Ответить
|
Re: Вывих бедра - дообследование
Vladimir Sviatenko 19 Май 2005, 18:29
|
Скорее это все же фрагмент ацетабулярного края, хотя это должно быть хорошо видно на КТ,а "не видно",надо смотреть возможно другие срезы, в боковой пр. головка не изменена.
Владимир.
|
[
Ответить ]
|
Re: Вывих бедра - дообследование
С.В.Архипов-Балтийский 19 Май 2005, 19:22
|
Юрий Алексеевич, спасибо за представленные рентгенограммы.
После рентген дообследования складывается мнение об отрыве дистального конца связки головки бедра с костным фрагментом головки (КТ2 скан 3, 4, КТ3 скан 1, прямая проекция - нижнийот 19.05). Данный вариант травмы встречается не часто, но известен, если мне не изменяет память, например см. Мюллер М.Е., Алльговер М., Шнайдер Р., Виллинеггер Х. Руководство по внутреннему остеосинтезу. - Springer-Verlag, 1996. - 750 с. С моей точки зрения, оптимально было бы остеосинтез головки, в обязательном порядке с сохранением целостности связки головки бедра. Как это технически выполнить - вопрос не простой. Кто знает и делал ???
С уважением Сергей Архипов
P.S. См. также ранее высказанное мнение, на тему, заявленную Вами 16 Мая 2005, 13:51 и комментарии к ней.
|
[
Ответить ]
|
Re: Вывих бедра - дообследование
Юрий Алексеевич Булахтин 21 Май 2005, 18:34
|
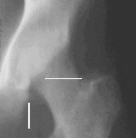
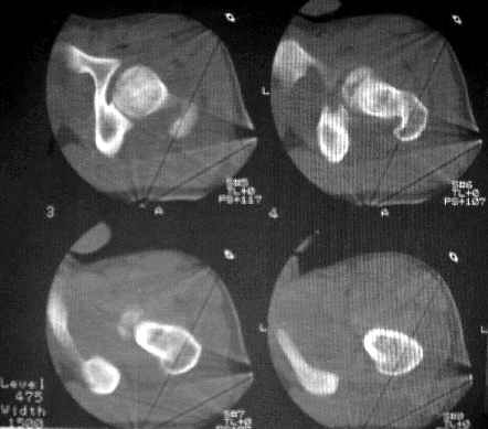
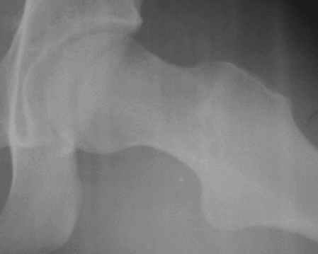
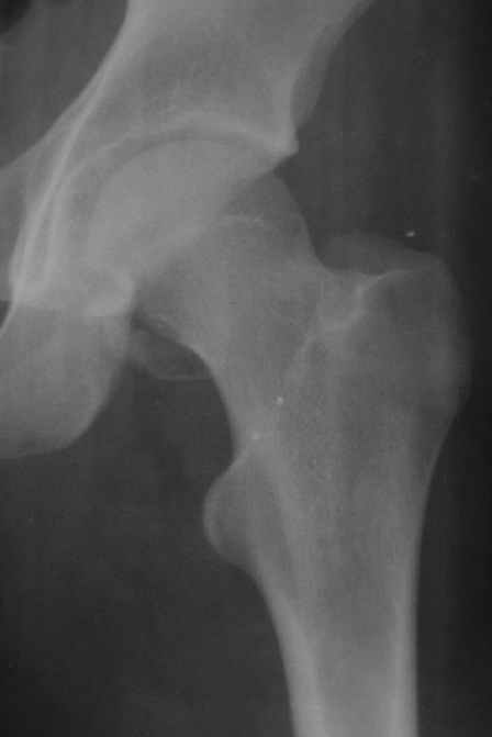
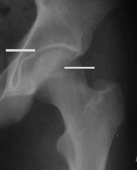
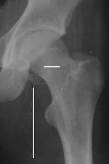
Уважаемые коллеги! Заканчивая обследование больного с переломо-вывихом бедра сделал ему обычные R-томограммы. Кажется удалось "поймать" и отломок и донорское место. Мои выводы - в скиаграмме. Считаю, что это передне-нижний фрагмент головки, образовавшийся вследствии отрывного перелома. На томограммах отломок обозначаю длинной стрелкой, а место откуда он оторвался - более короткой. Учитывая тот факт, что его размеры по КТ 25 х 15 мм считаю, что его фиксация на место необходима для профилактики артроза, что при 16-ти летнем возрасте пациента важно в плане максимального отодвигания эндопротезирования. Планирую оперировать его 24.05.05 г. Результаты представлю.
 Прямой при поступлении
|
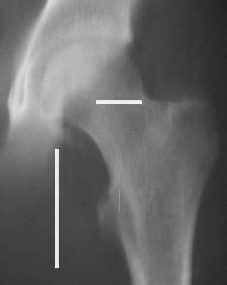
 Прямой 19.05
|

|

|

|

|

|

|

|
Несколько соображений к "картинкам". На прямом снимке и КТ-томограммах все типичные линии вертлужной впадины: крыша, передняя стенка, задняя стенка - сохранены. На КТ-сканах 6 и 7 появляется фрагментация головки. С учетом R-томограмм отломок расположен спереди-снизу, а не сзади-сверху от сустава, как написано в описании КТ.
