AOTRAUMA.ORG Центр Илизарова  

Ортопедия и травматология Общие вопросы/General questions Help Информационные технологии в медицине
 вверх
 отправить
 поиск
 админ
 главная


Неправильно сросшийся перелом голени
Ортопедия и травматология Отправлено Юрий Алексеевич Булахтин 12 Декабрь 2005, 07:21 Камчатский Военно - морской госпиталь
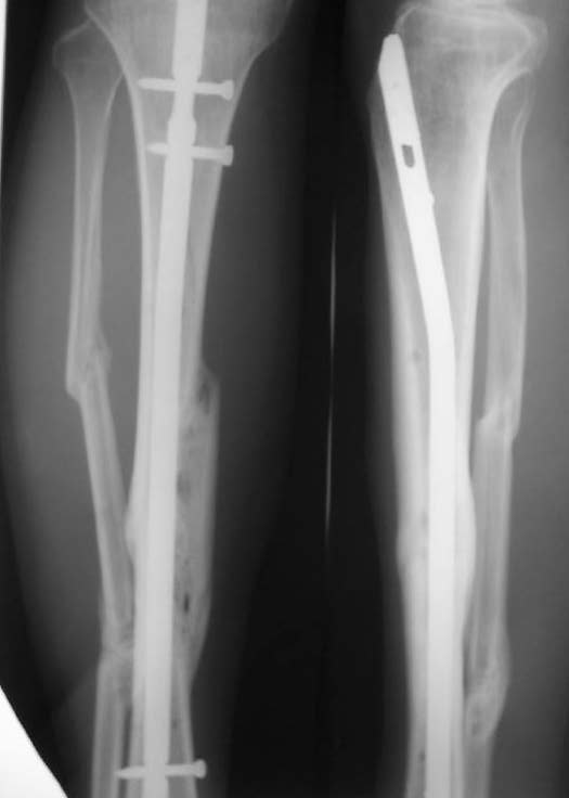
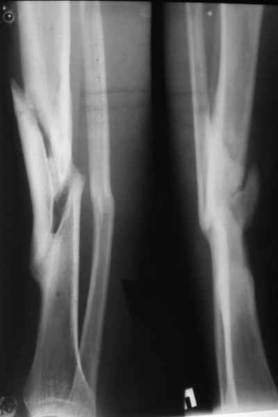
Уважаемые коллеги! На консультации больной предъявляет жалобы на хромоту (укорочение - 2см), боль в месте перелома при нагрузке (спортсмен).
Семь месяцев назад получил закрытый перелом, лечился консервативно в одной из больниц города. Как-бы кто лечил? Сам склоняюсь к LCP с костной пластикой.
Юрий Алексеевич Булахтин,
главный травматолог Камчатского Военно-морского госпиталя

<  |  >

 

  • Сообщения о Ортопедия и травматология
  • Также Юрий Алексеевич Булахтин
  • Связаться с автором
  • Ответить

    Re: Неправильно сросшийся перелом голени
    Александр Нагога 12 Декабрь 2005, 17:13
    Трудно что либо Вам советовать не зная вашего материально технического оснащения и Ваших личных пристрастий к тем или иным методикам, а так же состояния кожных покровов пациента. Мы с Вами полностью согласны в том, что накосный остеосинтез здесь вполне приемлем, однако у нас есть небольшой личный опыт БИОС ( В основном ChM, ДЕОСТа различный локализаций, в т.ч. и несращений голени - 95 операций) и мы считаем уместным в данном случае стабильный открытый иртамедуллярный остеосинтез с остеотомией м.б. кости.

    С уважением коллектив частной хирургической клиники ОРТО (Самара): Безруков
    А.Е., Нагога Александр, Комаров Георгий, Федоров Дмитрий
    [ Ответить ]

    Re: Неправильно сросшийся перелом голени
    Alexander Rykov 12 Декабрь 2005, 17:14
    Юрий Алексеевич, привет. А перелом то вроде сросся! -правда с варусом - угол можно посчитать у Вас по снимкам (в письме - суставов нет в прямой проекции). Я бы не спешил, с открытой хирургией тем более. Риски велики. Укорочение абсолютное тоже мизерно. А коррекцию оси сделал бы попозже малоинвазивным методом по Илизарову ГА.

