AOTRAUMA.ORG Центр Илизарова  

Ортопедия и травматология Общие вопросы/General questions Help Информационные технологии в медицине
 вверх
 отправить
 поиск
 админ
 главная


Перелом бедра
Ортопедия и травматология Отправлено Юрий Алексеевич Булахтин 21 Июль 2005, 15:44 Камчатский Военно - морской госпиталь
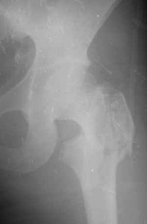
Уважаемые коллеги! На консультации обратились родственники больной, получившей в автопроисшествии неделю назад вот такой закрытый перелом.
Что делать?Пациентке 25 лет.

<  |  >

 

  • Сообщения о Ортопедия и травматология
  • Также Юрий Алексеевич Булахтин
  • Связаться с автором
  • Ответить

    Re: Перелом бедра
    Alexander Chelnokov 21 Июль 2005, 17:17
    Глубокоуважаемый Юрий Алексеевич,

    Thursday, July 21, 2005, 4:22:53 PM, you wrote:

    ЮАБ> автопроисшествии неделю назад вот такой закрытый перелом. Что делать?
    ЮАБ> Пациентке 25 лет.

    Такой перелом типичен для пожилых, и тут лучший выбор - гамма-подобный гвоздь. То есть мощный фиксатор в шейку (11-12 мм) и 15-17 мм гвоздь.
    Тут, с учетом молодого возраста, в порядке предпочтения у нас были бы реконструкционный гвоздь (он потоньше, 13 мм, и винты в шейку 6,5 мм), гамма/проксимальный гвоздь, динамический бедренный винт, клинковая пластина, аппарат (пучок спиц в шейку и два стержня в диафиз), скелетное вытяжение.
    [ Ответить ]

    Re: Перелом бедра
    Виталий Евгеньевич Казеннов 22 Июль 2005, 12:37
    Здравствуйте, уважаемый Юрий Алексеевич!

    Если бы это была моя дочь, я бы наложил скелетное вытяжение с максимальным грузом, сделал снимки через сутки, и поправил бы под наркозом руками. Через 8 недель -- на костыли без гипса.

    Уверен, что в данной ситуации сторонники активной хирургической тактики будут преобладать -- нога-то не своя.

    Что у женщины кроме этого перелома?
    Масса тела?
    Социальный статус?
    Кстати, как стоит в боковой проекции?

    С пожеланием успехов,
    Виталий Евгеньевич Казеннов
    [ Ответить ]

    Re: Перелом бедра
    Виталий Евгеньевич Казеннов 22 Июль 2005, 17:05
    Здравствуйте еще раз, уважаемый Юрий Алексеевич!

    Если уж сам гуру параартикулярных переломов бедра Александр
    Николаевич Челноков допускает

    > скелетное вытяжение

    -- значит это подходящий метод, хотя и не слишком эффектный с непрофессиональной точки зрения.

    Всех благ,
    В.Е.Казеннов
    [ Ответить ]

    • Re: Перелом бедра
      Отправитель: Alexander Chelnokov 22 Июль 2005, 17:09
      Наверно, стоящий совет в этом случае можно дать, зная контекст - и что за травма, и как сейчас сопоставились отломки, и что из методов на месте доступно. Или что при необходимости может быть привезено. Или может ли больная быть переправлена в более оснащенное учреждение.
      Как говорила наша прежняя начальница, "что бы ты сделал с таким больным, если бы был один в Сахаре?" Вертельные переломы многие годы традиционно велись консервативно. Легко выбрать в пользу операции, когда без нее часты плохие результаты. А тут при соблюдении методики вытяжения, как правило, можно добиться сращения с приемлемой длиной и осью. Хотя раз такая картина у молодого субъекта - скорее всего, это высокоэнергетическое повреждение, т.е. со сращением могут быть проблемы.
      Имеет значение и цена результата - для многих сегодня непривлекательна эта цена в виде 6-8 недель постельного режима, да потом ходьбы с костылями еще столько же. И они готовы даже заплатить из своего кармана ~500-1000 уругвайских эскудо не только за окончательный итог в виде сращения с правильной длиной и осью конечности, но и за возможность с первого дня после операции ходить с нагрузкой на ногу.

      [ Ответить ]
      • Re: Перелом бедра
        Отправитель: Vitaly Kazyonnov 23 Июль 2005, 09:40
        > Наверно, стоящий совет в этом случае можно дать, зная контекст

        В любом, не только в этом.

        Мы же говорим о совете именно при том наборе данных, которыми располагаем к моменту начала обсуждения. А стоящий он (совет) или нет -- пусть решает спрашивающий.
        "Давать советы вообще плохо, а хороший совет вам никто никогда не простит"

        > - и
        > что за травма, и как сейчас сопоставились отломки, и что из методов на
        > месте доступно. Или что при необходимости может быть привезено. Или
        > может ли больная быть переправлена в более оснащенное учреждение.

        Справедливо, кто бы спорил.

        > Как говорила наша прежняя начальница, "что бы ты сделал с таким
        > больным, если бы был один в Сахаре?"

        Мудрая женщина, однако.

        > Вертельные переломы многие годы
        > традиционно велись консервативно.

        Почему Вы считаете, что эти годы закончились? В эпоху расцвета метода Гавриила Абрамовича подавляющее большинство переломов по стране лечили НЕ аппаратами.

        > Легко выбрать в пользу операции,
        > когда без нее часты плохие результаты.

        Вот именно.

        > А тут при соблюдении методики
        > вытяжения, как правило, можно добиться сращения с приемлемой длиной и
        > осью.

        Точно.

        > Хотя раз такая картина у молодого субъекта - скорее всего, это
        > высокоэнергетическое повреждение, т.е. со сращением могут быть
        > проблемы.

        Они могут быть вне зависимости от методики лечения. Дополнительная агрессия не поспособствует регенерации.

        > Имеет значение и цена результата - для многих сегодня
        > непривлекательна эта цена в виде 6-8 недель постельного режима, да
        > потом ходьбы с костылями еще столько же.

        Насколько эти "многие" часто встречаются в популяции? Особенно среди получивших вертельный перелом7

        > И они готовы даже заплатить
        > из своего кармана ~500-1000 уругвайских эскудо не только за
        > окончательный итог в виде сращения с правильной длиной и осью
        > конечности, но и за возможность с первого дня после операции ходить с
        > нагрузкой на ногу.

        Блажен кто верует. Особенно при госгарантиях бюджетного лечения. В мире ежегодно делают сотни тысяч непоказанных операций.

        С уважением,
        Казеннов

        [ Ответить ]
        • Re: Перелом бедра
          Отправитель: Alexander Chelnokov 23 Июль 2005, 12:07
          >> Наверно, стоящий совет в этом случае можно дать, зная контекст
          ДЦт> В любом, не только в этом.

          Был бы у больной шеечный перелом - по одному снимку, без всякого контекста, можно было бы говорить о необходимости остеосинтеза.

          ДЦт> Мы же говорим о совете именно при том наборе данных, которыми
          ДЦт> располагаем к моменту начала обсуждения. А стоящий он (совет) или нет

          Обеспечивается информационная поддержка и мотивация, это конечно. Знание деталей позволяет отвечать менее пространно, в рамках доступного в конкретных условиях.

          >> Вертельные переломы многие годы традиционно велись консервативно.
          ДЦт> Почему Вы считаете, что эти годы закончились?

          В том числе и по собственной текущей практике. Ну и литература, плюс увиденное даже на отечественных конференциях, да и общение с коллегами, в том числе здесь...

