вверх
отправить
поиск
админ
главная
|
Голеностоп - застарелое повреждение |
 |
 |
 |
Отправлено Юрий Алексеевич Булахтин 22 Июль 2005, 16:13 Камчатский Военно - морской госпиталь
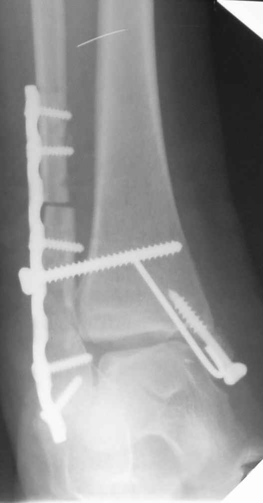
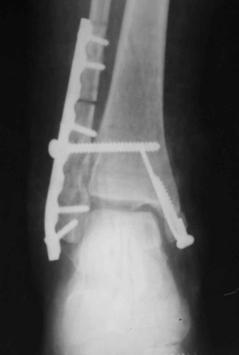
Уважаемые коллеги! Персонально, дорогой доктор Джолдас. Не знаю, почему почта к тебе не проходит - у меня почтовая программа "Bat", снимки в JPG. Выставляю через форум. 10 апреля я показывал снимки больной с застарелым переломо-вывихом голеностопного сустава. 9 июня прооперировал, снимки прилагаю. R-контроль через месяц ходьбы на костылях, все стоит также. Разрешил частичную (20кг) нагрузку на ногу, пока жалоб нет. Ход операции - сагиттальная остеотомия по линии неправильно сросшегося перелома малоберцовой кости, остеотомия с формированием внутренней лодыжки, попытка вправления подвывиха неудачна из-за того, что "не хватало" длины малоберцовой. Остеотомия малоберцовой кости выше синдесмоза. Остеосинтез.
<
|
>
|
|
Ответить
|
Re: Голеностоп - застарелое повреждение
Djoldas Kuldjanov, M.D. 24 Июль 2005, 02:00
|
Юрий,
На снимках хорошо сохранный голеностопный сустав, подвывих устранен, суставная щель одинаково прослеживается со всех сторон, небольшая нехватка длины малоберцовой и немного выступает пластина, а так в целом репозиция и фиксация удалось. Иногда, синдесмотический шуруп мы вводим немного длиннее, примерно на 3мм за медиальный кортекс, при переломе шурупа после нагрузки, шуруп легко удаляется с медиальной стороны. После 6 недель в гипсе можно разрешить нагрузку.
Желаю успеха.
Джолдас Кульджанов
|
[
Ответить ]
|
|
( Ответить )
|
|