AOTRAUMA.ORG Центр Илизарова  

Ортопедия и травматология Общие вопросы/General questions Help Информационные технологии в медицине
 ВХОД ДЛЯ ПАЦИЕНТОВ
 вверх
 поиск
 админ
 главная
 исходное


Re: Как классифицировать?..
послал Djoldas Kuldjanov 15 Июль 2005, 23:22
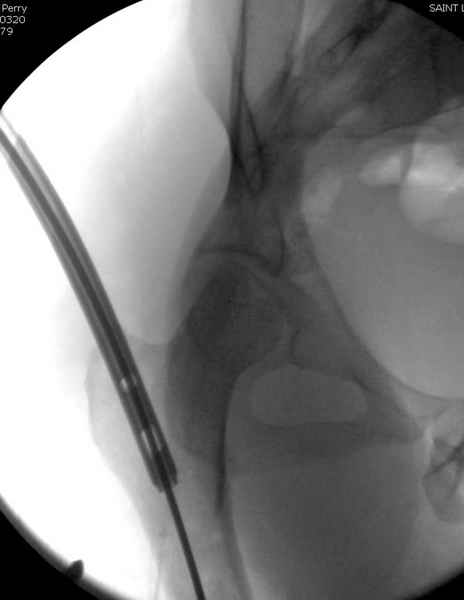
Второй случай тоже репозиция из малого доступа, больному 19 лет, множественные огнестрельные повреждениия конечностей, живота и черепа, правая конечность холодная, без пульсации. Ортопедический диагноз: огнестрельный перелом правого бедра. При срочной ангиографии повреждения сосудов не подтвердилось, конечность из-за ургентности состояния больного зафиксирована временным наружным фиксатором и больной оставлен на операционном столе для срочной лапаротомии хирургической службой.

Больной долго оставался нестабильным, только на 14 день удалось заменить на антеградный интромедуллярный штифт TFN (trochanteric femoral nail) SmithNephew. После неудачной попытки закрытой репозиции, несмотря на использование "joystick", проксимальный стержень от
наружного фиксатора, (перелом начал срастаться) репозицию провели из малого доступа, затем остальные этапы операции.


































































Случай был представлен из-за того, что больного оперировали после наружной фиксации и был риск инфекцирования через места проведения стержней (на снимках), прошло больше 3 месяцев, выписан из амбулаторной службы из-за отсутсвия надобности дальнейшего наблюдения.
Джолдас Кульджанов


Djoldas Kuldjanov, MD
Department of Orthopedic Surgery
St. Louis University Medical Center


Послать ответ

Имя
Email
Уведомление Сообщить мне по e-mail об ответах на это сообщение
Название
Комментарий
(Проверьте URL! Не забудьте написать http://!)
Кодировка
Если не знаете, что выбрать, выберите "Просто текст"!
Приложение
Можно приложить к сообщению файл c изображением, который затем будет доступен увидевшим сообщение.
Подготовка иллюстраций:
  • Рентгенограммы: черно-белые полутоновые изображения в формате JPEG (8 bit, greyscale) с разрешением от 300х200 до 1024х768 пикселов;
  • Клинические фотографии: полноцветные изображения в формате JPEG (24 bit, truecolor) с разрешением от 300х200 до 1024х768 пикселов;
  • Схемы и рисунки: черно-белые (2 bit) штриховые (line-art) изображения в формате GIF или compressed TIFF
  • Подберите степень сжатия файла JPEG и размер изображения таким образом, чтобы необходимые детали были различимы, но размер файла не превышал 75 кб.
  • Учтите, что текущая версия программного обеспечения Форума позволяет приложить к одному сообщению лишь один файл-вложение. Поэтому, если необходимо отправить несколько изображений, можно либо послать каждое как отдельное сообщение, либо в графическом редакторе объединить изображения в одно (сделать коллаж).
  • Если при подготовке изображений встречаются трудности, не стесняйтесь обратиться к координатору Форума.

  • Введите видимые символы в обратном порядке. Enter the above characters in reverse order (*Обязательно)
    В тексте сообщения можно использовать теги HTML <B> <I> <P> <A> <LI> <OL> <UL> <EM> <BR> <TT> <HR> <STRONG> <BLOCKQUOTE> <DIV .*> <DIV> <P .*>
  • Обратите внимание: Поля с жирными названиями обязательны.
  • Старайтесь отвечать в рамках обсуждаемой темы, а не начинать новые обсуждения.
  • Указывайте адекватную тему сообщения, чтобы было ясно, о чем оно.
  • Не послайте сообщений не по теме (оффтопик), раздраженных, грубых или обидных комментариев. Здесь это неуместно.
  • Powered by Zope  Squishdot Powered MedLink
    Посетитель: 0156310
      "По форме правильно, а по существу - издевательство" В.И.Ленин
    ©2001-2019Orthoforum Coordinator.
    [ Главная | Отправить сообщение | Поиск | Админ ]