    С ув. А Рыков. Хабаровск.
    [ Ответить ]

    Re: Неправильно сросшийся перелом голени
    Leonid Solomin 12 Декабрь 2005, 17:15
    Уважаемый Юрий Алексеевич!
    В случае, если после остеотомии малоберцовой имелась бы (минимальная) амортизация, - то предпочтительнее закрытое утранение деформации по Илизарову. Если однозначно все срослось - тоже после кортикотомии на высоте деформации. Минимизация компоновки аппарата может обсуждаться. Если вопрос об имплантате решен однозначно - предпочтительнее БИОС.

    Успехов,
    Л.Соломин
    [ Ответить ]

    Re: Неправильно сросшийся перелом голени
    Alexander Chelnokov 12 Декабрь 2005, 18:24
    Интересно, какие соображения легли в основу выбора? Вроде LCP и сильно недешевы, и демонстрируют свои замечательные свойства в большей мере при околосуставных проблемах?
    У нас, наверно, была бы сделана чрескожная остеотомия малоберцовой кости, формирование и рассверливание канала большеберцовой, закрытая остеоклазия, и закрытое же штифтование. За счет устранения варуса дефицит длины уменьшится. Можно и подтянуть дистрактором одномоментно.
    Костная пластика при закрытом остеосинтезе не нужна.
    При невозможности или чрезмерной травматичности одномоментного восстановления длины можно пойти двухэтапно (аппарат, потом гвоздь). Похожий пример см. тут. Прошло уже года полтора после остеосинтеза. Может, коллега Зырянов покажет годичный результат, если есть?
    [ Ответить ]

    • Re: Неправильно сросшийся перелом голени
      Отправитель: Сергей Зырянов 16 Декабрь 2005, 08:20
      Александр Николаевич, к сожалению больной не является на контрольные осмотры. Я последний раз видел больного, когда прошло 7 месяцев после операции БОС. У него все хорошо. Каких либо жалоб и ограничений в нагрузке нет. Высылаю снимки до операции и последние снимки.



      Сергей Зырянов
      Новосибрская область
      г Куйбышев

      [ Ответить ]
    Re: Неправильно сросшийся перелом голени
    Александр Ангельский 12 Декабрь 2005, 18:54
    Ось конечности относительно нормальная, консолидация идёт. Поэтому на мой взгляд достаточно провести фиксационный чрескостный остеосинтез в аппарате Илизарова.

    С уважением Ангельский А.А.
    [ Ответить ]

    Re: Неправильно сросшийся перелом голени
    Павел Иванов 12 Декабрь 2005, 23:14
    Уважаемый Юрий Алексеевич.
    Очевидно, что перед врачом в подобной ситуации стоят две основные задачи: 1) устранить деформацию и укорочение; 2) срастить кость.
    У пациента с высокими функциональными запросами (Ваш пациент спортсмен) первая задача видится очень важной. Для человека подобного рода деятельности имеющаяся деформация является значимой.
    Немаловажно и то, что восстановление правильной анатомической оси сегмента будет способствовать ускорению консолидации.
    Представляется целесообразным первым этапом выполнить закрытый остеосинтез по Илизарову с остеотомией малоберцовой кости и последующим устранение деформации и укорочения, после чего -
    закрытый интрамедуллярный остеосинтез блокируемым штифтом (лучше с рассверливанием костно-мозгового канала). Замена аппарата на блокируемый штифт позволит начать раннюю и активную ЛФК, смелее наращивать опорную нагрузку, а в последующем при необходимости – раньше приступить к тренировкам.
    К сожалению, пластина LCP не позволит устранить деформацию и укорочение. Кроме того, дополнительная травма мягких тканей может отрицательно сказаться на окончательной функции
    конечности.
    С уважением, Павел Иванов.
    Отделение множественной и сочетанной травмы НИИСП им. Н.В. Склифосовского.
    г. Москва.
    [ Ответить ]