          ДЦт> В эпоху расцвета метода Гавриила Абрамовича подавляющее
          ДЦт> большинство переломов по стране лечили НЕ аппаратами.

          В нашем отделении как раз аппараты доминировали до середины 90-х.

          >> со сращением могут быть проблемы.
          ДЦт> Они могут быть вне зависимости от методики лечения.

          Встречаемость разная.

          ДЦт> Дополнительная агрессия не поспособствует регенерации.

          Наверно, не вообще агрессия, а те манипуляции, которые ухудшают кровоснабжение. В частности, скелетирование отломков. "Закрытые" методики остеосинтеза гвоздями, DHS или клинковой пластиной с использованием непрямой репозиции - хоть и агрессия, но ее, очевидно, можно считать как раз способствующей регенерации, в том числе за счет ранней мобилизации больного.

          >> для многих сегодня непривлекательна эта цена в виде 6-8 недель
          ДЦт> Насколько эти "многие" часто встречаются в популяции? Особенно среди
          ДЦт> получивших вертельный перелом7

          Можно спросить у коллег из разных регионов, сколько оперируется вертельных переломов за год в абсолютных цифрах и какой процент от всех поступивших с этой травмой.
          Ясно, что это соотношение в муниципальных больницах и федеральных НИИ будет разное. У нас это 100%. Но и в больницах число таких операций
          растет в последнее время.

          >> и осью конечности, но и за возможность с первого дня после операции
          >> ходить с нагрузкой на ногу.

          ДЦт> Блажен кто верует. Особенно при госгарантиях бюджетного лечения.

          Во многих городах сейчас можно купить фиксатор за деньги больного или родственников, и фирма бесплатно предоставляет комплект инструментов. Насколько я знаю, эта возможность активно используется в муниципальных больницах многих городов.

          ДЦт> В мире ежегодно делают сотни тысяч непоказанных операций.

          Вряд ли это относится к лечению переломов. А уж при вертельных переломах остеосинтез рекомендуется в любых современных руководствах.

          Показания - вообще дело смутное. Все эти пафосные воздымания пальца при произносимой менторским тоном фразе "любая операция должна делаться по строгим показаниям!" бессмысленны. Нету практически никаких единых, тотально общепринятых показаний ни к какому конкретному остеосинтезу ни при какой патологии, особенно в xUSSR.
          Каждый полагает, что сложившаяся в его голове, в отделении или на кафедре система показаний и есть та самая единственно верная, которую вместе с 10 заповедями на скрижалях принесли прямо от Господа Бога.



          [ Ответить ]
          • Re: Перелом бедра
            Отправитель: Vitaly Kazennov 25 Июль 2005, 01:09
            > Был бы у больной шеечный перелом - по одному снимку, без всякого
            > контекста, можно было бы говорить о необходимости остеосинтеза.

            И в предагональном состоянии тоже? Давно Вы стали по одним снимкам
            ориентироваться, "без контекста"?

            > Обеспечивается информационная поддержка и мотивация, это конечно.
            > Знание деталей позволяет отвечать менее пространно, в рамках
            > доступного в конкретных условиях.

            Бесспорно.

            > В том числе и по собственной текущей практике. Ну и литература, плюс
            > увиденное даже на отечественных конференциях, да и общение с
            > коллегами, в том числе здесь...

            А какой примерно процент пациентов лечится в НИИ? И какая примерно
            доля всех пролеченных находит отражение в "литературе"? А кто ездит на
            конференции, даже на отечественные? И какова доля травматологического
            и, даже шире, хирургического (поскольку по России переломы лечат, как
            Вы знаете, не только травматологи) врачебного состава представлено
            здесь?
            Совершите мысленное путешествие по больничкам даже Уральского
            федерального округа -- и Ваши впечатления изменятся. Лечили, лечат, и
            будут лечить так, как наиболее безопасно и просто. А рекомендации
            высокотехнолгичных промоутеров медицинской индустрии останутся как бы
            как шум в ветвях...

            > В нашем отделении как раз аппараты доминировали до середины 90-х.

            Вот опять Вы о своем отделении... Ну по пять-то больных на один "штык" у
            Вас приходится? Или по семь? Ну и снабжение конечно же всегда отличалось от ЦРБ.
            НИИ -- он и в Африке НИИ! А попробовали бы у вас аппараты не
            доминировать! И тогда ваши писатели, кстати, успешно доказывали, что
            аппараты -- это хай-энд. Пройдет еще пятнадцать лет -- и на ваши
            сегодняшние импланты новые прогрессисты (опять же из НИИ) будут
            смотреть как на паровоз Ползунова. А потому что новые будут еще круче,
            еще забубенней по ценам, и пациентам, естесссно, популярно разъяснят,
            что что платить нужно именно столько. Если жить хотят.

            > Встречаемость разная.

            У Вас есть эвиденсы? Или это эмоциональная оценка? Каков процент
            проблем в каких вариантах? И КАКИХ проблем? И все ли "проблемные"
            пациенты возвращаются (ну, скажем, через полгодика-годик) к
            проблемному доктору, который выписал их с первичным заживлением, и
            сказал, что все будет классно, коль устройство такое супер-пупер?

            > но ее, очевидно,
            > можно считать как раз способствующей регенерации,

            Считать можно все что угодно, но очевидность такого счета -- не факт.

            > Можно спросить у коллег из разных регионов, сколько оперируется
            > вертельных переломов за год в абсолютных цифрах и какой процент от
            > всех поступивших с этой травмой.

            Была программа С18 (Матис), там была сделана попытка такого анализа. Но опять
            же задача стояла -- разработка оптимального ассортимента скрепителей.
            На основе Всесоюзного (!) опыта. Но опять же "опрашивались" НИИ да
            кафедры. Что делалось и делается "на земле" -- отдельная история.

            > Ясно, что это соотношение в муниципальных больницах и федеральных НИИ
            > будет разное. У нас это 100%. Но и в больницах число таких операций
            > растет в последнее время.

            Растет-то растет (и по аппаратам рост был год от года, кстати), это
            синусоидальный процесс, а кто результаты этого растущего "числа"
            изучал? В муниципальных больницах столы-то хоть толковые есть? ЭОПы?
            Кадры?

            > Во многих городах сейчас можно купить фиксатор за деньги больного или
            > родственников,

            Вот-вот, и я про то же. Списочек городов, пожалуйста, на стол! И рядом
            -- Постановление правительства от ноября прошлого года о госгарантиях
            БЕСПЛАТНОЙ медпомощи аж из трех источников, трех составных частей
            ельцинизма:
            -- федеральный;
            -- ОМС;
            -- муниципальный бюджет.
            Кто Вам, уважаемый Александр Николаевич, сказал, что "пациенты и их
            родственники" должны способствовать процветанию инофирм и их
            внедрителей?

            > и фирма бесплатно предоставляет комплект инструментов.

            Ну как это сладко звучит! Почти как бесплатная доставка и сборка
            мебели! Все включено!

            > Насколько я знаю, эта возможность активно используется в муниципальных
            > больницах многих городов.

            А то. Денех хочут, однако...

            > Вряд ли это относятся к лечению переломов. А уж при вертельных
            > переломах остеосинтез рекомендуется в любых современным руководствам.

            Да относится, относится. Еще в 80-м году в Кургане гордо лечили все
            подряд Вы знаете как.
            А что касается "любых современных руководств", то кто заказывает
            музыку-то? А уж сыграть-то мастера всегда отыщутся... Денех усе
            хочут...

