AOTRAUMA.ORG Центр Илизарова  

Ортопедия и травматология Общие вопросы/General questions Help Информационные технологии в медицине
 вверх
 отправить
 поиск
 админ
 главная
 Предыдущее


Re: Severely comminuted Trochenteric #
Alexander Chelnokov 23 Январь 2006, 02:23
I would prefer Gamma because of its features preventing migration of the neck screw.
  • Сообщения о Ортопедия и травматология
  • Также Alexander Chelnokov
  • Связаться с автором
  • Ответить

    Re: Severely comminuted Trochenteric #
    Amal Basak 28 Январь 2006, 23:57
    Thank you very much sir,
    Can you give some tips for reduction of the comminuted subtrochenteric part.

    Amal

    [ Ответить ]

    • Re: Severely comminuted Trochenteric #
      Отправитель: Alexander Chelnokov 29 Январь 2006, 00:05
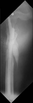
      I would use a small wire distractor mentioned in the list some times. Proximal wire is in the iliac crest in AP direction. The leg is adducted. I attached some images. At the AP view under image intensifier you can see adduction but even slight valgus reduction.




      [ Ответить ]
    XRumer 4.0 Platinum Edition
    impudiops 22 Февраль 2008, 01:14
    Продаётся XRumer 4.0 Platinum Edition(+ базы 2 100 000 ру форумов,блогов,гостевых и много заграничных!!!),Allsubmitter4.7(+9547 каталогов для автоматической регистрации), ICQ спамер, Mail Agent Spamer,Skype спамер(отправляет на все онлайн контакты сообщение,так же можно и не на онлайн а просто по параметрам определённым), Спамер по личкам под форумы(отправляется личное сообщение каждому пользователю форума очень хороший отклик!), спамер по почтовым ящикам(e-mail spamer)+скрипт авто сборки и проверки майлов.+Подарок!Флудер телефонных номеров звонками!


    XRumer 4.0 Platinum Edition - программа, в автоматическом режиме размещающая Ваши обьявления на форумах, гостевых книгах, досках обьявлений и каталогах ссылок (а также блогах и wiki). Одним словом - автосабмиттер. На данный момент доступна версия 4.0 Platinum Edition


    --------------------------------------------------------------------------------
    Вот основные технические характеристики и возможности программы:


    Возможность работы в многопоточном режиме: до 100 потоков и более (для скорости соединения 128Кб оптимально 20 потоков)
    Программа способна при необходимости регистрироваться на форуме (если это нужно для создания нового сообщения) и заполнять при этом все нужные поля. После регистрации программа автоматически производит логин на сайт и размещает Ваш текст и/или ссылку
    Встроена мощная система поиска и проверки прокси-серверов. Это обеспечивает Вашу анонимность и исключает бан на форумах по IP. Возможно использование как HTTP- так и SOCKS-прокси.
    Программа умеет работать с огромным количеством различных типов форумов и гостевых: phpBB и PHP-Nuke любых модификаций, yaBB, VBulletin, Invision Power Board, IconBoard, UltimateBB, exBB, phorum.org, wiki, livejournal.com, AkoBook, разнообразными видами досок обьявлений а также "самописными" движками
    ВНИМАНИЕ: эксклюзивная возможность - программа обходит ЛЮБЫЕ виды защиты от автоматической регистрации и автосабмита! Такие, как:
    - Защита при помощи пиктокода (тикетов) типа "Введите число, которое видите".
    - Защита при помощи активации по e-mail.
    - Защита при помощи некоторых Java-скриптов.


    В процессе рассылки автоматически создаётся подробный отчёт с точными ссылками на размещенные обьявления и можно проверить на наличие каждую ссылку.
    Встроена система "Вопрос-ответ"
    Есть система вариаций, с помощью которой можно сделать так, чтобы из 10000 размещенных обьявлений не было ни одного похожего, но смысл оставался одним и тем же. Это помогает сделать значительный разброс по ключевым запросам (для поисковой оптимизации) и исключить фильтрацию поисковиками одинаковых вариантов
    Если на форуме несколько разделов, программа выбирает наиболее подходящий по теме, а если такого нет - то в оффтопик, флейм и т.п, если и таковых нет то в наиболее посещаемый раздел.
    Есть возможность использования и редактирования BB-кода
    Включены инструменты для обработки баз форумов: удаление повторных ссылок, сортировка по убыванию посещаемости, удаление по блэк-листу, различные фильтры
    Программа сама сообщает о появлении новых версий
    Есть возможность использования подключаемых модулей (плагинов). На данный момент в комплект входят плагины AutoMAMBA, AutoLovePlanet и Wordtracker Parser + Bids Checker
    Встроена система расписаний, система самообучения, пост-редактирования, Масс-ПМ, и многое, многое другое

    Система полностью автономна и требует минимальных навыков: достаточно просто выбрать нужную базу ссылок (анголоязычную или русскоязычную), набрать текст объявления со ссылкой или ссылками и ВСЁ.

    В состав программного комплекса входит Hrefer и базы ссылок на форумы, гостевые и блоги

    Не является ли ваш софт спамерским? Не люблю спам!
    Нет, данный софт спамерским не является, т.к. программа размещает сообщения прежде всего только в те разделы, где разрешена разного рода реклама: "Флуд", "Оффтопик", "Флейм", "Реклама" и т.п. Спамом считается рассылка незапрошенной корреспонденции по ПОЧТЕ. И в Законодательстве РФ и других стран запрещена исключительно почтовая рассылка сообщений.

    Чем же эффективнее размещение ссылок на форумах, чем рассылка по почте?!
    Посудите сами. Получаемый спам по почте уже давно всем надоел, с ним борются всеми возможными методами и эти методы прекрасно отлажены. Если даже 1 из 1000 разосланных писем прочитают - уже повезло!
    С форумами и гостевыми книгами дело обстоит иначе. Разместив одно обьявление, уже есть гарантия что его прочтут как минимум 1 раз - это администратор сайта. Но если составить обьявление грамотно и корректно поместить рекламируемую ссылку, то скорее всего разовьется обсуждение созданного вами топика, обьявление за сутки прочтут и нажмут на ссылку сотни пользователей!
    Эффективность очевидна.

    Цена 59$(с базой на 2 100 000 линков на форумы,гесты,блоки)! Стучать за покупкой в ICQ 274693
    [ Ответить ]


    ( Ответить )

    Powered by Zope  Squishdot Powered MedLink
    Посетитель: 0187489
      "По форме правильно, а по существу - издевательство" В.И.Ленин
    ©2001-2019Orthoforum Coordinator.
    [ Главная | Отправить сообщение | Поиск | Админ ]