Юрий Алексеевич Булахтин
|
[
Ответить ]
|
Re: Вывих бедра - дообследование
Отправитель: Alexander Chelnokov 24 Май 2005, 19:16
|
ЮАБ> впадины. В последнем случае, думаю надо оперировать, а если это
ЮАБ> фрагменты головки из ненагруженной зоны - то не уверен. Какие есть
Посмотрите про вывихи и переломы головки, напирмер, здесь.
При перелома типа Pipkin I, когда фрагмент головки не включает нагружаемую часть (данный случай), операция нужна только при его интерпозиции в суставе, речь только об удалении. Сейчас можно проверить, есть ли затруднения при пассивных движениях в суставе.
Если трудностей нет, то и вести больного, как после обычного вправления бедра.
|
[
Ответить ]
|
|
Re: Вывих бедра - дообследование
Рунков А.В. 23 Май 2005, 09:35
|
Уважаемый Юрий Алексеевич, на снимках достаточно типчная картина отрывного перелома головки бедра с местом прикрепления круглой связки. При вправлении фрагмент выдавился вниз и кпереди и не мешает движениям. Стабильность сустава практически не пострадала. Остеосинтез при таких переломах имеет шансы на успех только в первые часы, сутки после травмы и производится при значительно более крупном отломке, когда его отсутствие приводит к подвывиху остальной головки, клиновидности щели сустава, опасности повторного вывиха при внутренней ротации.
В данной ситуации этого нет.
Поэтому я рекомендовал бы воздержаться от оперативного лечения, которое не улучшит кровоснабжения сустава.
И если же Вы всетаки туда пойдете - просто убрать фрагмент.
Мы наблюдали 10-12 подобных случаев, в 1 остеосинтез винтами и 3 удаления, причем для артротомии имелись более веские причины, переломы пневправленные вывихит и дефекты заднего края.
С уважением РАВ
|
[
Ответить ]
|
Re: Вывих бедра - дообследование
Юрий Алексеевич Булахтин 24 Май 2005, 19:29
|
Уважаемые коллеги!
Спасибо всем, кто принял участие в разборе случая. Сегодня прооперировал больного. Удалил два свободных фрагмента передне-нижнего отдела головки. Больший был смещен по типу сдвига, меньший - свободно мигрировал вокруг шейки.
В отношении восстановления круглой связки бедра
- в приложении схемы этой операции при паралитическом вывихе (a - по Зацепину; б-по Мовшовнчу; в - по Чаклину.). Источник - "Оперативная ортопедия", И.А. Мовшович, 1993г. Сам, в данном случае, считаю это опасным, т.к. без вывихивания вмешательство не осуществить, а повторный вывих и рассверливание чревато не только травматизацией хряща в нагружаемой зоне, но и ухудшением кровоснабжения головки. На операции, кстати, кровотечение из дефекта было весьма интенсивным.
Александр Николаевич, Вам персональное спасибо за ресурс по переломо-вывихам. Думаю, что операция была оправдана, т.к. больший фрагмент при проверке движений под наркозом "подклинивал."
Юрий Алексеевич Булахтин
|
[
Ответить ]
|
Re: Вывих бедра - дообследование
Отправитель: С.В.Архипов-Балтийский 24 Май 2005, 20:29
|
Юрий Алексеевич,
Ваше клиническое наблюдение исключительно интересно:
В отношении абсолютного большинства связок современная травматология находится на следующих позициях: разорвано-сшить, оторвано с костным фрагментом - синтезировать, в крайнем случае - протезировать. Яркий тому пример отношение к крестообразным связкам коленного сустава. Моделируя тазобедренный сустав на трехмерной модели, и изучая на ней функцию связки головки бедра, я обнаружил ряд эффектов связанных с ее механической функцией. Оказалось, что они играют важную роль в механике тазобедренного сустава и всей опорно-двигательной системы. Их наличие доказывают клинические наблюдения, логика развития патологического процесса в тазобедренном суставе. Согласен, мои выводы о важности связки головки бедра для механики тазобедренного сустава несколько не соответствуют сложившимся представлениям о биомеханике одноопорного положения. Отдельные истероидные выпады <:этого не может быть потому, что этого не может быть никогда:> (напр. см. Ч.А.) не интересны для дискуссии. Однако, если связка существует и нужна как связка, при повреждении ее необходимо восстанавливать как полноценный элемент опорно-двигательной системы: Да, это пока звучит <необычно>, выполнить представляется очень сложно, но это не повод прекращать научный поиск. К нему подталкивают результаты экспериментальных исследований, к ним нельзя относится как к выдумкам барона Мюнхгаузена. Более того, я ни коем образом не желаю Вас и сообщество Ортофорума ввести в заблуждение, я открыто делюсь своими наработками. Спекуляция на научной идее и направлении исследований реальной (денежной) выгоды не приносит тем более в сети Интернет. Я считаю восстанавливать связку головки бедра необходимо. Как это сделать эффективно и с пользой для пациента, вопрос открыт, подключайтесь... С моей точки зрения это реальная Проблема для современной ортопедии и травматологии.