    Re: Неправильно сросшийся перелом голени
    Alexander Artemiev 13 Декабрь 2005, 00:31
    Здравствуйте, Юрий Алексеевич.
    Моё мнение следующее:
    1. Вопрос о том, что перелом сросся считаем решенным.
    2. Для определения истинного укорочения и механической оси
    необходимо выполнить рентгенографию обеих как минимум голеней с
    захватом коленного и голеностопного суставов на одной кассете.
    Исчерпывающим образом эта методика описана у Дрора Палея, этой же
    проблеме посвящена и его книга ("Принципы коррекции деформаций").
    Выдержки я приводил неоднократно. Таким же образом поступают и в Кургане.
    3. В данном случае для коррекции дилны и оси необходимо:
    - остеотомия малоберцовой кости на границе нижней и средней
    трети.
    - кортикотомия большеберцовой кости ВНЕ ЗОНЫ ПЕРЕЛОМА - лучше
    дистальнее, в данном случае - примерно 4-5 см выше голеностопного
    сустава. Ни в коем случае не на вершине деформации - хлебнёте
    горюшка.
    - остеосинтез аппаратом Илизарова - коррекция оси и удлинение.
    - последующий переход на интрамедуллярный остеосинтез - дело
    вкуса, а точнее - моды. Что тоже не возбраняется.

    С уважением Александр Артемьев
    [ Ответить ]

    Re: Неправильно сросшийся перелом голени
    Galina Diachkova 13 Декабрь 2005, 10:05
    Уважаемый Юрий Алексеевич!

    Возьмите нашу методичку "Лечение неправильно сросшихся(срастающихся переломов) и примените аппарат Илизарова. У Дрора есть хорошие советы и варианты.

    Г.В.Дьячкова РНЦ"ВТО" им.Илизарова
    [ Ответить ]

    • Re: Неправильно сросшийся перелом голени
      Отправитель: Alexander Artemiev 14 Декабрь 2005, 15:20
      Здравствуйте.
      А нет ли электронной версии методички?
      Вообще лечение срастающихся (в том числе неправильно) переломов отличается от лечения сросшихся.
      С уважением Александр Артемьев

      [ Ответить ]
      • Re: Неправильно сросшийся перелом голени
        Отправитель: Galina Diachkova 14 Декабрь 2005, 15:40
        Уважаемый господин Артемьев!
        Конечно же, отличается лечение переломов неправильно срастающихся и неправильно сросшихся.В методичке речь идет, в основном, о неправильно срастающихся переломах,но выделены случаи, когда сращение перелома произошло, но полной перестройки в зоне повреждения еще нет.

        К сожалению, электронного варианта методички нет.
        С уважением Г.В.Дьячкова

        [ Ответить ]
        • Re: Неправильно сросшийся перелом голени
          Отправитель: Юрий Алексеевич Булахтин 14 Декабрь 2005, 15:41
          Здравствуйте, GALINA.

          Спасибо за письмо. Сообщите, пожалуйста,
          можно ли заказать методичку наложенным платежом?
          Если "да", то мой адрес:

          683013
          г. Петропавловск-Камчатский
          а/я 87

          --
          С уважением,
          Юрий Алексеевич Булахтин

          [ Ответить ]
          • Re: Неправильно сросшийся перелом голени
            Отправитель: Galina Diachkova 14 Декабрь 2005, 20:01
            Уважаемй Юрий Алексеевич!
            Методичка направлена Вам отделом информации наложенным платежом.

            С уважением
            Руководитель отдела лучевой диагностики
            проф.Галина Викторовна Дьячкова

            [ Ответить ]
          • Re: Неправильно сросшийся перелом голени
            Отправитель: Alexander Chelnokov 16 Декабрь 2005, 07:51
            А что из обсуждавшегося доступно в Ваших условиях сейчас?
            Чтобы конкретизировать обсуждание и не отвлекаться на неосуществимые варианты.

