AOTRAUMA.ORG Центр Илизарова  

Ортопедия и травматология Общие вопросы/General questions Help Информационные технологии в медицине
 вверх
 отправить
 поиск
 админ
 главная


Перелом крестца
Ортопедия и травматология Отправлено Leonid Pollyak 01 Октябрь 2005, 00:51
В отделение детской ортопедии нашей больницы поступила больная 17 лет.
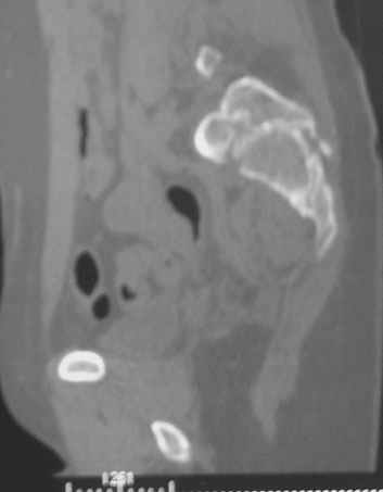
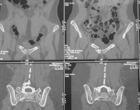
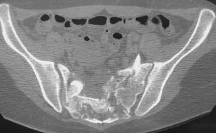
Травма 21.августа 2005г. На девочку в лесу упала береза. Доставлена в ближайшую ЦРБ. При поступлении установлен диагноз: Травматический шок 2-3 ст. Тупая травма живота. Забрюшинная гематома. Перелом костей таза с нарушением целостности тазового кольца. Перелом лонной и седалищной костей справа. Перелом поперечных отростков L3 - L5. Разрыв КПС справа. При поступлении выполнена диагностическая лапароскопия — выявлена обширная забрюшинная гематома. Было наложено скелетное вытяжение за бугристости обеих б/берцовых костей, больная уложена в гамак. Через неделю скелетное вытяжение демонтировано, гамак снят. Девочка уложена в положение «лягушки». Контрольные рентгенограммы через 4 недели после травмы. Заподозрен перелом дужки L5. Больная 26 сентября 2005 г. переведена в областную больницу в отделение детской ортопедии. При поступлении в локальном статусе: пальпация и перкуссия остистых и поперечных отростков L4-5 болезненная. Пальпация костей таза б/болезненная. С-м натяжения слабо положителен. Осевая нагрузка положительная. Движения в т/б суставах ограничены, болезненны. C-м прилипшей пятки отрицательный. C-м Ларрея и Варнейля отрицательный. Периферическая гемодинамика не нарушена.Неврологический статус: вторичная двусторонняя радикулопатия L5-S1. 29 сентября произведена компьютерная томография позвоночника и таза.
Просьба дать совет по тактике лечения.-- Best regards, Dr.Pollyak

<  |  >

 

  • Сообщения о Ортопедия и травматология
  • Также Leonid Pollyak
  • Связаться с автором
  • Ответить

    Re: Перелом крестца
    Максим Агалаков 01 Октябрь 2005, 09:08
    А в чем именно выражается радикулопатия?
    [ Ответить ]

    Re: Перелом крестца
    tomilov 04 Октябрь 2005, 16:21
    В чем выражается радикулопатия?
    [ Ответить ]

    • Re: Перелом крестца
      Отправитель: Leonid Pollyak 05 Октябрь 2005, 15:45
      > В чем выражается радикулопатия?

      Анатолий Борисович! Грубого неврологического дефицита у девочки нет, движения в конечностях, чувствительность в конечностях и промежности сохранены, тазовых нарушений сейчас нет, регрессировали. Радикулопатия - формулировка неврологов - конкретно - выраженный болевой синдром, видимо ирритативный. Постоянно получает аналгетики, несколько раз проводились блокады (внутритазовые, эпидуральные) с временным эффектом. Сегодня утром девочка самовольно встала на "четвереньки", со слов мамы что-то щелкнуло и боли исчезли, надолго ли не знаю.

      [ Ответить ]
      • Re: Перелом крестца
        Отправитель: Игорь Кучерявый 05 Октябрь 2005, 21:47
        Судя по томограммам, радикулопатия может быть из-за компресии "конского хвоста" смещенным крестцовым позвонком, это хорошо видно на втором слева снимке. Если этот сегмент будет нестабилен и будет сохраняться неврологическая симптоматика, придется оперировать. Если неврологическая симптоматика уйдет и перелом стабилизируется, то можно обойтись без операции.
        P.S. А что по этому случаю думают нейрохирурги? Это ведь и их вотчина... :)

        [ Ответить ]

     

    ( Ответить )

    Powered by Zope  Squishdot Powered MedLink
    Посетитель: 0233543
      "По форме правильно, а по существу - издевательство" В.И.Ленин
    ©2001-2019Orthoforum Coordinator.
    [ Главная | Отправить сообщение | Поиск | Админ ]