AOTRAUMA.ORG Центр Илизарова  

Ортопедия и травматология Общие вопросы/General questions Help Информационные технологии в медицине
 вверх
 отправить
 поиск
 админ
 главная


Остеохондрома подвздошной кости
Ортопедия и травматология Отправлено Руслан Шарафиев 16 Май 2005, 13:43 Уральский НИИТО
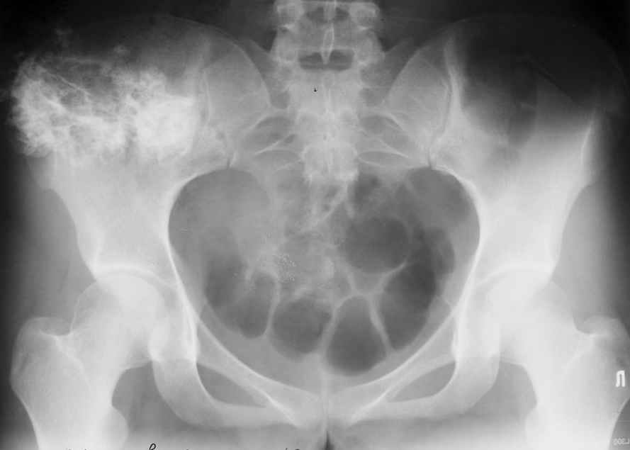
Уважаемые коллеги! К нам поступила пациентка 16 лет с диагнозом: остеохондрома крыла правой подвздошной кости.
Учитывая большие размеры образования, необходимо удаление его с резекцией крыла подздошной кости вместе с ее гребнем. Предполагается наличие большого дефекта. Поделитесь опытом закрытия таких дефектов.

<  |  >

 

  • Сообщения о Ортопедия и травматология
  • Также Руслан Шарафиев
  • Связаться с автором
  • Ответить

    Re: Остеохондрома подвздошной кости
    Alexey Mozgounov 17 Май 2005, 01:29
    РШ> резекцией крыла подздошной кости вместе с ее гребнем.
    Судя по КТ, проблема не в гребне а в крыле...
    Опухоль имеет задне-наружное нправление...
    В таких ситуация 3D реконструкция по КТ - идеальная вещь...

    РШ> Предполагается наличие большого
    РШ> дефекта. Поделитесь опытом закрытия таких дефектов.
    Сначал правильнее вырубить и посмотреть, а вот о закрытии подумать потом...
    IMHO...
    При этом гребень можно и не трогать, а вот большую дырку в крыле сделать будет наверное необходимо...

    --
    Best regards,

    ~~~~~~~~~~~~~~~~~~~~~~~~~~~~~~~~~~~~~~~~~~~~~~
    Aleksey V. Mozgounov, M.D., Ph.D.,
    Department of Pediatric and Adolescents
    Traumatology and Orthopaedics,
    Research Centre of Tatarstan
    "Rehabilitation Traumatology and Orthopaedics",
    3, Gorky str., Kazan 420015, Russia
    [ Ответить ]

    Re: Остеохондрома подвздошной кости
    Денис Елкин, ГКБ 31, Москва 18 Май 2005, 02:00
    По-моему, КТ-картина наводит на мысль об озлокачествлении (резкая неоднородность, местами размытие контуров) - вторичной хондросаркоме. Местами, кстати, имеется рост и в направлении брюшной полости. Для решения вопроса об объеме резекции в данном случае оправдана трепанобиопсия. Если это хондросаркома, особенно низкодифференцированная, то стоит обсудить возможность удаления всего крыла с окружающими мягкими тканями. Вариант реконструкции - комбинированная пластика аллотрансплантатами. А вот какими - зависит от наличия костного банка и возможностью индивидуального изготовления трансплантатов. При отсутствии таковой не лучше ли направить ее в ЦИТО?
    [ Ответить ]

    Остеохондрома подвздошной кости
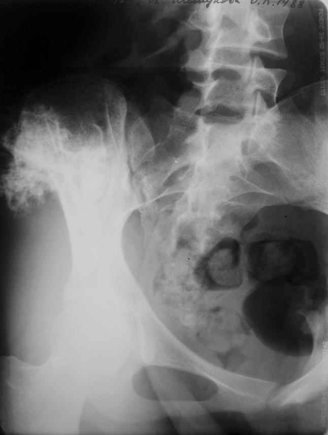
    Руслан Шарафиев 18 Май 2005, 09:39
    еще фото