            > Показания - вообще дело смутное.

            Вот-вот. Чем больше клепаем, тем оно справней.

            > Все эти пафосные воздымания пальца
            > при произносимой менторским тоном фразе "любая операция должна
            > делаться по строгим показаниям!" бессмысленны.

            Самый надежный способ дискуссии -- объявить чужую точку зрения
            бессмысленной.

            > Нету практически
            > никаких единых, тотально общепринятых показаний ни к какому
            > конкретному остеосинтезу ни при какой патологии, особенно в xUSSR.

            И слава богу.

            > Каждый полагает, что сложившаяся в его голове, в отделении или на
            > кафедре система показаний и есть та самая единственно верная, которую
            > вместе с 10 заповедями на скрижалях принесли прямо от Господа Бога.

            Ну уж не каждый, через одного;-)

            Успехов в бизнесе!
            Казеннов

            [ Ответить ]
            • Re: Перелом бедра
              Отправитель: Alexander Chelnokov 25 Июль 2005, 01:13
              ДЦт> И в предагональном состоянии тоже? Давно Вы стали по одним снимкам

              Ну, здравый смысл ведь тоже никто не отменял - стал бы здесь кто-то озабочивать коллег остеосинтезом шейки бедра у агонирующего больного...

              ДЦт> А какой примерно процент пациентов лечится в НИИ?

              У меня таких данных нет. Могу только сказать, что в нашем отделении за год сейчас делается остеосинтезов только бедра ~120 в год. В любом из муниципальных отделений - точно меньше.

              ДЦт> И какая примерно доля всех пролеченных находит отражение в
              ДЦт> "литературе"?

              Конечно, основная масса больных находится "за зеленой стеной", где
              "жизнь ничего не значит".

              ДЦт> А кто ездит на конференции, даже на отечественные? И какова доля

              Не пойму, к чему Вы клоните. Что, есть подозрения, что наилучшие
              образцы клинической практики находятся как раз там, за "зеленой
              стеной"?

              ДЦт> Совершите мысленное путешествие по больничкам даже Уральского

              Сотрудники института ежегодно ездят в больницы области, мы постоянно контактируем с врачами из нашей и смежных областей и на цикле усовершенствования. Доводится и оперировать ездить. Что быстро замечаешь - в однотипных больницах ситуация может сильно отличаться. Во многом в зависимости от живости врачей. В некоторых местах - никому ничего не надо, только ноют, что "мало плотють". А есть отделения уровнем не хуже тех, что в крупных центрах.

              ДЦт> Вот опять Вы о своем отделении... Ну по пять-то больных на один
              ДЦт> "штык" у Вас приходится? Или по семь?

              А это разве теперь показатель? Вести 25 человек на вытяжении да в гипсе - это, насколько помню, не сильно обременительно. У нас коек в отделении сейчас мало, но зато больные не залеживаются... Хотя доля больных с множественной травмой, которым остеосинтез делается на 2 и более сегментах, куда выше, чем в больницах.

              ДЦт> Ну и снабжение конечно же всегда отличалось от ЦРБ.
              ДЦт> НИИ -- он и в Африке НИИ!

              Это в некоторой степени было так, но сейчас и в мунициипальных
              больницах доступно практически все то же самое. А в столицах они
              любому периферийному НИИ уж точно 100 очков вперед дадут.

              ДЦт> писатели, кстати, успешно доказывали, что аппараты -- это
              ДЦт> хай-энд.

              Да и сейчас они далеко не на последних ролях. А уж при отсутствии современных внутренних фиксаторов - это вообще палочка-выручалочка.

              ДЦт> Пройдет еще пятнадцать лет -- и на ваши сегодняшние импланты
              ДЦт> новые прогрессисты (опять же из НИИ) будут смотреть как на

              Что ж в этом плохого, если появляются более совершенные системы? Да за 15 лет два-три поколения фиксаторов сменятся.

              >> Встречаемость разная.
              ДЦт> У Вас есть эвиденсы? Или это эмоциональная оценка? Каков процент
              ДЦт> проблем в каких вариантах? И КАКИХ проблем?

              Да нет, много где в книжках и статьях написано о более высокой
              летальности при консервативном лечении, о нес ращениях и сращениях с
              деформациями в 30-70% случаев...
              В руководстве Rockwood & Green (оно вроде у Вас должно быть) можно
              прочитать:
              ========================
              Before the introduction of suitable fixation devices in the 1960s, treatment for intertrochanteric fractures was of necessity nonoperative, consisting of prolonged bed rest in traction until fracture healing occurred (usually 10 to 12 weeks), followed by a lengthy program of ambulation training. In elderly patients, this approach was associated with high complication rates (96); typical problems included decubiti, urinary tract infection, joint contractures, pneumonia, and thromboembolic complications, resulting in a high mortality rate. In addition, fracture healing was generally accompanied by varus deformity and shortening because of the inability of traction effectively to counteract the deforming muscular forces.
              ========================

              ДЦт> И все ли "проблемные" пациенты возвращаются (ну, скажем, через
              ДЦт> полгодика-годик) к проблемному доктору, который выписал их с

              Подавляющее большинство у нас, например, наблюдается до 1 года. Не
              приезжают, скорее, как раз те, у кого все в порядке, т.е. нет
              мотивации идти в больницу.

              >> можно считать как раз способствующей регенерации,
              ДЦт> Считать можно все что угодно, но очевидность такого счета -- не факт.

              Уж в таком количестве научных исследований показана роль ранней безболезненной функции...

              ДЦт> На основе Всесоюзного (!) опыта. Но опять же "опрашивались" НИИ да
              ДЦт> кафедры. Что делалось и делается "на земле" -- отдельная история.

              Помнится, довелось из-за этой программы две недели проторчать в г. Ирбите, роясь в архивах метной ЦРБ. Еще сотрудники смотрели карточки в архивах травмпунктов. А данные нашего института даже не знаю, были использованы или нет. Так что не только "НИИ и кафедры". Не знаю, правда, был ли из-за этого толк от этой программы.

              ДЦт> синусоидальный процесс, а кто результаты этого растущего "числа"
              ДЦт> изучал?

              Ну, в отечественных журналах уже есть статьи про возможности и
              результаты современных методик.

              ДЦт> В муниципальных больницах столы-то хоть толковые есть? ЭОПы?

              Появляются. В Е-бурге сейчас ЭОПы есть в 2 из 3 муниципальных травматологических больниц. Да и без него можно много делать.

              ДЦт> Кадры?

              Да вроде дефицита поголовья нет. Но доля деятельных и грамотных
              оставляет желать.

              >> Во многих городах сейчас можно купить фиксатор за деньги больного или
              >> родственников,

              ДЦт> Вот-вот, и я про то же. Списочек городов, пожалуйста, на стол!

              Да много...
              Можно спросить у присутствующих здесь наших смежников, какие города они "окучили".

              ДЦт> И рядом -- Постановление правительства от ноября прошлого года о госгарантиях
              ДЦт> БЕСПЛАТНОЙ медпомощи аж из трех источников, трех составных частей

              Это в основном для оправдания всех, кто в той или иной мере причастен к тому, чтобы травмированный вернулся к нормальной жизни. Надо четко пациентам все разъяснять, и не стесняться в истории болезни писать, что фиксатор, позволяющий больного без риска несращения м деформации с завтрашнего дня поставить на ноги, этими "госгарантиями" не покрывается, больница его не имеет, поэтому он приобретен за средства больного. И пусть через суд со страховой компании постарается деньги получить, а больница ни при чем.

