вверх
отправить
поиск
админ
главная
|
Застарелое повреждение Галеацци - тактика лечения |
 |
 |
 |
Отправлено Мурод Каримов 04 Ноябрь 2005, 00:50
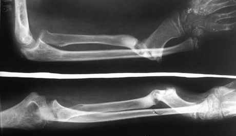
Глубокоуважаемые коллеги!Из ЦРБ поступил больной с застарелым переломом Галеацци. 3 года тому назад оперирован по месту жительству - открытый остеосинтез лучевой кости, вывих не устранен. Хотелось бы узнать Ваше мнение по поводу тактики хирургического лечения. Каримов Муродулла Юлдашевич кандидат медицинских наук, доцент заведующий кафедрой травматологии и ортопедии,ВПХ с нейрохирургией Ташкентская Медицинская Академия
<
|
>
|
|
Ответить
|
Re: Застарелое повреждение Галеацци - тактика лече
Alexey Mozgounov 04 Ноябрь 2005, 11:03
|
Трудно говорить, не видя первичных снимков, но по представленным - мнение за повреждение Галeацwи не складывается...
Тем более, что судя по снимкам это ребенок, а в этой возрастной группе данное травматическое состояние крайне редко...
По моему предположению, здесь был обычный разгибательный перелом на гр. с-в\3 диафиза луча в сочетании со смещением в лучевую сторону. По той или иной причине (вам виднее) возник ложный сустав в том же (или близком к тому) положении...
В настоящее время на фоне ложного сустава имеется угловая деформация, препятствующая ротационным движениям в предплечье, с лучевой девиацией кисти и косметическими (помимо функциональных) проблемами...
На фоне всего этого (продольное относительное "укорочение" луча) имеется и рентнгенологически видимый продольный подвивих (проксимальный) в дистальный радиоульнарном сочленении... Но это не
Галеацци...
Лечение?
Я бы наложил аппарат Илизарова... шарнирный... 2 стержня на кронштейнах на проксимальной опоре (удобнее использовать кольцевую) и 2 пространственно прекрещенные спицы (или 2 спицы в одной плоскости + кронштейный стержень или 2 спицы + третья на кронштейнах) в одной кольцевой опоре... Никаких разрезов... Постепенная коррекция (устранения дефорации и при необходимости - продольного подвывиха) только в аппарате... Не видел еще ни одного отрицательного исхода при такой клинической картине и тактике лечения... У детей и подростков...
|
[
Ответить ]
|
Re: Застарелое повреждение Галеацци - тактика лече
Alexander Chelnokov 04 Ноябрь 2005, 17:34
|
Galeazzi это или нет, можно спорить, но что у больного тугой ложный сустав лучевой кости с угловой деформцией - похоже, споров не вызовет. Тугие ложные суставы прекрасно лечатся дистракцией.
Соответствено, лечение в этом случае вполне может быть проведено аппаратом внешней фиксации, как и предложил Алексей Мозгунов. Компоновки можно применить разные, задача все равно одна - обеспечить дозированное восстановление оси лучевой кости.
Я бы наложил аппарат из трех опор - полукольцо с одной спицей в локтевой кости на уровне венечного отростка, кольцо проксимальнее несращения с одной спицей в луче с упором со стороны межкостного промежутка, кольцо дистальнее с одной спицей в луче сразу дистальнее ложного сустава с упором как у предыдущей, в дистальный метафиз луча с упором с лучевой стороны. Шарниры на уровне вершины деформации в ее истинной плоскости.
|
[
Ответить ]
|
Re: Застарелое повреждение Галеацци - тактика лече
Rinat Ramanov 06 Ноябрь 2005, 19:32
|
Судья по рентгенограммам и от возраста пациента единственный оптимальный хирургический метод лечение закрытое наложение аппарата
Илизарова из 3,5 колец.
Как видно из рентгенограммам в сегменте предплечье резко нарушено биомеханика. Исходя из этого первым делом открыто устраняют застарелый вывих голвоки луча + наложение аппарата по методике клиники из 1,5 колец, таким образом восстанавливают проксимальный биомеханический звено предплечья.
После впраление головки луча (не стоит трудится восстановит циркулярную связку) достигнутая положения фиксируется трансартикулярной спицой Киршнера ( который удалятеся через неделья).
При том дистальный кольцо аппарата Илизарова устанвливается проксимальнее от ложного сустава лучевой кости. Спица с упорной плащадкой проводят в проксимальной части луча. Затем на лучевой кость
устанавливают аппарат Илизарова из 2 колец(второй аппарат прмонтируется к дистальному кольцу первого аппарата. Спицы дистального колца второго аппарата проводят(первую спицу ) через I пястный (вторую спицу) через II и III диафизы пястных остей. Датеся дистракция после устранение улговой деформации проводят стабилизирующие спицы с
упорной плащадкой и дается должная компрессия. При том на ложный сустав предварительно вводят химотрипсин.
При этом сохрянятеся функция локтевого сустава, что очень важно для успешнего лечения.
Гайрат Джиенбаевич!
|
[
Ответить ]
|
Re: Застарелое повреждение Галеацци - тактика лече
Отправитель: Alexander Chelnokov 06 Ноябрь 2005, 19:34
|
RR> биомеханика. Исходя из этого первым делом открыто устраняют застарелый
RR> вывих голвоки луча
??? Головка, судя по снимкам, не в вывихе.
RR> + наложение аппарата по методике клиники из 1,5 колец,
А что за "методика клиники"? Для незнакомых с ней нельзя ли представить ее более наглядно и подробно?
RR> циркулярную связку) достигнутая положения фиксируется
RR> трансартикулярной спицой Киршнера ( который удалятеся через неделья).
Возможно, это необходимо для повреждений типа Monteggia и их последствий. Но тут-то зачем? Муродулла Юлдашевич, прокомментируйте, пожалуйста - есть какие-то проблемы с локтевым суставом у этого пациента?
RR> колца второго аппарата проводят(первую спицу ) через I пястный
RR> (вторую спицу) через II и III диафизы пястных костей.
Фиксировать еще и кисть тут очевидно избыточно, повреждение не около- или внутрисуставное.
RR> Датеся дистракция после устранение улговой деформации проводят
RR> стабилизирующие спицы с упорной плащадкой и дается должная компрессия.
Смещения по длине как такового (захождения фрагментов) тут не видно, поэтому вполне рационально пойти на устранение угла не при помощи растяжения по длине, а сразу на шарнирах. Это может быть чуть сложнее при наложении аппарата, поскольку требует скрупулезного их позиционирования, но зато дальнейшие действия сводятся к вращению одной гайки.
RR> При том на ложный сустав предварительно вводят химотрипсин.
Как было показано более 30 лет назад, тугие ложные суставы прекрасно лечатся закрытой дистракцией, без введения каких-либо медикаментов в зону патологического очага.
RR> При этом сохрянятеся функция локтевого сустава, что очень важно для
Никаких сведений о нарушении функции локтевого сустава пока не было представлено. Скорее всего, аппаратное лечение этого ложного сустава никак не должно на нее повлиять ни в худшую, ни в лучшую сторону...
|
[
Ответить ]
|
|
Re: Застарелое повреждение Галеацци - тактика лечения
Каримов М.Ю. 09 Ноябрь 2005, 19:43
|
Глубокоуважаемый Ринат Романов!
Головка лучевой кости на месте. Функция локтевого сустава также в полном объеме.
Каримов М.Ю.
|
[
Ответить ]
|
( Ответить )
|
|