AOTRAUMA.ORG Центр Илизарова  

Ортопедия и травматология Общие вопросы/General questions Help Информационные технологии в медицине
 вверх
 отправить
 поиск
 админ
 главная


Обострение остeомиелита
Ортопедия и травматология Отправлено Arshak Mirzoyan 21 Сентябрь 2005, 18:31
Больной 27 лет. Год назад ДТП, открытый перелом обеих голеней.
С места аварии в районную больницу, где произвели ампутацию правой голени. Дальше в клинику спец. помощи, где на левой голени были удалены нежизнеспосбные инфицированные отломки, (дефект 13 см) и наложен аппарат Гофмана. Детали неизвестны. Со слов больного, инфекционный процесс левой голени купирован не был. В феврале аппарат был снят и произведен остеосинтез гвоздем (before1;2). В мае, объективно: В нижней трети голени функционирует свищ, отделяемое гнойное: золотистый стафилокок, чувствительный к большинству антибиотиков.
1 июня произведено удаление гвоздя, дренаж костномозгового канала, остеосинтез аппаратом Илизарова ( after 1; 2).
Ввиду относительной тугоподвижности ложного сустава и наличия признаков репаративной активности костной ткани рентгенологически, после 10 дней компрессии на стыке отломков, начали дистракцию по 1мм в день. Выписан на амбулаторное лечение. Отделяемое в нижней трети голени прекратилось, ранка закрылась. Интраоперационно и 5 дней после операции получал ципроксациллин. В июле по передней поверхности голени в зоне регенерата открылась ранка с обильным гнойным отделяемым. После локального лечения, ранка в течении двух недель эпителизировалась и полностью закрылась. Дистракцию не прекращали. (during 1, 2)
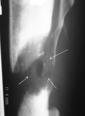
10 дней назад ранка на передней поверхности средней трети голени и по внутренней поверхности нижней трети голени, (по проекции стержня апп.Гофмана) открылись вновь. В настоящий момент отделяемого из обеих ран нет (wound1;2).
Рентгенологически определяется дистракционный регенерат удовлетворительной плотности и наличие в нем полости (now 1;2;3).
После последнего R- снимка 4 дня назад, аппарат переведен в режим фиксации.
Вопрос дальнейшей тактики.
1. Фиксировать?
2. Сбрасывать дистракцию?
3. Продолжать дистракцию по принципу Г.А. Илизарова <Инфекция сгорает в огне регенерации>?
Хотелось бы узнать мнение специалистов, имеющих соответствующий опыт.
Приму все соображения с благодарностью
Аршак Мирзоян
Ереванский Центр Реконструкции и Удлинения Конечностей

<  |  >

 

  • Сообщения о Ортопедия и травматология
  • Также Arshak Mirzoyan
  • Связаться с автором
  • Ответить

    Re: Обострение остeомиелита
    Gost Anton 21 Сентябрь 2005, 21:18
    Если длина конечности восстановлена, то фиксация с полной нагрузкой на конечность.
    [ Ответить ]

    Re: Обострение остeомиелита
    Alexander Chelnokov 21 Сентябрь 2005, 21:47
    Данных за "канальный" остеомиелит по всему ложу интрамедуллярного стержня не видно. Очевидно, процесс локализованный, на сегодня не видно тенденции к расширению. Может быть, это локальный "спицевой" остеомиелит, который течет доброкачественно, и часто саморазрешается.
    Киста (?) в регенерате - может, даже и не гнойная полость вовсе.
    Для уточнения проблемы можно пунктировать ее под контролем УЗИ или image intensifier.
    А вообще при такой клинической картине, по-моему, стоило бы ограничиться лишь поддержанием высокой стабильности аппарата, для этого давать дистракцию 0,5-1 мм 1 раз в 4-5 дней. Либо, если желаемая длина сегмента не достигнута, не спеша продолжать. Если есть/будет свищ - проводить длительную ирригацию водными расторами антисептиков через катетер. Со временем улучшится кровоснабжение, заполнится костью диастаз, очаг инфекции может и заместиться новообразованной костью. Если нет - может быть, удастся более четко его локализовать с последующим местным вмешательством (кюретаж, краевая резекция, еще что-то...).
    В принципе, существует и более радикальный способ - завершить дистракцию, сопоставить отломки по оси, переввести спицы, чтобы освободить костно-мозговой канал, рассверлить его и поместить туда тот или иной спейсер из костного цемента с антибиотиками, с сохранением аппарата или даже без него. На мой взгляд, лучше этот вариант пока подержать в резерве, раз регенерат есть, распространной гнойной инфекции нет, ситуация более-менее стабильная.
    Успехов! Keep us informed.


    [ Ответить ]

    • Re: Обострение остeомиелита
      Отправитель: Бородайкевич Роман 22 Сентябрь 2005, 13:07
      Уважаемый, Аршак! На основе имеющегося опыта, могу рекомендовать: 1. сбросить дистракцию; 2. восстановить контакт фрагментов; 3. возобновить поддерживающую компрессию; Пункты 1.,2.,3., осуществлять под антибактериальной терапией, согласно чувствительности возбудителя. 4. после появления признаков репаративной регенерации в зоне ложного сустава, решать вопрос о кортикотомии проксимального фрагмента для удлинения (билокальный компрессионно-дистракционный остеосинтез). Желаю успехов!

