AOTRAUMA.ORG Центр Илизарова  

Ортопедия и травматология Общие вопросы/General questions Help Информационные технологии в медицине
 вверх
 отправить
 поиск
 админ
 главная


Прошу совета, коллеги!
Ортопедия и травматология Отправлено Kornev Alex 12 Июль 2005, 21:35
Уважаемые коллеги. Нужен совет по клиническому случаю матери.
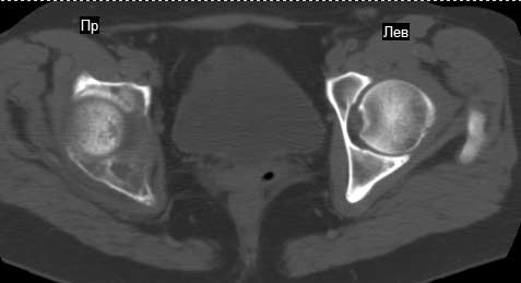
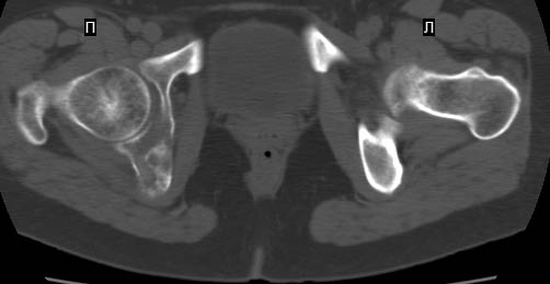
Сохранная по соматической патологии женщина ,47 лет. В 1996 г. установлен диагноз- cr левой молочной железы Т2N1Mo (2б)- проведено комплексное лечение- мастэктомия по Холстеду, ДГТ, 5 курсов ПХТ по схеме CMF. Сейчас менопауза уже 6-7 лет. В декабре 2004 года на профилактической остеосцинтиграфии с Тс99- выявлен единичный очаг повышенной фиксации препарата в зоне правой седалищной кости, рекомендована Рентгенография костей таза, выполнена- без патологии. УЗИ брюшной полости и Р-графия легких от конца апреля 2005 года - без патологии. Приблизительно 3 месяца назад появился болевой синдром в правом т/бедренном суставе с тенденцией к усилению. На рентгенограмме таза от мая 2005 года по заключению Рентгенолога очагов остеодеструкции не выявлено. Сегодня сделал ей Кт костей таза (картинки в приложении)- очаг деструкции в правой седалищной кости в зоне крыши вертлужной впадины.Что можно и нужно сделать? Жду советов, мнений, предложений по дальнейшей тактике ведения больной. С уважением, Корнев А.В.

<  |  >

 

  • Сообщения о Ортопедия и травматология
  • Также Kornev Alex
  • Связаться с автором
  • Ответить

    Re: Прошу совета, коллеги!
    Evgueny Tschekashkine 13 Июль 2005, 09:16
    Начните с биопсии

    Евгений
    [ Ответить ]

    • Re: Прошу совета, коллеги!
      Отправитель: Виталий Тазалов 13 Июль 2005, 19:17
      Интересно, как Вы себе представляете биопсию крыши вертлужной впадины. И каков уровень безопасности/пользы такой процедуры в данном конкретном случае?

      С уважением, Виталий Тазалов.

      [ Ответить ]
      • Re: Прошу совета, коллеги!
        Отправитель: Evgueny Tchekashkine 13 Июль 2005, 22:17
        Уважаемый Виталий,

        На мой взгляд, биопсия из очага деструкции выглядит логичным методом перед обширной хирургией, хоть и в представленном случае вроде бы вторичный характер деструкции не вызывает сомнений.
        Чрескожная пункционная техника иглой со стиллетом 4 мм в диаметре под контролем ЭОПа.

        Евгений И. Чекашкин

        [ Ответить ]
    Re: Прошу совета, коллеги!
    Alexandr Berzoy 13 Июль 2005, 09:18
    KA> комплексное лечение- мастэктомия по Холстеду, ДГТ, 5 курсов ПХТ по
    KA> схеме CMF.

    Антиэстрогены получала?

    KA> - очаг деструкции в правой седалищной кости в
    KA> зоне крыши вертлужной впадины.
    KA> Что можно и нужно сделать?