    [ Ответить ]

    Остеохондрома подвздошной кости
    Руслан Шарафиев 18 Май 2005, 11:22
    В данный момент была выполнена биопсия новообразования. Материал в работе.
    [ Ответить ]

    Re: Остеохондрома подвздошной кости
    Руслан Шарафиев 30 Май 2005, 13:40
    Получены результаты гистологического исследования.Процесс доброкачественный. Диагноз хондрома крыла таза подтвержден.Вопрос: чем и как закрыть предполагаемый значительный дефект крыла?
    [ Ответить ]

    • Re: Остеохондрома подвздошной кости
      Отправитель: Волокитина Елена Александровна 06 Июнь 2005, 13:29
      Уважаемый Руслан Шарафиев!
      Случай, безусловно, сложный. Биопсия одного участка не гарантирует доброкачественности всего патологического очага. Окончательный гистологический диагноз будет уже после резекции всей пораженной кости. Может быть пока дефект не заполнять? А если все доброкачественно, то наряду с сохранением передней нижней и верхней ости подвздошной кости, а также гребня в каких-то отделах, может быть местами останется интактной внутренняя кортикальная пластинка крыла. Желаю удачи в этой тяжелой операции.
      С уважением Е.А.Волокитина


      [ Ответить ]
      • Re: Остеохондрома подвздошной кости
        Отправитель: Пулатов А.Р. 06 Июнь 2005, 17:47
        Спасибо Елена Александровна за проявленный интерес, к этому сложному случаю. Биопсию мы постарались взять из разных участков, хотя конечно это не гарантирует...Завтра планируем операцию, запаслись кровью, различным железом, ориентироваться окончательно будем интраоперационно, результаты обязательно представим, ну а удача это как раз то что нам нужно :)
        С уважением А.Р. Пулатов

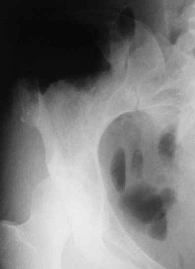
        P.S. ещё фото

        Кликните для загрузки файла 1.jpg
        23KB (23664 bytes)

        [ Ответить ]
    Re: Остеохондрома подвздошной кости
    Остап Зубач 03 Июнь 2005, 23:15
    Уважаемый Руслан Шарафиев,
    вижу два варианта закрытия такого дефекта:
    1)приналичии костного банка - пластика аллотрансплантатом
    2) костным трансплантатом из контрлатеральной подвздошной кости

    Большая просьба сообщить о принятом решении и результатах лечения.

    С уважением,
    Зубач О.Б.
    Львовская больница скорой помощи,
    II травматологическое отделение.

    [ Ответить ]

    • Re: Остеохондрома подвздошной кости
      Отправитель: Пулатов Андрей Рифгатович 07 Июнь 2005, 17:00
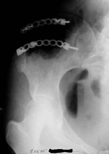
      Уважаемые коллеги, больную прооперировали. После выделения остеохондрома резецирована в пределах неизменённой кости. Выявлено, что гребень подвздошой кости не пострадал от опухоли. В результате резекции сформирован сквозной дефект в крыле подвздошной кости треугольной формы 6х7х8 см. В качестве трансплантата использована наружная кортикальная пластинка заднего отдела крыла подвздошной кости.
      Трансплантат фиксирован на месте дефекта при помощи шурупов и проволоки. Кровопотеря 550 мл.
      Спасибо всем за участие.
      На фото этапы операции, R-gr.





























      Детское ортопедическое отделение
      Уральского НИИ травматологии и ортопедии


      [ Ответить ]
      • Re: Остеохондрома подвздошной кости
        Отправитель: Волокитина Елена Александровна 08 Июнь 2005, 18:29
        Уважаемый Андрей Рифгатович!
        Поздравляю с успешным завершением операции. Удача сопутствует умению!!! И далее - Вам и Вашему коллективу - удач, а пациентке - выздоровления.
        С уважением Е.А.Волокитина


        [ Ответить ]

     

    ( Ответить )

    Powered by Zope  Squishdot Powered MedLink
    Посетитель: 0000012
      "По форме правильно, а по существу - издевательство" В.И.Ленин
    ©2001-2019Orthoforum Coordinator.
    [ Главная | Отправить сообщение | Поиск | Админ ]