              ДЦт> Кто Вам, уважаемый Александр Николаевич, сказал, что "пациенты и их
              ДЦт> родственники" должны способствовать процветанию инофирм и их

              "-Мама, пожарьте рыбы! -Так рыбы ж нету! -Тогда сидите и не трындите!"
              Больной заинтересован в быстром и полном возвращении к нормальной жизни с минимальными риском неприятностей и количеством процедур. Если это достигается с помощью дешевой отечественной продукции - замечательно. Гамма или проксимального гвоздя отечественного пока нет.

              ДЦт> Ну как это сладко звучит! Почти как бесплатная доставка и сборка
              ДЦт> мебели! Все включено!

              Так и есть. Альтернатива - - либо так, либо никак.

              >> Насколько я знаю, эта возможность активно используется в муниципальных
              >> больницах многих городов.
              ДЦт> А то. Денех хочут, однако...

              Главное - достигается результат, то есть в выигрыше в первую очередь больные.

              ДЦт> Да относится, относится. Еще в 80-м году в Кургане гордо лечили все
              ДЦт> подряд Вы знаете как.

              А там и сейчас аппараты доминируют при травме.

              ДЦт> А что касается "любых современных руководств", то кто заказывает
              ДЦт> музыку-то?

              Независимых авторов огромного количества публикаций, на основании которых пишутся руководства, в ангажированности не обвинить, текм более с тамошними жесткими правилами пр disclosure agreement.

              >> Показания - вообще дело смутное.
              ДЦт> Вот-вот. Чем больше клепаем, тем оно справней.

              Это про другое. Операция, поставленная на поток, делается лучше, чем
              единичная.

              >> тоном фразе "любая операция должна делаться по строгим показаниям!"
              >> бессмысленны.
              ДЦт> Самый надежный способ дискуссии -- объявить чужую точку зрения
              ДЦт> бессмысленной.

              Да вроде это не о Вашей точке зрения.

              [ Ответить ]
              • Re: Перелом бедра
                Отправитель: Виталий Евгеньевич Казеннов 25 Июль 2005, 16:11
                > Так и есть. Альтернативо - либо так, либо никак.

                А не слишком ли жестко? А где господин Зурабов с его нехилым в общем-то бюджетом?

                > Главное - достигается результат, то есть в выигрыше в первую очередь
                > больные.

                Да выигрыш-то мог для больных наступить и без, извините, поборов...

                > А там и сейчас аппараты доминируют при травме.

                Вот и я о том же. И у погружного остеосинтеза они видят массу минусов, а у ЧКДО -- одни сплошные плюсы...

                > Независимых авторов огромного количества публикаций, на основании
                > которых пишутся руководства, в ангажированности не обвинить, текм
                > более с тамошними жесткими правилами пр disclosure agreement.

                Каждый из независимых зависит от аппетитов собственной жены, и чем круче будет методика, тем больше поступлений. Бизнес, уважаемый Александр Николаевич, бизнес, хотя и с академическим припудриванием, а речь может идти и в терминах медобеспечения, то есть о медицине как о службе...

                > Операция, поставленная на поток, делается лучше, чем
                > единичная.

                Вот-вот. Если в городское МУЗ или в ЦРБ поступает чрезвертельный перелом, они конечно могут за деньги пациента потренироваться с клинковыми или DHS, или еще как, но надежней все-таки скелетное, тем более что возможность прыгать на несросшемся переломе вскоре после травмы и опять впрягаться в ярмо прельщает далеко не каждую старушку.

                ДЦт>> Самый надежный способ дискуссии -- объявить чужую точку зрения
                ДЦт>> бессмысленной.

                > Да вроде это не о Вашей точке зрения.

                И на том спасибо!

                [ Ответить ]
                • Re: Перелом бедра
                  Отправитель: Alexander Chelnokov 25 Июль 2005, 17:10
                  ДЦт> А не слишком ли жестко? А где господин Зурабов с его нехилым в
                  ДЦт> общем-то бюджетом?

                  В министерстве, вестимо. А больные и врачи - вот они, тут.

                  ДЦт> Да выигрыш-то мог для больных наступить и без, извините, поборов...

                  На сегодня мало где (но такие места есть) больной может получить хорошие имплантаты, прямо не оплатив их. Коллега вот вернулся из Тюмени - говорит, там какую-то региональную программу сделали, и больным достаются самые совершенные железки бесплатно.

                  ДЦт> Вот и я о том же. И у погружного остеосинтеза они видят массу минусов,
                  ДЦт> а у ЧКДО -- одни сплошные плюсы...

                  Это НИИ, у них есть своя проблематика,
                  изучают-развивают-совершенствуют остеосинтез по Илизарову. Иные виды остеосинтеза разивают другие коллективы.

                  ДЦт> Каждый из независимых зависит от аппетитов собственной жены, и чем
                  ДЦт> круче будет методика, тем больше поступлений. Бизнес, уважаемый

                  Этот фактор как-то косвенно присутствует, но он очевидно не доминирует. Куда девается бизнес при переломах плеча? По этой логике синтезировать всех подряд должно бы быть выгодно, но изолированные их почти не оперируют в развитых странах.
                  Психологически легче кругом видеть только жуликов, но можно попросту признать, что система тамошняя отлажена так, что используемое в лечении должно быть gold standard, что определяется по реальной
                  клинической эффективности.

                  ДЦт> перелом, они конечно могут за деньги пациента потренироваться с
                  ДЦт> клинковыми или DHS, или еще как, но надежней все-таки скелетное,

                  Надежней оно при отсутствии условий для остеосинтеза. Как говорил В.Д.Чаклин, "смелость хирурга не должна превышать его умелость".

                  ДЦт> тем более что возможность прыгать на несросшемся переломе вскоре

                  Смысл остеосинтеза у старушек - снизить раннюю летальность, которая, как давно установлено, выше при вынужденном постельном режиме. А "возможность вскоре прыгать" старушкам как раз нравится.

                  [ Ответить ]
                  • Re: Перелом бедра
                    Отправитель: Виталий Евгеньевич Казеннов 26 Июль 2005, 01:03
                    > На сегодня мало где (но такие места есть) больной может получить
                    > хорошие имплантаты, прямо не оплатив их. Коллега вот вернулся из
                    > Тюмени - говорит, там какую-то региональную программу сделали, и
                    > больным достаются самые совершенне железки бесплатно.

                    Могут, когда захотят. То есть и не так уж безальтернативна технология спасения утопающих. Деньги в стране, в принципе, имеются, и чем больше
                    мы будем подвигать пациентов на закупку железа, тем быстрее будет обновляться автопарк у других людей. А на фига делать "какие-то программы", если проблема решена?

                    > Это НИИ, у них есть своя проблематика,
                    > изучают-развивают-совершенствуют остеосинтез по Илизарову. Иные виды
                    > остеосинтеза разивают другие коллективы.

                    Понятно.

                    > Этот фактор как-то косвенно присутствует, но он очевидно не
                    > доминирует.

                    Да где как.

                    > Куда девается бизнес при переломах плеча?

                    Да есть он, присутствует, популярно объясняется пациенту и родственникам, как это классно -- укололся и пошел, никакого гипса и так далее.

                    > По этой
                    > логике синтезировать всех подряд должно бы быть выгодно, но
                    > изолированные их почти не оперируют в развитых странах.

                    Ну вот мы опять про развитые страны! Вы еще расскажите про влияние страховых компаний на рентабельность лечебной деятельности... В развитых -- почти не оперируют, а у нас -- по платежеспособности.