            [ Ответить ]
            • Re: Неправильно сросшийся перелом голени
              Отправитель: Alexander Chelnokov 16 Декабрь 2005, 07:53
              В госпитале нет оснащения для блокированных гвоздей,
              остальные виды остеосинтеза доступны.
              --

              Юрий Алексеевич Булахтин

              [ Ответить ]
    Re: Неправильно сросшийся перелом голени
    Петр Ромчук 15 Декабрь 2005, 05:10
    Считаю, что перед каким-либо оперативным вмешательством необходимо потратить 1-2 месяца на интенсивную реабилитацию, объяснив пациенту, что функция конечности должна улучшиться при продуманных регулярных нагрузках. Перед тем, как начать борьбу за красивую рентгенограмму, стоит зайти на сайт Американской Травматологической Ассоциации http://www.hwbf.org/ota/bfc
    и познакомится с функциональным методом лечения переломов голени по Sarmiento (группа 1000 пациентов). Обратите внимание на несоответствие между видом на рентгенограммах и внешним видом конечности, а также хорошей функцией. Выводы вообще достойны записи в блокнот для последующего цитирования.
    http://www.hwbf.org/ota/bfc/sarm2/exp.htm

    Петр Ромчук,
    ЦГБ г.Ровно, Украина.

    [ Ответить ]

    • Re: Неправильно сросшийся перелом голени
      Отправитель: Виталий Евгеньевич Казённов 16 Декабрь 2005, 21:17
      Поддерживаю полностью!
      Уж больно распясался индустриализм в медицине вообще и в травматологии в частности. Компании диктуют, и слава богу, что еще не все бездумно подчиняются.

      С Новым Годом!

      Виталий Евгеньевич Казённов,
      Хабаровск

      [ Ответить ]
      • Re: Неправильно сросшийся перелом голени
        Отправитель: Alexander Rykov 16 Декабрь 2005, 21:20
        Виталий Евгеньевич! Компании ни при чем. В большинстве случаев диктует жизнь. Коечков не хватает. У нас свободны потолок и пол в течение всего
        года. При лечении функциональным методом "затоваримся" в момент. Давно не видел Вас. Надеюсь на встречу на дне травматолога. Привет А Рыков.


        [ Ответить ]
        • Re: Неправильно сросшийся перелом голени
          Отправитель: Виталий Евгеньевич Казённов 16 Декабрь 2005, 21:22
          Здравствуйте, глубокоуважаемый Александр Геннадьевич!

          Рад Вашему письму!

          Вы писали:

          > Компании ни при чем.

          Абсолютно не согласен! Именно индустрия направляет, именно она, родимая.

          > В большинстве случаев диктует жизнь.

          А жизнь включает и индустрию тоже.

          > Коечков не хватает.

          Да коечков-то избыток. Треть страдальцев можно было выписать неделю назад и треть сегодня -- а куда персонал-то девать?

          > У нас свободны потолок и пол в течение всего
          > года.

          А Дорожка никогда и не была зеркалом всей системы. Но и в ней завтра и послезавтра (на выходные) будут свободные кровати -- на побывку, на помывку...

          > При лечении функциональным методом "затоваримся" в момент.

          Да как раз и разгрузимся! Многомесячное супертехнологичное лечение с исходом в стойкую нетрудоспособность тогда, когда вообще не стоило было оперировать -- наша грустная реальность.

          > Давно не
          > видел Вас. надеюсь на встречу на дне травматолога.

          Взаимно! 22-го -- а почему не в пятницу?
          Привет всем коллегам, персонально -- Дмитрию Дмитриевичу.

          Казённов

          [ Ответить ]
        • Re: Неправильно сросшийся перелом голени
          Отправитель: Alexander Chelnokov 17 Декабрь 2005, 14:21
          Брэйс накладывается день на 7-10 , и сразу больного можно отпускать домой. Так что это вряд ли приведет к переполнению отделения. Однако и сам этот брэйс найти еще надо, индустриальный он в местных услових подороже отечественного гвоздя будет. Как-то доводилось читать харьковскую методичку по функциональному лечению переломов голени - аналогичный текст про аппарат Илизарова или гвоздь сильно короче...

