AOTRAUMA.ORG Центр Илизарова  

Ортопедия и травматология Общие вопросы/General questions Help Информационные технологии в медицине
 вверх
 отправить
 поиск
 админ
 главная


Ближайший результат
Ортопедия и травматология Отправлено А.П.Ким 19 Декабрь 2005, 18:03
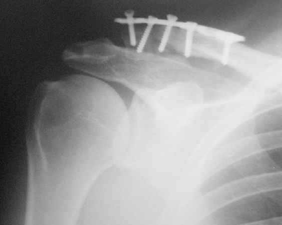
Прошел месяц после остеосинтеза ключицы.
Жалоб больной не предъявляет, работает (предприниматель). Движения в плечевом суставе практически восстановлены. На контрольной R-гр.-положение отломков не изменилось, миграция дистального винта. Следующий осмотр- через месяц.

<  |  >

 

  • Сообщения о Ортопедия и травматология
  • Также А.П.Ким
  • Связаться с автором
  • Ответить

    Re: Ближайший результат
    Антон Андрианов 30 Декабрь 2005, 17:21
    Перелом обречен на несрастание, сначала мигрирует один винт, после -другой, затем может наступить стресс-перелом пластины. Такой дистальный перелом , если оперировать АО пластиной надо обязательно сочетать с фиксаций АКС, те пластиной блокировать, тогда синтез будет стабильным. Радоваться большому объему движений не стоит, тк при ложном суставе ключицы объем велик, а силы в руке не хватает. Трудно ,но надо решаться на реостеосинтез.
    [ Ответить ]


    ( Ответить )

    Powered by Zope  Squishdot Powered MedLink
    Посетитель: 0181632
      "По форме правильно, а по существу - издевательство" В.И.Ленин
    ©2001-2019Orthoforum Coordinator.
    [ Главная | Отправить сообщение | Поиск | Админ ]