                    > Психологически легче кругом видеть только жуликов,

                    Почему кругом? В конкретных местах!

                    > система тамошняя отлажена так, что используемое в
                    > лечении должно быть gold standard, что определяется по реальной
                    > клинической эффективности.

                    Ключевое слово -- gold. Ненависть людей к врачам именно и определяется 15% ростом стоимости медуслуг в год. Клиническая эффективность --
                    мутная тема. Почитайте "аппаратчиков" -- все эффективно на 150%.

                    > Надежней оно при отсутствии условий для остеосинтеза.

                    Вот и я про то же. Двадцать лет или больше назад были сформулированы требования к травматологическому центру. Каков процент наших отделений соответствуют этим требованиям?

                    > Как говорил
                    > В.Д.Чаклин, "смелость хирурга не должна превышать его умелость".

                    И оснащенность. Последний раз при огнестрельном повреждении плечевой артерии пришлось изощряться в полный профиль по причине отсутствия в сосудистом наборе Г-образных зажимов.

                    > Смысл остеосинтеза у старушек - снизить раннюю летальность, которая,
                    > как давно установлено, выше при вынужденном постельном режиме.

                    Сажайте пораньше, активизируйте в постели, работайте с больными, а что давно установлено -- так группы несравнимые были. Те, кого брали на операцию, и те, кого не брали -- это совсем разные группы, ссылки на давние исследования хороши для широкой публики, но не здесь.

                    За последние десятилетия при вертельных переломах никто не помирал на скелетном. После операций -- да.

                    > А
                    > "возможность вскоре прыгать" старушкам как раз нравится.

                    Не всегда. Мы не были в их шкуре.

                    [ Ответить ]
                    • Re: Перелом бедра
                      Отправитель: Alexander Chelnokov 26 Июль 2005, 01:14
                      ДЦт> Могут, когда захотят. То есть и не так уж безальтернативна технология
                      ДЦт> спасения утопающих. Деньги в стране, в принципе, имеются, и чем больше
                      ДЦт> мы будем подвигать пациентов на закупку железа, тем быстрее будет
                      ДЦт> обновляться автопарк у других людей. А на фига делать "какие-то

                      Нельзя ли более предметно - что и кому надо сделать, чтобы улучшилась ситуация с остеосинтезом в конкретном отделении?

                      >> Куда девается бизнес при переломах плеча?
                      ДЦт> Да есть он, присутствует, популярно объясняется пациенту и

                      Это кое-где в нашей стране. Но Вы же говорили про бизнес, ангажированную литературу и т.п. - в международном масштабе?

                      ДЦт> развитых -- почти не оперируют, а у нас -- по платежеспособности.

                      Но в развитых-то почему не оперируют, если, цитирую,
                      =======================
                      ДЦт> Каждый из независимых зависит от аппетитов собственной жены, и чем
                      ДЦт> круче будет методика, тем больше поступлений. Бизнес, уважаемый
                      ДЦт> Александр Николаевич, бизнес, хотя и с академическим припудриванием,
                      =======================

                      ДЦт> Ключевое слово -- gold.

                      Оно ж не в буквальном смысле в этом словосочетании.

                      ДЦт> Ненависть людей к врачам именно и определяется 15% ростом
                      ДЦт> стоимости медуслуг в год.

                      Не знаю про проценты в год, тем более, что один отдельно взятый человек каждый год эндопротезы тазобедренного сустава не приобретает.

                      ДЦт> Клиническая эффективность -- мутная
                      ДЦт> тема. Почитайте "аппаратчиков" -- все эффективно на 150%.

                      Читайте всех, а не только "аппаратчиков". Ну и есть вещи самоочевидные. Если есть более практичное решение той же задачи без аппарата - ищите возможность его внедрить.

                      ДЦт> Вот и я про то же. Двадцать лет или больше назад были сформулированы
                      ДЦт> требования к травматологическому центру. Каков процент наших отделений

                      Брр. Надеюсь, немногие. Боюсь, что те, кто пишет такого рода документы, ни тогда, ни сейчас не понимали, что на самом деле нужно.

                      ДЦт> И оснащенность. Последний раз при огнестрельном повреждении плечевой
                      ДЦт> артерии пришлось изощряться в полный профиль по причине отсутствия в
                      ДЦт> сосудистом наборе Г-образных зажимов.

                      Как уже упоминал, сейчас для многих операций есть возможность получать полный набор необходимых инструментов.

                      ДЦт> Сажайте пораньше, активизируйте в постели, работайте с больными, а что

                      Через пару дней после остеосинтеза бабушка на своих ногах уходит.

                      ДЦт> За последние десятилетия при вертельных переломах никто не помирал на
                      ДЦт> скелетном. После операций -- да.

                      Осталось, значит, малость усовершенствовать дело, чтобы после операции не мерли.

                      >> А "возможность вскоре прыгать" старушкам как раз нравится.
                      ДЦт> Не всегда. Мы не были в их шкуре.

                      Воображения не хватает? Можно в отпуске попробовать полежать несколько дней даже без спицы, с отведением, с судном-уткой...
                      Достаточно увидеть пожилого человека, который не вынужден лежать, может пользоваться обычным туалетом, ходить, сидеть, одеваться и т.п.

                      [ Ответить ]
              • Re: Перелом бедра
                Отправитель: Виталий Евгеньевич Казеннов 26 Июль 2005, 01:07
                > здравый смысл ведь тоже никто не отменял

                Согласен

                ДЦт>> А какой примерно процент пациентов лечится в НИИ?

                > У меня таких данных нет.

                В этом все и дело. Результаты, полученные в ЦИТО, в КННИИЭКОТе или во Вредена пытаемся выдавать за "gold standart". В Вашей фирме должен быть оргметодотдел, где есть соответствующие цифры. И еще: очень хорошие материалы для размышлений имеются в МСЭК. Задача: сравнить вероятность
                инвалидизации травмированного из района и из города, при одной и той же локализации, скажем по ложному суставу голени. Грустно становится...

                > Могу только сказать, что в нашем отделении за
                > год сейчас делается остеосинтезов только бедра ~120 в год.

                Дык а как иначе: заказ. "Скорая" заточена.

                > Конечно, основная масса больных находится "за зеленой стеной", где
                > "жизнь ничего не значит".

                Вот и я про то же.

                > Не пойму, к чему Вы клоните.

                А клоню я к тому, что путешествующие по конференциям и активно ратующие за технический прогресс -- это отдельная выборка, мнение которой при всем желании прославиться далеко не полностью отражает реальную ситуацию.

                > Что, есть подозрения, что наилучшие
                > образцы клинической практики находятся как раз там, за "зеленой
                > стеной"?

                Есть подозрения, что словосочетание "наилучшие образцы клинической практики" является рекламным слоганом по типу "Хопер-Инвест -- отличная компания. От других"

                > Что быстро замечаешь - в однотипных больницах ситуация может сильно
                > отличаться.

                Вот это и есть проблема для НИИ.

                > Во многом в зависимости от живости врачей. В некоторых
                > местах - никому ничего не надо, только ноют, что "мало плотють". А
                > есть отделения уровнем не хуже тех, что в крупных центрах.

                Пока это так, все наши разговоры о лучших и худших образцах останутся сотрясением воздушного столба атмосферы (15 км).

                > А это разве теперь показатель?

                Показатель чего? Много Вы сможет сделать при четырех ставках на полноформатное отделение? Дай бог описать-выписать, да чтобы никто не помер!

                > Вести 25 человек на вытяжении да в
                > гипсе - это, насколько помню, не сильно обременительно.