          [ Ответить ]
    • Re: Неправильно сросшийся перелом голени
      Отправитель: Alexander Zolotov 17 Декабрь 2005, 20:44
      Глубокоуважаемый Петр,

      Позвольте поделиться некоторой информацией по поводу "записи в блокнот для последующего цитирования".

      В течение некоторого времени под влиянием ярких статей проф. Сармиенто (США), проф. Охотского (Москва), Попсуйшапка (Харьков) мы очень увлекались функциональным методом лечения переломов костей с помощью укороченных повязок. Однако довольно скоро были разочарованы результатами лечения.

      Поэтому будучи на учебе в США и Австрии я интересовался отношением иностранных хирургов к методу Сармиенто. Отношение оказалось очень и
      очень сдержанным. В частности, проф. Эмануэль Троян рассказал следующее. Августо Сармиенто оздавал свой метод лечения переломов костей на границе с Мексикой (Лос-Анжелес), где очень много эмигрантов из Мексики, у которых большие проблемы с медицинской страховкой и нет денег для дорогостоящего лечения. Поэтому метод лечения с помощью укороченных повязок предназначался в основном для данной категории больных. Эти пациенты, как правило, не возражали против остающегося смещения по длине, ширине и под углом, неизбежных при использовании метода Сармиенто. Однако если для переломов плеча это не очень опасно (на руках большинство людей не ходит), то не устраненное смещение при лечении переломов голени через несколько лет "отзывается"
      деформирующим артрозом коленного и голеностопного суставов.

      Если принято решение лечить больного со свежим переломом голени консервативно, то лучше это делать не методом Сармиенто, а с помощью скелетного вытяжения с последующим наложением большой классической гипсовой повязки. Благо пресловутые МЭСы и КМУ это позволяют. Кстати, у Сармиенто такой возможности нет – слишком дорого пребывание больного в стационаре. Отсюда значительные допустимые смещения.

      Думаю, что в большинстве случаев, как и в случае Юрия Алексеевича, следует стремиться восстановить анатомию.


      --
      Best regards,
      Alexander Zolotov

      [ Ответить ]
      • Re: Неправильно сросшийся перелом голени
        Отправитель: Alexander Chelnokov 17 Декабрь 2005, 21:39
        AZ> не устраненное смещение при лечении переломов голени через
        AZ> несколько лет "отзывается" деформирующим артрозом коленного и
        AZ> голеностопного суставов.

        Это всего лишь распространенное поверье, подтверждения этой точки зрения научными фактами не существует. Наоборот, есть ряд работ, которые показывают, что эти опасения преувеличены, а проблемы в неменьшем количестве в отделенные сроки после перелома есть и у не имеющих отклонений оси.

        Первой работой такого плана была упоминаемая в лекции Sarmiento
        публикация Merchant T.C., Dietz F.R. Long-term follow-up after
        fractures of the tibial and fibular shafts (J Bone Joint Surg Am. 1989
        Apr;71(4):599-606.)

        Из недавних обращает внимание работа Milner S.A. et al. Long-term outcome after tibial shaft fracture: is malunion important? (J Bone Joint Surg Am. 2002 Jun;84-A(6):971-80.)

        AZ> консервативно, то лучше это делать не методом Сармиенто, а с помощью
        AZ> скелетного вытяжения с последующим наложением большой классической
        AZ> гипсовой повязки.

        А в сравнении с функциональной повязкой контрактур не больше?

        AZ> Благо пресловутые МЭСы и КМУ это позволяют.

        Да мало ли что в этих филькиных грамотах понаписано - чтобы к себе уважение не потерять, лечить надо, основываясь не на них, а на своих знаниях.

        AZ> Кстати, у Сармиенто такой возможности нет – слишком дорого
        AZ> пребывание больного в стационаре.

        Да во всем мире невыгодно держать больного в стационаре долго.

