ВХОД ДЛЯ ПАЦИЕНТОВ
вверх
поиск
админ
главная
исходное
|
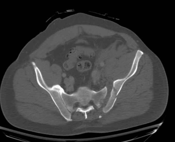
Re: APC III pelvis fx
послал Thomas Shaller 29 Ноябрь 2005, 19:50
|
Request for more images.. Axial and coronal recon (pt in binder.)

Haven't posted initial AP pelvis as it is poor quality, non digital film.
Thanks
Tom schaller
|
Послать ответ |
Обратите внимание: Поля с жирными названиями обязательны.
Старайтесь отвечать в рамках обсуждаемой темы, а не начинать новые обсуждения.
Указывайте адекватную тему сообщения, чтобы было ясно, о чем оно.
Не послайте сообщений не по теме (оффтопик), раздраженных, грубых или обидных комментариев. Здесь это неуместно.
|