С уважением С.В.Архипов
|
[
Ответить ]
|
Re: Вывих бедра - дообследование
Отправитель: Alexander Chelnokov 24 Май 2005, 23:12
|
СВАБ> Ваше клиническое наблюдение исключительно интересно…
Что именно, на Ваш взгляд, в этом наблюдении представляет "исключительный интерес"?
СВАБ> В отношении абсолютного большинства связок современная травматология
СВАБ> находится на следующих позициях: разорвано-сшить, оторвано с костным
СВАБ> фрагментом – синтезировать, в крайнем случае – протезировать. Яркий
СВАБ> тому пример отношение к крестообразным связкам коленного сустава.
Если поговорить с артроскопистами, занимающимися пластикой связок, можно услышать, что восстанавливать их надо не каждом случае повреждения, а когда успешно восстановили - далеко не все пациенты счастливы. Так что Ваш пример как раз про то, что вряд ли есть смысл говорить о какой-то единой позиции "в отношении абсолютного
большинства связок".
СВАБ> Моделируя тазобедренный сустав на трехмерной модели, и изучая на ней
СВАБ> функцию связки головки бедра, я обнаружил ряд эффектов связанных с ее
Насколько я помню, в предшествующих обсуждениях указывалось на несоответствие этой модели реальности. Из ложных посылок и выводы получаются соответствующие.
СВАБ> одноопорного положения. Отдельные истероидные выпады «…этого не может
СВАБ> быть потому, что этого не может быть никогда…» (напр. см. Ч.А.) не
СВАБ> интересны для дискуссии.
Не надо подменять неспособность ответить по существу на доводы оппонентов утверждениями о "неинтересности для дискуссии", и пытаться принизить значимость возражений искажением их смысла и упреками в "истероидности". Это просто неприлично.
СВАБ> Однако, если связка существует и нужна как связка, при
СВАБ> повреждении ее необходимо восстанавливать как полноценный
СВАБ> элемент опорно-двигательной системы…
То, что некий анатомический объект существует, вовсе автоматически не означает необходимость его хирургического восстановления при повреждении.
СВАБ> Да, это пока звучит «необычно», выполнить представляется очень
СВАБ> сложно,
Практика показывает, что если вывих бедра быстро и аккуратно устранить, это приводит к хорошему результату. Что еще должно улучшиться от операции по восстановлению связки? Довольно очевидные соображения высказал и коллега Булахтин - вред от открытого вмешательства с вывихом бедра вполне конкретен. При том, что польза от восстановления связки - иллюзорна.
СВАБ> но это не повод прекращать научный поиск.
К сожалению, иногда поиск получается не очень научный, а ищущему это если и становится очевидно, то позже многих.
СВАБ> Ортофорума ввести в заблуждение, я открыто делюсь своими наработками.
На самом деле это Вам предоставилась возможность обсудить свои предположения с компетентной аудиторией. Так что это Ваши коллеги потратили время, чтобы прочитать Ваши тексты, их проанализировать, и представить Вам свое суждение, т.е. провели компетентную независимую экспертизу.
СВАБ> Спекуляция на научной идее и направлении исследований реальной
СВАБ> (денежной) выгоды не приносит тем более в сети Интернет.
Да совсем не об этом была речь. Под научными спекуляциями понимаются умозрительные рассуждения, т.е. не основанные на фактах.
СВАБ> Я считаю восстанавливать связку головки бедра необходимо.
Удовлетворительного обоснования этому мнению не было представлено. Скажем, результаты лечения вывихов бедра зависят в большой степени от времени от момента травмы до вправления. Для связки это ничего не означает, она остается невосстановленной в любом случае. Может, пора вспомнить, что есть и другие факторы, влияющие на состояние сустава?
|
[
Ответить ]
|
Re: Вывих бедра - дообследование
Отправитель: С.В.Архипов-Батийский 25 Май 2005, 14:14
|
Ваша, Alexander Chelnokov, точка зрения понятна, спасибо за высказанные замечания. Вас не устраивает использованная мною модель тазобедренного сустава. Модель всегда отличается от реального объекта, однако, моделирование является и сейчас одним из основных методов биомеханики. С моей точки зрения моя конструкция существенно ближе к реальному суставу, чем известные ранее (Беленький, Гиммельфарб, Пауэлс:), потому и полученные результаты иные: Как можно заметить из специальной литературы основные ссылки идут на работы Pauwels F. именно его механика тазобедренного сустава считается <правильной>. Вместе с тем, использованные им модели были куда более несовершенны и не учитывали существенно больше элементов тазобедренного сустава. Почему тогда, вы выводы Pauwels F. воспринимаете как догму, где логика? Или это магия авторитета, заставляет не замечать шероховатости принятой сейчас системы взглядов на механику тазобедренного сустава. Вы считаете невозможным замыкание тазобедренного сустава связкой головки бедра или не хотите с этим смириться? Предложено множество теорий патогенеза коксартроза, однако, следуя им не удается предотвратить развитие данного заболевания. Почему тогда вы упрямо их поддерживаете?
