальгусного угла ещё и умеренную антекурвацию.Через 1-1,5мес.,на втором этапе,с этим же аппаратом,осуществляется искусственный перелом н/3 бедра с последующей дистракцией до компенсации укорочения н/конечности.Функциональный результат после такой операции как правило устраивает больных в полной мере,т.к.комплексно устраняются болевой синдром,укорочение и порочная установка бедра с сохранением достаточного объёма движений.В сотрудничестве с к.м.н.В.А.Сафоновым имеем отдалённые результаты применения такой методики с 14-18 летними сроками наблюдения с отличными и хорошими функциональными результатами.К сожалению не могу продемонстрировать рентгенограммы из-за отсутствия в данный момент сканера. А.В.Сабсай,г.Днепропетровск.
|
[
Ответить ]
|
Re: "Поздний" (14 лет) врожденный вывих (подвздошный) бедра
Волокитина Елена Александровна 24 Май 2005, 16:57
|
Уважаемый Aleksey!
Эндопротезирование левого тазобедренного сустава позволит эффективно раебилитировать мальчика; особое внимание при формировании имплантационного ложа впадины (симметрично с контрлатеральным суставом),кроме того, при одномоментном низведении бедра возможны явления невропатии седалищного нерва, при высоких вывихах для профилактики такого вида осложнений операцию эндопротезирования делим на этапы - имплантация впадины, низведение бедра в аппарате наружной фиксации (2 опоры -крыло и нижняя треть бедра) 2 недели и повторное вмешательство по имплантации ножки.
С другой стороны, учитывая молодой возраст пациента, вполне эффективной будет опорная остеотомия бедра по Илизарову (подвертельная остеотомия с формированием точки опоры под нижний край впадины и кортикотомия в средней тери бедра для удлинения и нормализации оси). Лечение более длительное, до 3-4 месяцев в аппарате,но позволит оттянуть эндопротезирование на 10-15 лет.
С уважением Е.А.Волокитина
|
[
Ответить ]
|
( Ответить )
|
|