                Вот это память! И как были результаты? High complication rates? High
                mortality rate?

                > У нас коек в
                > отделении сейчас мало, но зато больные не залеживаются...

                Так и лечить есть кому. Еще бы у вас они залеживались!

                > Хотя доля
                > больных с множественной травмой, которым остеосинтез делается на 2 и
                > более сегментах, куда выше, чем в больницах.

                Ну опять же тема, у нас в больнице этих автогонщиков и прыгунов с балконов под завязку -- на три НИИ хватит. И нейрохирурги (и черепные и спинальные), и общие хирурги, и травматологи, и ортопеды, и кистевики, и ожогисты -- всем работы хватает. Вы были у нас только в Первой краевой? Так это совсем другая тема, это в большинстве своем плановые больные -- из районов, последствия травм.

                > Это в некоторой степени было так, но сейчас и в мунициипальных
                > больницах доступно практически все то же самое.

                Александр Николаевич, Вы на границе Европы и Азии, но больше ориентированы влево (если смотреть на карту). У нас не муниципальные, у нас государственные больницы оснащены, к сожалению, еще недостаточно. А в муниципальных больницах нет травмотделений -- так сложилось... Раньше наша больница была городская (сначала 13-я, потом БСМП), а сейчас Краевая № 2!

                > А в столицах они
                > любому периферийному НИИ уж точно 100 очков вперед дадут.

                Да про столицы не надо, это другая страна...

                > много где в книжках и статьях написано о более высокой
                > летальности при консервативном лечении, о нес ращениях и сращениях с
                > деформациями в 30-70% случаев...

                Бумага -- терпеливый материал. Несращения и деформации в 70%? Африка?

                > В руководстве Rockwood & Green (оно вроде у Вас должно быть)

                Вот именно что вроде. Рыков что-то писал и даже говорил.

                > можно
                > прочитать:

                Прочитать-то можно. Свежо придание. Rockwood & Green не учли, что обстановку в шестидесятые мы себе представляем, и сказки про "urinary tract infection, joint contractures" и "high mortality rate" они могут оставить для первокурсниц.

                > In addition, fracture healing was generally
                > accompanied by varus deformity and shortening because of the inability
                > of traction effectively to counteract the deforming muscular forces.

                Это кому лапша на уши? Ключевского на них нет, он бы им показал "инабилити ту контеракт деформинг мускулар форсез"! Какая "варус деформити"??? Про отводящую шину не слышали? Как грубо шутили в пионерском лагере "Не умеешь в воду пукать --
                вылезай из лужи".

                > Подавляющее большинство у нас, например, наблюдается до 1 года.

                Ну и как цифры? Большинство все-таки с проблемами (шучу)...

                > Уж в таком количестве научных исследований показана роль ранней
                > безболезненной функции...

                Роль в чем? Насколько научны научные исследования? Насколько эти исследования делались под заказ7

                > Помнится, довелось из-за этой программы две недели проторчать в г.
                > Ирбите, роясь в архивах метной ЦРБ. Еще сотрудники смотрели карточки в
                > архивах травмпунктов.
                > Так что не только "НИИ и кафедры"

                И Вы, и "сотрудники" -- это и были НИИ и кафедры. Задания были НИИ и кафедра. А в Ирбите собирали материал или в Мокропупьевске -- это как шеф сказал.

                > Не знаю,
                > правда, был ли из-за этого толк от этой программы.

                А никто не знает. У меня есть отчет, голубая такая брошюрка, очень интересно. Что чем с какой частотой реально лечили. Мега-проект. Только результатов как-то не наблюдалось. Наверное, бюджет закончился...

                > Ну, в отечественных журналах уже есть статьи про возможности и
                > результаты современных методик.

                Да все это хорошо, кто же спорит, кушать-то людям надо. Вот соответствие написанного реальности -- читайте выше.

                > Появляются. В Е-бурге сейчас ЭОПы есть в 2 из 3 муниципальных
                > травматологических больниц.

                А в районах?

                > Да вроде дефицита поголовья нет.

                Именно поголовья!

                > Но доля деятельных и грамотных
                > оставляет желать.

                Да. Уж. Таких мы выпускаем.

                > Да много...
                > Можно спросить у присутствующих здесь наших смежников, какие города
                > они "окучили".

                А смысл? Это не путь, это проулки какие-то...

                > Надо четко
                > пациентам все разъяснять, и не стесняться в истории болезни писать,
                > что фиксатор, позволяющий больного без риска несращения м деформации с
                > завтрашнего дня поставить на ноги, этими "госгарантиями" не
                > покрывается, больница его не имеет, поэтому он приобретен за средства
                > больного.

                И именно поэтому больница никогда и иметь его не будет, пока доктору выгодно "пациентам все разъяснять" Win-win situation! Больные не в счет...

                > И пусть через суд со страховой компании постарается деньги
                > получить, а больница ни при чем.

                Классная позиция! А если поднять документацию -- то и не заказывали-то толком ничего, и программы, как в Тюмени, никто не пробивал, так, на подножном корму перебивались помалеху...

                > "-Мама, пожарьте рыбы! -Так рыбы ж нету! -Тогда сидите и не трындите!"

                "А не пошел бы ты, сынок, ... за рыбой?"

                > Гамма или проксимального гвоздя отечественного пока нет.

                И никогда не будет, пока мы кормим инофирмы -- из кармана больных.

                Удач!
                Казеннов

                [ Ответить ]
                • Re: Перелом бедра
                  Отправитель: Alexander Chelnokov 26 Июль 2005, 01:12
                  ДЦт> В этом все и дело. Результаты, полученные в ЦИТО, в КННИИЭКОТе или во
                  ДЦт> Вредена пытаемся выдавать за "gold standart". В Вашей фирме должен быть
                  ДЦт> оргметодотдел, где есть соответствующие цифры.

                  Да есть он, и цифры собирает, и с местным облздравом что-то обсуждается. В общем, ситуация в глубинке однотипная по всей стране, наверно. То есть плохая. Но есть островки благоденствия.

                  ДЦт> И еще: очень хорошие материалы для размышлений имеются в МСЭК.
                  ДЦт> Задача: сравнить вероятность инвалидизации травмированного из

                  На прошлой неделе на приеме были двое больных, которым местные МСЭКи дали II группу, вместо того, чтобы выгнать на работу. Смотрят на диагноз - ложный сустав бедра! Ну, все, мол - труба. А оба к 2-3 мес. после реостеосинтеза готовы на работу.

                  >> год сейчас делается остеосинтезов только бедра ~120 в год.
                  ДЦт> Дык а как иначе: заказ. "Скорая" заточена.

                  По "Скорой" мы несколько лет не работаем, "катастрофическая медицина" только везет к нам из области. Треть - переделки после накостного, аппаратов, открытого штифтования черт-те чем.

                  ДЦт> которой при всем желании прославиться далеко не полностью
                  ДЦт> отражает реальную ситуацию.

                  Ситуацию где? В разных городах и отделениях она очень разная. По крайней мере, благодаря доступу к информации стало ясно, чего от начальства добиваться, куда чему ехать учиться.

                  ДЦт> Есть подозрения, что словосочетание "наилучшие образцы клинической практики"

                  Смысл, по крайней мере, очевиден и некриминален.

                  >> Что быстро замечаешь - в однотипных больницах ситуация может сильно
                  >> отличаться.
                  ДЦт> Вот это и есть проблема для НИИ.