        [ Ответить ]
        • Re: Неправильно сросшийся перелом голени
          Отправитель: Alexander Zolotov 18 Декабрь 2005, 19:21
          Приветствую Александр,


          AC> Это всего лишь распространенное поверье, подтверждения этой точки
          AC> зрения научными фактами не существует.

          А может быть, Вы их не нашли? Ведь больные такие встречаются и им делаются корригирующие остеотомии.

          AC> А в сравнении с функциональной повязкой контрактур не больше?

          Сразу после снятия повязки безусловно больше, но через год - одинаково. И с лучшей анатомией.

          AC> Да во всем мире невыгодно держать больного в стационаре долго.

          А кому невыгодно? Президенту, правительству, министру здравоохранения Зурабову? Или больному, живущему в стране с огромной территорией, с низкой плотностью населения, убогой амбулатороно-поликлинической службой, при отсутсвии телефона и личного транспорта? Помню, как в Портленде собирались оперировать ребенка с винтообразным переломом голени, которому при поступлении наложили скелетное вытяжение. На контрольных ренгенограммах стояние отломков было удовлетворительным.
          Когда я спросил, зачем операция, хирург ответил, что он понимает, что это лишнее, но "невыгдо держать больного в стационаре долго".

          По мнению врачей, с которыми я общался, метод Сармиенто имеет очень ограниченное применение при лечении некоторых переломов плеча. Что касается переломов голени, то брэйс можно иногда использовать при лечении стабильного перелома без смещения или в качестве реабилитационной повязки на завершающем этапе лечения сложного перелома. Я с этим мнением согласен.

          Однако мы отвлеклись от пациента Юрия Алексеевича.

          [ Ответить ]
          • Re: Неправильно сросшийся перелом голени
            Отправитель: Alexander Chelnokov 18 Декабрь 2005, 19:24
            AZ> А может быть, Вы их не нашли? Ведь больные такие встречаются и им
            AZ> делаются корригирующие остеотомии.

            Конечно, остеотомии делаются, но - не при любой ведь деформации, а если она превышает "порог приемлемости". Вот количественная оценка этого порога и вызывает споры. А когда деформация видна "через штаны" - принять решение легко.

            AZ> Сразу после снятия повязки безусловно больше, но через год -
            AZ> одинаково. И с лучшей анатомией.

            Интересно, на каком клиническом материале это посчитали? Можно ли ознакомиться с цифрами, чего и насколько больше?

            AZ> А кому невыгодно? Президенту, правительству, министру здравоохранения
            AZ> Зурабову? Или больному, живущему в стране с огромной территорией, с

            Видимо, больному прежде всего. Ну и чем меньше израсходует больница, тем больше у нее останется от суммы, перечисленной страховой компанией.

            AZ> контрольных ренгенограммах стояние отломков было удовлетворительным.
            AZ> Когда я спросил, зачем операция, хирург ответил, что он понимает, что
            AZ> это лишнее, но "невыгдо держать больного в стационаре долго".

            Легко принять решение об операции, когда кости торчат, кровь хлыщет аж жуть. А когда возможно несколько решений, всегда будут соображения за и против каждого, которые невозможно впрямую сопоставить. Типа при варианте A полная нагрузка в 2 раза раньше, чем при Б, зато на 100 операций 2 ампутации, а при Б их вовсе нету, но у трети хромота.

            AZ> По мнению врачей, с которыми я общался, метод Сармиенто имеет очень
            AZ> ограниченное применение при лечении некоторых переломов плеча.

            "Очень ограниченное применение при некоторых переломах плеча" - это вообще при закрытых изолированных диафизарных.

            AZ> Что касается переломов голени, то брэйс можно иногда
            AZ> использовать при лечении стабильного перелома без смещения
            AZ> или в качестве реабилитационной повязки на завершающем
            AZ> этапе лечения сложного перелома. Я с этим мнением согласен.