    Определить рецеторы эстрогена/прогестерона, Her-2-neu по имеющимся
    в архиве блокам (парафиновым, целлоидиновые не годятся).
    При положительных рецепторах, показана гормонотерапия, лучше
    ингибиторами ароматазы (но дорого).

    Бифосфонаты для профилактики патологического перелома.

    Сделать КТ грудной клетки для поиска измеримых (2 среза КТ)очагов
    (лимфоузлы, лёгкие).
    Если есть измеримые очаги, можно поискать подходящий протокол РКИ
    в которых обследование (включая определение рецепторов) и лечение
    бесплатны, возможна оплата проезда пациента).
    http://www.clinicaltrials.gov/ct/search

    Search results for "Adult" [AGE-GROUP] AND "Russian Federation" [LOCATION-COUNTRY] AND ( "OTHER" OR "FED" OR
    "INDUSTRY" OR "NIH" ) [FUNDED-BY] AND ( "Phase IV" OR "Phase III" ) [PHASE] AND metastatic breast cancer
    [CONDITION] are shown below.
    Include trials that are no longer recruiting patients.

    1. Recruiting Study Comparing GW572016 And Letrozole Versus Letrozole In Subjects With
    Advanced Or Metastatic Breast Cancer
    Conditions: Metastatic breast cancer; Advanced Breast Cancer

    2. Recruiting Capecitabine (Xeloda) With Or Without Lapatinib (GW572016) For Women With
    Refractory Advanced or Metastatic Breast Cancer
    Conditions: Advanced Breast Cancer; Metastatic breast cancer

    3. Recruiting The CAT Study: Atamestane Plus Toremifene versus Letrozole in Advanced Breast
    Cancer
    Conditions: Breast Neoplasms; Neoplasms, Hormone-Dependent

    4. Recruiting FASLODEX and AROMASIN in Hormone Receptor Positive Postmenopausal Women with
    Advanced Breast Cancer
    Conditions: Breast Neoplasms; Metastases, Neoplasm

    5. Recruiting Evaluation of BNP7787 for the Prevention of Neurotoxicity in Metastatic Breast
    Cancer Patients Receiving Weekly Paclitaxel
    Conditions: Breast Neoplasms; Breast Diseases; Metastases, Neoplasm

    К примеру http://www.clinicaltrials.gov/ct/show/NCT00097344?order=3
    лечение ингибиторами ароматазы Летрозол vs Атаместан+Торемифен.

    В ближайшие месяцы должен открыться набор в протокол по лечению
    пациенток с анемией (ожидаемой после 2-х курсов ХТ анемией!)
    Даксорубицин+Таксотер \ Герцептин с или без эритропоэтина
    и ещё пару протколов....

    Если РКИ отпадают, тогда начать с гормонотерапии + бифосфонаты,
    лучевая терапия. При положительной динамике - продолжать
    гормонотерапию, при отрицательной - химиотерапия.



    --
    С уважением,
    Александр Берзой
    Одесса
    [ Ответить ]

    Re: Прошу совета, коллеги!
    Сергей Архипов 13 Июль 2005, 12:25
    Следует рассмотреть и оперативный способ лечения.
    В МНН (Hannover) наблюдал два варианта лечения описанной патологии:
    1. Гемипельвиоэктомия (чаще чем принято в РФ, травматично, один этап, психологический барьер)
    2. Резекция тазовой кости и тазобедренного сустава с последующим эндопротезированием (менее травматично, как минимум три этапа, дорого).
    С уважением Сергей Архипов

    [ Ответить ]

    • Re: Прошу совета, коллеги!
      Отправитель: Alexandr Berzoy 13 Июль 2005, 18:11
      В чём цель/смысл данного весьма травматичного вмешательства при диссеминированном онко-процессе?

      (С учётом также фактора стимуляции опухолевого роста при хирургической травме)




      Александр Берзой
      Одесса.

      [ Ответить ]
    • Re: Прошу совета, коллеги!
      Отправитель: Виталий Тазалов 13 Июль 2005, 19:18
      Вот это номер! А речь-то идет о диссеминированном раке молочной железы. Что ожидается от гемипельвиоэктомии?!