Все-таки с уважением, Сергей Архипов
|
[
Ответить ]
|
Re: Вывих бедра - дообследование
Отправитель: Alexander Chelnokov 29 Май 2005, 21:48
|
СВАБ> тазобедренного сустава. Модель всегда отличается от реального объекта,
СВАБ> однако, моделирование является и сейчас одним из основных методов
СВАБ> биомеханики.
Все это очевидно. Как и то, что модель должна адекватно отражать существенные свойства объекта.
СВАБ> С моей точки зрения моя конструкция существенно ближе к
СВАБ> реальному суставу, чем известные ранее (Беленький, Гиммельфарб,
СВАБ> Пауэлс…), потому и полученные результаты иные
Это авторская точка зрения, т.е. субъективная и предубежденная. Независимые оценки были несколько другие. А Ваши предположения можно легко проверить просто на анатомическом препарате.
СВАБ> сустава считается «правильной». Вместе с тем, использованные им
СВАБ> модели были куда более несовершенны и не учитывали существенно
СВАБ> больше элементов тазобедренного сустава.
Видимо, в его модели присуствуют основные существенные элементы, и отсуствуют надуманные.
СВАБ> Вы считаете невозможным замыкание тазобедренного сустава связкой
СВАБ> головки бедра или не хотите с этим смириться?
Не хотелось бы повторяться. Уже не раз говорили о том, при каком угле приведения можно ожидать натяжения связки головки, и о том, что этот угол не достигается ни при стоянии, ни при обычной ходьбе.
В предыдущем сообщении были оставленные Вами без комментариев некоторые очевидные моменты - про зависимость результатов при вывихах бедра от времени до вправления. О том, что нет тотальных плохих результатов у всех, перенесших вывих. О том, что есть много факторов, определяющих развитие посттравматического артроза, и нет овнований все сводить к одной связке.
СВАБ> Предложено множество теорий патогенеза коксартроза, однако,
СВАБ> следуя им не удается предотвратить развитие данного заболевания.
СВАБ> Почему тогда вы упрямо их поддерживаете?
Скажем, очевидно, что генетические факторы играют большую роль в возникновении артроза. Поскольку это глупо отрицать, приходится эту теорию "упрямо поддерживать", хотя современный уровень развития генно-инженерных технологий пока не позволяет "следуя им, предотвратить развтите заболевания".
|
[
Ответить ]
|
Re: Вывих бедра - дообследование
Отправитель: С.В.Архипов-Балтийский 30 Май 2005, 19:42
|
AC> модель должна адекватно отражать существенные свойства объекта.
Именно с этой целью я в модель тазобедренного сустав ввел аналоги всех наружных связок, аналог связки головки бедра, аналог вертлужной губы и аналог синовиальной жидкости. Наличие модели проксимального отдела бедра, модели вертлужной впадины, моделирование отводящей группы мышц само собой разумеющиеся элементы конструкции.
AC> авторская точка зрения, т.е. субъективная и предубежденная
AC> предположения можно легко проверить просто на анатомическом препарате.
У каждого субъекта мнение субъективно, как и у Вас. Один из главных эффектов связанных с возможностью замыкания тазобедренного сустава во фронтальной плоскости связкой головки бедра мною проверялся на анатомическом препарате и был подтвержден.
AC>Видимо, в его модели присуствуют основные существенные элементы, и AC>отсуствуют надуманные.
Под надуманными элементами тазобедренного сустава Вы, неверное, подразумеваете наружные связки, связку головки бедра, вертлужную губу и синовиальную жидкость, проксимальный отдел бедра, вертлужная впадина? Какие же <видимо: надуманные>?
AC> при каком угле приведения можно ожидать натяжения связки головки
Повторюсь, связка головки бедра замыкает тазобедренный сустав во фронтальной плоскости в позиции максимального приведения. В ненапряженном ортостатическом положении оно составляет 15-20°, (обнаружено при клиническом обследовании и проверено на плоскостной модели реального тазобедренного сустава). Замечено, что при сгибании в суставе величина возможного приведения возрастает.
AC> про зависимость результатов при вывихах бедра от времени до вправления.
AC> нет тотальных плохих результатов у всех, перенесших вывих.
AC> есть много факторов, определяющих развитие артроза,
AC> нет овнований все сводить к одной связке.
Если время прошедшее до вправления исчисляется в сутках естественно исход хуже, однако не по причине расстройства кровоснабжения в суставе.
Развитие коксартроза я сам не считаю <тотально плохим результатом>. Коксартроз, с моей точки зрения, компенсаторно-приспособительный процесс. Его следует расценивать как положительное явление, ответ на перенесенную травму. При 1-2 стадии коксартроза качество жизни существенно не страдает, тем более у лиц молодого возраста, для которых и характерны вывихи.
Вы путаете либо не дифференцируете понятие <фактор> и <первичное патологоанатомическое изменение> (в нашем случае повреждение/изменение связки).