            Если доверять результатам Sarmiento, то *можно* использовать брэйс в тех же случаях, что и он. Но *нужно* ли? Это на самом деле не так уж просто, нужна отлаженная система, в т.ч. больной, соблюдающий предписания врача. А если гипсовые имитации делать, то еще больше мороки.

            AZ> Однако мы отвлеклись от пациента Юрия Алексеевича.

            Да вполне можно и смежные проблемы обсудить.

            [ Ответить ]
          • Re: Неправильно сросшийся перелом голени
            Отправитель: Виталий Евгеньевич Казеннов 18 Декабрь 2005, 19:25
            Здравствуйте, уважаемый Александр Сергеевич и все!

            Насчет убогой поликлинической сети -- это в определенной степени наша самокритика, в Портленде и такой сети нет. Есть, как все знают, клиники (outpatient clinics), функционирование которых сильно отличается от наших поликлиник со всеми их нехватками.

            А что касается телефонов, то только мобильных их в России 120 миллионов, Владивосток -- рекордсмен: пять сотовых компаний. Машин в Хабаровске по имеется количеству семей, а в Спасске-Дальнем не должно быть хуже вследствие географии. Пусть и японки, но форды-то не лучше.

            > Когда я спросил, зачем операция, хирург ответил, что он понимает, что
            > это лишнее, но "невыгдо держать больного в стационаре долго".

            Но еще он "поскромничал", скрыл от Вас, что консервативное лечение ему самому невыгодно. За операцию он получит значительно больше. А потом еще удалять пластиночку нужно будет...

            > По мнению врачей, с которыми я общался,

            Индустрия на то и индустрия, чтобы формировать мнения в нужном ей, индустрии, ключе. В цену каждого фиксатора заложено примерно 10% на формирование мнения потребителей: семинары, школы, конференции, статьи, учебники, руководства, брошюры, и прочее, и прочее, только что растяжки на улицах не используются.

            Врачи -- это просто люди, денех хочут... Простим их, и нас в том числе.

            Всех благ,
            Казеннов

            [ Ответить ]
    • Re: Неправильно сросшийся перелом голени
      Отправитель: Alexander Artemiev 21 Декабрь 2005, 09:50
      Приветствую, Петр и коллеги.
      Спасибо за хорошую ссылочку.
      Интересные наблюдения.
      Текст не читал, но картинки показательные...

      Истина - посредине...

      С уважением Александр Артемьев

      [ Ответить ]
    Re: Неправильно сросшийся перелом голени
    Петр Ромчук 15 Декабрь 2005, 05:31
    Прошу прощения за неправильную ссылку в моём предыдущем сообщении. Вот правильная:
    http://www.hwbf.org/ota/otad/gsarm/exp.htm

    Петр Ромчук,
    Ровно, Украина

    [ Ответить ]

    • Re: Неправильно сросшийся перелом голени
      Отправитель: Alexander Chelnokov 15 Декабрь 2005, 10:13
      При лечении функциональным брэйсом подобного перелома у абстрактного пациента - к 3-4 месяцам после травмы он бы ходил с полной нагрузкой.

      Однако вряд ли функциональный брэйс - метод выбора при диафизарных переломах голени у действующих спортсменов (не говоря уж о том лечении, которое проводилось). А на сегодня и вовсе после травмы прошло 7(!) месяцев, а у пациента с высокими функциональными потребностями конечность остается неопорной. Если сейчас начать нагрузку как есть, появлению подвижности-боли вряд ли бы кто удивился.

      Если сейчас лечебной задачей ставить максимально быстрый возврат пацента к его деятельности, без риска вторичного смещения или рефрактуры (даже при падениях и ударах по голени), закрытый интрамедуллярный остеосинтез обеспечивает наилучшее соотношение затрат (сил, средств, времени) к результату.

      [ Ответить ]

     

    ( Ответить )

    Powered by Zope  Squishdot Powered MedLink
    Посетитель: 0176213
      "По форме правильно, а по существу - издевательство" В.И.Ленин
    ©2001-2019Orthoforum Coordinator.
    [ Главная | Отправить сообщение | Поиск | Админ ]