      > 2. Резекция тазовой кости и тазобедренного сустава с последующим
      > эндопротезированием (менее травматично, как минимум три этапа,
      > дорого).

      Зачем? Это не первичная опухоль - это метастаз.

      С уважением, Виталий Тазалов.

      [ Ответить ]
      • Re: Прошу совета, коллеги!
        Отправитель: Сергей Архипов 14 Июль 2005, 19:47
        Уважаемые Коллеги, Виталий и Александр,

        Из описания статуса пациентки следует, что имеется единичный метастаз, кроме этого она <Сохранная по соматической патологии:>. Я склонен согласиться с подходом немецкaих коллег о радикальном хирургическом лечении. Метастаз в тазовую кость, с распространением процесса на тазобедренный сустав (при отсутствии специфически препаратов или их недоступности) более целесообразно абластично удалить. Наверное, не стоит ждать дальнейшего распространения процесса. Сохранить конечность при подобном варианте лечения возможно только с привлечением индивидуально выполненного эндопротеза (около 20000 Евро), потому как альтернатива применяется гемипельвиоэктомия.

        С уважением Сергей Архипов


        [ Ответить ]
        • Re: Прошу совета, коллеги!
          Отправитель: Vitaly Tazalov 15 Июль 2005, 18:22
          При диссеминированном РМЖ единичных метастазов не бывает. Если операции на метастатических опухолях РМЖ и выполняются, то только с целью циторедукции и создания оптимальных условий для системного лечения. В данном случае показаний к циторедукции не вижу. Удалив метастаз мы потеряем единственный визуализируемый на данный момент контрольный очаг, что сделает крайне затруднительной оценку эффекта системного лечения и ликвидирует возможность включения больной в РКИ, упоминавшиеся Александром Андреевичем - шанс на получение бесплатной гормоно- и таргетной терапии исчезнет.

          С уважением, Виталий Тазалов.

          [ Ответить ]
    Re: Прошу совета, коллеги!
    Alex Kornev 14 Июль 2005, 19:15
    Хочу свозить мать на консультацию в институт радиологии в г.Обнинск. У нас мои коллеги практически не проявили интереса по данному случаю, радиологи наши, как понимаю, настроены на паллиативную ДГТ около 42 Грей. Как думаете, стоит сьездить в НИИ радиологии или уже поздно? Лично у меня такое ощущение, что скоро будет перелом!

    С надеждой,Корнев. Сегодня назначил тамоксифен. По льготным лекарствам ни интгибиторов ароматазы, ни бифосфонатов аптеки на склад не закупают.

    Всем удачи!!!
    [ Ответить ]

    • Re: Прошу совета, коллеги!
      Отправитель: Alexander Berzoy 14 Июль 2005, 19:17
      KA> Сегодня назначил тамоксифен.

      Доза? (60 мг?)

      KA> По льготным лекарствам ни интгибиторов ароматазы, ни бифосфонатов
      KA> аптеки на склад не закупают.

      С клиническими исследованиями - отпадает? (нет поблизости центра?)

      Цель консультации в Обнинске?

      Наверное стоит хотя бы Бонефос купить и прокапать самим (у представителя Шеринга взять будет дешевле, чем в аптеке).

      [ Ответить ]
    • Re: Прошу совета, коллеги!
      Отправитель: Alexander Chelnokov 14 Июль 2005, 19:17
      KA> сьездить в НИИ радиологии или уже поздно? Лично у меня такое ощущение,
      KA> что скоро будет перелом!

      Можно подумать про введение костного цемента - и дефект заполнит, и температурная реакция при полимеризации таксть антибластическим эффектом обладает...

      [ Ответить ]
    Re: Прошу совета, коллеги!
    Mikhail Ter-Ovanesov 15 Июль 2005, 18:25
    Уважаемый доктор Корнев А.В.