Никто не спорит, что травма (<фактор>) перелом вертлужной впадины или головки бедра (<первичное патологоанатомическое изменение>) приводит к артрозу. Я же обращал внимание коллег на то, что вследствие повреждения связки происходит существенное нарушение биомеханики, которое и приводит к артрозу.
AC> генетические факторы играют большую роль в возникновении артроза.
Скажем, очевидно, не все случаи коксартроза подпадают и под генетическую теорию (пример переломо-вывих бедра). Каким образом генный инженер может предотвратить травму, как Вы себе это представляете? Вы считаете, что данное заболевание неизлечимо на данном этапе развития науки. Надо понимать Вы ни разу его не лечили, понимая полную бесперспективность какой бы то ни было терапии? Наверно и работы о лечении коксартроза Вами воспринимаются как спекуляции (Корнилов Н.В., Войтович А.В., Машков В.М., Эпштейн Г.Г. Хирургическое лечение дегенеративно-дистрофических поражений тазобедренного сустава. - СПб.: <ЛИТО Синтез>, 1997. - 292 с., Шумада И.В., Крисюк А.П. Посттравматический коксартроз его профилактика и лечение // Ортопед., травматол. - 1980. - №1. - С. 4-8: кто спекулянт, они или Вы :-).
Речь идет об отсутствии пока эффективного патогенетического лечения и профилактики коксартроза по причине неясности патогенеза.
|
[
Ответить ]
|
Re: Вывих бедра - дообследование
Отправитель: Alexander Chelnokov 31 Май 2005, 01:12
|
СВАБ> Именно с этой целью я в модель тазобедренного сустав ввел аналоги всех
Осталось дождаться независимых подтверждений, что модель адекватная, а не просто номинально включает некий перечень образований.
AC>> авторская точка зрения, т.е. субъективная и предубежденная
AC>> предположения можно легко проверить просто на анатомическом препарате.
СВАБ> У каждого субъекта мнение субъективно, как и у Вас.
По крайней мере, в отличие от автора-энтузиаста некоего продположения, мнения других менее зашоренные и от мнения этого автора независимые.
СВАБ> тазобедренного сустава во фронтальной плоскости связкой головки
СВАБ> бедра мною проверялся на анатомическом препарате и был подтвержден.
Цитирую Вас: "Вы говорите об анатомическом препарате. Я, в свое время, размышлял и об этом. Для того, чтоб опыт получился «чистым», необходим препарат таза и бедро молодого субъекта, у которого однозначно СГБ сохранена и нормально функционировала до летального исхода. Получить такой препарат очень сложно, кто даст калечить труп молодого человека?, как правило у подобных лиц есть родственники…"
Это Вы сообщали в январе, видимо, за последующий период все-таки удалось найти возможность. Интересно бы взглянуть на фото препарата тазобедреного сустава в приведении с целой и пересеченной связкой, при сохранении целости остальных элементов.
СВАБ> Под надуманными элементами тазобедренного сустава Вы, неверное,
СВАБ> подразумеваете наружные связки, связку головки бедра, вертлужную губу
Ну, про синовиальную жидкость в данном контексте говорить очевидно бессмысленно. А насчет связки - давайте посмотрим на фото препаратов с ней и без нее.
СВАБ> фронтальной плоскости в позиции максимального приведения. В
СВАБ> ненапряженном ортостатическом положении оно составляет 15-20°,
Не надо специальных условий для того, чтобы убедиться, что бедро совбодно приводится на угол более 30 градусов.
СВАБ> (обнаружено при клиническом обследовании
Что пишут об амплитуде движений ортопедические "буквари"?
СВАБ> и проверено на плоскостной модели реального тазобедренного
СВАБ> сустава).
Сейчас сделаю плоскостную модель Вас, и по ней проверю Ваш рост. Как можно моделью *проверять* реальность? Модель может пытаться вопроизвести некоторые ее свойства, и это реальностью проверяется, правильная модель, или нет.
СВАБ> Если время прошедшее до вправления исчисляется в сутках естественно
СВАБ> исход хуже,
За счет чего? Кстати, не в сутках тут сроки меряются, а в часах.
В Rockwood's "Fractures in adults", 2001 читаем:
=============================================================
Results appear to vary most with the time to reduction of the dislocation (9,52,83,89,118,133). The longer the time between dislocation and reduction, the worse the outcome. Brav (9) reported that reduction after 12 hours raised the rate of unsatisfactory results from 22% to 52%. Stewart and Milford (118) reported 88% good results if the dislocation was reduced within 12 hours, and Morton (83) found that excellent results occurred only in hips reduced within 12 hours. Reigstad (97) found no cases of arthritis or AVN in simple dislocations reduced within 6 hours.
=============================================================
СВАБ> однако не по причине расстройства кровоснабжения в
СВАБ> суставе.
То есть ортопедические руководства и учебники на этот счет заблуждаются. И если не по причине "расстройства кровоснабжения в суставе", то почему же все-таки? По крайней мере, фактор повреждения питающих сосудов при вывихе более чем обоснован.
СВАБ> Развитие коксартроза я сам не считаю «тотально плохим результатом».
