вверх
отправить
поиск
админ
главная
|
Застарелый переломо-вывих в голеностопном суставе |
 |
 |
 |
Отправлено Ерохин Александр 27 Сентябрь 2005, 00:00 госпиталь ВСРФ (в\ч41561) г.Тирасполь
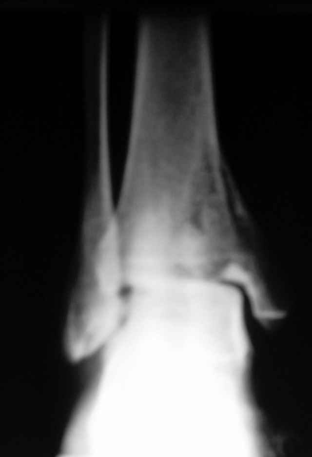
Уважаемые коллеги, помогите определиться с тактическим решением оперативного вмешательства: сегодня госпитализировал молодого человека 23 лет с застарелым переломо-вывихом в голеностопе. Травма 9-ого сентября - неудачно спрыгнул с дерева. Через час обратился в травмпункт, где были сделаны снимки в прямой проекции, выставлен диагноз: разрыв связок. Больной отправлен для дальнейшего лечения в поликлинику, наложена гипсовая лангета. Врачом поликлиники разрезана гипсовая повязка (диагноз остался тем же). Сегодня обратился ко мне. Сделаны рентгенограммы в 2-х проекциях, установлен диагноз: застарелый оскольчатый перелом переднего края левой большеберцовой кости с подвывихом стопы вперёд. Операция планируется на 28.09.05 предполагается закрытое аппаратное вправление вывиха, с незначительной перерепозицией, с последующей заменой ригидных стержней роликовыми на пружинном демпфере (через 6-7 недель). Нужно ли идти открыто и пытаться вправить смещённые отломки? Если пытаться то когда (при первичной операции или после вправления вывиха)? В литературе я что-то не встречал точной тактики при данном повреждении (застарелом). Советуют от первичного артродеза (Уотсон-Джонс) до артропластики. Я имею опыт операций синтеза переднего края с вывихом стопы, но в "свежих" случаях, оперировал открыто и требовался синтез лишь одного крупного осколка. Буду благодарен всем, кто имеет опыт подобных операций. Когда прооперирую, вышлю снимки, что получилось. С УВ. Ерохин А.В.госпиталь ВСРФ (в\ч41561) г.Тирасполь
<
|
>
|
|
Ответить
|
Re: Застарелый переломо-вывих в голеностопном суст
Alexander Chelnokov 27 Сентябрь 2005, 11:59
|
Глубокоуважаемый Александр,
Tuesday, September 27, 2005, 8:33:44 AM, you wrote:
ЕА> на 28.09.05 предполагается закрытое аппаратное вправление вывиха, с незначительной
ЕА> перерепозицией, с последующей заменой ригидных стержней роликовыми
ЕА> на пружинном демпфере (через 6-7 недель). Нужно ли идти открыто и
ЕА> пытаться вправить смещённые отломки?
Вторую проекцию посмотреть бы сначала.
Коротко обсудили в коллективе в условиях недостаточной информации - скорее всего, да, лучше наложить аппарат (дистрактор голень-стопа) и в нем пойти открыто. Скорее всего, там импрессия переднего края, в этом слуае закрыто конгруэнтность сустава не восстановить. Соответственно, нужны элевация и пластика, либо если очень большая часть суставной поврехности вовлечена (бокового снимка нет), то можно и первичный артродез.
ЕА> что-то не встречал точной тактики при данном повреждении (застарелом).
Да не такое уж оно застралое.
ЕА> Советуют от первичного артродеза (Уотсон-Джонс) до артропластики.
ЕА> Я имею опыт операций синтеза переднего края с вывихом стопы, но в "свежих" случаях,
Тут отличия больше не между свежий-застарелый, а чистое раскалывание или импрессия.
|
[
Ответить ]
|
Re: Застарелый переломо-вывих в голеностопном суставе
Игорь Кучерявый 27 Сентябрь 2005, 19:50
|
Не имея перед глазами хороших Rg-снимков в 2-х проекциях, трудно что-либо советовать...
С учетом характера травмы имеется импрессия переднего края. А почему бы не попробовать банальное скелетное вытяжение?
|
[
Ответить ]
|
( Ответить )
|
|