    К сожалению, с некоторым запозданием вступаю в дискуссию.
    Как я смог понять из данных анамнеза у Вашей матушки позднее прогрессирование рака молочной железы через 9 лет после лечения - солитарный метастаз в кости таза с высокой угрозой
    патологического перелома. Согласен со всеми онкологами, писавшими до меня - рак молочной железы это системное заболевание, поэтому
    проведение локальной терапии в виде высокотравматичного хирургического
    лечения [симптоматического] с протезированием сустава малообосновано и неоправданно. Учитывая системность заболевания необходимо поводить
    системную терапию с включением гормонов, ингибиторов ароматазы и бисфосфонотов. При угрозе патологического перелома или болевом
    синдроме - поведение лучевой терапии средними фракциями [РОД 4 Гр до СОД 20-28 Гр].
    С целью получения бесплатных препаратов я обсудил вопрос с нашими химиотерапевтами (бесспорный авторитет в вопросе рака молочной железы,
    профессор Личиницер М.Р.) - они готовы принять на лечение с выделением всех необходимых медикаментов.
    Для выбора тактики лечения необходимо пересмотр блоков с определением уровня рецепторов.

    При необходимости пишите на личный мэйл.

    С наилучшими пожеланиями
    Др. Тер-Ованесов М.Д.
    РОНЦ им. Блохина РАМН
    [ Ответить ]

    Re: Прошу совета, коллеги!
    Djoldas Kuldjanov, M.D. 15 Июль 2005, 23:15
    Др. Корнев

    Сам не имея опыта лечения подобных больных, сегодня показал представленные снимки специалисту по костной онкологии (Dr. Kurt Merkel), партнеру по работе.
    Его мнение: в данный момент облучение не более 2000-3000 рад, через три недели операция по удалению процесса "кюретажным методом" затем ввести несколько спиц с резбой на конце в различных направлениях (создавая как бы внутренную арматуру) метод Harrington?, потом полость залить цементом, вариант костной пластики тоже не исключает.
    Предосторежение насчет внедрения цемента в сустав и осторожно с нагрузкой после операции.

    Обещал прислать снимки своих случаев, после их получения пришлю. Если нужна помочь в материале, напиши.

    Джолдас Кульджанов




    [ Ответить ]

    • Re: Прошу совета, коллеги!
      Отправитель: Kornev Alex 30 Июль 2005, 01:57
      Коллеги!!! По данным свежей остеосцинтиграфии( 1 нед.назад)- очаг ЕДИНИЧНЫЙ!!! Пока, по крайней мере. Больная з а последнюю неделю получила сеанс гамматерапии по 5.4 Грея всего 5 сеансов ( изоэквивалент 46 Грей) . Болевой синдром уменьшился. Назначил Аримидекс- по 1 мг/сут. Сейчас думаю о возможности ПХТ. НО!!! МЕТОД КЮРЕТАЖАВ опухолевого очага и введения метилакрилового клея ЗАМАНЧИВ! Ни разу такого не видел, но к несомненным логическим претмуществам метода относится мешьшая по сравнению с резекцией кости травматичность, достижение циторедуктивного эффекта и "стабилизация" структур! Ваше мнение. Прошу откликнуться Джолдаса Кульджанова!!! Вышлите мне личной почтой материалы по этому методу., пож-та. С уважением, Корнев А.В.

      [ Ответить ]
    Re: Прошу совета, коллеги!
    Kornev Alex 30 Июль 2005, 02:05
    Коллеги!!! По данным свежей остеосцинтиграфии( 1 нед.назад)- очаг ЕДИНИЧНЫЙ!!! Пока, по крайней мере. Больная з а последнюю неделю получила сеанс гамматерапии по 5.4 Грея всего 5 сеансов ( изоэквивалент 46 Грей) . Болевой синдром уменьшился. Назначил Аримидекс- по 1 мг/сут. Сейчас думаю о возможности ПХТ. НО!!! МЕТОД КЮРЕТАЖАВ опухолевого очага и введения метилакрилового клея ЗАМАНЧИВ! Ни разу такого не видел, но к несомненным логическим претмуществам метода относится мешьшая по сравнению с резекцией кости травматичность, достижение циторедуктивного эффекта и "стабилизация" структур! Ваше мнение. Прошу откликнуться Джолдаса Кульджанова!!! Вышлите мне личной почтой материалы по этому методу., пож-та. С уважением, Корнев А.В.
    [ Ответить ]


    ( Ответить )

    Powered by Zope  Squishdot Powered MedLink
    Посетитель: 0610387
      "По форме правильно, а по существу - издевательство" В.И.Ленин
    ©2001-2019Orthoforum Coordinator.
    [ Главная | Отправить сообщение | Поиск | Админ ]