СВАБ> Коксартроз, с моей точки зрения, компенсаторно-приспособительный
СВАБ> процесс. Его следует расценивать как положительное явление, ответ на
Право слово, не надо подобных "я считаю", "следует расценивать" и т.п. космического масштаба чисто умозрительных суждений. Задолго до нас уже договорились, что считать коксартрозом.
СВАБ> перенесенную травму. При 1-2 стадии коксартроза качество жизни
СВАБ> существенно не страдает, тем более у лиц молодого возраста, для
Ну, это дело относительное, тем более, что про стадию артроза мы узнаем, когда пациент к нам обращается, т.е. когда изменения перестают быть субклиническими.
СВАБ> Вы путаете либо не дифференцируете понятие «фактор» и «первичное
СВАБ> патологоанатомическое изменение» (в нашем случае повреждение/изменение
Это просто разные категории. Это самое "изменение" является одним из неблагоприятных факторов.
СВАБ> Никто не спорит, что травма («фактор») перелом вертлужной впадины или
СВАБ> головки бедра («первичное патологоанатомическое изменение») приводит к
СВАБ> артрозу.
Всевозможных факторов там много. И ишемия, и прямое повреждение хряща, и разрыв капсулы, и кровоизлияние, и последующая гетеротопическая
оссификация, и асептическое воспаление, и т.д.
СВАБ> Я же обращал внимание коллег на то, что вследствие повреждения
СВАБ> связки происходит существенное нарушение биомеханики, которое и
СВАБ> приводит к артрозу.
Если бы хотя бы наблюдалось однозначное - "нет связки - есть артроз", было бы основание уточнять эту зависимость. Все мы встречали любые варианты: "есть связка - есть артроз", "есть связка - нет артроза", "нет связки - есть артроз", и "нет связки - нет артроза". То есть на уровне простой логики очевидно, что критическая роль связки надуманна. Нарушение биомеханики происходит лишь, видимо, в неадекватной реальности модели сустава.
СВАБ> Скажем, очевидно, не все случаи коксартроза подпадают и под
СВАБ> генетическую теорию (пример переломо-вывих бедра). Каким образом
СВАБ> генный инженер может предотвратить травму, как Вы себе это
СВАБ> представляете?
Можно заметить, что при прочих равных у разных субъектов прогрессирование и выраженность проявлений сильно варьирует. Т.е. уместно предположить, что тип реакции детерминирован.
СВАБ> Вы считаете, что данное заболевание неизлечимо на данном этапе
СВАБ> развития науки.
Это общеизвестно.
СВАБ> Надо понимать Вы ни разу его не лечили, понимая полную
СВАБ> бесперспективность какой бы то ни было терапии?
Удобно придумывать за оппонента глупые доводы и потом их опровергать.
СВАБ> Речь идет об отсутствии пока эффективного патогенетического лечения и
СВАБ> профилактики коксартроза по причине неясности патогенеза.
"Cложные проблемы всегда имеют простые и легкие для понимания неправильные решения" (Гроссман)
|
[
Ответить ]
|
Re: Вывих бедра - дообследование
Отправитель: С.В.Архипов-Балтийский 31 Май 2005, 20:32
|
Вас не устраивают результаты экспериментов полученные на модели по причине ее неадекватности в чем же она конкретно выражается, если исключить профузную болтовню по поводу каждой фразы? Несомненно модель Пауэлса получила в вашем лице такого же категоричного оппонента, и нелестной оценки, что вы на дух не воспринимаете предложенную им механику тазобедренного сустава. Препарат таза человека действительно получить сложно. Я проверял свои экспериментальные наблюдения на препаратах тазобедренного сустава свиньи, быка и домашней птицы. Последние как известно то-же ходят на двух ногах или обязательно надо, что б они еще и могли разговаривать. За обилием словесных выпадов все-таки мне осталось непонятным, что вы считаете надуманными элементами тазобедренного сустава или я что-то пропустил в перечислении. В азбуках о приведении пишут разное, я же определял предельный объем этого движения при замыкании тазобедренного сустава в сагиттальной плоскости, что наблюдается в одноопорном ортостатическом положении. Плоскостная модель использовалась уже упомянутым Пауэлсом. В отличии от него, аналогичную модель я дополнил только аналогом связки головки бедра, потому и получил несколько иные результаты, уточнив ряд выдвинутых им положений. Кстати, Сэр Чанли пишет о том, что артерия СГБ кровоснабжает крайне малую часть головки бедра вокруг ямки, нарушение кровотока по данному пути практически не может нарушить питание <шарика> приедя его некрозу. Если уж думать о кровообращении, то необходимо делать шов артерии связки головки бедра, на не назначать вазоактивную терапию пытаясь предотвратить аваскулярный некроз. <Есть связка : нет связки> при случае, обратите внимание на ее состояние, область крепления, длину при выполнении протезирования при артрозе. Биомеханика сустава может страдать и при изменении этих характеристик связки приводя к артрозу. Действительно, сложные проблемы всегда имею не простые для понимания решения, ваши замечания яркое свидетельство.
|
[
Ответить ]
|
Re: Вывих бедра - дообследование
Отправитель: Alexander Chelnokov 31 Май 2005, 22:29
|
Хотя бы в явном противоречии простым обстоятельствам:
1) приведение бедра легко возможно на гораздо больший угол, чем достигается в нормальной ходьбе и статике.