      [ Ответить ]
    Re: Обострение остeомиелита
    Alexander Artemiev 22 Сентябрь 2005, 23:13
    Привет, Аршак.
    1. А зачем вообще было (да и сейчас) удлинять, если нога одна. При образовании дефекта кости или укорочении имеет значение неравная длина ног (когда их две).
    Поэтому вопрос с удлинением я бы вообще отбросил. Или оставил на потом.

    2. Сейчас две задачи
    - срастить перелом
    - ликвидировать инфекцию.

    3. Самый простой вариант добиться сращения - компрессия. Может быть с остеотомией малоберцовки
    Если не получится - тогда рассматривать все остальные.

    4. Шанс ликвидровать инфекцию - резекия и сращение с укорочением.
    Что в данном случае тоже было бы вполне разумно.

    P.S. Удлинять в зоне травмы, особенно на диафизе, особенно в условиях инфекции - не нужно.

    С уважением Александр Артемьев
    [ Ответить ]

    Re: Обострение остeомиелита
    Александр Ангельский 01 Октябрь 2005, 22:09
    Необходимо уточнить, т.к. мне не очень понятно: Остался ли дефект б\берцовой кости на настоящий момент, или он полностью замещён? То же касается укорочения единственной голени? Если укорочение сохраняется, то необходимо её устранять максимально до нормы ( если известно какая она была- второй голени нет), т.к. несмотря на ретракцию мышц, если не устранить укорочение (максимум можно оставить до 4 см.) то функция может быть более потеряна, чем при восстановлении длины. Оставшаяся голень, г.стопный сустав, стопа, единственное что движется при хотьбе. Надеемся что коленный сустав не потерян в контрактуре. Так же важно какая ампутация на другой конечности- бедра или голени, так же в плане биомеханики (к какой модели движения стремится). В зависимости от того какую биомеханику хотьбы Вы хотите получить и надо действовать - Это к вопросу о фиксации в аппарате или дистракции. Хотя частично участники форума на мой взгляд правы в отсутствии необходимости гонятся за миллиметрами оставшейся конечности. У нас такой случай был. Пациент после столкновения 2 Белазов остался без одной голени (ампутация на уровне в\3) и на второй остеомиелит с дефектом (правда менее 13см, как в вашем случае) б.берцовой кости. Мы восстановили длину голени, остеомиелит купировали санацией и пересадкой торакодорзального лоскута включение в подколенную артерию на в.3 голени. Протезирование ампутационной культи. Сейчас (прошло 4 или 5 лет, приходил больной 6 мес.назад) работает шофёром на легковушке в частной фирме, возит шефа. Если надо более конкретно по Вашему случаю, то необходимо больше вводных данных.
    [ Ответить ]

    • Re: Обострение остeомиелита
      Отправитель: Arshak E. Mirzoyan 03 Октябрь 2005, 08:14
      Уважаемый Др. Ангельский

      Из 13 см исходного укорочения (опять-таки со слов больного) устранены 6. Бросающейся в глаза диспропорции между длиной голени и стопы уже нет. Хотелось бы удлинить еще на 4-5 см, тем более, что контрактур в смежных суставах голени практически нет. Вопрос: как поведет себя инфекция и будет ли адекватный дистракционный регенерат. Больной курит до двух пачек в день. Сроки лечения для него не принципиальны.

      После первого сообщения, мы сбросили дистракцию 3 раза по 2 мм в течении 5-6 дней.

      В настоящий момент ранки закрылись полностью. Получает ципринол по 500 ед х 2 раза в день. Планируем возобновить дистракцию, сделать R- контроль через 15 дней, а там видно будет.

      Ампутация контрлатеральной конечности на уровне н/трети бедра. Протез с винтовым устройством, легко может быть подогнан под необходимую длину.
      Больной уже им пользуется, ходит, суммарно по 40-60 мин в день.

      Спасибо всем за соображения по данному поводу.

      Аршак Мирзоян

      [ Ответить ]
      • Re: Обострение остeомиелита
        Отправитель: Александр Ангельский 04 Октябрь 2005, 08:35
        Регенерат безусловно будет, весь лишь вопрос в какие сроки. По нашим данным,
        при увеличении замещаемого дефекта свыше 7 см, регенерат компактизируется значительно дольше, сроки возрастают с длиной в геометрической прогрессии.
        Поэтому при больших дефектах лучше проводить двухэтапное замещение дефекта (тем более что протез подгоняется под длину другой голени). Инфекция может периодически возобновлятся, с ней надо бороться. Но радикально не получится,
        т.к. нет восстановления структуры и длины кости. Ну а курение, естесственно может привести к тромбозу удлиняемых сосудов, что не есть хорошо, и все может пойти прахом. Желательно хотя бы уменьшить дозу никотина. Хотя как показывает опыт, больные на это не идут. С уважением Ангельский Александр.

        [ Ответить ]

     

    ( Ответить )

    Powered by Zope  Squishdot Powered MedLink
    Посетитель: 0178740
      "По форме правильно, а по существу - издевательство" В.И.Ленин
    ©2001-2019Orthoforum Coordinator.
    [ Главная | Отправить сообщение | Поиск | Админ ]