ВХОД ДЛЯ ПАЦИЕНТОВ
вверх
поиск
админ
главная
исходное
|
Re: Оскольчатый перелом пяточной кости.
послал А.П.Ким 14 Март 2006, 16:20
|
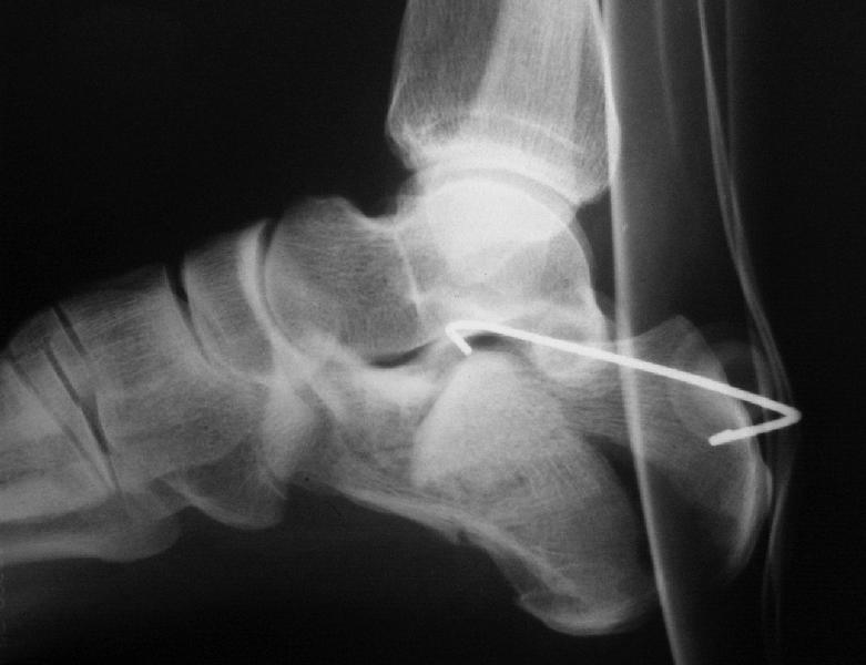
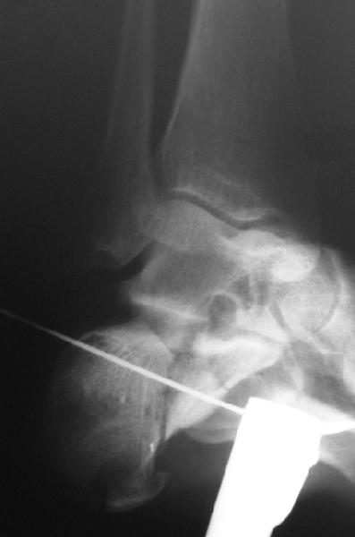
В/суставные переломы пяточной кости у молодых являются показанием к оперативной коррекции, Большой материал накоплен у д-ра Дрягина (Челябинск). В нашем отделении предпочтение отдаем открытой репозиции, при наличии выраженного отека, фликтен и т.д.
Накладываем спицевой дистрактор, позволяющий выхаживать м/ткани и одновременно устранять захождение отломков. 
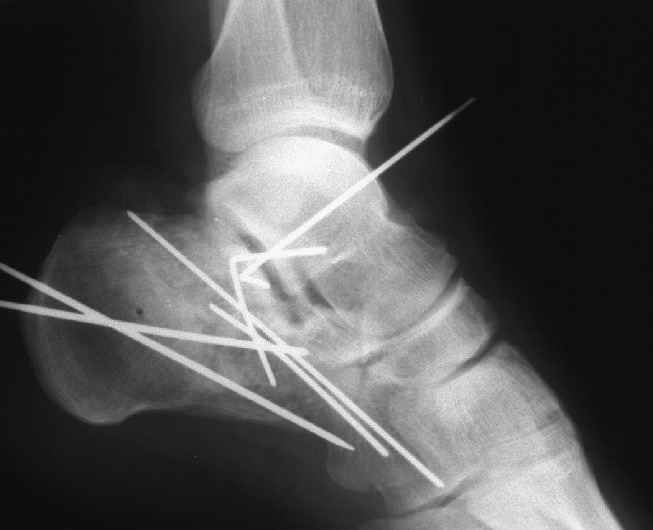
Окончательная фиксация спицами, пяточными пластинами (5) , в последнее время стали применять крючковидные пластины (ДЕОСТ) (6,6a). 
Кроме стандартных снимков, необходим контроль конгруэнтности суставной поверхности (проекции Бродена) 
|
Послать ответ |
Обратите внимание: Поля с жирными названиями обязательны.
Старайтесь отвечать в рамках обсуждаемой темы, а не начинать новые обсуждения.
Указывайте адекватную тему сообщения, чтобы было ясно, о чем оно.
Не послайте сообщений не по теме (оффтопик), раздраженных, грубых или обидных комментариев. Здесь это неуместно.
|