2) очевидным фактам вполне нормальной жизни и ходьбы без хромоты множества людей без связки головки - как с искусственными суставами, так и со своими после вывиха.
СВАБ> если исключить профузную болтовню по поводу каждой фразы?
Ну почему, если не получается ответить по существу, надо обязательно сказать что-то вот этакое?
СВАБ> воспринимаете предложенную им механику тазобедренного сустава.
Пока уровень аргументации далек от необходимости привлечения тех или иных серьезных моделей. Достаточно простого здравого смысла.
СВАБ> Препарат таза человека действительно получить сложно. Я проверял
СВАБ> свои экспериментальные наблюдения на препаратах тазобедренного
СВАБ> сустава свиньи, быка и домашней птицы.
В силу того, что перенесение результатов таких наблюдений на человека крайне проблематично, требует большой осторожности, скрупулезной доказательности и обсуждения, Ваше заключение "все вроверено и подтверждается" не выдерживает критики.
СВАБ> все-таки мне осталось непонятным, что вы считаете надуманными
СВАБ> элементами тазобедренного сустава или я что-то пропустил в
СВАБ> перечислении.
Надуманным элементом Вашей модели выглядит пресловутая связка. В силу простых осбтоятельств, приведенных выше. А также того, что не было никакой независимой экспертизы, соответствуют ли свойства связка в Вашей модели таковым в реальном человеческом суставе.
СВАБ> В азбуках о приведении пишут разное,
А именно?
СВАБ> я же определял предельный объем этого движения при замыкании
СВАБ> тазобедренного сустава в сагиттальной плоскости, что наблюдается
СВАБ> в одноопорном ортостатическом положении.
Это почему же так? В этом положении работают мышцы, капсулой и связками приведение тормозится много дальше.
СВАБ> В отличии от него, аналогичную модель я дополнил только аналогом
СВАБ> связки головки бедра, потому и получил несколько иные результаты,
Можно менять положение, длину, натяжение имитации связки, и получать какие угодно результаты. Объединять их будет одно - к реальности все это имеет мало отношения.
СВАБ> что артерия СГБ кровоснабжает крайне малую часть головки бедра вокруг
СВАБ> ямки, нарушение кровотока по данному пути практически не может
СВАБ> нарушить питание «шарика» приедя его некрозу.
Это общеизвестно, равно как и то, что при вывихе страдают и основные сосуды, питающие головку.
СВАБ> Если уж думать о кровообращении, то необходимо делать шов
СВАБ> артерии связки головки бедра,
Не находите, что это противоречит Вашему же предыдущему соображению, что роль сосудов связки вв питании головки прнебрежимо мала?
СВАБ> а не назначать вазоактивную терапию пытаясь предотвратить
СВАБ> аваскулярный некроз.
Безусловно, такого рода "терапия" не имеет никаких оснований. Для предотвращения некроза, как было написано в предыдущем сообщении, надо быстро и аккуратно устранить вывих.
СВАБ> «Есть связка … нет связки» при случае, обратите
СВАБ> внимание на ее состояние, область крепления, длину при выполнении
СВАБ> протезирования при артрозе.
При артрозе все элементы сустава выглядят, мягко говоря, не так, как в здоровом суставе.
Вряд ли можно игнорировать очевидный момент, что раз все эти 4 сочетания (есть связка - есть артроз и т.д.) встречаются, нет оснований говорить о том, что именно отсутствие связки - это ключевой момент.
СВАБ> Биомеханика сустава может страдать и при изменении этих
СВАБ> характеристик связки приводя к артрозу.
Такого рода суждения называются "домыслы". Особенно на фоне того, что существуют субъекты с невосстановленной связкой, но без артроза.
СВАБ> Действительно, сложные проблемы всегда имею не простые для
СВАБ> понимания решения, ваши замечания яркое свидетельство.
Понять суть отстаиваемого Вами "решения" можно без усилий. Но от этого оно не перестает быть, мягко говоря, сомнительным.
|
[
Ответить ]
|
Re: Вывих бедра - дообследование
Отправитель: С.В.Архипов-Балтийский 06 Июнь 2005, 03:34
|
СВАБ> 1) приведение бедра легко возможно на гораздо больший угол, чем достигается в нормальной ходьбе и статике
Связка головки бедра (СГБ) функционирует, замыкая тазобедренный сустав (ТБС), в позиции разгибания в котором величина приведения минимальна 15-20 (часть одноопорного периода шага, одноопорное ортостатическое положение) в других, когда приведение увеличивается - нет.
СВАБ> 2) очевидным фактам вполне нормальной жизни и ходьбы без хромоты множества людей без связки головки - как с искусственными суставами, так и со своими после вывиха.
Очевидно, вы не видели ходьбу лиц перенесших эндопротезирование, она всегда не нормальна, не верите мне см. работы Г.Г.Эпштейна и соавт., В.Е.Беленького, Г.В.Куропаткина…
СВАБ> что-то вот этакое?
Замечено, резкие выпады по отношению к другим вполне вами допустимы, однако аналогичные заявления по отношению к вам вызывают неподдельную обиду и негодование, а принцип симметричности?
