ВХОД ДЛЯ ПАЦИЕНТОВ
вверх
поиск
админ
главная
|
Нужен совет - проблемы после эндопротезирования коленного сустава |
 |
 |
 |
Прислано Alexander Rykov 17 Ноябрь 2005, 18:19
из
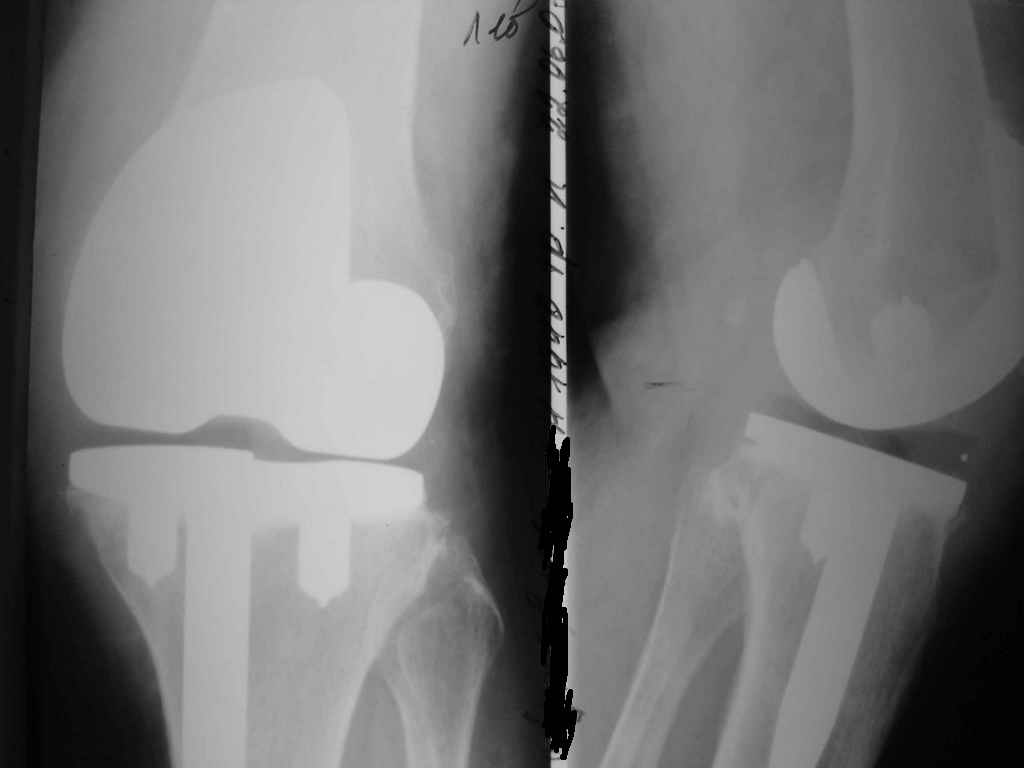
Уважаемые коллеги. Пациентка 65 лет соматически сохранна 6,5 месяцев назад выполнено замещение
коленного сустава интегральным эндопротезом Фримана Самуэльссона - цемент, по поводу ДОА.
Послеоперационное течение с длительным субфебрилитетом. Местно без особенностей и выписана домой на 28 сутки с обьемом движений в колене 90 град. с частичной опорой. Дома отмечала субфебрильную лихорадку. Живет в небольшом поселке далеко от цивилизации. Контрольный осмотр в 3 месяца особых клинических проблем лечащий врач не нашел. Однако рентгенологически отмечены зоны остеопороза вокруг компонентов, на которые не обратил внимание. С 4 месяца отметила ухудшение - отек в колене, ограничение движений и боль. Лечилась у местного врача-хирурга (нестероиды и местно мазилки) - без эффекта. Обратилась только в 6,5 мес. Движения в суставе 20 град, отечность колена, выпот по УЗИ. Боль неопределенная, ходит с тростью. Лихорадки нет, в ан крови СОЭ 36 остальное норма, острофазовые тесты СРР повышен вдвое = 12 (при норме 6) Ревмотест - норма..
Пункция - посев - роста не дает. Пробовали артроскопию - артрофиброз. Трудности осмотра из-за
контрактуры и спаек. Рентгенограммы в динамике - в приложении (динамика с ухудшением). Вопросы:
1. Инфекция? или остеопения местная?
2. Ревизия или подождать и полечить остеотропами?
Благодарю заранее за любой совет.
А Рыков. Хабаровск.
Обратите внимание: Поля с жирными названиями обязательны.
Старайтесь отвечать в рамках обсуждаемой темы, а не начинать новые обсуждения.
Указывайте адекватную тему сообщения, чтобы было ясно, о чем оно.
Не послайте сообщений не по теме (оффтопик), раздраженных, грубых или обидных комментариев. Здесь это неуместно.
|