вверх
отправить
поиск
админ
главная
|
Отправлено Райхер Соломон 05 Ноябрь 2005, 15:26 Донецк, ГБ
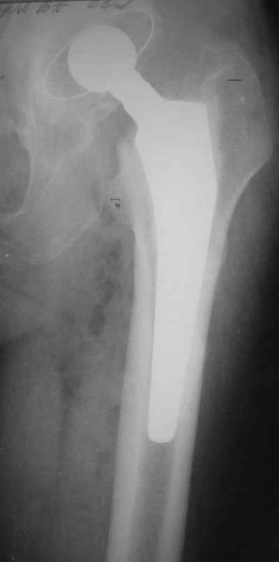
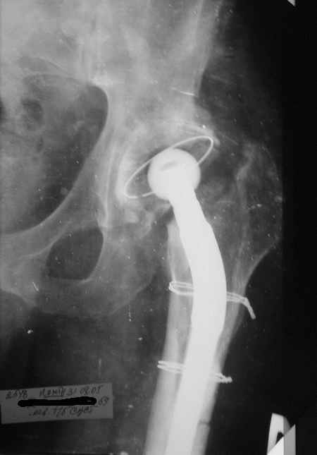
Уважаемые коллеги,Мужчина, 69 лет, в декабре 2004 г перенес тотальную цементную артропластику . Через 3 мес после операции на фоне прогрессирующих болей в средней и проксимальной третях бедра при нагрузке возникли резкие боли и появилось опухолевидное болезненно образование. Процесс сопровождался резким одномоментным укорочением ноги.
 В феврале 2005 г. выполнена ревизионная артропластика, завершившаяся прогрессировавшим в течение 1-2 мес укорочением ноги. В настоящее время ходит только с костылями, при движениях в тазобедренном суставе испытывает резкие боли, ощущает хруст. Попытка осевой нагрузки бедра сопровождается ощущением "перемещения поршня" и заметным по внешним ориентирам укорочением левой ноги на 1-1,5 см.
 Порекомендуйте, пожалуйста, рациональную тактику ведения больного. В каком лечебном учреждении России ему могла бы быть таки оказана полноценная помощь? С благодарностью, С.Райхер
<
|
>
|
|
Ответить
|
Re: Серия ошибок при THR
Виктор П. Волошин 05 Ноябрь 2005, 23:12
|
=1... Серия ошибок...
Наверное перфорация стенки при первичном протезировании и неадекватный размер Вагнера при ревизионном? Что-нибудь еще?
=2...рациональную тактику ведения...
Может быть Вы что то не договариваете в соматическом, инфекционном или психологическом плане? Что Вас заставляет отказаться от замены ножки? Второй сустав наверняка уже доставляет немало проблем, надо ли выжидать. Если нет привходящих моментов в МОНИКИ я бы повторно установил ревизионную Вагнера большего размера или ZMR
=3... таки оказана полноценная помощь...
Где ближе и по цене доступно (если не гражданин РФ). Ревизионным ЭП занимаются во многих ЛУ, и не обязательно в Москве или СПб.
Успехов,
ВВП, МОНИКИ
|
[
Ответить ]
|
Re: Серия ошибок при THR
Отправитель: Соломон Райхер 06 Ноябрь 2005, 13:38
|
Уважаемый Виктор Парфентьевич,
Спасибо большое за Ваш ответ. Этот больной был осмотрен мною после серии операций. Не имея достаточного опыта в ревизионном ре-ре-эндопротезировании, я и обратился на форум.
Я полностью поддерживаю Ваше мнение об интраоперационной перфорации при первичном протезировании, т.к. при внимательном рассмотрении рентгенограммы после этого этапа виден дефект кортикального слоя именно по задне-наружной поверхности .

Рентгенограммы продемонстрировал те, которые оказались у больного в момент осмотра.
И ножка Вагнера подобра плохо, и насчет возможной инфекции Вы совершенно правы, т.к. рана после второй операции заживала вторичным натяжением.
Психологических и соматических проблем пациент практически не имеет. Напротив, это мужчина, который не выглядит на свои 69 лет. Он активно ищет возможности отказаться от костылей.
>Если есть интерес можно продолжить обсуждение.
Интерес, конечно, есть, т.к. есть желание помочь пациенту выйти из этой непростой ситуации.
Оперировавшие его "небожители" предлагают "подождать и адаптироваться", но к чему адаптироваться и чего ждать?
С глубоким уважением к Вам,
Соломон Райхер
|
[
Ответить ]
|
|
Re: Серия ошибок при THR
Anton Vakulenko 06 Ноябрь 2005, 19:41
|
Зачем ехать в Россию? Ситуация хоть и сложная, но не катастрофическая. Для начала Вы можете обратиться в нашу клинику (мой тел. 067-7226003).
Кстати, под "небожителем" случайно не г-н Стинский подразумевается?
--
С уважением,
А. В. Вакуленко
Клиника эндопротезирования крупных суставов
Донецкий НИИ травматологии и ортопедии, Украина
|
[
Ответить ]
|
Re: Серия ошибок при THR
Rashid M. Tikhilov 06 Ноябрь 2005, 19:42
|
Глубокоуважаемый Райхер Соломон,
К сожалению, Р-граммы не захватывают полностью бедро, поэтому окончательное решение может быть после полноценного р-ского обследования. Однако думаю, что оптимальное решение - полнопокрытая ножка длинной не менее 200 мм, без привязки к типу протеза. Это может быть модульная система ZMR, Solution и др., главное - принцип. В отношении чашки тоже есть определенные сомнения. Думаю, что наш ин-т (РосНИИТО, СПб) смог бы сделать эту операцию.
С уважением, Р.Тихилов
|
[
Ответить ]
|
Re: Серия ошибок при THR
Дрягин В. 07 Ноябрь 2005, 22:13
|
Ситуация достаточно несложная. Основной массив бедренной кости сохранён. Лучше поменять чашку сразу, потому что ей не долго осталось жить. Слишком латерально поставлена. Предпочитаю RM чашки при ревизии. Ножка предпочтительней Solution. Если есть проблемы по замене, могу взять к себе без проблем.
С уважением
|
[
Ответить ]
|
Re: Серия ошибок при THR
Соломон Райхер 09 Ноябрь 2005, 00:23
|
Глубокоуважаемые коллеги,
Спасибо большое за высказанные мнения и предложения по месту проведения лечения пациента.
Ваши пожелания будут реализованы на этапе подготовки пациента к очередной операции.
С благодарностью,
Соломон Райхер
|
[
Ответить ]
|
( Ответить )
|
|