СВАБ>перенесение результатов таких наблюдений на человека крайне проблематично,
Согласен, однако, известно, что моделирование коксартроза вполне допускается в экспериментах на крысах, кроликах, собаках. Почему мои наблюдения вами отвергаются.
СВАБ>Надуманным элементом Вашей модели выглядит пресловутая связка. В силу простых осбтоятельств,
Вы очень категоричны.
Н.И.Пирогов СГБ «…сравнивал со стальной пружиной, на которой подвешен таз к головке» (Юрчак В.Ф., Евтушенко В.А., 1972). В «Большой медицинской энциклопедии» (1984), прямо сказано, что СГБ «…является амортизатором ТБС».
В.А.Неверов, В.А.Шильников (1993) считают, что СГБ играет важную роль в биомеханике ТБС…
СВАБ> не было никакой независимой экспертизы,
Да не было. Искренне буду признателен если подскажете, кто и где мог бы ее провести.
СВАБ> В азбуках
О приведении в ТБС - Ревенко Т.А. (1968) 10, Ryf Chr., Weymann A. (1996) 20–50, Иваницкий М.Ф., (1948; 1985) 15-30
СВАБ> В этом положении работают мышцы, капсулой и связками приведение тормозится много дальше.
«Функция связок заключается в замыкании сустава в определенном положении…» Л.П.Николаев (1947). Связки замыкают сустав пассивно, что более энергетически выгодно, мышцы - «активно» и практически в любом положении, естественно энергозатратами. Что более выгодно для организма в процессе ходьбы?
СВАБ> Можно менять положение, длину, натяжение имитации связки, и получать какие угодно результаты.
В своих экспериментах длина, натяжение и область крепления СГБ я воспроизводил с максимально возможной точностью.
СВАБ> роль сосудов связки вв питании головки прнебрежимо мала?
В среднем и старшем возрасте, однозначно.
СВАБ> нет оснований говорить о том, что именно отсутствие связки - это ключевой момент.
К коксартрозу приводит не только отсутствие СГБ, но и изменение ее длины, локализации областей крепления, механических свойств. Это моя точка зрения.
Ваши, «мягко говоря», сомнения понятны. Однако, подобна дискуссия может быть полезны и Вам, хотя, «мягко говоря» Ваша «резкая эмоциональность» не располагает к нормальному ее ведению.
|
[
Ответить ]
|
Re: Вывих бедра - дообследование
Отправитель: Alexander Chelnokov 24 Май 2005, 23:09
|
Приветствую, Юрий Алексеевич,
БЮА> прооперировал больного. Удалил два свободных фрагмента передне-нижнего
БЮА> отдела головки. Больший был смещен по типу сдвига, меньший - свободно
Остается поздравить Вас с успешным завершением операции и пожелать Вашему пациенту скорейшего выздоровления.
БЮА> переломо-вывихам. Думаю, что операция была оправдана, т.к. больший
БЮА> фрагмент при проверке движений под наркозом "подклинивал."
Тогда удаление фрагментов действительно целесообразно.
|
[
Ответить ]
|
|
Re: Вывих бедра - дообследование
крылов андрей 07 Июнь 2005, 21:42
|
Уважаемый Архипов-Балтийский.
У Вас была великолепная возможность продемонстрировать свои уникальные достижения и экспериментальные модели суства, связки, головки и пр.на недавней конференции в ЦИТО. Где Вы должны были быть одним из докладчиков. Думаю это было бы более наглядно как для скептиков, так и для многочисленных сторонников вашей модели.
К сожалению возможность была упущена.
Каждодневный напористый вызов к дискуссии по моему не очень корректен.
Если даже и есть в Вашей системе рациональное зерно, мне кажется, таким напором вы его только хороните.
С уважением Андрей Крылов
|
[
Ответить ]
|
Re: Вывих бедра - дообследование
Отправитель: С.В.Архипов-Балтийский 08 Июнь 2005, 14:21
|
Глубокоуважаемый Коллега!
Искренне признателен за Ваш комментарий. Мысль об очном участии в какой-либо конференции давно вынашивается мною. Пока препятствием является начальство + финансовое обеспечение, главное же, на руках у меня дочка 5 лет, оставить ее на долго практически не с кем. Сейчас, например, она приболела, днем 38, вечером больше...
О напоре. Мне задают вопросы, я на них отвечаю, стараюсь аргументировано. Кому интересно тот читает, это ведь не назойливый спам, который не контролируется. В интернет- дискуссии я всего второй раз. С учетом того, что мы на "открытом интернет портале" обсуждение поднятой темы не только поучительно для меня, но и может заставить хотя бы задуматься о функции СГБ еще кого-нибудь. Тем более, что имеются факты и их несоответствие, в том числе уже общеизвестные, которые позволяют усомниться в отдельных аспектах существующей биомеханики ТБС. Мне думается, что нельзя прятаться от противоречий, их необходимо пытаться активно разрешать или публично развенчивать безосновательные нападки (например мои мысли) на устоявшиеся воззрения.
С глубоким уважением к Вам
Сергей Архипов
|
[
Ответить ]
|
|
( Ответить )
|
|