ВХОД ДЛЯ ПАЦИЕНТОВ
вверх
поиск
админ
главная
исходное
|
Re: APC III pelvis fx
послал Thomas Schaller 03 Декабрь 2005, 14:28
|

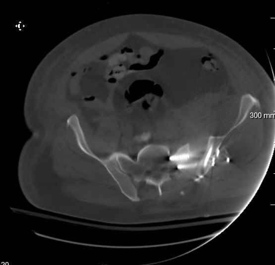
On 11/29 took patient back to OR and explored both his anterior and posterior wounds, removed loose illiosacral screws. Left behind the screws fixing illiac crescent. Found anterior wound clean and closed it. Found posterior wound with moderate seroma and some adjacent fat necrosis. Thus far, cultures negative, but not kidding myself on that fact. Wound VAC placed and going back tomorrow to reexamine wound and may close it or re-VAC one more time. Fixator remains in place.
My plan to revise fixation is in line with your suggestion - plate symphysis and anterior approach to SI joint. It appears from post - failure CT scan that the path of the more cephalad IS screw may be helpful to place a longer screw to engage opposite illiac wing as an option, or just anterior SI plates. not likely to do this tomorrow as he remains in a fragile clinical situation regarding his pulmonary status, and profound edema/induration around his pelvis/abdomen and thighs.
I tried to balance timing and initial fixation options with the patient's overall clinical picture, local soft tissue status, and incorporated advice of the traumatologists and urologists on our trauma team. I appreciate your comments, criticisms, and continued interest in this case.
|
Послать ответ |
Обратите внимание: Поля с жирными названиями обязательны.
Старайтесь отвечать в рамках обсуждаемой темы, а не начинать новые обсуждения.
Указывайте адекватную тему сообщения, чтобы было ясно, о чем оно.
Не послайте сообщений не по теме (оффтопик), раздраженных, грубых или обидных комментариев. Здесь это неуместно.
|