                  Для оргметодотделов. Хотя многие вещи очевидны - вот тут работает предприимчивый живчик, а тут - апатичный предпенсионер, которого некем заменить.

                  >> есть отделения уровнем не хуже тех, что в крупных центрах.

                  ДЦт> Пока это так, все наши разговоры о лучших и худших образцах останутся
                  ДЦт> сотрясением воздушного столба атмосферы (15 км).

                  Проблема сложна и многофакторна, поэтому не надо максимализма, и если получается сделать что-то, чтобы стало хоть чуть-чуть не так, это уже на пользу.

                  ДЦт> Показатель чего? Много Вы сможет сделать при четырех ставках на
                  ДЦт> полноформатное отделение? Дай бог описать-выписать, да чтобы никто не

                  Идеал - нормальный руководитель, который обеспечивает работу так, чтобы сотрудники знать не знали, какие такое "ставки" вообще.

                  ДЦт> Вот это память! И как были результаты? High complication rates? High

                  А как же. И от тромбозов мерли, и пролежни были, и варусные деформации...

                  ДЦт> Так и лечить есть кому. Еще бы у вас они залеживались!

                  Народу - как раз обеспечить два операционных стола 4 раза в неделю.

                  ДЦт> Ну опять же тема, у нас в больнице этих автогонщиков и прыгунов с
                  ДЦт> балконов под завязку -- на три НИИ хватит. И нейрохирурги (и черепные

                  Можно как-нибудь посравнивать подходы.

                  ДЦт> хватает. Вы были у нас только в Первой краевой? Так это совсем
                  ДЦт> другая тема, это в большинстве своем плановые больные -- из районов,

                  Да, помню. И там - ох как можно все
                  ускорить-улучшить-активизировать...

                  ДЦт> Александр Николаевич, Вы на границе Европы и Азии, но больше
                  ДЦт> ориентированы влево (если смотреть на карту).

                  Не, во все стороны. Мы стараемся быть шире в этом вопросе ;-)

                  ДЦт> У нас не муниципальные, у нас государственные больницы оснащены,
                  ДЦт> к сожалению, еще недостаточно.

                  Губернатор у вас там энергичный, вон какой институт усовершенствования забабахал, так что надо лоббировать региональную программу по остеосинтезу. Но это на месте виднее.

                  ДЦт> Раньше наша больница была городская (сначала 13-я, потом БСМП), а
                  ДЦт> сейчас Краевая № 2!

                  Ве решают люди, а не вывеска.

                  ДЦт> Да про столицы не надо, это другая страна...

                  Да почему другая, та же самая.

                  ДЦт> Бумага -- терпеливый материал. Несращения и деформации в 70%? Африка?

                  В отечественной практике не лучше...

                  ДЦт> Вот именно что вроде. Рыков что-то писал и даже говорил.

                  Ну, это Вы уже на месте решите...

                  ДЦт> обстановку в шестидесятые мы себе представляем, и сказки

                  Сказки ли? Когда бываешь в больницах, бабушки на вытяжении производят тяжелое впечатление... А если с ухаживающими туго, то и вообще сгниет заживо старушка.

                  ДЦт> Это кому лапша на уши? Ключевского на них нет, он бы им показал

                  Ключевского к каждой бабушке не приставишь.

                  >> Подавляющее большинство у нас, например, наблюдается до 1 года.
                  ДЦт> Ну и как цифры? Большинство все-таки с проблемами (шучу)...

                  С проблемами единичные случаи.

                  >> безболезненной функции...
                  ДЦт> Роль в чем? Насколько научны научные исследования? Насколько эти
                  ДЦт> исследования делались под заказ7

                  Роль в реабилитации. Научность - доктрины АО, например, насколько научны? Исследования делаются под заказ общества. Разработка новых технологий дикутется не намерением всех обдурить, и подсунуть
                  лабуду ненужную. Те же разработчики, их родные и близкие сами оказываются с травмами на больничной койке.

                  ДЦт> И Вы, и "сотрудники" -- это и были НИИ и кафедры. Задания были НИИ и

                  Да, но материал анализировался не клиник НИИ и кафедр, а самой ни на есть глубинки.

                  ДЦт> Да все это хорошо, кто же спорит, кушать-то людям надо. Вот
                  ДЦт> соответствие написанного реальности -- читайте выше.

                  А написанное вполне соответствует реальности - оперировано N больных тем-то, M - этим-то, достигнуто то-то и то-то. Проблема не с разработкой, а с тиражированием эффективных технологий.

                  >> Появляются. В Е-бурге сейчас ЭОПы есть в 2 из 3 муниципальных
                  >> травматологических больниц.
                  ДЦт> А в районах?

                  Мне известны 3 штуки в больницах городов области.

                  >> Да много...
                  >> Можно спросить у присутствующих здесь наших смежников, какие города
                  >> они "окучили".
                  ДЦт> А смысл? Это не путь, это проулки какие-то...

                  Если ждать глобального решения всех проблем, и непременно сразу, то под лежачий камень вода не течет. В каком-то году начали новые операции, сделали их 5, на следующий год - 25, а через пару лет - уже по 200-300 в год.

                  ДЦт> И именно поэтому больница никогда и иметь его не будет, пока доктору
                  ДЦт> выгодно "пациентам все разъяснять" Win-win situation! Больные не в

                  Лучше относиться к этому как явлению природы. В смысле, ты, он, я, как врачи, можем с этим что-то поделать? Не можем. Просто тогда одеваемся по погоде. Реальность такова (нравится это нам или нет), что в крупных городах уже несколько лет имплантаты попадают к больным через розницу. Иногда бывет, что больница закупит партию чего-то, но это погоды не делает.

                  ДЦт> Классная позиция! А если поднять документацию -- то и не заказывали-то

                  Ну какая позиция и документация может быть у лечащего врача и оперирующего хирурга? Или идти на баррикады, или в операционную.

                  >> "-Мама, пожарьте рыбы! -Так рыбы ж нету! -Тогда сидите и не трындите!"
                  ДЦт> "А не пошел бы ты, сынок, ... за рыбой?"

                  Зурабов денег не дает.

                  >> Гамма или проксимального гвоздя отечественного пока нет.
                  ДЦт> И никогда не будет, пока мы кормим инофирмы -- из кармана больных.

                  Всевозможные Stryker, Zimmer, Johnson, Smith&Nephew, Biomet - они и для той же Австралии или Японии - инофирмы, так что теперь?
                  По многим позициям - и отечественные фирмы участвуют на равных, а то и предпочитают их изделия именно по соотношению цена/качество.
                  А проксимальные и реконструкционные гвозди преприятие ЦИТО собирается выпускать...

