AOTRAUMA.ORG Центр Илизарова  

Ортопедия и травматология Общие вопросы/General questions Help Информационные технологии в медицине
 вверх
 отправить
 поиск
 админ
 главная


Таз+шейка
Ортопедия и травматология Отправлено Leonid Solomin 08 Февраль 2006, 01:43
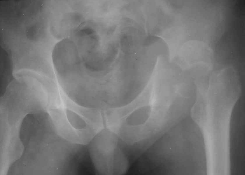
Дорогие коллеги, Поступил пациент, 5 месяцев, как сломался.
Поступил для эндопротезирования, но наши корифеи засомневались, не собрать ли сначала таз. Есть ли смысл собирать аппаратом закрыто?
Леонид

<  |  >

 

  • Сообщения о Ортопедия и травматология
  • Также Leonid Solomin
  • Связаться с автором
  • Ответить

    Re: Таз+шейка
    Николай Wolfson 08 Февраль 2006, 03:25
    Леонид:

    Случай тяжёлый. Если применять аппарат будет больший риск инфекции при эндопротезировании. Поэтому я бы одноэтапно произвёл эндопротезирование ( pressfit) и ORIF acetabulum, редукция не должна быть анатомической но обязательно стабильной.Подход: bouble insicion, Extended Ilioinguinal... Дело личное.
    Рисл ифекции осовной.

    Удачи,

    Nikolaj Wolfson


    [ Ответить ]

    • Re: Таз+шейка
      Отправитель: Alexander Chelnokov 08 Февраль 2006, 18:08
      НW> Подход: bouble insicion,

      А можно поподробнее про этот доступ?


      [ Ответить ]
    Re: Таз+шейка
    Alexey Rounkov 08 Февраль 2006, 17:39
    Вариант с постепенной репозицией возможен, у нас такие операции были - аппаратом с введением стержней через вертельную зону в лонно-седалищный фрагмент с подтягиванием его латерально и дистально до максимального контакта задней колонны, затем открытый остеосинтез впадины с заполнением дефекта всем, чем попало. Через 2-3 мес. - эндопротез стандартным доступом, делали винтовую чашку.
    Однако, учитывая вывих, 5-месячный срок мы бы, наверно, без аппарата сразу забрались в сустав с целью его реконструкции и остеосинтеза винтами и пластинами. Если удастся сделать остеосинтез хорошо - сразу сделать и эндопротез. Доступ - есссно, не как на протез, а как на впадину - или Y-образный с остеотомией болшого вертела, или латеральный. В случае подозрения на нестабильность впадины после остеосинтеза или больших трудностей при синтезе - засунуть головку во впадину, сделать остеосинтез шейки винтами, и дождаться сращения впадины, попытавшись сохранить движения в суставе. Пишут, можно противопротрузионными кольцами или Octopus укрепить остеосинтез впадины, и тогда тоже делать протез сразу, но у нас такого опыта нет, в основном предпочитали делать в два этапа - сначала реконструкция впадины, потом протез, потому что в застарелых случаях впадина сильно кривая.
    [ Ответить ]

    Re: Таз+шейка
    Alexander 09 Февраль 2006, 02:02
    Здравствуйте. Разрешите предложить вам следующий вариант: Доступ- задний типа Кохера, с возможным отсечением большого вертела. Репозиция поперечного перелома впадины (насколько возможна), остеосинтез реконструктивной пластиной. В случае большого деффекта заднего края и крыши- пластика фрагментом головки бедра. Ацетабулярный компонент- реконструктивное кольцо. Есть вариант одномоментного остеосинтеза впадины на кольце типа Bursch-Shneider с фиксацией дистального лепестка кольца к седалищной кости.Желаю успехов.
    [ Ответить ]

    Re: Таз+шейка
    Evgueny Tschekashkin 09 Февраль 2006, 08:44
    Лёня , Здравствуй Дорогой,

    Репозиция в аппарате и ожидание сращения перелома колонн прибавит к уже прошедшим 5 мес ещё пару месяцев, усугубится атрофия мышц тазового пояса.
    Поэтому скорее всего я бы планировал открытую репозицию и фиксацию перелома впадины илеофеморальным или задним доступом с одномоментным протезированием( укрепляющее кольцо + бесцементный бедренный компонент).
    Удачи,
    Евгений
    [ Ответить ]


    ( Ответить )

    Powered by Zope  Squishdot Powered MedLink
    Посетитель: 0325976
      "По форме правильно, а по существу - издевательство" В.И.Ленин
    ©2001-2019Orthoforum Coordinator.
    [ Главная | Отправить сообщение | Поиск | Админ ]