                  [ Ответить ]
    Re: Перелом бедра
    Юрий Алексеевич Булахтин 26 Июль 2005, 16:06
    Уважаемые коллеги!
    Спасибо всем, кто принял участие в обсуждении демонстрации с чрезвертельным переломом бедра.
    Парамедицинские аспекты дискуссии анализировать не хотел, но получилось, что "вбросил" тему и скрылся, поэтому позволю себе небольшой комментарий - на мой взгляд эти проблемы не имеют однозначного, завясящего от врачей, решения, свободные ассоциации всплывают примерно такие. Попытка в недалеком прошлом заставить всех наших "слуг" пересесть на "Волги": кто-то честно пересел, кто-то на "Волгу", но с мерседесовским двигателем и сиденьями с подогревом, а кто-то остался на "мерседесе" или "ауди". Стоит-ли сегодня бороться с международным разделением труда - многие страны покупают японские машины, швейцарские металлоконструкции для остеосинтеза и автоматы Калашникова не делая трагедии из того, что национальный продукт, конкурентноспособный названным, отсутствует. Швейцария не выпускает собственного легкового автомобиля, а делает ... И ничего. Сегодня стали собирать в России БМВ и хундай, но до сих пор клепаем и фиат образца шестидесятых. Мне кажется нашим производителям фиксаторов тоже надо идти цивилизованным путем -купить лицензии на производство хорошо зарекомендовавших себя фиксаторов, а не мучить пользователя "оригинальной" до боли продукцией. А с прибыли финансировать отечественные изыскания. И последнее соображение - не стоит ругать друг друга за ориентацию на "квас" или "пепси", выборать метод лечения должны больные. Вспомните, при социализме никто кроме медиков не роптал против недопустимо малого времени на осмотр больного... Получалось, что врачи не довольны условиями труда, а не пациенты результатами лечения.
    Теперь о конкретном клиническом случае, мною представленном. Я думаю, что:
    1)обоснованно ответить на вопрос о возможности некроза головки после операции (любой) здесь проблематично;
    2)исходом консервативного лечения будет дефартроз, может быть тоже с некрозом головки, в неизвестные сроки.
    Поэтому посоветовал больной лечиться консервативно и копить деньги на эндопротез минуя остеосинтез.
    [ Ответить ]

    • Re: Перелом бедра
      Отправитель: Alexander Chelnokov 26 Июль 2005, 17:12
      ЮАБ> выборать метод лечения должны больные.

      Чтобы выбрать метод лечния, надо быть профессионально компетентым. Чего от больных ожидать вряд ли можно. Информированное согласие - это максимум, что можно получить от больного.

      ЮАБ> 1)обоснованно ответить на вопрос о возможности некроза головки после
      ЮАБ> операции (любой) здесь проблематично;

      Перелом вроде был вертельный? Или показали не все снимки? Некроз головки при вертельных и подвертельных переломах - казуистика.

      ЮАБ> 2)исходом консервативного лечения будет дефартроз, может быть тоже
      ЮАБ> с некрозом головки, в неизвестные сроки.

      Артроз как исход вертельного перелома - рне самая ожидаемая проблема.

      ЮАБ> и копить деньги на эндопротез, минуя остеосинтез.

      Может, мы про разных больных говорим?

      [ Ответить ]
      • Re: Перелом бедра
        Отправитель: Юрий Алексеевич Булахтин 27 Июль 2005, 19:18
        Уважаемый Александр Николаевич!
        Снимок единственный. Все, что мне показали на консультации я представил.
        Снимок не очень, да и аксиального для такого решения не хвает, конечно. Но мне кажется, что перелом не только чрезвертельный, но и вплоть до субкапитального.
        Больная одна и таже. Ей 25 лет. При анализе попытки операции исхожу из местных условий - широкий доступ, без ЭОПа, несколько попыток провести направляющую спицу, а потом винты - реальная, на мой взгляд, перспектива некроза головки в послеоперационном периоде.
        Что касается консервативного лечения, то при таком вальгусе и отсутствии Ключевского рядом (а я съездил в ЦРБ - никто ей шеечно-диафизарный угол корректировать не собирается - невростеничка, 25 лет, безработная и т.п.) коксартроз не кажется мне чем-то невероятным.

        [ Ответить ]
        • Re: Перелом бедра
          Отправитель: Alexander Chelnokov 27 Июль 2005, 23:29
          ЮАБ> конечно. Но мне кажется, что перелом не только чрезвертельный,
          ЮАБ> но и вплоть до субкапитального.

          Не заметил на показанном снимке шеечного перелома. По возможности поглядеть бы на снимки в динамике и/или другие проекции. Но если Вы уверенно отмечаете перелом шейки бедра - отказ от оперативного лечения у молодой больной вряд ли обоснован.

          ЮАБ> Больная одна и таже. Ей 25 лет. При анализе попытки операции
          ЮАБ> исхожу из местных условий - широкий доступ, без ЭОПа,

          Зачем широкий доступ? Репозиция делается либо на тракционном столе, либо дистрактором, любой из обсуждавшихся фиксаторов вводится зактрыто, доступ только для обнажения ската вертела и чуть дистальнее, если речь о пластинке. Достаточно рентгеновских снимков в операционной.

          ЮАБ> несколько попыток провести направляющую спицу, а потом
          ЮАБ> винты -

          На первом же снимке надо уже разместить ориентиры, в частности, спицу через мягкие ткани по передней поверхности шейки, ввести 1-2 две спицы в шейку. О каких винтах говорите - не пойму. Винтами тут синтезировать как при переломе шейке нельзя из-за разрушения вертельной области, тут нужна железка с угловой стабильностью - гвоздь, DHS или клинок. На худой конец трехлопастной гвоздь с диафизарной накладкой.

          ЮАБ> реальная, на мой взгляд, перспектива некроза головки в
          ЮАБ> послеоперационном периоде.

          Некроз головки - это, в первую очередь, следствие перелома шейки. Которого, может, все-таки нет.

          ЮАБ> Что касается консервативного лечения, то при таком вальгусе и

          Типичным для неправильного сращения перелома проксимального отдела бедра является варус. О каком "таком вальгусе" идет речь - непонятно.
          На едиственном снимке никакого вальгуса нет, видна только наружная ротация периферического отломка, что характерно для первичного снимка. После укладки на шину с отведением и вытяжения по оси положение отломков улучшится. Вот тут бы контроль и сделать.

          [ Ответить ]
    Re: Перелом бедра P.S.
    Юрий Алексеевич Булахтин 26 Июль 2005, 16:07
    Постскриптум!

    Когда читал - не покидала мысль, а зачем это уважаемым А.Н.Челнокову и В.Е. Казеннову. Они что, самые не занятые сейчас? А вот собрался сам написать и кажется понял - разрядка. Хорошая штука "форум"!
    С уважением ко всем,
    Юрий Алексеевич Булахтин

    [ Ответить ]

    • Re: Перелом бедра P.S.
      Отправитель: Vitaly Kazyonnov 29 Июль 2005, 16:16
      Вы абсолютно правы. И в то же самое время, кроме разрядки, -- попытка ознакомить присутствующих со своей точкой зрения на проблему.

      С уважением,
      Казеннов


      [ Ответить ]
    Re: Перелом бедра
    Waldemar Kindsvater 30 Июль 2005, 10:27
    Уважаемые коллеги,

    хочу подлить масла в огонь. У нас если такой случай не оперировать - по заднице надают. Мое мнение - гамма-гвоздь. На 2 день уже по коридору бегать будет.

    Что касается стоимости - несколько недель в больнице намного дороже стоимости гвоздя. Ну а о полезности для пациетки вообще дискутировать не стоит.

    Некрозов головки при таких переломах, тем более у 25 летней я еще не видел.

    С уважением

    Вальдемар.
    [ Ответить ]

    Re: Перелом бедра
    КАЦЕВМАН ЕФИМ ИЗРАЕЛЬ ХАЙФА 11 Август 2005, 02:17
    да gamma nail лучше всего . после dynamic hip screw. вытяжение плохой устарелый и между прочим самый дорогой метод лечения переломов.
    интересно узнать что же сделано больной за две недели.
    [ Ответить ]


    ( Ответить )

    Powered by Zope  Squishdot Powered MedLink
    Посетитель: 0185507
      "По форме правильно, а по существу - издевательство" В.И.Ленин
    ©2001-2019Orthoforum Coordinator.
    [ Главная | Отправить сообщение | Поиск | Админ ]